JavaScript is disabled in your browser. Please enable JavaScript to view this website.
AB229261

Anti-ERLIN1 antibody

Be the first to review this product! Submit a review

|

(1 Publication)

Rabbit Polyclonal ERLIN1 antibody. Suitable for WB, IHC-P and reacts with Human, Mouse, Rat samples. Cited in 1 publication. Immunogen corresponding to Recombinant Fragment Protein within Human ERLIN1.

View Alternative Names

C10orf69, KE04, KEO4, SPFH1, ERLIN1, Erlin-1, Endoplasmic reticulum lipid raft-associated protein 1, Protein KE04, Stomatin-prohibitin-flotillin-HflC/K domain-containing protein 1, SPFH domain-containing protein 1

4 Images
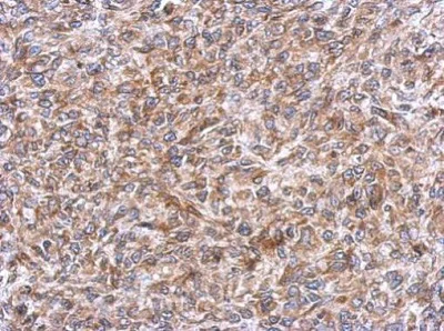
Immunohistochemistry (Formalin/PFA-fixed paraffin-embedded sections) - Anti-ERLIN1 antibody (AB229261)
  • IHC-P

Supplier Data

Immunohistochemistry (Formalin/PFA-fixed paraffin-embedded sections) - Anti-ERLIN1 antibody (AB229261)

Paraffin-embedded human hepatoma tissue stained for ERLIN1 with ab229261 at 1/500 dilution in immunohistochemical analysis.

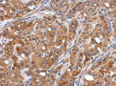
Immunohistochemistry (Formalin/PFA-fixed paraffin-embedded sections) - Anti-ERLIN1 antibody (AB229261)
  • IHC-P

Supplier Data

Immunohistochemistry (Formalin/PFA-fixed paraffin-embedded sections) - Anti-ERLIN1 antibody (AB229261)

Paraffin-embedded RT2 xenograft stained for ERLIN1 with ab229261 at 1/500 dilution in immunohistochemical analysis.

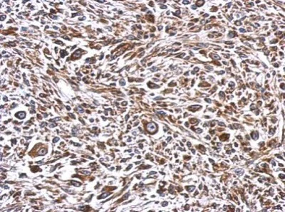
Immunohistochemistry (Formalin/PFA-fixed paraffin-embedded sections) - Anti-ERLIN1 antibody (AB229261)
  • IHC-P

Supplier Data

Immunohistochemistry (Formalin/PFA-fixed paraffin-embedded sections) - Anti-ERLIN1 antibody (AB229261)

Paraffin-embedded C2C12 xenograft stained for ERLIN1 with ab229261 at 1/500 dilution in immunohistochemical analysis.

Western blot - Anti-ERLIN1 antibody (AB229261)
  • WB

Supplier Data

Western blot - Anti-ERLIN1 antibody (AB229261)

10% SDS-PAGE

All lanes:

Western blot - Anti-ERLIN1 antibody (ab229261) at 1/1000 dilution

All lanes:

HepG2 (Human liver hepatocellular carcinoma cell line) whole cell lysate at 30 µg

Predicted band size: 39 kDa

true

Key facts

Host species

Rabbit

Clonality

Polyclonal

Isotype

IgG

Carrier free

No

Reacts with

Mouse, Rat, Human

Applications

IHC-P, WB

applications

Immunogen

Recombinant Fragment Protein within Human ERLIN1. The exact immunogen used to generate this antibody is proprietary information.

O75477

Reactivity data

{ "title": "Reactivity Data", "filters": { "stats": ["", "Species", "Dilution Info", "Notes"], "tabs": { "all-applications": {"fullname" : "All Applications", "shortname": "All Applications"}, "WB" : {"fullname" : "Western blot", "shortname":"WB"}, "IHCP" : {"fullname" : "Immunohistochemistry (Formalin/PFA-fixed paraffin-embedded sections)", "shortname":"IHC-P"} }, "product-promise": { "all": "all", "testedAndGuaranteed": "tested", "guaranteed": "expected", "predicted": "predicted", "notRecommended": "not-recommended" } }, "values": { "Human": { "WB-species-checked": "testedAndGuaranteed", "WB-species-dilution-info": "1/500 - 1/3000", "WB-species-notes": "<p></p>", "IHCP-species-checked": "testedAndGuaranteed", "IHCP-species-dilution-info": "1/100 - 1/1000", "IHCP-species-notes": "<p></p>" }, "Mouse": { "WB-species-checked": "guaranteed", "WB-species-dilution-info": "", "WB-species-notes": "", "IHCP-species-checked": "testedAndGuaranteed", "IHCP-species-dilution-info": "1/100 - 1/1000", "IHCP-species-notes": "<p></p>" }, "Rat": { "WB-species-checked": "guaranteed", "WB-species-dilution-info": "", "WB-species-notes": "", "IHCP-species-checked": "testedAndGuaranteed", "IHCP-species-dilution-info": "1/100 - 1/1000", "IHCP-species-notes": "<p></p>" }, "Cow": { "WB-species-checked": "predicted", "WB-species-dilution-info": "", "WB-species-notes": "", "IHCP-species-checked": "predicted", "IHCP-species-dilution-info": "", "IHCP-species-notes": "" }, "Pig": { "WB-species-checked": "predicted", "WB-species-dilution-info": "", "WB-species-notes": "", "IHCP-species-checked": "predicted", "IHCP-species-dilution-info": "", "IHCP-species-notes": "" }, "Rhesus monkey": { "WB-species-checked": "predicted", "WB-species-dilution-info": "", "WB-species-notes": "", "IHCP-species-checked": "predicted", "IHCP-species-dilution-info": "", "IHCP-species-notes": "" } } }

