JavaScript is disabled in your browser. Please enable JavaScript to view this website.
AB323508

Anti-ERK5 (phospho T733) antibody [EPR28258-101]

  • Recombinant
  • 20ul selling size
  • RabMAb
  • KO Validated
  • What is this?

Be the first to review this product! Submit a review

|

(0 Publication)

Rabbit Recombinant Monoclonal ERK5 phospho T733 antibody. Suitable for WB, Dot and reacts with Transfected cell lysate - Human, Human, Mouse, Synthetic peptide - Human samples.

View Alternative Names

BMK1, ERK5, PRKM7, Mitogen-activated protein kinase 7, MAP kinase 7, MAPK 7, Big MAP kinase 1, Extracellular signal-regulated kinase 5, BMK-1, ERK-5

4 Images
Western blot - Anti-ERK5 (phospho T733) antibody [EPR28258-101] (AB323508)
  • WB

Supplier Data

Western blot - Anti-ERK5 (phospho T733) antibody [EPR28258-101] (AB323508)

Blocking and diluting buffer and concentration : 5% NFDM/TBST.

In Western blot, ab323508 was shown to bind specifically to ERK5 (phospho T733). Target of interest was observed at 115 kDa in treated wild-type HeLa cell lysates (lanes -2-4) with no signal observed at this size in treated ERK5 knockout cell line (lanes 6-8) (lanes 5-8, knockout cell line ab265508 / knockout cell lysate ab258042).

Lane 1-8 on the left : untreated membrane;
Lane 1-8 on the right : membrane treated with alkaline phosphatase.

In Western blot, Anti-GAPDH antibody [EPR16891] - Loading Control (ab181602) staining at 1/200000 dilution.

In Western blot, Anti-ERK5 antibody [EP791Y] - Total protein control (ab40809) staining at 1/1000 dilution.

All lanes:

Western blot - Anti-ERK5 (phospho T733) antibody [EPR28258-101] (ab323508) at 1/1000 dilution

Lane 1:

Untreated parental HeLa (human cervical adenocarcinoma epithelial cell) whole cell lysate at 20 µg with NFDM/TBST

Lane 2:

Parental HeLa treated with 0.4M Sorbitol for 30min whole cell lysate at 20 µg with NFDM/TBST

Lane 3:

Parental HeLa treated with 100nM Calyculin A for 30min whole cell lysate at 20 µg with NFDM/TBST

Lane 4:

Parental HeLa treated with 0.4M Sorbitol and 100nM Calyculin A for 30min whole cell lysate at 20 µg with NFDM/TBST

Lane 5:

Untreated ERK5 knockout HeLa whole cell lysate at 20 µg with NFDM/TBST

Lane 6:

ERK5 knockout HeLa treated with 0.4M Sorbitol for 30min whole cell lysate at 20 µg with NFDM/TBST

Lane 7:

ERK5 knockout HeLa treated with 100nM Calyculin A for 30min whole cell lysate at 20 µg with NFDM/TBST

Lane 8:

ERK5 knockout HeLa treated with 0.4M Sorbitol and 100nM Calyculin A for 30min whole cell lysate at 20 µg with NFDM/TBST

Secondary

All lanes:

Western blot - Goat Anti-Rabbit IgG H&L (HRP) (<a href='/en-us/products/secondary-antibodies/goat-rabbit-igg-h-l-hrp-ab97051'>ab97051</a>) at 1/20000 dilution

Observed band size: 115 kDa,36 kDa

false

Exposure time: 180s

Western blot - Anti-ERK5 (phospho T733) antibody [EPR28258-101] (AB323508)
  • WB

Supplier Data

Western blot - Anti-ERK5 (phospho T733) antibody [EPR28258-101] (AB323508)

Lane 1-4 on the left : untreated membrane;
Lane 1-4 on the right : membrane treated with alkaline phosphatase.

Blocking and diluting buffer and concentration : 5% NFDM/TBST.

In Western blot, Anti-ERK5 antibody [EP791Y] - Total protein control (ab40809) staining at 1/1000 dilution.

