JavaScript is disabled in your browser. Please enable JavaScript to view this website.
AB231085

Anti-ERK2 antibody [1B3B9]

Be the first to review this product! Submit a review

|

(2 Publications)

Mouse Monoclonal ERK2 antibody. Suitable for IHC-P, WB and reacts with Human, Mouse, Rat samples. Cited in 2 publications.

View Alternative Names

ERK2, PRKM1, PRKM2, MAPK1, Mitogen-activated protein kinase 1, MAP kinase 1, MAPK 1, ERT1, Extracellular signal-regulated kinase 2, MAP kinase isoform p42, Mitogen-activated protein kinase 2, ERK-2, p42-MAPK, MAP kinase 2, MAPK 2

2 Images
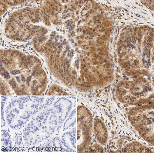
Immunohistochemistry (Formalin/PFA-fixed paraffin-embedded sections) - Anti-ERK2 antibody [1B3B9] (AB231085)
  • IHC-P

Lab

Immunohistochemistry (Formalin/PFA-fixed paraffin-embedded sections) - Anti-ERK2 antibody [1B3B9] (AB231085)

IHC image of ERK2 staining in a section of formalin-fixed paraffin-embedded human pancreas carcinoma* performed on a Leica BONDTM system using the standard protocol F. The section was pre-treated using heat mediated antigen retrieval with sodium citrate buffer (pH6, epitope retrieval solution 1) for 20mins. The section was then incubated with ab231085, 0.01ug/ml, for 15 mins at room temperature and detected using an HRP conjugated compact polymer system. DAB was used as the chromogen. The section was then counterstained with haematoxylin and mounted with DPX. The inset secondary-only control image is taken from an identical assay without primary antibody.

For other IHC staining systems (automated and non-automated) customers should optimize variable parameters such as antigen retrieval conditions, primary antibody concentration and antibody incubation times.

*Tissue obtained from the Human Research Tissue Bank, supported by the NIHR Cambridge Biomedical Research Centre

Western blot - Anti-ERK2 antibody [1B3B9] (AB231085)
  • WB

Lab

Western blot - Anti-ERK2 antibody [1B3B9] (AB231085)

ab231085 was shown to specifically react with ERK2 (MAPK1) in wild type HAP1 cells. No band was observed when ERK2 (MAPK1) knockout samples were used. Wild-type and ERK2 (MAPK1) knockout samples were subjected to SDS-PAGE. ab231085 and ab181602 (Rabbit anti-GAPDH loading control) were incubated overnight at 4°C at a 1μg/ml concentration and 1/20000 dilution respectively. Blots were developed with Goat anti-Rabbit IgG H&L (IRDye® 800CW) preadsorbed (ab216773) and Goat anti-Mouse IgG H&L (IRDye® 680RD) preadsorbed (ab216776) secondary antibodies at 1/20000 dilution for 1 hour at room temperature before imaging.

All lanes:

Western blot - Anti-ERK2 antibody [1B3B9] (ab231085)

Lane 1:

Wild type HAP1 cell lysate at 20 µg

Lane 2:

ERK2 knockout HAP1 cell lysate at 20 µg

Lane 3:

NIH3T3 cell lysate at 20 µg

Lane 4:

PC12 cell lysate at 20 µg

Predicted band size: 41 kDa

false

  • Carrier free

    Anti-ERK2 antibody [1B3B9] - BSA and Azide free

Key facts

Host species

Mouse

Clonality

Monoclonal

Clone number

1B3B9

Isotype

IgG2a

Light chain type

kappa

Carrier free

No

Reacts with

Mouse, Rat, Human

Applications

IHC-P, WB

applications

Immunogen

The exact immunogen used to generate this antibody is proprietary information.

