JavaScript is disabled in your browser. Please enable JavaScript to view this website.
AB40809

Anti-ERK5 antibody [EP791Y]

5

(1 Review)

|

(20 Publications)

Rabbit Recombinant Monoclonal ERK5 antibody. Suitable for IP, WB, ICC/IF, Flow Cyt (Intra) and reacts with Human, Mouse, Rat samples. Cited in 20 publications.

View Alternative Names

BMK1, ERK5, PRKM7, MAPK7, Mitogen-activated protein kinase 7, MAP kinase 7, MAPK 7, Big MAP kinase 1, Extracellular signal-regulated kinase 5, BMK-1, ERK-5

11 Images
Flow Cytometry (Intracellular) - Anti-ERK5 antibody [EP791Y] (AB40809)
  • Flow Cyt (Intra)

Lab

Flow Cytometry (Intracellular) - Anti-ERK5 antibody [EP791Y] (AB40809)

Intracellular Flow Cytometry analysis of HeLa (Human cervix adenocarcinoma epithelial cell) cells labeling ERK5 with purified ab40809 at 1/50 dilution (10 ug/ml) (red). Cells were fixed with 80% methanol. A Goat anti rabbit IgG (Alexa Fluorr®488) secondary antibody was used at 1/2000 dilution. Isotype control - Rabbit monoclonal IgG (Black). Unlabeled control - Cell without incubation with primary antibody and secondary antibody (Blue).

Immunocytochemistry/ Immunofluorescence - Anti-ERK5 antibody [EP791Y] (AB40809)
  • ICC/IF

Unknown

Immunocytochemistry/ Immunofluorescence - Anti-ERK5 antibody [EP791Y] (AB40809)

Immunocytochemistry/ Immunofluorescence analysis of HeLa (Human cervix adenocarcinoma epithelial cell) cells labeling ERK5 with Purified ab40809 at 1 : 100 (4.8 μg/ml). Cells were fixed in 4% Paraformaldehyde and permeabilized with 0.1% tritonX-100. Cells were counterstained with ab195889 Anti-alpha Tubulin antibody [DM1A] - Microtubule Marker (Alexa Fluor® 594) 1 : 200 (2.5 μg/ml). Goat anti rabbit IgG (Alexa Fluor® 488, ab150077) was used as the secondary antibody at 1 : 1000 (2 μg/ml) dilution. DAPI nuclear counterstain. PBS instead of the primary antibody was used as the secondary antibody only control.

Flow Cytometry (Intracellular) - Anti-ERK5 antibody [EP791Y] (AB40809)
  • Flow Cyt (Intra)

Unknown

Flow Cytometry (Intracellular) - Anti-ERK5 antibody [EP791Y] (AB40809)

Overlay histogram showing A549 cells stained with unpurified ab40809 (red line). The cells were fixed with 80% methanol (5 min) and then permeabilized with 0.1% PBS-Tween for 20 min. The cells were then incubated in 1x PBS / 10% normal goat serum / 0.3M glycine to block non-specific protein-protein interactions followed by the antibody (ab40809, 1/100 dilution) for 30 min at 22°C. The secondary antibody used was Alexa Fluor® 488 goat anti-rabbit IgG (H&L) (ab150077) at 1/2000 dilution for 30 min at 22°C. Isotype control antibody (black line) was rabbit IgG (monoclonal) (1μg/1x106 cells) used under the same conditions. Unlabelled sample (blue line) was also used as a control. Acquisition of >5,000 events were collected using a 20mW Argon ion laser (488nm) and 525/30 bandpass filter.

Immunoprecipitation - Anti-ERK5 antibody [EP791Y] (AB40809)
  • IP

Unknown

Immunoprecipitation - Anti-ERK5 antibody [EP791Y] (AB40809)

ab40809 (purified) at 1 : 30 dilution (2ug) immunoprecipitating ERK5 in HeLa whole cell lysate.
Lane 1 (input) : HeLa (Human cervix adenocarcinoma epithelial cell) whole cell lysate 10ug
Lane 2 (+) : ab40809 & HeLa whole cell lysate
Lane 3 (-) : Rabbit monoclonal IgG (ab172730) instead of ab40809 in HeLa whole cell lysate
For western blotting, VeriBlot for IP Detection Reagent (HRP) (ab131366) was used for detection at 1 : 1000 dilution.
Blocking and diluting buffer : 5% NFDM/TBST.

