JavaScript is disabled in your browser. Please enable JavaScript to view this website.
AB248223

Anti-Erlin-2 antibody [EPR8089] - BSA and Azide free

Be the first to review this product! Submit a review

|

(1 Publication)

Rabbit Recombinant Monoclonal Erlin-2 antibody. Carrier free. Suitable for IHC-P, WB and reacts with Human samples. Cited in 1 publication.

View Alternative Names

C8orf2, SPFH2, UNQ2441/PRO5003/PRO9924, ERLIN2, Erlin-2, Endoplasmic reticulum lipid raft-associated protein 2, Stomatin-prohibitin-flotillin-HflC/K domain-containing protein 2, SPFH domain-containing protein 2

2 Images
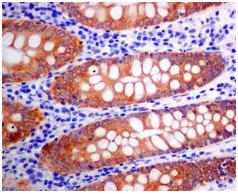
Immunohistochemistry (Formalin/PFA-fixed paraffin-embedded sections) - Anti-Erlin-2 antibody [EPR8089] - BSA and Azide free (AB248223)
  • IHC-P

Unknown

Immunohistochemistry (Formalin/PFA-fixed paraffin-embedded sections) - Anti-Erlin-2 antibody [EPR8089] - BSA and Azide free (AB248223)

This data was developed using ab128924, the same antibody clone in a different buffer formulation.

ab128924 at 1/50 dilution staining Erlin-2 in paraffin-embedded Human colon tissue by immunohistochemistry.

Perform heat mediated antigen retrieval before commencing with IHC staining protocol.

Western blot - Anti-Erlin-2 antibody [EPR8089] - BSA and Azide free (AB248223)
  • WB

Unknown

Western blot - Anti-Erlin-2 antibody [EPR8089] - BSA and Azide free (AB248223)

This data was developed using ab128924, the same antibody clone in a different buffer formulation.

All lanes:

Western blot - Anti-Erlin-2 antibody [EPR8089] (<a href='/en-us/products/primary-antibodies/erlin-2-antibody-epr8089-ab128924'>ab128924</a>) at 1/10000 dilution

Lane 1:

Fetal kidney lysate at 10 µg

Lane 2:

293T cell lysate at 10 µg

Lane 3:

HepG2 cell lysate at 10 µg

Secondary

All lanes:

Goat anti-rabbit HRP at 1/2000 dilution

Predicted band size: 38 kDa

false

Key facts

Host species

Rabbit

Clonality

Monoclonal

Clone number

EPR8089

Isotype

IgG

Carrier free

Yes

Reacts with

Human

Applications

IHC-P, WB

applications

Immunogen

The exact immunogen used to generate this antibody is proprietary information.

Reactivity data

{ "title": "Reactivity Data", "filters": { "stats": ["", "Species", "Dilution Info", "Notes"], "tabs": { "all-applications": {"fullname" : "All Applications", "shortname": "All Applications"}, "IHCP" : {"fullname" : "Immunohistochemistry (Formalin/PFA-fixed paraffin-embedded sections)", "shortname":"IHC-P"}, "IP" : {"fullname" : "Immunoprecipitation", "shortname":"IP"}, "FlowCyt" : {"fullname" : "Flow Cytometry", "shortname":"Flow Cyt"}, "WB" : {"fullname" : "Western blot", "shortname":"WB"} }, "product-promise": { "all": "all", "testedAndGuaranteed": "tested", "guaranteed": "expected", "predicted": "predicted", "notRecommended": "not-recommended" } }, "values": { "Human": { "IHCP-species-checked": "testedAndGuaranteed", "IHCP-species-dilution-info": "", "IHCP-species-notes": "<p></p>", "IP-species-checked": "notRecommended", "IP-species-dilution-info": "", "IP-species-notes": "<p></p>", "FlowCyt-species-checked": "notRecommended", "FlowCyt-species-dilution-info": "", "FlowCyt-species-notes": "<p></p>", "WB-species-checked": "testedAndGuaranteed", "WB-species-dilution-info": "", "WB-species-notes": "<p></p>" } } }

Product details

ab248223 is the carrier-free version of ab128924.

Species reactivity
Mouse, Rat: We have preliminary internal testing data to indicate this antibody may not react with these species.
Please contact us for more information.

Patented technology
Our RabMAb® technology is a patented hybridoma-based technology for making rabbit monoclonal antibodies. For details on our patents, please refer to RabMAb® patents.