Reactivity data

{ "title": "Reactivity Data", "filters": { "stats": ["", "Species", "Dilution Info", "Notes"], "tabs": { "all-applications": {"fullname" : "All Applications", "shortname": "All Applications"}, "IHCP" : {"fullname" : "Immunohistochemistry (Formalin/PFA-fixed paraffin-embedded sections)", "shortname":"IHC-P"}, "WB" : {"fullname" : "Western blot", "shortname":"WB"} }, "product-promise": { "all": "all", "testedAndGuaranteed": "tested", "guaranteed": "expected", "predicted": "predicted", "notRecommended": "not-recommended" } }, "values": { "Human": { "IHCP-species-checked": "testedAndGuaranteed", "IHCP-species-dilution-info": "", "IHCP-species-notes": "<p></p>", "WB-species-checked": "testedAndGuaranteed", "WB-species-dilution-info": "1 µg/mL", "WB-species-notes": "<p></p>" }, "Mouse": { "IHCP-species-checked": "guaranteed", "IHCP-species-dilution-info": "", "IHCP-species-notes": "", "WB-species-checked": "testedAndGuaranteed", "WB-species-dilution-info": "1 µg/mL", "WB-species-notes": "<p></p>" }, "Rat": { "IHCP-species-checked": "guaranteed", "IHCP-species-dilution-info": "", "IHCP-species-notes": "", "WB-species-checked": "testedAndGuaranteed", "WB-species-dilution-info": "1 µg/mL", "WB-species-notes": "<p></p>" } } }

Product details

Want a custom formulation?
This antibody clone is manufactured by Abcam. If you require a custom buffer formulation or conjugation for your experiments, please contact orders@abcam.com

Properties and storage information

Form
Liquid
Purification technique
Affinity purification
Storage buffer
Preservative: 0.02% Sodium azide Constituents: PBS
Shipped at conditions
Blue Ice
Appropriate short-term storage duration
1-2 weeks
Appropriate short-term storage conditions
+4°C
Appropriate long-term storage conditions
-20°C
Aliquoting information
Upon delivery aliquot
Storage information
Avoid freeze / thaw cycle

Supplementary information

This supplementary information is collated from multiple sources and compiled automatically.

ERK2 also known as Extracellular signal-Regulated Kinase 2 is a serine/threonine protein kinase in the mitogen-activated protein kinase (MAPK) family with a mass of approximately 42 kDa. This kinase is expressed in many cell types and tissues including the brain liver and lungs. ERK2 plays a significant role in cellular processes such as proliferation differentiation and survival. It is often analyzed using specific assays including ERK2 ELISA and examination of cell lysate samples to determine expression levels and activity.
Biological function summary

ERK2 influences several key cellular functions. It functions as part of a signaling cascade transmitting signals from the exterior to the cell nucleus. In this cascade ERK2 is often part of a multi-protein complex that undergoes sequential phosphorylation. Through these mechanisms ERK2 regulates gene expression and is a pivotal component of the MAPK/ERK pathway ensuring the proper response to growth signals and stress stimuli.

Pathways

ERK2 is a central component of the MAPK/ERK signaling pathway and the PI3K/AKT pathway. These pathways play critical roles in cell cycle regulation and apoptosis. ERK2 activation leads to its interaction with the MEK1/2 proteins which further allows the transmission of mitogenic signals. The interplay between ERK2 and related proteins like E460 often impacts cellular growth and development as it precisely controls the phosphorylation events within the pathway.

ERK2 is connected to certain types of cancer and neurodegenerative diseases. Aberrations in ERK2 signaling pathways are often linked to tumorigenesis where altered interaction with proteins such as Raf and MEK1/2 disrupts cell cycle regulation and apoptosis. In neurodegenerative disorders dysregulated ERK2 activity has been associated with proteins contributing to Alzheimer’s disease indicating its involvement in neuronal survival and stress response mechanisms.

