JavaScript is disabled in your browser. Please enable JavaScript to view this website.
AB249941

Anti-ERO1L antibody [EPR12474] - BSA and Azide free

Be the first to review this product! Submit a review

|

(1 Publication)

Rabbit Recombinant Monoclonal ERO1L antibody. Carrier free. Suitable for IHC-P, IP, WB, Flow Cyt (Intra) and reacts with Human samples. Cited in 1 publication.

View Alternative Names

ERO1L, UNQ434/PRO865, ERO1A, ERO1-like protein alpha, ERO1-L, ERO1-L-alpha, Endoplasmic oxidoreductin-1-like protein, Endoplasmic reticulum oxidoreductase alpha, Oxidoreductin-1-L-alpha

4 Images
Flow Cytometry (Intracellular) - Anti-ERO1L antibody [EPR12474] - BSA and Azide free (AB249941)
  • Flow Cyt (Intra)

Supplier Data

Flow Cytometry (Intracellular) - Anti-ERO1L antibody [EPR12474] - BSA and Azide free (AB249941)

This data was developed using ab177156, the same antibody clone in a different buffer formulation.

Intracellular flow cytometric analysis of permeabilized HeLa cells labeling ERO1L with ab177156 at 1/10 dilution (red), or a rabbit IgG (negative) (green).

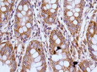
Immunohistochemistry (Formalin/PFA-fixed paraffin-embedded sections) - Anti-ERO1L antibody [EPR12474] - BSA and Azide free (AB249941)
  • IHC-P

Supplier Data

Immunohistochemistry (Formalin/PFA-fixed paraffin-embedded sections) - Anti-ERO1L antibody [EPR12474] - BSA and Azide free (AB249941)

This data was developed using ab177156, the same antibody clone in a different buffer formulation.

Immunohistochemical analysis of paraffin-embedded Human colon tissue labeling ERO1L with ab177156 at 1/100 dilution.

Perform heat mediated antigen retrieval before commencing with IHC staining protocol.

Immunoprecipitation - Anti-ERO1L antibody [EPR12474] - BSA and Azide free (AB249941)
  • IP

Supplier Data

Immunoprecipitation - Anti-ERO1L antibody [EPR12474] - BSA and Azide free (AB249941)

This data was developed using ab177156, the same antibody clone in a different buffer formulation.

Western blot analysis on immunoprecipitation pellet from (Lane 1) HepG2 cell lysate or (Lane 2) 1 X PBS (negative control) using ab177156 and HRP-conjugated anti-rabbit IgG preferentially detecting the non-reduced form of rabbit IgG.

All lanes:

Immunoprecipitation - Anti-ERO1L antibody [EPR12474] (<a href='/en-us/products/primary-antibodies/ero1l-antibody-epr12474-ab177156'>ab177156</a>)

Predicted band size: 54 kDa

false

Western blot - Anti-ERO1L antibody [EPR12474] - BSA and Azide free (AB249941)
  • WB

Supplier Data

Western blot - Anti-ERO1L antibody [EPR12474] - BSA and Azide free (AB249941)

This data was developed using ab177156, the same antibody clone in a different buffer formulation.

All lanes:

Western blot - Anti-ERO1L antibody [EPR12474] (<a href='/en-us/products/primary-antibodies/ero1l-antibody-epr12474-ab177156'>ab177156</a>) at 1/1000 dilution

Lane 1:

HepG2 cell lysate at 10 µg

Lane 2:

293T cell lysate at 10 µg

Lane 3:

MCF-7 cell lysate at 10 µg

Lane 4:

HeLa cell lysate at 10 µg

Secondary

All lanes:

Goat anti-rabbit HRP conjugated at 1/2000 dilution

Predicted band size: 54 kDa

false

Key facts

Host species

Rabbit

Clonality

Monoclonal

Clone number

EPR12474

Isotype

IgG

Carrier free

Yes

Reacts with

Human

Applications

IP, Flow Cyt (Intra), WB, IHC-P

applications

Immunogen

The exact immunogen used to generate this antibody is proprietary information.

Reactivity data

{ "title": "Reactivity Data", "filters": { "stats": ["", "Species", "Dilution Info", "Notes"], "tabs": { "all-applications": {"fullname" : "All Applications", "shortname": "All Applications"}, "IHCP" : {"fullname" : "Immunohistochemistry (Formalin/PFA-fixed paraffin-embedded sections)", "shortname":"IHC-P"}, "IP" : {"fullname" : "Immunoprecipitation", "shortname":"IP"}, "WB" : {"fullname" : "Western blot", "shortname":"WB"}, "FlowCytIntra" : {"fullname" : "Flow Cytometry (Intracellular)", "shortname":"Flow Cyt (Intra)"} }, "product-promise": { "all": "all", "testedAndGuaranteed": "tested", "guaranteed": "expected", "predicted": "predicted", "notRecommended": "not-recommended" } }, "values": { "Human": { "IHCP-species-checked": "testedAndGuaranteed", "IHCP-species-dilution-info": "", "IHCP-species-notes": "<p></p>", "IP-species-checked": "testedAndGuaranteed", "IP-species-dilution-info": "", "IP-species-notes": "<p></p>", "WB-species-checked": "testedAndGuaranteed", "WB-species-dilution-info": "", "WB-species-notes": "<p></p>", "FlowCytIntra-species-checked": "testedAndGuaranteed", "FlowCytIntra-species-dilution-info": "", "FlowCytIntra-species-notes": "<p></p>" }, "Mouse": { "IHCP-species-checked": "predicted", "IHCP-species-dilution-info": "", "IHCP-species-notes": "", "IP-species-checked": "predicted", "IP-species-dilution-info": "", "IP-species-notes": "", "WB-species-checked": "predicted", "WB-species-dilution-info": "", "WB-species-notes": "", "FlowCytIntra-species-checked": "predicted", "FlowCytIntra-species-dilution-info": "", "FlowCytIntra-species-notes": "" } } }

Product details

ab249941 is the carrier-free version of ab177156.

