JavaScript is disabled in your browser. Please enable JavaScript to view this website.
AB4819

Anti-Erk1 (pT202/pY204) + Erk2 (pT185/pY187) antibody

3

(4 Reviews)

|

(35 Publications)

Rabbit Polyclonal ERK1 phospho T202 + Y204 antibody. Suitable for IHC-P, WB and reacts with Mouse, Human, Rat samples. Cited in 35 publications. Immunogen corresponding to Synthetic Peptide within Human MAPK1 phospho T185 + Y187.

View Alternative Names

ERK1, PRKM3, MAPK3, Mitogen-activated protein kinase 3, MAP kinase 3, MAPK 3, ERT2, Extracellular signal-regulated kinase 1, Insulin-stimulated MAP2 kinase, MAP kinase isoform p44, Microtubule-associated protein 2 kinase, p44-ERK1, ERK-1, p44-MAPK, ERK2, PRKM1, PRKM2, MAPK1, Mitogen-activated protein kinase 1, MAP kinase 1, MAPK 1, ERT1, Extracellular signal-regulated kinase 2, MAP kinase isoform p42, Mitogen-activated protein kinase 2, ERK-2, p42-MAPK, MAP kinase 2, MAPK 2

6 Images
Immunohistochemistry (Formalin/PFA-fixed paraffin-embedded sections) - Anti-Erk1 (pT202/pY204) + Erk2 (pT185/pY187) antibody (AB4819)
  • IHC-P

Supplier Data

Immunohistochemistry (Formalin/PFA-fixed paraffin-embedded sections) - Anti-Erk1 (pT202/pY204) + Erk2 (pT185/pY187) antibody (AB4819)

Immunohistochemical analysis of paraffin-embedded human breast carcinoma tissue (right) labeling ERK1/2 (pTpY185/187) in the cytoplasm and nucleus with ab4819 at 1/50 dilution, compared to a negative control without primary antibody (left).

To expose target proteins, antigen retrieval was performed using 10mM sodium citrate (pH 6.0), microwaved for 8-15 min. Following antigen retrieval, tissues were blocked in 3% H2O2-methanol for 15 min at room temperature, washed with ddH2O and PBS, and then probed with ab4819 diluted in 3% BSA-PBS at a dilution of 1 : 50 overnight at 4°C in a humidified chamber. Tissues were washed extensively in PBST and detection was performed using an HRP-conjugated secondary antibody followed by colorimetric detection using a DAB kit. Tissues were counterstained with hematoxylin and dehydrated with ethanol and xylene to prep for mounting.

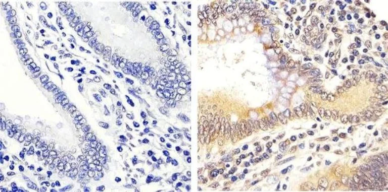
Immunohistochemistry (Formalin/PFA-fixed paraffin-embedded sections) - Anti-Erk1 (pT202/pY204) + Erk2 (pT185/pY187) antibody (AB4819)
  • IHC-P

Supplier Data

Immunohistochemistry (Formalin/PFA-fixed paraffin-embedded sections) - Anti-Erk1 (pT202/pY204) + Erk2 (pT185/pY187) antibody (AB4819)

Immunohistochemical analysis of paraffin-embedded human colon carcinoma tissue (right) labeling ERK1/2 (pTpY185/187) in the cytoplasm and nucleus withab4819 at 1/20 dilution, compared to a negative control without primary antibody (left).

To expose target proteins, antigen retrieval was performed using 10mM sodium citrate (pH 6.0), microwaved for 8-15 min. Following antigen retrieval, tissues were blocked in 3% H2O2-methanol for 15 min at room temperature, washed with ddH2O and PBS, and then probed with ab4819 diluted in 3% BSA-PBS at a dilution of 1 : 20 overnight at 4°C in a humidified chamber. Tissues were washed extensively in PBST and detection was performed using an HRP-conjugated secondary antibody followed by colorimetric detection using a DAB kit. Tissues were counterstained with hematoxylin and dehydrated with ethanol and xylene to prep for mounting.

