JavaScript is disabled in your browser. Please enable JavaScript to view this website.
AB313495

Anti-ERO1L antibody [RP23040237]

Be the first to review this product! Submit a review

|

(0 Publication)

Rabbit Recombinant Monoclonal ERO1L antibody. Suitable for ICC/IF, WB and reacts with Human, Mouse samples. Immunogen corresponding to Recombinant Fragment Protein within Human ERO1A.

View Alternative Names

ERO1L, UNQ434/PRO865, ERO1A, ERO1-like protein alpha, ERO1-L, ERO1-L-alpha, Endoplasmic oxidoreductin-1-like protein, Endoplasmic reticulum oxidoreductase alpha, Oxidoreductin-1-L-alpha

2 Images
Immunocytochemistry/ Immunofluorescence - Anti-ERO1L antibody [RP23040237] (AB313495)
  • ICC/IF

Supplier Data

Immunocytochemistry/ Immunofluorescence - Anti-ERO1L antibody [RP23040237] (AB313495)

Immunofluorescent analysis of DU145 cells fixed with 4% formaldehyde reconstituted in 1X PBS for 10 min at room temperature and permabilized using 0.1 % Triton X-100 in PBS for 15 min at room temperature labeling endogenous ERO1L with ab313495 at 2 µg/mL dilution followed by Goat anti-Rabbit IgG (H+L) Secondary Antibody, Alexa Fluor 488 conjugate at 1/2000 dilution. Panel a) shows representative cells that were stained for detection and localization of Ero1/endoplasmic oxidoreductin-1 protein (green), Panel b) is stained for nuclei (blue) using DAPI. Panel c) represents cytoskeletal F-actin staining using Rhodamine Phalloidin at 1/300 dilution. Panel d) is a composite image of Panels a, b and c clearly demonstrating cytoplasmic localization of ERO1L. Panel e) represents control cells with no primary antibody to assess background. The images were captured at 60X magnification.

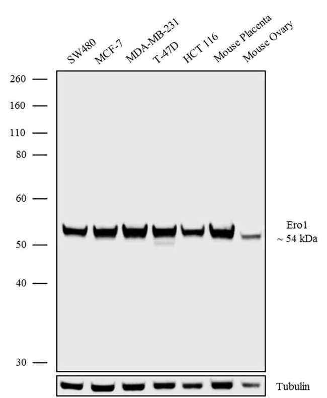
Western blot - Anti-ERO1L Antibody [RP23040237] (AB313495)
  • WB

Supplier Data

Western blot - Anti-ERO1L Antibody [RP23040237] (AB313495)

All lanes:

Western blot - Anti-ERO1L Antibody [RP23040237] (ab313495) at 1 µg/mL

Lane 1:

SW480 cell lysate at 30 µg

Lane 2:

MCF7 cell lysate at 30 µg

Lane 3:

MDA-MB-231 cell lysate at 30 µg

Lane 4:

T47D cell lysate at 30 µg

Lane 5:

HCT116 cell lysate at 30 µg

Lane 6:

mouse placenta tissue lysate at 30 µg

Lane 7:

mouse ovary tissue lysate at 30 µg

Secondary

All lanes:

Goat anti-Rabbit IgG (H+L) Secondary Antibody, HRP conjugate at 1/2500 dilution

Observed band size: 54 kDa

true

Key facts

Host species

Rabbit

Clonality

Monoclonal

Isotype

IgG

Carrier free

No

Reacts with

Human, Mouse

Applications

ICC/IF, WB

applications

Immunogen

Recombinant Fragment Protein within Human ERO1A.