All lanes:

Immunoprecipitation - Anti-ERK5 antibody [EP791Y] (ab40809)

Predicted band size: 88 kDa

Observed band size: 115 kDa

false

Western blot - Anti-ERK5 antibody [EP791Y] (AB40809)
  • WB

Lab

Western blot - Anti-ERK5 antibody [EP791Y] (AB40809)

Blocking and diluting buffer and concentration : 5% NFDM/TBST.

All lanes:

Western blot - Anti-ERK5 antibody [EP791Y] (ab40809) at 1/2000 dilution

Lane 1:

HeLa (Human cervix adenocarcinoma epithelial cell) whole cell lysates at 15 µg

Lane 2:

NIH/3T3 (Mouse embryonic fibroblast) whole cell lysates at 15 µg

Lane 3:

PC-12 (Rat adrenal gland pheochromocytoma) whole cell lysates at 15 µg

Secondary

All lanes:

Western blot - Goat Anti-Rabbit IgG H&L (HRP) (<a href='/en-us/products/secondary-antibodies/goat-rabbit-igg-h-l-hrp-ab97051'>ab97051</a>) at 1/20000 dilution

Predicted band size: 88 kDa

Observed band size: 115 kDa

false

Western blot - Anti-ERK5 antibody [EP791Y] (AB40809)
  • WB

Unknown

Western blot - Anti-ERK5 antibody [EP791Y] (AB40809)

The predicted weight of 89 kDa is for the precursor version of human ERK5 protein. However, ab40809 detects endogenous levels of total Erk5 protein which appears around 115 kDa in SDS PAGE

All lanes:

Western blot - Anti-ERK5 antibody [EP791Y] (ab40809) at 1/5000 dilution

All lanes:

Hela cell lysate at 10 µg

Predicted band size: 88 kDa

Observed band size: 115 kDa

false

Western blot - Anti-ERK5 antibody [EP791Y] (AB40809)
  • WB

Lab

Western blot - Anti-ERK5 antibody [EP791Y] (AB40809)

Lane 1 : Wild-type HAP1 whole cell lysate (20 μg)
Lane 2 : MAPK7 (ERK5) knockout HAP1 whole cell lysate (20 μg)
Lane 3 : HeLa whole cell lysate (20 μg)

Lanes 1 - 3 : Merged signal (red and green). Green - ab40809 observed at 88 kDa. Red - loading control, ab9484, observed at 37 kDa.

Unpurified ab40809 was shown to specifically react with ERK5 in wild-type HAP1 cells as signal was lost in MAPK7 (ERK5) knockout cells. Wild-type and MAPK7 (ERK5) knockout samples were subjected to SDS-PAGE. Unpurified ab40809 and ab9484 (Mouse anti-GAPDH loading control) were incubated overnight at 4°C at 1/1000 dilution and 1/20000 dilution respectively. Blots were developed with Goat anti-Rabbit IgG H&L (IRDye® 800CW) preabsorbed ab216773 and Goat anti-Mouse IgG H&L (IRDye® 680RD) preabsorbed ab216776 secondary antibodies at 1/20000 dilution for 1 hour at room temperature before imaging.

All lanes:

Western blot - Anti-ERK5 antibody [EP791Y] (ab40809)

Predicted band size: 88 kDa

false

Western blot - Anti-ERK5 antibody [EP791Y] (AB40809)
  • WB

Lab

Western blot - Anti-ERK5 antibody [EP791Y] (AB40809)

Lanes 1- 2 : Merged signal (red and green). Green - ab40809 observed at 115 kDa. Red - Anti-GAPDH antibody [6C5] - Loading Control (ab8245) observed at 37 kDa.

ab40809 was shown to react with ERK5 in wild-type HeLa cells in western blot. Loss of signal was observed when knockout cell line ab265508 (knockout cell lysate ab258042) was used. Wild-type HeLa and MAPK7 knockout HeLa cell lysates were subjected to SDS-PAGE. Membrane was blocked for 1 hour at room temperature in 0.1% TBST with 3% non-fat dried milk. ab40809 and Anti-GAPDH antibody [6C5] - Loading Control (ab8245) overnight at 4°C at a 1 in 1000 dilution and a 1 in 20000 dilution respectively. Blots were developed with Goat anti-Rabbit IgG H&L (IRDye®800CW) preadsorbed (ab216773) and Goat anti-Mouse IgG H&L (IRDye®680RD) preadsorbed (ab216776) secondary antibodies at 1 in 20000 dilution for 1 hour at room temperature before imaging.