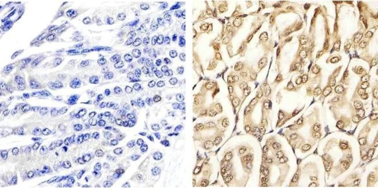
Immunohistochemistry (Formalin/PFA-fixed paraffin-embedded sections) - Anti-Erk1 (pT202/pY204) + Erk2 (pT185/pY187) antibody (AB4819)
  • IHC-P

Supplier Data

Immunohistochemistry (Formalin/PFA-fixed paraffin-embedded sections) - Anti-Erk1 (pT202/pY204) + Erk2 (pT185/pY187) antibody (AB4819)

Immunohistochemical analysis of paraffin-embedded mouse stomach tissue (right) labeling ERK1/2 (pTpY185/187) in the cytoplasm and nucleus with ab4819 at 1/20 dilution, compared to a negative control without primary antibody (left).

To expose target proteins, antigen retrieval was performed using 10mM sodium citrate (pH 6.0), microwaved for 8-15 min. Following antigen retrieval, tissues were blocked in 3% H2O2-methanol for 15 min at room temperature, washed with ddH2O and PBS, and then probed with ab4819 diluted in 3% BSA-PBS at a dilution of 1/20 overnight at 4°C in a humidified chamber. Tissues were washed extensively in PBST and detection was performed using an HRP-conjugated secondary antibody followed by colorimetric detection using a DAB kit. Tissues were counterstained with hematoxylin and dehydrated with ethanol and xylene to prep for mounting.

Western blot - Anti-Erk1 (pT202/pY204) + Erk2 (pT185/pY187) antibody (AB4819)
  • WB

Supplier Data

Western blot - Anti-Erk1 (pT202/pY204) + Erk2 (pT185/pY187) antibody (AB4819)

Bands of 42 kDa and 44 kDa corresponding to Phospho-p44 MAPK + p42 MAPK pThr185 + pTyr187 was observed across cell lines tested. Known quantity of protein samples were electrophoresed using Novex® NuPAGE® 12 % Bis-Tris gel, XCell SureLock™ Electrophoresis System and Novex® Sharp Pre-Stained Protein Standard. Resolved proteins were then transferred onto a nitrocellulose membrane with iBlot® 2 Dry Blotting System. The membrane was probed with the relevant primary and secondary Antibody following blocking with 5 % skimmed milk. Chemiluminescent detection was performed using Pierce™ ECL Western Blotting Substrate.

All lanes:

Western blot - Anti-Erk1 (pT202/pY204) + Erk2 (pT185/pY187) antibody (ab4819) at 1/1000 dilution

Lane 1:

MDA-MB-231 (human breast adenocarcinoma cell line) whole cell lysate, with treatment of EGF(100 ng/mL for 15 mins) at 30 µg

Lane 2:

MDA-MB-231 whole cell lysate at 30 µg

Lane 3:

U-87 MG (human glioblastoma-astrocytoma epithelial cell line) whole cell lysate at 30 µg

Lane 4:

SH-SY5Y (human neuroblastoma cell line from bone marrow) whole cell lysate at 30 µg

Lane 5:

HeLa (human epithelial cell line from cervix adenocarcinoma) whole cell lysate at 30 µg

Predicted band size: 42 kDa,44 kDa

false

Western blot - Anti-Erk1 (pT202/pY204) + Erk2 (pT185/pY187) antibody (AB4819)
  • WB

Supplier Data

Western blot - Anti-Erk1 (pT202/pY204) + Erk2 (pT185/pY187) antibody (AB4819)

Extracts of PC12 cells were resolved by SDS-PAGE on a 10% Tris-glycine gel and transferred to PVDF.

The membrane was blocked with a 5% BSA-TBST buffer overnight at 4°C, and then incubated with ab4819 for two hours at room temperature in a 3% BSA-TBST buffer, following its prior incubation with :

Lane 1 and 2 : no peptide

Lane 3 : the non-phosphopeptide corresponding to the phosphopeptide immunogen

Lane 4 : a generic phosphothreonine-containing peptide

Lane 5 : a generic phosphotyrosine-containing peptide

Labe 6 : the phosphopeptide immunogen

Detection : Pierce SuperSignal™ method.

All lanes:

Western blot - Anti-Erk1 (pT202/pY204) + Erk2 (pT185/pY187) antibody (ab4819) at 1/1000 dilution

Lane 1:

PC-12 (rat adrenal gland pheochromocytoma cell line) whole cell lysate, unstimulated

Lanes 2 - 6:

PC-12 whole cell lysate, stimulated with 0.5 M sorbitol for 5 minutes

Secondary

All lanes:

Goat F (ab')2 anti-rabbit IgG HRP conjugate

Predicted band size: 42 kDa,44 kDa

false

Western blot - Anti-Erk1 (pT202/pY204) + Erk2 (pT185/pY187) antibody (AB4819)
  • WB

Supplier Data

Western blot - Anti-Erk1 (pT202/pY204) + Erk2 (pT185/pY187) antibody (AB4819)

Data was analyzed on the LI-COR Odyssey® Infrared Imaging System.