All lanes:

Western blot - Anti-ERK5 (phospho T733) antibody [EPR28258-101] (ab323508) at 1/1000 dilution

Lane 1:

Untreated NIH/3T3 (mouse embryonic fibroblast) whole cell lysate at 20 µg with NFDM/TBST

Lane 2:

NIH/3T3 treated with 0.4M Sorbitol for 30min whole cell lysate at 20 µg with NFDM/TBST

Lane 3:

NIH/3T3 treated with 100nM Calyculin A for 30min whole cell lysate at 20 µg with NFDM/TBST

Lane 4:

NIH/3T3 treated with 0.4M Sorbitol and 100nM Calyculin A for 30min whole cell lysate at 20 µg with NFDM/TBST

Secondary

All lanes:

Western blot - Goat Anti-Rabbit IgG H&L (HRP) (<a href='/en-us/products/secondary-antibodies/goat-rabbit-igg-h-l-hrp-ab97051'>ab97051</a>) at 1/20000 dilution

Observed band size: 115 kDa

false

Exposure time: 180s

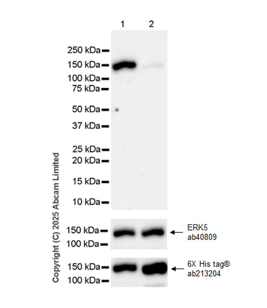
Western blot - Anti-ERK5 (phospho T733) antibody [EPR28258-101] (AB323508)
  • WB

Supplier Data

Western blot - Anti-ERK5 (phospho T733) antibody [EPR28258-101] (AB323508)

Blocking and diluting buffer and concentration : 5% NFDM/TBST.

In Western blot, Anti-6X His tag® antibody [EPR20547] - ChIP Grade (ab213204) staining at 1/5000 dilution.

In Western blot, Anti-ERK5 antibody [EP791Y] - Total protein control (ab40809) staining at 1/1000 dilution.

All lanes:

Western blot - Anti-ERK5 (phospho T733) antibody [EPR28258-101] (ab323508) at 1/1000 dilution

Lane 1:

293T (human embryonic kidney epithelial cell) cells co-transfected with a human ERK5 WT expression vector containing a myc-His-tag® and a rat MEK5(S311D/T315D mutation)) expression vector containing a myc-His-tag®, whole cell lysate at 10 µg with NFDM/TBST

Lane 2:

293T (human embryonic kidney epithelial cell) cells co-transfected with a human ERK5 (T733A mutation) expression vector containing a myc-His-tag® and a rat MEK5(S311D/T315D mutation)) expression vector containing a myc-His-tag®, whole cell lysate at 10 µg with NFDM/TBST

Secondary

All lanes:

Western blot - Goat Anti-Rabbit IgG H&L (HRP) (<a href='/en-us/products/secondary-antibodies/goat-rabbit-igg-h-l-hrp-ab97051'>ab97051</a>) at 1/20000 dilution

Observed band size: 115 kDa

false

Exposure time: 70s

Dot Blot - Anti-ERK5 (phospho T733) antibody [EPR28258-101] (AB323508)
  • Dot

Supplier Data

Dot Blot - Anti-ERK5 (phospho T733) antibody [EPR28258-101] (AB323508)

Dot blot analysis of ERK5 (phospho T733) using ab323508 at 1 : 1000 (0.51 ug/ml) followed by a Goat Anti-Rabbit IgG, (H+L), Peroxidase conjugated (ab97051) at 1 : 100,000 dilution.

Lane1 : ERK5 (phospho T733) peptide
Lane2 : ERK5 non-phospho peptide

Exposure time : 15 seconds.

Blocking and diluting buffer and concentration : 5% NFDM/TBST.

All lanes:

Dot Blot - Anti-ERK5 (phospho T733) antibody [EPR28258-101] (ab323508) at 1/1000 dilution

Lane 1:

ERK5 (phospho T733) peptide

Lane 2:

ERK5 non-phospho peptide

Secondary

All lanes:

Dot Blot - Goat Anti-Rabbit IgG H&L (HRP) (<a href='/en-us/products/secondary-antibodies/goat-rabbit-igg-h-l-hrp-ab97051'>ab97051</a>) at 1/100000 dilution

false

Exposure time: 15s

Key facts

Host species

Rabbit

Clonality

Monoclonal

Clone number

EPR28258-101

Isotype

IgG

Carrier free

No

Reacts with

Human, Mouse

Applications

WB, Dot

applications

Immunogen

The exact immunogen used to generate this antibody is proprietary information.