All lanes:

Western blot - Anti-ERK5 antibody [EP791Y] (ab40809) at 1/1000 dilution

Lane 1:

Wild-type HeLa cell lysate at 20 µg

Lane 2:

MAPK7 knockout HeLa cell lysate at 20 µg

Lane 2:

Western blot - Human MAPK7 (ERK5) knockout HeLa cell line (<a href='/en-us/products/cell-lines/human-mapk7-erk5-knockout-hela-cell-line-ab265508'>ab265508</a>)

Predicted band size: 88 kDa

Observed band size: 115 kDa

false

Western blot - Anti-ERK5 antibody [EP791Y] (AB40809)
  • WB

Supplier Data

Western blot - Anti-ERK5 antibody [EP791Y] (AB40809)

Blocking and diluting buffer and concentration : 5% NFDM/TBST.

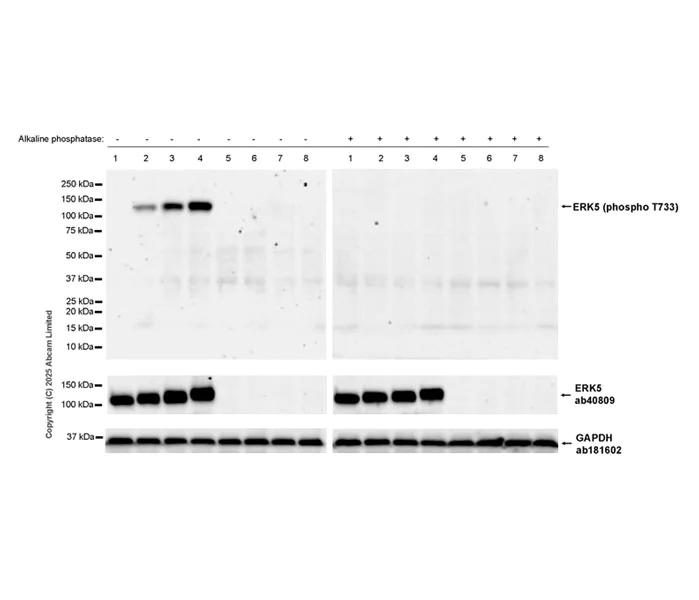
In Western blot, ab323508 was shown to bind specifically to ERK5 (phospho T733). Target of interest was observed at 115 kDa in treated wild-type HeLa cell lysates (lanes -2-4) with no signal observed at this size in treated ERK5 knockout cell line (lanes 6-8) (lanes 5-8, knockout cell line ab265508 / knockout cell lysate ab258042).

Lane 1-8 on the left : untreated membrane;
Lane 1-8 on the right : membrane treated with alkaline phosphatase.

In Western blot, Anti-GAPDH antibody [EPR16891] - Loading Control (ab181602) staining at 1/200000 dilution.

In Western blot, Anti-ERK5 antibody [EP791Y] - Total protein control (ab40809) staining at 1/1000 dilution.

All lanes:

Western blot - Anti-ERK5 (phospho T733) antibody [EPR28258-101] (<a href='/en-us/products/primary-antibodies/erk5-phospho-t733-antibody-epr28258-101-ab323508'>ab323508</a>) at 1/1000 dilution

Lane 1:

Untreated parental HeLa (human cervical adenocarcinoma epithelial cell) whole cell lysate at 20 µg

Lane 2:

Parental HeLa treated with 0.4M Sorbitol for 30min whole cell lysate at 20 µg

Lane 3:

Parental HeLa treated with 100nM Calyculin A for 30min whole cell lysate at 20 µg

Lane 4:

Parental HeLa treated with 0.4M Sorbitol and 100nM Calyculin A for 30min whole cell lysate at 20 µg