All lanes:

Western blot - Anti-Erk1 (pT202/pY204) + Erk2 (pT185/pY187) antibody (ab4819) at 1/1000 dilution

Lane 1:

NIH/3T3 (mouse embryonic fibroblast cell line) whole cell lysate at 20 µg

Lane 2:

NIH/3T3 whole cell lysate, treated with either PDGF at 20 µg

Secondary

All lanes:

Anti-rabbit secondary antibody conjugated to Alexa fluor 680

Predicted band size: 42 kDa,44 kDa

false

Key facts

Host species

Rabbit

Clonality

Polyclonal

Isotype

IgG

Carrier free

No

Reacts with

Mouse, Rat, Human

Applications

WB, IHC-P

applications

Immunogen

Synthetic Peptide within Human MAPK1 phospho T185 + Y187. The exact immunogen used to generate this antibody is proprietary information.

P28482

Reactivity data

{ "title": "Reactivity Data", "filters": { "stats": ["", "Species", "Dilution Info", "Notes"], "tabs": { "all-applications": {"fullname" : "All Applications", "shortname": "All Applications"}, "IHCP" : {"fullname" : "Immunohistochemistry (Formalin/PFA-fixed paraffin-embedded sections)", "shortname":"IHC-P"}, "WB" : {"fullname" : "Western blot", "shortname":"WB"} }, "product-promise": { "all": "all", "testedAndGuaranteed": "tested", "guaranteed": "expected", "predicted": "predicted", "notRecommended": "not-recommended" } }, "values": { "Human": { "IHCP-species-checked": "testedAndGuaranteed", "IHCP-species-dilution-info": "1/10 - 1/100", "IHCP-species-notes": "<p></p>", "WB-species-checked": "testedAndGuaranteed", "WB-species-dilution-info": "1/1000", "WB-species-notes": "<p></p>" }, "Mouse": { "IHCP-species-checked": "testedAndGuaranteed", "IHCP-species-dilution-info": "1/10 - 1/100", "IHCP-species-notes": "<p></p>", "WB-species-checked": "testedAndGuaranteed", "WB-species-dilution-info": "1/1000", "WB-species-notes": "<p></p>" }, "Rat": { "IHCP-species-checked": "guaranteed", "IHCP-species-dilution-info": "", "IHCP-species-notes": "", "WB-species-checked": "testedAndGuaranteed", "WB-species-dilution-info": "1/1000", "WB-species-notes": "<p></p>" } } }

Properties and storage information

Form
Liquid
Purification technique
Affinity purification Immunogen
Purification notes
Purified from rabbit serum by sequential epitope-specific chromatography. The antibody has been negatively preadsorbed using a non-phosphopeptide corresponding to the sites of phosphorylation to remove antibody that is reactive with non-phosphorylated ERK 1 + 2. The final product is generated by affinity chromatography using an ERK 1 + 2-derived peptide that is phosphorylated at threonine 202/185 and tyrosine 204/187, respectively, within the activation loop.
Storage buffer
pH: 7.3 Preservative: 0.05% Sodium azide Constituents: PBS, 50% Glycerol (glycerin, glycerine), 0.1% BSA
Shipped at conditions
Blue Ice
Appropriate short-term storage conditions
+4°C
Appropriate long-term storage conditions
-20°C
Aliquoting information
Upon delivery aliquot
Storage information
Avoid freeze / thaw cycle

Supplementary information

This supplementary information is collated from multiple sources and compiled automatically.

Erk1 and Erk2 also known as MAPK3 and MAPK1 are part of the mitogen-activated protein kinase family. These proteins play an important role in signal transduction. Erk1 has a mass of about 44 kDa while Erk2 is slightly smaller at approximately 42 kDa. Both proteins are widely expressed in a variety of tissues contributing to the transmission of signals from the cell surface to the DNA in the cell nucleus. Specifically Erk1 and Erk2 are activated through dual phosphorylation at threonine 202 and tyrosine 204 for Erk1 and threonine 185 and tyrosine 187 for Erk2.
Biological function summary

Erk1 and Erk2 are involved in several essential cellular processes including proliferation differentiation and survival. They often operate as part of a larger complex engaging with other proteins to drive cellular responses. Upon activation they move from the cytoplasm to the nucleus where they regulate the activity of various transcription factors. Erk signaling can adjust gene expression by phosphorylating nuclear targets which influences cell cycle progression and apoptosis.

