JavaScript is disabled in your browser. Please enable JavaScript to view this website.
AB214171

Anti-Erk1 (pT202/pY204) + Erk2 (pT185/pY187) antibody [EP197Y] - BSA and Azide free

Be the first to review this product! Submit a review

|

(7 Publications)

Rabbit Recombinant Monoclonal ERK1 phospho T202 + Y204 antibody. Carrier free. Suitable for IP, Dot, ELISA, WB and reacts with Rat, Human, Mouse, Synthetic peptide samples. Cited in 7 publications.

View Alternative Names

ERK1, PRKM3, MAPK3, Mitogen-activated protein kinase 3, MAP kinase 3, MAPK 3, ERT2, Extracellular signal-regulated kinase 1, Insulin-stimulated MAP2 kinase, MAP kinase isoform p44, Microtubule-associated protein 2 kinase, p44-ERK1, ERK-1, p44-MAPK

4 Images
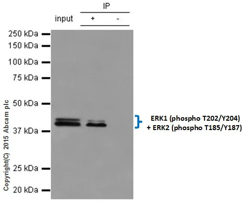
Immunoprecipitation - Anti-Erk1 (pT202/pY204) + Erk2 (pT185/pY187) antibody [EP197Y] - BSA and Azide free (AB214171)
  • IP

Unknown

Immunoprecipitation - Anti-Erk1 (pT202/pY204) + Erk2 (pT185/pY187) antibody [EP197Y] - BSA and Azide free (AB214171)

ab76299 at 1/80 immunoprecipitating Erk1 (pT202/pY204) + Erk2 (pT185/pY187) in PC-12 whole cell lysate.

Lane 1 (input) : PC-12 whole cell lysate - treated with 100ng/ml NGF for 10 min (10µg).

Lane 2 (+) : ab76299 + PC-12 whole cell lysate - treated with 100ng/ml NGF for 10 min.

Lane 3 (-) : Rabbit monoclonal IgG (ab172730) instead of ab76299 in PC-12 whole cell lysate - treated with 100ng/ml NGF for 10 min.

For western blotting, ab76299 was used at a dilution of 1/1000 and a HRP-conjugated anti-rabbit IgG, specific to the non-reduced form of IgG, was used as the secondary antibody (1/1500).

Blocking and dilution buffer : 5% NFDM/TBST.

This data was developed using the same antibody clone in a different buffer formulation containing PBS, BSA, glycerol, and sodium azide (ab76299).

All lanes:

Immunoprecipitation - Anti-Erk1 (pT202/pY204) + Erk2 (pT185/pY187) antibody [EP197Y] (<a href='/en-us/products/primary-antibodies/erk1-pt202-py204-erk2-pt185-py187-antibody-ep197y-ab76299'>ab76299</a>)

Observed band size: 42 kDa,44 kDa

false

Exposure time: 1s

Immunoprecipitation - Anti-Erk1 (pT202/pY204) + Erk2 (pT185/pY187) antibody [EP197Y] - BSA and Azide free (AB214171)
  • IP

Unknown

Immunoprecipitation - Anti-Erk1 (pT202/pY204) + Erk2 (pT185/pY187) antibody [EP197Y] - BSA and Azide free (AB214171)

ab76299 at 1/80 immunoprecipitating Erk1 (pT202/pY204) + Erk2 (pT185/pY187) in A431 whole cell lysate.

Lane 1 (input) : A431 whole cell lysate - treated with 100ng/ml EGF for 10 min (10µg).

Lane 2 (+) : ab76299 + A431 whole cell lysate - treated with 100ng/ml EGF for 10 min.

Lane 3 (-) : Rabbit monoclonal IgG (ab172730) instead of ab76299 in A431 whole cell lysate - treated with 100ng/ml EGF for 10 min.

For western blotting, ab76299 was used at a dilution of 1/1000 and a HRP-conjugated anti-rabbit IgG, specific to the non-reduced form of IgG, was used as the secondary antibody (1/1500).

Blocking and dilution buffer : 5% NFDM/TBST.

This data was developed using the same antibody clone in a different buffer formulation containing PBS, BSA, glycerol, and sodium azide (ab76299).