Lane 5:

Untreated ERK5 knockout HeLa whole cell lysate at 20 µg

Lane 6:

ERK5 knockout HeLa treated with 0.4M Sorbitol for 30min whole cell lysate at 20 µg

Lane 7:

ERK5 knockout HeLa treated with 100nM Calyculin A for 30min whole cell lysate at 20 µg

Lane 8:

ERK5 knockout HeLa treated with 0.4M Sorbitol and 100nM Calyculin A for 30min whole cell lysate at 20 µg

Secondary

All lanes:

Western blot - Goat Anti-Rabbit IgG H&L (HRP) (<a href='/en-us/products/secondary-antibodies/goat-rabbit-igg-h-l-hrp-ab97051'>ab97051</a>) at 1/20000 dilution

Observed band size: 115 kDa,36 kDa

false

Exposure time: 180s

Western blot - Anti-ERK5 antibody [EP791Y] (AB40809)
  • WB

Supplier Data

Western blot - Anti-ERK5 antibody [EP791Y] (AB40809)

Lane 1-4 on the left : untreated membrane;
Lane 1-4 on the right : membrane treated with alkaline phosphatase.

Blocking and diluting buffer and concentration : 5% NFDM/TBST.

In Western blot, Anti-ERK5 antibody [EP791Y] - Total protein control (ab40809) staining at 1/1000 dilution.

All lanes:

Western blot - Anti-ERK5 (phospho T733) antibody [EPR28258-101] (<a href='/en-us/products/primary-antibodies/erk5-phospho-t733-antibody-epr28258-101-ab323508'>ab323508</a>) at 1/1000 dilution

Lane 1:

Untreated NIH/3T3 (mouse embryonic fibroblast) whole cell lysate at 20 µg

Lane 2:

NIH/3T3 treated with 0.4M Sorbitol for 30min whole cell lysate at 20 µg

Lane 3:

NIH/3T3 treated with 100nM Calyculin A for 30min whole cell lysate at 20 µg

Lane 4:

NIH/3T3 treated with 0.4M Sorbitol and 100nM Calyculin A for 30min whole cell lysate at 20 µg

Secondary

All lanes:

Western blot - Goat Anti-Rabbit IgG H&L (HRP) (<a href='/en-us/products/secondary-antibodies/goat-rabbit-igg-h-l-hrp-ab97051'>ab97051</a>) at 1/20000 dilution

Observed band size: 115 kDa

false

Exposure time: 180s

Western blot - Anti-ERK5 antibody [EP791Y] (AB40809)
  • WB

Supplier Data

Western blot - Anti-ERK5 antibody [EP791Y] (AB40809)

Blocking and diluting buffer and concentration : 5% NFDM/TBST.

In Western blot, Anti-6X His tag® antibody [EPR20547] - ChIP Grade (ab213204) staining at 1/5000 dilution.

In Western blot, Anti-ERK5 antibody [EP791Y] - Total protein control (ab40809) staining at 1/1000 dilution.

All lanes:

Western blot - Anti-ERK5 (phospho T733) antibody [EPR28258-101] (<a href='/en-us/products/primary-antibodies/erk5-phospho-t733-antibody-epr28258-101-ab323508'>ab323508</a>) at 1/1000 dilution

Lane 1:

293T (human embryonic kidney epithelial cell) cells co-transfected with a human ERK5 WT expression vector containing a myc-His-tag® and a rat MEK5(S311D/T315D mutation)) expression vector containing a myc-His-tag®, whole cell lysate at 10 µg

Lane 2:

293T (human embryonic kidney epithelial cell) cells co-transfected with a human ERK5 (T733A mutation) expression vector containing a myc-His-tag® and a rat MEK5(S311D/T315D mutation)) expression vector containing a myc-His-tag®, whole cell lysate at 10 µg

Secondary

All lanes:

Western blot - Goat Anti-Rabbit IgG H&L (HRP) (<a href='/en-us/products/secondary-antibodies/goat-rabbit-igg-h-l-hrp-ab97051'>ab97051</a>) at 1/20000 dilution

Observed band size: 115 kDa

false

Exposure time: 70s

  • Carrier free

    Anti-ERK5 antibody [EP791Y] - BSA and Azide free

Key facts

Host species

Rabbit

Clonality

Monoclonal

Clone number

EP791Y

Isotype

IgG

Carrier free

No

Reacts with

Mouse, Rat, Human

Applications

ICC/IF, WB, Flow Cyt (Intra), IP

applications

Immunogen

The exact immunogen used to generate this antibody is proprietary information.