Reactivity data

{ "title": "Reactivity Data", "filters": { "stats": ["", "Species", "Dilution Info", "Notes"], "tabs": { "all-applications": {"fullname" : "All Applications", "shortname": "All Applications"}, "WB" : {"fullname" : "Western blot", "shortname":"WB"}, "Dot" : {"fullname" : "Dot Blot", "shortname":"Dot"}, "IP" : {"fullname" : "Immunoprecipitation", "shortname":"IP"}, "ICCIF" : {"fullname" : "Immunocytochemistry/ Immunofluorescence", "shortname":"ICC/IF"} }, "product-promise": { "all": "all", "testedAndGuaranteed": "tested", "guaranteed": "expected", "predicted": "predicted", "notRecommended": "not-recommended" } }, "values": { "Human": { "WB-species-checked": "testedAndGuaranteed", "WB-species-dilution-info": "1/1000", "WB-species-notes": "<p></p>", "Dot-species-checked": "guaranteed", "Dot-species-dilution-info": "", "Dot-species-notes": "", "IP-species-checked": "notRecommended", "IP-species-dilution-info": "", "IP-species-notes": "<p></p>", "ICCIF-species-checked": "notRecommended", "ICCIF-species-dilution-info": "", "ICCIF-species-notes": "<p></p>" }, "Mouse": { "WB-species-checked": "testedAndGuaranteed", "WB-species-dilution-info": "1/1000", "WB-species-notes": "<p></p>", "Dot-species-checked": "guaranteed", "Dot-species-dilution-info": "", "Dot-species-notes": "", "IP-species-checked": "notRecommended", "IP-species-dilution-info": "", "IP-species-notes": "<p></p>", "ICCIF-species-checked": "notRecommended", "ICCIF-species-dilution-info": "", "ICCIF-species-notes": "<p></p>" }, "Synthetic peptide - Human": { "WB-species-checked": "notRecommended", "WB-species-dilution-info": "", "WB-species-notes": "", "Dot-species-checked": "testedAndGuaranteed", "Dot-species-dilution-info": "1/1000", "Dot-species-notes": "<p></p>", "IP-species-checked": "notRecommended", "IP-species-dilution-info": "", "IP-species-notes": "", "ICCIF-species-checked": "notRecommended", "ICCIF-species-dilution-info": "", "ICCIF-species-notes": "" }, "Transfected cell lysate - Human": { "WB-species-checked": "testedAndGuaranteed", "WB-species-dilution-info": "1/1000", "WB-species-notes": "<p></p>", "Dot-species-checked": "notRecommended", "Dot-species-dilution-info": "", "Dot-species-notes": "", "IP-species-checked": "notRecommended", "IP-species-dilution-info": "", "IP-species-notes": "", "ICCIF-species-checked": "notRecommended", "ICCIF-species-dilution-info": "", "ICCIF-species-notes": "" } } }

Product details

Patented technology
Our RabMAb® technology is a patented hybridoma-based technology for making rabbit monoclonal antibodies. For details on our patents, please refer to RabMAb® patents.

What are the advantages of a recombinant monoclonal antibody?
This product is a recombinant monoclonal antibody, which offers several advantages including:

  • - High batch-to-batch consistency and reproducibility
  • - Improved sensitivity and specificity
  • - Long-term security of supply
  • - Animal-free batch production

For more information, read more on recombinant antibodies.

Properties and storage information

Form
Liquid
Purification technique
Affinity purification Protein A
Storage buffer
pH: 7.2 - 7.4 Preservative: 0.01% Sodium azide Constituents: PBS, 40% Glycerol (glycerin, glycerine), 0.05% BSA
Shipped at conditions
Blue Ice
Appropriate short-term storage duration
1-2 weeks
Appropriate short-term storage conditions
+4°C
Appropriate long-term storage conditions
-20°C
Aliquoting information
Upon delivery aliquot
Storage information
Avoid freeze / thaw cycle

Product protocols

For this product, it's our understanding that no specific protocols are required. You can visit:

Target data

Plays a role in various cellular processes such as proliferation, differentiation and cell survival. The upstream activator of MAPK7 is the MAPK kinase MAP2K5. Upon activation, it translocates to the nucleus and phosphorylates various downstream targets including MEF2C. EGF activates MAPK7 through a Ras-independent and MAP2K5-dependent pathway. As part of the MAPK/ERK signaling pathway, acts as a negative regulator of apoptosis in cardiomyocytes via interaction with STUB1/CHIP and promotion of STUB1-mediated ubiquitination and degradation of ICER-type isoforms of CREM (By similarity). May have a role in muscle cell differentiation. May be important for endothelial function and maintenance of blood vessel integrity. MAP2K5 and MAPK7 interact specifically with one another and not with MEK1/ERK1 or MEK2/ERK2 pathways. Phosphorylates SGK1 at Ser-78 and this is required for growth factor-induced cell cycle progression. Involved in the regulation of p53/TP53 by disrupting the PML-MDM2 interaction.
See full target information MAPK7 phospho T733

Product promise

We are committed to supporting your work with high-quality reagents, and we're here for you every step of the way. In the unlikely event that one of our products does not perform as expected, you're protected by our Product Promise.
For full details, please see our Terms & Conditions

Please note: All products are 'FOR RESEARCH USE ONLY. NOT FOR USE IN DIAGNOSTIC OR THERAPEUTIC PROCEDURES'.

For licensing inquiries, please contact partnerships@abcam.com