All lanes:

Immunoprecipitation - Anti-Erk1 (pT202/pY204) + Erk2 (pT185/pY187) antibody [EP197Y] (<a href='/en-us/products/primary-antibodies/erk1-pt202-py204-erk2-pt185-py187-antibody-ep197y-ab76299'>ab76299</a>)

Observed band size: 42 kDa,44 kDa

false

Exposure time: 3s

ELISA - Anti-Erk1 (pT202/pY204) + Erk2 (pT185/pY187) antibody [EP197Y] - BSA and Azide free (AB214171)
  • ELISA

Unknown

ELISA - Anti-Erk1 (pT202/pY204) + Erk2 (pT185/pY187) antibody [EP197Y] - BSA and Azide free (AB214171)

ELISA analysis of various phospho and non-phospho peptides (0-250 ng/ml) labelling Erk1 (pT202/pY204) + Erk2 (pT185/pY187) with ab76299 at a dilution of 1/1000. An Alkaline Phosphatase-conjugated goat anti-rabbit IgG (H+L) was used as the secondary antibody (1/2500).

ab76299 has stronger affinity for the double phospho peptide Y204/Y187 than to single phospho peptides T202 or Y204.

This data was developed using the same antibody clone in a different buffer formulation containing PBS, BSA, glycerol, and sodium azide (ab76299).

Dot Blot - Anti-Erk1 (pT202/pY204) + Erk2 (pT185/pY187) antibody [EP197Y] - BSA and Azide free (AB214171)
  • Dot

Lab

Dot Blot - Anti-Erk1 (pT202/pY204) + Erk2 (pT185/pY187) antibody [EP197Y] - BSA and Azide free (AB214171)

Dot blot analysis of single phospho peptide pT202 (Lane 1), single phospho peptide pY204 (Lane 2), double phospho peptide pT202/pY204 (Lane 3) and non-phospho peptide (Lane 4) labelling Erk1 (pT202/pY204) + Erk2 (p185/pY187) with ab76299 at a dilution of 1/1000. A peroxidase-conjugated goat anti-rabbit IgG (H+L) was used as the secondary antibody at a dilution of 1/1000.

Blocking and dilution buffer : 5% NFDM/TBST.

Exposure time : 3 minutes.

This data was developed using the same antibody clone in a different buffer formulation containing PBS, BSA, glycerol, and sodium azide (ab76299).

Key facts

Host species

Rabbit

Clonality

Monoclonal

Clone number

EP197Y

Isotype

IgG

Carrier free

Yes

Reacts with

Mouse, Rat, Human

Applications

IP, Dot, ELISA, WB

applications

Immunogen

The exact immunogen used to generate this antibody is proprietary information.

Specificity

This antibody detects Erk1 phosphorylated at Threonine 202 and Tyrosine 204 and Erk2 phosphorylated at Threonine 185 and Tyrosine 187.