Reactivity data

{ "title": "Reactivity Data", "filters": { "stats": ["", "Species", "Dilution Info", "Notes"], "tabs": { "all-applications": {"fullname" : "All Applications", "shortname": "All Applications"}, "IP" : {"fullname" : "Immunoprecipitation", "shortname":"IP"}, "WB" : {"fullname" : "Western blot", "shortname":"WB"}, "ICCIF" : {"fullname" : "Immunocytochemistry/ Immunofluorescence", "shortname":"ICC/IF"}, "FlowCytIntra" : {"fullname" : "Flow Cytometry (Intracellular)", "shortname":"Flow Cyt (Intra)"} }, "product-promise": { "all": "all", "testedAndGuaranteed": "tested", "guaranteed": "expected", "predicted": "predicted", "notRecommended": "not-recommended" } }, "values": { "Human": { "IP-species-checked": "testedAndGuaranteed", "IP-species-dilution-info": "1/30", "IP-species-notes": "<p><strong>For unpurified use at 1/50 dilution.</strong></p>", "WB-species-checked": "testedAndGuaranteed", "WB-species-dilution-info": "1/10000", "WB-species-notes": "<p><strong>For unpurified use at 1/1000 - 1/5000 dilution. </strong></p>", "ICCIF-species-checked": "testedAndGuaranteed", "ICCIF-species-dilution-info": "1/100", "ICCIF-species-notes": "<p><strong>For unpurified use at 1/250 - 1/500 dilution.</strong></p>", "FlowCytIntra-species-checked": "testedAndGuaranteed", "FlowCytIntra-species-dilution-info": "1/50", "FlowCytIntra-species-notes": "<p><a href='/en-us/products/primary-antibodies/rabbit-igg-monoclonal-epr25a-isotype-control-ab172730'>ab172730</a> - Rabbit monoclonal IgG, is suitable for use as an isotype control with this antibody. For unpurified use at 1/100 dilution.</p>" }, "Mouse": { "IP-species-checked": "guaranteed", "IP-species-dilution-info": "", "IP-species-notes": "", "WB-species-checked": "testedAndGuaranteed", "WB-species-dilution-info": "1/10000", "WB-species-notes": "<p><strong>For unpurified use at 1/1000 - 1/5000 dilution. </strong></p>", "ICCIF-species-checked": "guaranteed", "ICCIF-species-dilution-info": "", "ICCIF-species-notes": "", "FlowCytIntra-species-checked": "guaranteed", "FlowCytIntra-species-dilution-info": "", "FlowCytIntra-species-notes": "" }, "Rat": { "IP-species-checked": "guaranteed", "IP-species-dilution-info": "", "IP-species-notes": "", "WB-species-checked": "testedAndGuaranteed", "WB-species-dilution-info": "1/10000", "WB-species-notes": "<p><strong>For unpurified use at 1/1000 - 1/5000 dilution. </strong></p>", "ICCIF-species-checked": "guaranteed", "ICCIF-species-dilution-info": "", "ICCIF-species-notes": "", "FlowCytIntra-species-checked": "guaranteed", "FlowCytIntra-species-dilution-info": "", "FlowCytIntra-species-notes": "" } } }

Product details

Patented technology
Our RabMAb® technology is a patented hybridoma-based technology for making rabbit monoclonal antibodies. For details on our patents, please refer to RabMAb® patents.

What are the advantages of a recombinant monoclonal antibody?
This product is a recombinant monoclonal antibody, which offers several advantages including:

  • - High batch-to-batch consistency and reproducibility
  • - Improved sensitivity and specificity
  • - Long-term security of supply
  • - Animal-free batch production

For more information, read more on recombinant antibodies.

