JavaScript is disabled in your browser. Please enable JavaScript to view this website.
AB217952

Anti-ERM / Etv5 antibody

Be the first to review this product! Submit a review

|

(1 Publication)

Rabbit Polyclonal ERM / Etv5 antibody. Suitable for IHC-P and reacts with Mouse samples. Cited in 1 publication. Immunogen corresponding to Synthetic Peptide within Human ETV5 aa 300-400 conjugated to Keyhole Limpet Haemocyanin.

View Alternative Names

ERM, ETV5, ETS translocation variant 5, Ets-related protein ERM

1 Images
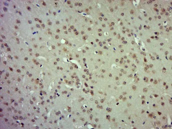
Immunohistochemistry (Formalin/PFA-fixed paraffin-embedded sections) - Anti-ERM / Etv5 antibody (AB217952)
  • IHC-P

Supplier Data

Immunohistochemistry (Formalin/PFA-fixed paraffin-embedded sections) - Anti-ERM / Etv5 antibody (AB217952)

Immunohistochemical analysis of formalin-fixed and paraffin embedded mouse brain tissue labeling ERM / Etv5 using ab217952 at 1/400, followed by secondary detection and DAB staining.

Key facts

Host species

Rabbit

Clonality

Polyclonal

Isotype

IgG

Carrier free

No

Reacts with

Mouse

Applications

IHC-P

applications

Immunogen

Synthetic Peptide within Human ETV5 aa 300-400 conjugated to Keyhole Limpet Haemocyanin. The exact immunogen used to generate this antibody is proprietary information.

P41161

Reactivity data

{ "title": "Reactivity Data", "filters": { "stats": ["", "Species", "Dilution Info", "Notes"], "tabs": { "all-applications": {"fullname" : "All Applications", "shortname": "All Applications"}, "IHCP" : {"fullname" : "Immunohistochemistry (Formalin/PFA-fixed paraffin-embedded sections)", "shortname":"IHC-P"} }, "product-promise": { "all": "all", "testedAndGuaranteed": "tested", "guaranteed": "expected", "predicted": "predicted", "notRecommended": "not-recommended" } }, "values": { "Human": { "IHCP-species-checked": "predicted", "IHCP-species-dilution-info": "", "IHCP-species-notes": "" }, "Mouse": { "IHCP-species-checked": "testedAndGuaranteed", "IHCP-species-dilution-info": "1/100 - 1/500", "IHCP-species-notes": "<p></p>" } } }

Properties and storage information

Form
Liquid
Purification technique
Affinity purification Protein A
Storage buffer
pH: 7.4 Preservative: 0.02% Proclin 300 Constituents: 50% Glycerol (glycerin, glycerine), 48.98% TBS, 1X, 1% BSA
Shipped at conditions
Blue Ice
Appropriate short-term storage duration
1-2 weeks
Appropriate short-term storage conditions
+4°C
Appropriate long-term storage conditions
-20°C
Aliquoting information
Upon delivery aliquot
Storage information
Avoid freeze / thaw cycle

Supplementary information

This supplementary information is collated from multiple sources and compiled automatically.

The ERM (Etv5) protein also known as ERM products or ERM Boston in some contexts functions as a transcription factor within the ETS family of proteins. This protein has a molecular weight of approximately 57 kDa. Expressed in a variety of tissues including the brain and reproductive organs Etv5 plays an important role in regulating gene expression by binding to specific DNA sequences. Its activities involve promoting transcription of genes vital for development and cellular differentiation.
Biological function summary

The ERM (Etv5) protein influences numerous developmental processes and cellular states. It participates in the MAP kinase signaling cascade where it facilitates responses to growth factors. By serving as a component in several regulatory complexes Etv5 modulates the expression of genes that control cell proliferation and survival. This activity is important for tissue development and maintenance especially in stem and progenitor cells.

Pathways

The ERM (Etv5) protein interacts with MAPK and PI3K/AKT signaling pathways essential for cellular growth and survival. These pathways often connect to the regulation of cell cycle and apoptosis involving proteins like Bcl-2 and c-Jun. Etv5 helps mediate the cellular response to external stimuli via these pathways influencing both proliferation and differentiation.

Irregular expression of the ERM (Etv5) protein correlates with conditions such as cancer and infertility. Overexpression or mutations in Etv5 have been linked to various cancers including prostate cancer where its interaction with proteins like PTEN influences tumor growth and progression. In reproductive disorders Etv5 plays a role in testicular germ cell development with disruptions potentially leading to infertility.

Product protocols

For this product, it's our understanding that no specific protocols are required. You can visit:

Target data

Binds to DNA sequences containing the consensus nucleotide core sequence 5'-GGAA.-3'.
See full target information ETV5

Publications (1)

Recent publications for all applications. Explore the full list and refine your search

Experimental & molecular medicine 54:47-60 PubMed35031788

2022

Oncogenic E3 ubiquitin ligase NEDD4 binds to KLF8 and regulates the microRNA-132/NRF2 axis in bladder cancer.

Applications

Unspecified application

Species

Unspecified reactive species

Minghuan Mao,Liang Yang,Jingyao Hu,Bing Liu,Xiling Zhang,Yili Liu,Ping Wang,Hangyu Li
View all publications

Product promise

We are committed to supporting your work with high-quality reagents, and we're here for you every step of the way. In the unlikely event that one of our products does not perform as expected, you're protected by our Product Promise.
For full details, please see our Terms & Conditions

Please note: All products are 'FOR RESEARCH USE ONLY. NOT FOR USE IN DIAGNOSTIC OR THERAPEUTIC PROCEDURES'.

For licensing inquiries, please contact partnerships@abcam.com