Reactivity data

{ "title": "Reactivity Data", "filters": { "stats": ["", "Species", "Dilution Info", "Notes"], "tabs": { "all-applications": {"fullname" : "All Applications", "shortname": "All Applications"}, "IHCP" : {"fullname" : "Immunohistochemistry (Formalin/PFA-fixed paraffin-embedded sections)", "shortname":"IHC-P"}, "ICCIF" : {"fullname" : "Immunocytochemistry/ Immunofluorescence", "shortname":"ICC/IF"}, "FlowCyt" : {"fullname" : "Flow Cytometry", "shortname":"Flow Cyt"}, "IP" : {"fullname" : "Immunoprecipitation", "shortname":"IP"}, "Dot" : {"fullname" : "Dot Blot", "shortname":"Dot"}, "ELISA" : {"fullname" : "ELISA", "shortname":"ELISA"}, "WB" : {"fullname" : "Western blot", "shortname":"WB"} }, "product-promise": { "all": "all", "testedAndGuaranteed": "tested", "guaranteed": "expected", "predicted": "predicted", "notRecommended": "not-recommended" } }, "values": { "Human": { "IHCP-species-checked": "notRecommended", "IHCP-species-dilution-info": "", "IHCP-species-notes": "<p></p>", "ICCIF-species-checked": "notRecommended", "ICCIF-species-dilution-info": "", "ICCIF-species-notes": "<p></p>", "FlowCyt-species-checked": "notRecommended", "FlowCyt-species-dilution-info": "", "FlowCyt-species-notes": "<p></p>", "IP-species-checked": "testedAndGuaranteed", "IP-species-dilution-info": "", "IP-species-notes": "<p></p>", "Dot-species-checked": "guaranteed", "Dot-species-dilution-info": "", "Dot-species-notes": "", "ELISA-species-checked": "guaranteed", "ELISA-species-dilution-info": "", "ELISA-species-notes": "", "WB-species-checked": "testedAndGuaranteed", "WB-species-dilution-info": "", "WB-species-notes": "<p></p>" }, "Mouse": { "IHCP-species-checked": "notRecommended", "IHCP-species-dilution-info": "", "IHCP-species-notes": "<p></p>", "ICCIF-species-checked": "notRecommended", "ICCIF-species-dilution-info": "", "ICCIF-species-notes": "<p></p>", "FlowCyt-species-checked": "notRecommended", "FlowCyt-species-dilution-info": "", "FlowCyt-species-notes": "<p></p>", "IP-species-checked": "guaranteed", "IP-species-dilution-info": "", "IP-species-notes": "", "Dot-species-checked": "guaranteed", "Dot-species-dilution-info": "", "Dot-species-notes": "", "ELISA-species-checked": "guaranteed", "ELISA-species-dilution-info": "", "ELISA-species-notes": "", "WB-species-checked": "testedAndGuaranteed", "WB-species-dilution-info": "", "WB-species-notes": "<p></p>" }, "Rat": { "IHCP-species-checked": "notRecommended", "IHCP-species-dilution-info": "", "IHCP-species-notes": "<p></p>", "ICCIF-species-checked": "notRecommended", "ICCIF-species-dilution-info": "", "ICCIF-species-notes": "<p></p>", "FlowCyt-species-checked": "notRecommended", "FlowCyt-species-dilution-info": "", "FlowCyt-species-notes": "<p></p>", "IP-species-checked": "testedAndGuaranteed", "IP-species-dilution-info": "", "IP-species-notes": "<p></p>", "Dot-species-checked": "guaranteed", "Dot-species-dilution-info": "", "Dot-species-notes": "", "ELISA-species-checked": "guaranteed", "ELISA-species-dilution-info": "", "ELISA-species-notes": "", "WB-species-checked": "testedAndGuaranteed", "WB-species-dilution-info": "", "WB-species-notes": "<p></p>" }, "Synthetic peptide": { "IHCP-species-checked": "notRecommended", "IHCP-species-dilution-info": "", "IHCP-species-notes": "", "ICCIF-species-checked": "notRecommended", "ICCIF-species-dilution-info": "", "ICCIF-species-notes": "", "FlowCyt-species-checked": "notRecommended", "FlowCyt-species-dilution-info": "", "FlowCyt-species-notes": "", "IP-species-checked": "notRecommended", "IP-species-dilution-info": "", "IP-species-notes": "", "Dot-species-checked": "testedAndGuaranteed", "Dot-species-dilution-info": "", "Dot-species-notes": "<p></p>", "ELISA-species-checked": "testedAndGuaranteed", "ELISA-species-dilution-info": "1-250 ng/mL", "ELISA-species-notes": "<p></p>", "WB-species-checked": "notRecommended", "WB-species-dilution-info": "", "WB-species-notes": "" } } }

Product details

ab214171 is the carrier-free version of ab76299.

Patented technology
Our RabMAb® technology is a patented hybridoma-based technology for making rabbit monoclonal antibodies. For details on our patents, please refer to RabMAb® patents.

What are the advantages of a recombinant monoclonal antibody?
This product is a recombinant monoclonal antibody, which offers several advantages including:

  • - High batch-to-batch consistency and reproducibility
  • - Improved sensitivity and specificity
  • - Long-term security of supply
  • - Animal-free batch production

For more information, read more on recombinant antibodies.

Conjugation ready
Our carrier-free antibodies are typically supplied in a PBS-only formulation, purified and free of BSA, sodium azide and glycerol. This conjugation-ready format is designed for use with fluorochromes, metal isotopes, oligonucleotides, and enzymes, which makes them ideal for antibody labelling, functional and cell-based assays, flow-based assays (e.g. mass cytometry) and Multiplex Imaging applications.

Use our conjugation kits for antibody conjugates that are ready-to-use in as little as 20 minutes with 1 minute hands-on-time and 100% antibody recovery: available for fluorescent dyes, HRP, biotin and gold.