Patented technology
Our RabMAb® technology is a patented hybridoma-based technology for making rabbit monoclonal antibodies. For details on our patents, please refer to RabMAb® patents.

What are the advantages of a recombinant monoclonal antibody?
This product is a recombinant monoclonal antibody, which offers several advantages including:

  • - High batch-to-batch consistency and reproducibility
  • - Improved sensitivity and specificity
  • - Long-term security of supply
  • - Animal-free batch production

For more information, read more on recombinant antibodies.

Species reactivity
Rat: We have preliminary internal testing data to indicate this antibody may not react with this species.
Please contact us for more information.

Conjugation ready
Our carrier-free antibodies are typically supplied in a PBS-only formulation, purified and free of BSA, sodium azide and glycerol. This conjugation-ready format is designed for use with fluorochromes, metal isotopes, oligonucleotides, and enzymes, which makes them ideal for antibody labelling, functional and cell-based assays, flow-based assays (e.g. mass cytometry) and Multiplex Imaging applications.

Use our conjugation kits for antibody conjugates that are ready-to-use in as little as 20 minutes with 1 minute hands-on-time and 100% antibody recovery: available for fluorescent dyes, HRP, biotin and gold.

Compatibility
This product is compatible with the Maxpar® Antibody Labeling Kit from Fluidigm, without the need for antibody preparation. Maxpar® is a trademark of Fluidigm Canada Inc.

Properties and storage information

Form
Liquid
Purification technique
Affinity purification
Storage buffer
pH: 7.2 - 7.4 Constituents: PBS
Shipped at conditions
Blue Ice
Appropriate short-term storage conditions
+4°C
Appropriate long-term storage conditions
+4°C
Storage information
Do Not Freeze

Supplementary information

This supplementary information is collated from multiple sources and compiled automatically.

ERO1L also known as ERO1-alpha is a protein involved in the formation of disulfide bonds in the endoplasmic reticulum important for protein folding. The molecular mass of ERO1L is approximately 54 kDa. ERO1L primarily expresses in tissues with high secretory activities such as the liver and pancreas. It plays a vital role in maintaining redox homeostasis within the cell by transferring electrons from protein disulfide isomerase to molecular oxygen.
Biological function summary

ERO1L contributes to oxidative protein folding within the endoplasmic reticulum. As part of a complex it interacts with protein disulfide isomerases to facilitate the introduction of disulfide bonds into nascent proteins. This function is essential for the proper maturation of secreted proteins influencing cellular protein management processes. ERO1L activity impacts cellular responses to stress and influences the capacity of cells to handle unfolded proteins.

Pathways

ERO1L significantly influences the protein folding and endoplasmic reticulum-associated degradation pathway. It has strong associations with protein disulfide isomerase and interacts within the unfolded protein response to manage cellular stress caused by misfolded proteins. The protein contributes to the maintenance of a stable internal environment during conditions where protein folding demands increase.

ERO1L shows connections to cancer and neurodegenerative disorders. Aberrant expression of ERO1L can influence tumor growth due to its role in modulating cellular stress responses and managing protein folding in cancer cells. The protein also shows a relationship with neurodegenerative conditions through its involvement in protein misfolding pathways which are critical in diseases like Alzheimer's. ERO1L collaborates with proteins like protein disulfide isomerase and participates in cellular mechanisms underlying these conditions.

Product protocols

For this product, it's our understanding that no specific protocols are required. You can visit:

Target data

Oxidoreductase involved in disulfide bond formation in the endoplasmic reticulum. Efficiently reoxidizes P4HB/PDI, the enzyme catalyzing protein disulfide formation, in order to allow P4HB to sustain additional rounds of disulfide formation. Following P4HB reoxidation, passes its electrons to molecular oxygen via FAD, leading to the production of reactive oxygen species (ROS) in the cell. Required for the proper folding of immunoglobulins (PubMed : 29858230). Plays an important role in ER stress-induced, CHOP-dependent apoptosis by activating the inositol 1,4,5-trisphosphate receptor IP3R1. Involved in the release of the unfolded cholera toxin from reduced P4HB/PDI in case of infection by V.cholerae, thereby playing a role in retrotranslocation of the toxin.
See full target information ERO1A

Publications (1)

Recent publications for all applications. Explore the full list and refine your search

Cell death discovery 7:357 PubMed34785642

2021

UBE2S promotes cell chemoresistance through PTEN-AKT signaling in hepatocellular carcinoma.

Applications

Unspecified application

Species

Unspecified reactive species

Liang Gui,Sicai Zhang,Yongzi Xu,Hongwei Zhang,Ying Zhu,Lianbao Kong
View all publications

Product promise

We are committed to supporting your work with high-quality reagents, and we're here for you every step of the way. In the unlikely event that one of our products does not perform as expected, you're protected by our Product Promise.
For full details, please see our Terms & Conditions

Please note: All products are 'FOR RESEARCH USE ONLY. NOT FOR USE IN DIAGNOSTIC OR THERAPEUTIC PROCEDURES'.

For licensing inquiries, please contact partnerships@abcam.com