Properties and storage information

Form
Liquid
Purification technique
Affinity purification Protein A
Storage buffer
pH: 7.2 - 7.4 Preservative: 0.01% Sodium azide Constituents: PBS, 40% Glycerol (glycerin, glycerine), 0.05% BSA
Shipped at conditions
Blue Ice
Appropriate short-term storage duration
1-2 weeks
Appropriate short-term storage conditions
+4°C
Appropriate long-term storage conditions
-20°C
Aliquoting information
Upon delivery aliquot
Storage information
Avoid freeze / thaw cycle

Supplementary information

This supplementary information is collated from multiple sources and compiled automatically.

ERK5 also known as big MAP kinase 1 (BMK1) is an enzyme that functions as a protein-serine/threonine kinase within the MAP kinase family. It has a molecular weight of approximately 120 kDa. ERK5 is expressed in various tissues including the brain heart and lungs with notable expression in endothelial cells. The protein plays a mechanical role in signal transduction processes which it achieves by transmitting signals from extracellular sources to the cellular nucleus facilitating the regulation of gene expression.
Biological function summary

ERK5 influences cellular functions through its role in promoting cell proliferation and differentiation. It serves as part of a signaling complex that includes the MAP kinase kinase 5 (MEK5). This interaction allows ERK5 to phosphorylate and subsequently activate target substrates such as transcription factors promoting cellular responses necessary for development and survival. ERK5 also plays a role in the response to oxidative stress which contributes to its impact on survival pathways and cellular stress responses.

Pathways

ERK5 acts within the MAPK signaling cascade and is linked to the ERK/MAPK pathway and the phosphoinositide 3-kinase (PI3K) pathway. Within these pathways ERK5 interacts with other MAP kinases and regulatory proteins such as Ras and Raf contributing to a wide range of cellular processes including growth migration and survival. Through these interactions ERK5 influences cellular dynamics and mediates responses to growth factors and stress stimuli.

Abnormal activity of ERK5 has been implicated in various conditions including cardiovascular disease and cancer. Elevated ERK5 signaling can promote tumor progression and metastasis in certain cancers by enhancing tumor cell proliferation and survival. In cardiovascular disorders ERK5 interacts with proteins like calcium/calmodulin-dependent protein kinase II (CaMKII) influencing pathological cardiac remodeling and hypertrophy. These associations highlight ERK5's impact on disease mechanisms and highlight its potential as a therapeutic target.

Product protocols

For this product, it's our understanding that no specific protocols are required. You can visit:

Target data

Plays a role in various cellular processes such as proliferation, differentiation and cell survival. The upstream activator of MAPK7 is the MAPK kinase MAP2K5. Upon activation, it translocates to the nucleus and phosphorylates various downstream targets including MEF2C. EGF activates MAPK7 through a Ras-independent and MAP2K5-dependent pathway. As part of the MAPK/ERK signaling pathway, acts as a negative regulator of apoptosis in cardiomyocytes via interaction with STUB1/CHIP and promotion of STUB1-mediated ubiquitination and degradation of ICER-type isoforms of CREM (By similarity). May have a role in muscle cell differentiation. May be important for endothelial function and maintenance of blood vessel integrity. MAP2K5 and MAPK7 interact specifically with one another and not with MEK1/ERK1 or MEK2/ERK2 pathways. Phosphorylates SGK1 at Ser-78 and this is required for growth factor-induced cell cycle progression. Involved in the regulation of p53/TP53 by disrupting the PML-MDM2 interaction.
See full target information MAPK7

Publications (20)

Recent publications for all applications. Explore the full list and refine your search

European journal of medical research 30:117 PubMed39972514

2025

MEK5-ERK5 pathway mediates mitophagy by regulating Nur77 to promote tumorigenesis of osteosarcoma cells.

Applications

Unspecified application

Species

Unspecified reactive species

Jianshu Wang,Jinxu Xue,Baijing Ma,Yanqi Zhu,Jing Li,Caiping Tian

Nature communications 16:1736 PubMed39966385

2025

A glucose-enriched lung pre-metastatic niche triggered by matrix stiffness-tuned exosomal miRNAs in hepatocellular carcinoma.