Compatibility
This product is compatible with the Maxpar® Antibody Labeling Kit from Fluidigm, without the need for antibody preparation. Maxpar® is a trademark of Fluidigm Canada Inc.

Properties and storage information

Form
Liquid
Purification technique
Affinity purification Protein A
Storage buffer
pH: 7.2 - 7.4 Constituents: PBS
Shipped at conditions
Blue Ice
Appropriate short-term storage conditions
+4°C
Appropriate long-term storage conditions
+4°C
Storage information
Do Not Freeze

Supplementary information

This supplementary information is collated from multiple sources and compiled automatically.

Erk1 and Erk2 also known as MAPK3 and MAPK1 are part of the mitogen-activated protein kinase family. These proteins play an important role in signal transduction. Erk1 has a mass of about 44 kDa while Erk2 is slightly smaller at approximately 42 kDa. Both proteins are widely expressed in a variety of tissues contributing to the transmission of signals from the cell surface to the DNA in the cell nucleus. Specifically Erk1 and Erk2 are activated through dual phosphorylation at threonine 202 and tyrosine 204 for Erk1 and threonine 185 and tyrosine 187 for Erk2.
Biological function summary

Erk1 and Erk2 are involved in several essential cellular processes including proliferation differentiation and survival. They often operate as part of a larger complex engaging with other proteins to drive cellular responses. Upon activation they move from the cytoplasm to the nucleus where they regulate the activity of various transcription factors. Erk signaling can adjust gene expression by phosphorylating nuclear targets which influences cell cycle progression and apoptosis.

Pathways

Both Erk1 and Erk2 mainly operate within the MAPK/ERK pathway. This signaling pathway is important for transmitting signals from growth factors and other extracellular stimulants. Related proteins such as Ras and Raf are upstream activators in the pathway. Downstream Erk proteins can impact other cascades including those governing cellular growth and division. By interacting with multiple proteins within these pathways Erk1 and Erk2 ensure accurate cellular responses to environmental changes.

Alterations in the function of Erk1 and Erk2 can contribute to cancer development such as colorectal cancer and melanoma. Misregulation of Erk signaling can lead to uncontrolled cell proliferation and tumor growth. These proteins also connect to neurodegenerative disorders like Alzheimer's disease where disrupted Erk signaling may contribute to neuronal damage. Erk1 and Erk2 interact with other disease-related proteins like BRAF in cancer and APP in Alzheimer's highlighting their role in disease pathophysiology.

Product protocols

For this product, it's our understanding that no specific protocols are required. You can visit:

Target data

Serine/threonine kinase which acts as an essential component of the MAP kinase signal transduction pathway (PubMed : 34497368). MAPK1/ERK2 and MAPK3/ERK1 are the 2 MAPKs which play an important role in the MAPK/ERK cascade. They participate also in a signaling cascade initiated by activated KIT and KITLG/SCF. Depending on the cellular context, the MAPK/ERK cascade mediates diverse biological functions such as cell growth, adhesion, survival and differentiation through the regulation of transcription, translation, cytoskeletal rearrangements. The MAPK/ERK cascade also plays a role in initiation and regulation of meiosis, mitosis, and postmitotic functions in differentiated cells by phosphorylating a number of transcription factors. About 160 substrates have already been discovered for ERKs. Many of these substrates are localized in the nucleus, and seem to participate in the regulation of transcription upon stimulation. However, other substrates are found in the cytosol as well as in other cellular organelles, and those are responsible for processes such as translation, mitosis and apoptosis. Moreover, the MAPK/ERK cascade is also involved in the regulation of the endosomal dynamics, including lysosome processing and endosome cycling through the perinuclear recycling compartment (PNRC); as well as in the fragmentation of the Golgi apparatus during mitosis. The substrates include transcription factors (such as ATF2, BCL6, ELK1, ERF, FOS, HSF4 or SPZ1), cytoskeletal elements (such as CANX, CTTN, GJA1, MAP2, MAPT, PXN, SORBS3 or STMN1), regulators of apoptosis (such as BAD, BTG2, CASP9, DAPK1, IER3, MCL1 or PPARG), regulators of translation (such as EIF4EBP1) and a variety of other signaling-related molecules (like ARHGEF2, DEPTOR, FRS2 or GRB10) (PubMed : 35216969). Protein kinases (such as RAF1, RPS6KA1/RSK1, RPS6KA3/RSK2, RPS6KA2/RSK3, RPS6KA6/RSK4, SYK, MKNK1/MNK1, MKNK2/MNK2, RPS6KA5/MSK1, RPS6KA4/MSK2, MAPKAPK3 or MAPKAPK5) and phosphatases (such as DUSP1, DUSP4, DUSP6 or DUSP16) are other substrates which enable the propagation the MAPK/ERK signal to additional cytosolic and nuclear targets, thereby extending the specificity of the cascade.
See full target information MAPK3 phospho T202 + Y204