Properties and storage information

Form
Liquid
Purification technique
Affinity purification Immunogen
Storage buffer
pH: 7 Preservative: 0.01% Thimerosal (merthiolate) Constituents: 20% Glycerol (glycerin, glycerine), 1.21% Tris, 0.75% Glycine
Shipped at conditions
Blue Ice
Appropriate short-term storage duration
1-2 weeks
Appropriate short-term storage conditions
+4°C
Appropriate long-term storage conditions
-20°C
Aliquoting information
Upon delivery aliquot
Storage information
Avoid freeze / thaw cycle

Supplementary information

This supplementary information is collated from multiple sources and compiled automatically.

ERLIN1 also known as Erlin-1 is a protein found to weigh approximately 53 kDa. It localizes primarily within the endoplasmic reticulum (ER) membrane. Researchers express interest in ERLIN1 due to its role in maintaining cellular homeostasis. The ERLIN1 protein often appears in a variety of tissues but shows higher expression in tissues actively involved in lipid metabolism such as the liver.
Biological function summary

ERLIN1 acts as an integral component of a larger protein complex known as the ER lipid raft-associated protein complex. This complex plays a critical role in the regulation of cholesterol homeostasis by mediating the degradation of the ER-associated degradation (ERAD) substrates. ERLIN1 helps maintain the balance of cholesterol and other lipids within the cell which is essential for proper cellular function and response to metabolic changes.

Pathways

ERLIN1 shows involvement in the cholesterol biosynthesis pathway as well as in the unfolded protein response (UPR) pathway. It works in coordination with other proteins such as ERLIN2 and HMG-CoA reductase facilitating the controlled degradation of specific substrates. ERLIN1's participation in these pathways highlights its importance in lipid metabolism and cellular stress responses.

ERLIN1 mutations link to some neurodegenerative diseases particularly spastic paraplegia. This condition is associated with ERLIN1's interaction with other proteins like spastin which when dysfunctional contributes to axonal degeneration. Furthermore ERLIN1 abnormalities can lead to disruptions in cholesterol metabolism potentially implicating it in metabolic disorders though more research is needed in this area.

Product protocols

For this product, it's our understanding that no specific protocols are required. You can visit:

Target data

Component of the ERLIN1/ERLIN2 complex which mediates the endoplasmic reticulum-associated degradation (ERAD) of inositol 1,4,5-trisphosphate receptors (IP3Rs). Involved in regulation of cellular cholesterol homeostasis by regulation the SREBP signaling pathway (PubMed : 37683630). Binds cholesterol and may promote ER retention of the SCAP-SREBF complex (PubMed : 24217618).. (Microbial infection) Required early in hepatitis C virus (HCV) infection to initiate RNA replication, and later in the infection to support infectious virus production.
See full target information ERLIN1

Publications (1)

Recent publications for all applications. Explore the full list and refine your search

Advanced science (Weinheim, Baden-Wurttemberg, Germany) 12:e2404107 PubMed39555688

2024

WAC Facilitates Mitophagy-mediated MSC Osteogenesis and New Bone Formation via Protecting PINK1 from Ubiquitination-Dependent Degradation.

Applications

Unspecified application

Species

Unspecified reactive species

Shuai Fan,Jinteng Li,Guan Zheng,Ziyue Ma,Xiaoshuai Peng,Zhongyu Xie,Wenjie Liu,Wenhui Yu,Jiajie Lin,Zepeng Su,Peitao Xu,Peng Wang,Yanfeng Wu,Huiyong Shen,Guiwen Ye
View all publications

Product promise

We are committed to supporting your work with high-quality reagents, and we're here for you every step of the way. In the unlikely event that one of our products does not perform as expected, you're protected by our Product Promise.
For full details, please see our Terms & Conditions

Please note: All products are 'FOR RESEARCH USE ONLY. NOT FOR USE IN DIAGNOSTIC OR THERAPEUTIC PROCEDURES'.

For licensing inquiries, please contact partnerships@abcam.com