Applications

Unspecified application

Species

Unspecified reactive species

Yingying Zhao,Hongmei Yu,Jiajun Li,Jiali Qian,Miao Li,Xi Zhang,Mimi Wang,Yaohui Wang,Yinying Dong,Yang You,Qiwen Zhou,Dongmei Gao,Yan Zhao,Binbin Liu,Rongxin Chen,Zhenggang Ren,Zhiming Wang,Kezhi Zhang,Jiefeng Cui

FEBS open bio 12:1498-1508 PubMed35778889

2022

Ulinastatin promotes macrophage efferocytosis and ameliorates lung inflammation via the ERK5/Mer signaling pathway.

Applications

Unspecified application

Species

Unspecified reactive species

Jinju Li,Rongge Shao,Qiuwen Xie,Ke Qin,ShaoPeng Ming,Yongguo Xie,XueKe Du

Diabetes, obesity & metabolism 24:1721-1733 PubMed35546452

2022

Polarized macrophages promote gestational beta cell growth through extracellular signal-regulated kinase 5 signalling.

Applications

Unspecified application

Species

Unspecified reactive species

Yinan Jiang,Apeng Chen,Diana Kline,Qun Liu,Jie Ma,Yan Wang,Ting Zhang,Jieqi Qian,Laura Nelson,Krishna Prasadan,Baoli Hu,George K Gittes,Xiangwei Xiao

Experimental and therapeutic medicine 23:132 PubMed35069813

2022

Pitavastatin maintains MAPK7 expression and alleviates angiotensin II-induced vascular endothelial cell inflammation and injury.

Applications

Unspecified application

Species

Unspecified reactive species

Min Li,Xiaohua Liu

Journal of biochemical and molecular toxicology 36:e22981 PubMed34984768

2022

Hesperidin delays cell cycle progression into the G0/G1 phase via suspension of MAPK signaling pathway in intrahepatic cholangiocarcinoma.

Applications

Unspecified application

Species

Unspecified reactive species

Jie Deng,Li Liu,Li Li,Jianhai Sun,Fei Yan

Immunity 54:1665-1682.e14 PubMed34129840

2021

A PGE-MEF2A axis enables context-dependent control of inflammatory gene expression.

Applications

Unspecified application

Species

Unspecified reactive species

Francesco Cilenti,Giulia Barbiera,Nicoletta Caronni,Dario Iodice,Elisa Montaldo,Simona Barresi,Eleonora Lusito,Vincenzo Cuzzola,Francesco Maria Vittoria,Luca Mezzanzanica,Paolo Miotto,Pietro Di Lucia,Dejan Lazarevic,Daniela Maria Cirillo,Matteo Iannacone,Marco Genua,Renato Ostuni

Journal of cellular and molecular medicine 25:3803-3815 PubMed33621420

2021

Isoflurane post-conditioning contributes to anti-apoptotic effect after cerebral ischaemia in rats through the ERK5/MEF2D signaling pathway.

Applications

Unspecified application

Species

Unspecified reactive species

Qingtong Zhang,Jiangwen Yin,Feng Xu,Jingwen Zhai,Jieting Yin,Mingyue Ge,Wenyi Zhou,Nian Li,Xinlei Qin,Yan Li,Sheng Wang

International journal of endocrinology 2020:8821077 PubMed33488706

2020

Liraglutide Promotes Osteoblastic Differentiation in MC3T3-E1 Cells by ERK5 Pathway.

Applications

Unspecified application

Species

Unspecified reactive species

Yue Sun,Yuzhen Liang,Zhengming Li,Ning Xia

Journal of trace elements in medicine and biology 61:126546 PubMed32480051

2020

Involvement of MEK5/ERK5 signaling pathway in manganese-induced cell injury in dopaminergic MN9D cells.

Applications

Unspecified application

Species

Unspecified reactive species

Hongwei Ding,Feng Wang,Liyu Su,Lan Zhao,Binli Hu,Wei Zheng,Shengtao Yao,Yan Li
View all publications

Product promise

We are committed to supporting your work with high-quality reagents, and we're here for you every step of the way. In the unlikely event that one of our products does not perform as expected, you're protected by our Product Promise.
For full details, please see our Terms & Conditions

Please note: All products are 'FOR RESEARCH USE ONLY. NOT FOR USE IN DIAGNOSTIC OR THERAPEUTIC PROCEDURES'.

For licensing inquiries, please contact partnerships@abcam.com