Product protocols

For this product, it's our understanding that no specific protocols are required. You can visit:

Target data

Serine/threonine kinase which acts as an essential component of the MAP kinase signal transduction pathway. MAPK1/ERK2 and MAPK3/ERK1 are the 2 MAPKs which play an important role in the MAPK/ERK cascade. They participate also in a signaling cascade initiated by activated KIT and KITLG/SCF. Depending on the cellular context, the MAPK/ERK cascade mediates diverse biological functions such as cell growth, adhesion, survival and differentiation through the regulation of transcription, translation, cytoskeletal rearrangements. The MAPK/ERK cascade also plays a role in initiation and regulation of meiosis, mitosis, and postmitotic functions in differentiated cells by phosphorylating a number of transcription factors. About 160 substrates have already been discovered for ERKs. Many of these substrates are localized in the nucleus, and seem to participate in the regulation of transcription upon stimulation. However, other substrates are found in the cytosol as well as in other cellular organelles, and those are responsible for processes such as translation, mitosis and apoptosis. Moreover, the MAPK/ERK cascade is also involved in the regulation of the endosomal dynamics, including lysosome processing and endosome cycling through the perinuclear recycling compartment (PNRC); as well as in the fragmentation of the Golgi apparatus during mitosis. The substrates include transcription factors (such as ATF2, BCL6, ELK1, ERF, FOS, HSF4 or SPZ1), cytoskeletal elements (such as CANX, CTTN, GJA1, MAP2, MAPT, PXN, SORBS3 or STMN1), regulators of apoptosis (such as BAD, BTG2, CASP9, DAPK1, IER3, MCL1 or PPARG), regulators of translation (such as EIF4EBP1 and FXR1) and a variety of other signaling-related molecules (like ARHGEF2, DCC, FRS2 or GRB10). Protein kinases (such as RAF1, RPS6KA1/RSK1, RPS6KA3/RSK2, RPS6KA2/RSK3, RPS6KA6/RSK4, SYK, MKNK1/MNK1, MKNK2/MNK2, RPS6KA5/MSK1, RPS6KA4/MSK2, MAPKAPK3 or MAPKAPK5) and phosphatases (such as DUSP1, DUSP4, DUSP6 or DUSP16) are other substrates which enable the propagation the MAPK/ERK signal to additional cytosolic and nuclear targets, thereby extending the specificity of the cascade. Mediates phosphorylation of TPR in response to EGF stimulation. May play a role in the spindle assembly checkpoint. Phosphorylates PML and promotes its interaction with PIN1, leading to PML degradation. Phosphorylates CDK2AP2 (By similarity).. Acts as a transcriptional repressor. Binds to a [GC]AAA[GC] consensus sequence. Repress the expression of interferon gamma-induced genes. Seems to bind to the promoter of CCL5, DMP1, IFIH1, IFITM1, IRF7, IRF9, LAMP3, OAS1, OAS2, OAS3 and STAT1. Transcriptional activity is independent of kinase activity.
See full target information MAPK1

Publications (2)

Recent publications for all applications. Explore the full list and refine your search

Journal of translational medicine 23:335 PubMed40089779

2025

F-box protein FBXO21 overexpression inhibits the proliferation and metastasis of clear cell renal cell carcinoma and is closely related to the CREB pathway and tumor immune cell infiltration.

Applications

Unspecified application

Species

Unspecified reactive species

Wuping Yang,Taile Jing,Cunjin Wu,Minghao Lu,Xiaolin Yao,Dan Xia,Ding Peng

Methods in enzymology 255:245-56 PubMed8524108

1995

Immune complex kinase assays for mitogen-activated protein kinase and MEK.

Applications

Unspecified application

Species

Unspecified reactive species

C W Reuter,A D Catling,M J Weber
View all publications

Product promise

We are committed to supporting your work with high-quality reagents, and we're here for you every step of the way. In the unlikely event that one of our products does not perform as expected, you're protected by our Product Promise.
For full details, please see our Terms & Conditions

Please note: All products are 'FOR RESEARCH USE ONLY. NOT FOR USE IN DIAGNOSTIC OR THERAPEUTIC PROCEDURES'.

For licensing inquiries, please contact partnerships@abcam.com