Pathways

Both Erk1 and Erk2 mainly operate within the MAPK/ERK pathway. This signaling pathway is important for transmitting signals from growth factors and other extracellular stimulants. Related proteins such as Ras and Raf are upstream activators in the pathway. Downstream Erk proteins can impact other cascades including those governing cellular growth and division. By interacting with multiple proteins within these pathways Erk1 and Erk2 ensure accurate cellular responses to environmental changes.

Alterations in the function of Erk1 and Erk2 can contribute to cancer development such as colorectal cancer and melanoma. Misregulation of Erk signaling can lead to uncontrolled cell proliferation and tumor growth. These proteins also connect to neurodegenerative disorders like Alzheimer's disease where disrupted Erk signaling may contribute to neuronal damage. Erk1 and Erk2 interact with other disease-related proteins like BRAF in cancer and APP in Alzheimer's highlighting their role in disease pathophysiology.

Product protocols

For this product, it's our understanding that no specific protocols are required. You can visit:

Target data

Serine/threonine kinase which acts as an essential component of the MAP kinase signal transduction pathway (PubMed : 34497368). MAPK1/ERK2 and MAPK3/ERK1 are the 2 MAPKs which play an important role in the MAPK/ERK cascade. They participate also in a signaling cascade initiated by activated KIT and KITLG/SCF. Depending on the cellular context, the MAPK/ERK cascade mediates diverse biological functions such as cell growth, adhesion, survival and differentiation through the regulation of transcription, translation, cytoskeletal rearrangements. The MAPK/ERK cascade also plays a role in initiation and regulation of meiosis, mitosis, and postmitotic functions in differentiated cells by phosphorylating a number of transcription factors. About 160 substrates have already been discovered for ERKs. Many of these substrates are localized in the nucleus, and seem to participate in the regulation of transcription upon stimulation. However, other substrates are found in the cytosol as well as in other cellular organelles, and those are responsible for processes such as translation, mitosis and apoptosis. Moreover, the MAPK/ERK cascade is also involved in the regulation of the endosomal dynamics, including lysosome processing and endosome cycling through the perinuclear recycling compartment (PNRC); as well as in the fragmentation of the Golgi apparatus during mitosis. The substrates include transcription factors (such as ATF2, BCL6, ELK1, ERF, FOS, HSF4 or SPZ1), cytoskeletal elements (such as CANX, CTTN, GJA1, MAP2, MAPT, PXN, SORBS3 or STMN1), regulators of apoptosis (such as BAD, BTG2, CASP9, DAPK1, IER3, MCL1 or PPARG), regulators of translation (such as EIF4EBP1) and a variety of other signaling-related molecules (like ARHGEF2, DEPTOR, FRS2 or GRB10) (PubMed : 35216969). Protein kinases (such as RAF1, RPS6KA1/RSK1, RPS6KA3/RSK2, RPS6KA2/RSK3, RPS6KA6/RSK4, SYK, MKNK1/MNK1, MKNK2/MNK2, RPS6KA5/MSK1, RPS6KA4/MSK2, MAPKAPK3 or MAPKAPK5) and phosphatases (such as DUSP1, DUSP4, DUSP6 or DUSP16) are other substrates which enable the propagation the MAPK/ERK signal to additional cytosolic and nuclear targets, thereby extending the specificity of the cascade. Phosphorylates GJA1 at 'Ser-279' and 'Ser-282' resulting in an increase in GJA1 ubiquitination and ultimately lysosomal degradation (By similarity).
See full target information MAPK3 phospho T202 + Y204

Publications (35)

Recent publications for all applications. Explore the full list and refine your search

JCI insight 9: PubMed39436705

2024

Increased expression of cathepsin C in airway epithelia exacerbates airway remodeling in asthma.

Applications

Unspecified application

Species

Unspecified reactive species

Lin Yuan,Qingwu Qin,Ye Yao,Long Chen,Huijun Liu,Xizi Du,Ming Ji,Xinyu Wu,Weijie Wang,Qiuyan Qin,Yang Xiang,Bei Qing,Xiangping Qu,Ming Yang,Xiaoqun Qin,Zhenkun Xia,Chi Liu

Cell death & disease 15:365 PubMed38806451

2024

Autophagy caused by oxidative stress promotes TGF-β1-induced epithelial-to-mesenchymal transition in human peritoneal mesothelial cells.