What are the advantages of a recombinant monoclonal antibody?
This product is a recombinant monoclonal antibody, which offers several advantages including:

  • - High batch-to-batch consistency and reproducibility
  • - Improved sensitivity and specificity
  • - Long-term security of supply
  • - Animal-free batch production

For more information, read more on recombinant antibodies.

Conjugation ready
Our carrier-free antibodies are typically supplied in a PBS-only formulation, purified and free of BSA, sodium azide and glycerol. This conjugation-ready format is designed for use with fluorochromes, metal isotopes, oligonucleotides, and enzymes, which makes them ideal for antibody labelling, functional and cell-based assays, flow-based assays (e.g. mass cytometry) and Multiplex Imaging applications.

Use our conjugation kits for antibody conjugates that are ready-to-use in as little as 20 minutes with 1 minute hands-on-time and 100% antibody recovery: available for fluorescent dyes, HRP, biotin and gold.

Compatibility
This product is compatible with the Maxpar® Antibody Labeling Kit from Fluidigm, without the need for antibody preparation. Maxpar® is a trademark of Fluidigm Canada Inc.

Properties and storage information

Form
Liquid
Purification technique
Affinity purification Protein A
Storage buffer
pH: 7.2 - 7.4 Constituents: PBS
Shipped at conditions
Blue Ice
Appropriate short-term storage conditions
+4°C
Appropriate long-term storage conditions
+4°C
Storage information
Do Not Freeze

Supplementary information

This supplementary information is collated from multiple sources and compiled automatically.

Erlin-2 also known as SPFH domain family member 2 is a protein with an approximate mass of 40 kDa. The protein is expressed in the endoplasmic reticulum where it participates in various cellular processes. Erlin-2 shares similarities structural with its homolog Erlin-1. Erlin-2 is part of a larger family of erlins that play essential roles in cellular regulation.
Biological function summary

The functions of Erlin-2 involve its participation as a member of the erlins complex which includes Erlin-1 and other proteins. This complex helps regulate the degradation of inositol 145-trisphosphate receptors. Furthermore Erlin-2 facilitates the process of lipid raft-associated protein transport and maintains lipid homeostasis inside cells.

Pathways

Erlin-2 contributes to the endoplasmic reticulum-associated degradation pathway which is important for managing protein quality control. In coordination with Erlin-1 Erlin-2 influences calcium signaling pathways by regulating the turnover of inositol 145-trisphosphate receptors. These pathways play a significant role in maintaining cellular homeostasis and responding to stress conditions.

Researchers have linked Erlin-2 to neurodegenerative diseases such as amyotrophic lateral sclerosis (ALS). Abnormalities in calcium signaling pathways mediated by Erlin-2 and associated with inositol 145-trisphosphate receptors can contribute to neuronal dysfunction in these diseases. Additionally changes in Erlin-2 expression may relate to certain cancers suggesting its potential role in tumorigenesis.

Product protocols

For this product, it's our understanding that no specific protocols are required. You can visit:

Target data

Component of the ERLIN1/ERLIN2 complex which mediates the endoplasmic reticulum-associated degradation (ERAD) of inositol 1,4,5-trisphosphate receptors (IP3Rs) such as ITPR1 (PubMed : 17502376, PubMed : 19240031). Promotes sterol-accelerated ERAD of HMGCR probably implicating an AMFR/gp78-containing ubiquitin ligase complex (PubMed : 21343306). Involved in regulation of cellular cholesterol homeostasis by regulation the SREBP signaling pathway. May promote ER retention of the SCAP-SREBF complex (PubMed : 24217618).
See full target information ERLIN2

Publications (1)

Recent publications for all applications. Explore the full list and refine your search

Open medicine (Warsaw, Poland) 18:20220613 PubMed36694627

2023

circ-IARS depletion inhibits the progression of non-small-cell lung cancer by circ-IARS/miR-1252-5p/HDGF ceRNA pathway.

Applications

Unspecified application

Species

Unspecified reactive species

Jinhua Yang,Chunping Yang,Ping Li
View all publications

Product promise

We are committed to supporting your work with high-quality reagents, and we're here for you every step of the way. In the unlikely event that one of our products does not perform as expected, you're protected by our Product Promise.
For full details, please see our Terms & Conditions

Please note: All products are 'FOR RESEARCH USE ONLY. NOT FOR USE IN DIAGNOSTIC OR THERAPEUTIC PROCEDURES'.

For licensing inquiries, please contact partnerships@abcam.com