Publications (7)

Recent publications for all applications. Explore the full list and refine your search

Evidence-based complementary and alternative medic 2015:307594 PubMed25802536

2015

Comparisons of ethanol extracts of chinese propolis (poplar type) and poplar gums based on the antioxidant activities and molecular mechanism.

Applications

Unspecified application

Species

Mouse

Jianglin Zhang,Xueping Cao,Shun Ping,Kai Wang,Jinhu Shi,Cuiping Zhang,Huoqing Zheng,Fuliang Hu

Biology of reproduction 89:142 PubMed24198121

2013

Cigarette smoking exposure alters pebp1 DNA methylation and protein profile involved in MAPK signaling pathway in mice testis.

Applications

WB

Species

Mouse

Wangjie Xu,Peng Fang,Zijue Zhu,Jingbo Dai,Dongsheng Nie,Zhong Chen,Qiaojing Qin,Lianyun Wang,Zhaoxia Wang,Zhongdong Qiao

Proceedings of the National Academy of Sciences of 110:E4904-12 PubMed24191014

2013

Selective inhibitor of endosomal trafficking pathways exploited by multiple toxins and viruses.

Applications

WB

Species

Unspecified reactive species

Eugene J Gillespie,Chi-Lee C Ho,Kavitha Balaji,Daniel L Clemens,Gang Deng,Yao E Wang,Heidi J Elsaesser,Batcha Tamilselvam,Amandeep Gargi,Shandee D Dixon,Bryan France,Brian T Chamberlain,Steven R Blanke,Genhong Cheng,Juan Carlos de la Torre,David G Brooks,Michael E Jung,John Colicelli,Robert Damoiseaux,Kenneth A Bradley

PloS one 8:e74051 PubMed24040163

2013

Hypoxia-inducible factor-1alpha and MAPK co-regulate activation of hepatic stellate cells upon hypoxia stimulation.

Applications

WB

Species

Human

Yueqin Wang,Yimin Huang,Fei Guan,Yan Xiao,Jing Deng,Huoying Chen,Xiaolin Chen,Jianrong Li,Hanju Huang,Chunwei Shi

International journal of molecular sciences 14:16040-57 PubMed23912239

2013

Matrine activates PTEN to induce growth inhibition and apoptosis in V600EBRAF harboring melanoma cells.

Applications

WB

Species

Human

Hui Jin,Yu Sun,Shuiying Wang,Xiaodong Cheng

Scientific reports 2:785 PubMed23139858

2012

Loss of the respiratory enzyme citrate synthase directly links the Warburg effect to tumor malignancy.

Applications

WB

Species

Human

Chin-Chih Lin,Tsung-Lin Cheng,Wen-Hui Tsai,Hui-Ju Tsai,Keng-Hsun Hu,Hao-Chun Chang,Chin-Wei Yeh,Ying-Chou Chen,Ching-Chun Liao,Wen-Tsan Chang

The international journal of biochemistry & cell b 43:1591-601 PubMed21810479

2011

Extracellular signal-regulated kinase1/2 activated by fluid shear stress promotes osteogenic differentiation of human bone marrow-derived mesenchymal stem cells through novel signaling pathways.

Applications

WB

Species

Human

Liyue Liu,Lan Shao,Bo Li,Chen Zong,Jianhu Li,Qiang Zheng,Xiangming Tong,Changyou Gao,Jinfu Wang
View all publications

Product promise

We are committed to supporting your work with high-quality reagents, and we're here for you every step of the way. In the unlikely event that one of our products does not perform as expected, you're protected by our Product Promise.
For full details, please see our Terms & Conditions

Please note: All products are 'FOR RESEARCH USE ONLY. NOT FOR USE IN DIAGNOSTIC OR THERAPEUTIC PROCEDURES'.

For licensing inquiries, please contact partnerships@abcam.com