Applications

Unspecified application

Species

Unspecified reactive species

Se-Hyun Oh,Ju-Min Yook,Hee-Yeon Jung,Ji-Young Choi,Jang-Hee Cho,Sun-Hee Park,Chan-Duck Kim,Yong-Lim Kim,Jeong-Hoon Lim

Oncology letters 22:782 PubMed34594423

2021

NDRG4 sensitizes CRC cells to 5-FU by upregulating DDIT3 expression.

Applications

Unspecified application

Species

Unspecified reactive species

Ruikai Li,Chenxiang He,Liangliang Shen,Shuai Wang,Yao Shen,Fan Feng,Jian Zhang,Jianyong Zheng

Blood cancer journal 11:111 PubMed34099621

2021

The combination of CUDC-907 and gilteritinib shows promising in vitro and in vivo antileukemic activity against FLT3-ITD AML.

Applications

Unspecified application

Species

Unspecified reactive species

Xinan Qiao,Jun Ma,Tristan Knight,Yongwei Su,Holly Edwards,Lisa Polin,Jing Li,Juiwanna Kushner,Sijana H Dzinic,Kathryn White,Jian Wang,Hai Lin,Yue Wang,Liping Wang,Guan Wang,Jeffrey W Taub,Yubin Ge

Aging 13:9348-9372 PubMed33744867

2021

miR-30c-1 encourages human corneal endothelial cells to regenerate through ameliorating senescence.

Applications

Unspecified application

Species

Unspecified reactive species

Younghwan Bae,Jin Sun Hwang,Young Joo Shin

Antioxidants (Basel, Switzerland) 9: PubMed33158256

2020

SIRT1 Activation Using CRISPR/dCas9 Promotes Regeneration of Human Corneal Endothelial Cells through Inhibiting Senescence.

Applications

Unspecified application

Species

Unspecified reactive species

Hye Jun Joo,Dae Joong Ma,Jin Sun Hwang,Young Joo Shin

Frontiers in cell and developmental biology 8:555378 PubMed33072743

2020

Mesenchymal Stromal Cell-Produced Components of Extracellular Matrix Potentiate Multipotent Stem Cell Response to Differentiation Stimuli.

Applications

Unspecified application

Species

Unspecified reactive species

Ekaterina Novoseletskaya,Olga Grigorieva,Peter Nimiritsky,Nataliya Basalova,Roman Eremichev,Irina Milovskaya,Konstantin Kulebyakin,Maria Kulebyakina,Sergei Rodionov,Nikolai Omelyanenko,Anastasia Efimenko

International journal of molecular sciences 21: PubMed32967113

2020

NOX1 Inhibition Attenuates Kidney Ischemia-Reperfusion Injury via Inhibition of ROS-Mediated ERK Signaling.

Applications

Unspecified application

Species

Unspecified reactive species

Hee-Yeon Jung,Se-Hyun Oh,Ji-Sun Ahn,Eun-Joo Oh,You-Jin Kim,Chan-Duck Kim,Sun-Hee Park,Yong-Lim Kim,Jang-Hee Cho

Investigative ophthalmology & visual science 61:21 PubMed32301972

2020

Transcription Factor 4 Regulates the Regeneration of Corneal Endothelial Cells.

Applications

Unspecified application

Species

Unspecified reactive species

Jin Sun Hwang,Chang Ki Yoon,Joon Young Hyon,Tae-Young Chung,Young Joo Shin

Journal of cellular physiology 235:6268-6286 PubMed31990070

2020

Downregulation of uPAR promotes urokinase translocation into the nucleus and epithelial to mesenchymal transition in neuroblastoma.

Applications

Unspecified application

Species

Unspecified reactive species

Ekaterina V Semina,Kseniya A Rubina,Anna A Shmakova,Karina D Rysenkova,Polina S Klimovich,Natalya A Aleksanrushkina,Veronika Y Sysoeva,Maxim N Karagyaur,Vsevolod A Tkachuk
View all publications

Product promise

We are committed to supporting your work with high-quality reagents, and we're here for you every step of the way. In the unlikely event that one of our products does not perform as expected, you're protected by our Product Promise.
For full details, please see our Terms & Conditions

Please note: All products are 'FOR RESEARCH USE ONLY. NOT FOR USE IN DIAGNOSTIC OR THERAPEUTIC PROCEDURES'.

For licensing inquiries, please contact partnerships@abcam.com