Q96HE7

Reactivity data

{ "title": "Reactivity Data", "filters": { "stats": ["", "Species", "Dilution Info", "Notes"], "tabs": { "all-applications": {"fullname" : "All Applications", "shortname": "All Applications"}, "ICCIF" : {"fullname" : "Immunocytochemistry/ Immunofluorescence", "shortname":"ICC/IF"}, "WB" : {"fullname" : "Western blot", "shortname":"WB"} }, "product-promise": { "all": "all", "testedAndGuaranteed": "tested", "guaranteed": "expected", "predicted": "predicted", "notRecommended": "not-recommended" } }, "values": { "Human": { "ICCIF-species-checked": "testedAndGuaranteed", "ICCIF-species-dilution-info": "2 µg/mL", "ICCIF-species-notes": "<p></p>", "WB-species-checked": "testedAndGuaranteed", "WB-species-dilution-info": "1 µg/mL", "WB-species-notes": "<p></p>" }, "Mouse": { "ICCIF-species-checked": "guaranteed", "ICCIF-species-dilution-info": "", "ICCIF-species-notes": "", "WB-species-checked": "testedAndGuaranteed", "WB-species-dilution-info": "1 µg/mL", "WB-species-notes": "<p></p>" } } }

Product details

What are recombinant multiclonals?
Recombinant multiclonals are a mixture of recombinant antibodies co-expressed from a library of heavy and light chains. They offer several advantages including:

  • - The sensitivity of polyclonal antibodies by recognising multiple epitopes
  • - High batch-to-batch consistency and reproducibility
  • - Improved sensitivity and specificity
  • - Long-term security of supply
  • - Animal-free batch production

View our range of recombinant multiclonal antibodies.

Properties and storage information

Form
Liquid
Purification technique
Affinity purification Protein A
Storage buffer
pH: 7.4 Preservative: 0.09% Sodium azide Constituents: 99.91% PBS
Shipped at conditions
Blue Ice
Appropriate short-term storage conditions
+4°C
Appropriate long-term storage conditions
-20°C

Supplementary information

This supplementary information is collated from multiple sources and compiled automatically.

ERO1L also known as ERO1-alpha is a protein involved in the formation of disulfide bonds in the endoplasmic reticulum important for protein folding. The molecular mass of ERO1L is approximately 54 kDa. ERO1L primarily expresses in tissues with high secretory activities such as the liver and pancreas. It plays a vital role in maintaining redox homeostasis within the cell by transferring electrons from protein disulfide isomerase to molecular oxygen.
Biological function summary

ERO1L contributes to oxidative protein folding within the endoplasmic reticulum. As part of a complex it interacts with protein disulfide isomerases to facilitate the introduction of disulfide bonds into nascent proteins. This function is essential for the proper maturation of secreted proteins influencing cellular protein management processes. ERO1L activity impacts cellular responses to stress and influences the capacity of cells to handle unfolded proteins.

Pathways

ERO1L significantly influences the protein folding and endoplasmic reticulum-associated degradation pathway. It has strong associations with protein disulfide isomerase and interacts within the unfolded protein response to manage cellular stress caused by misfolded proteins. The protein contributes to the maintenance of a stable internal environment during conditions where protein folding demands increase.

ERO1L shows connections to cancer and neurodegenerative disorders. Aberrant expression of ERO1L can influence tumor growth due to its role in modulating cellular stress responses and managing protein folding in cancer cells. The protein also shows a relationship with neurodegenerative conditions through its involvement in protein misfolding pathways which are critical in diseases like Alzheimer's. ERO1L collaborates with proteins like protein disulfide isomerase and participates in cellular mechanisms underlying these conditions.

Product protocols

For this product, it's our understanding that no specific protocols are required. You can visit:

Target data

Oxidoreductase involved in disulfide bond formation in the endoplasmic reticulum. Efficiently reoxidizes P4HB/PDI, the enzyme catalyzing protein disulfide formation, in order to allow P4HB to sustain additional rounds of disulfide formation. Following P4HB reoxidation, passes its electrons to molecular oxygen via FAD, leading to the production of reactive oxygen species (ROS) in the cell. Required for the proper folding of immunoglobulins (PubMed : 29858230). Plays an important role in ER stress-induced, CHOP-dependent apoptosis by activating the inositol 1,4,5-trisphosphate receptor IP3R1. Involved in the release of the unfolded cholera toxin from reduced P4HB/PDI in case of infection by V.cholerae, thereby playing a role in retrotranslocation of the toxin.
See full target information ERO1A

Product promise

We are committed to supporting your work with high-quality reagents, and we're here for you every step of the way. In the unlikely event that one of our products does not perform as expected, you're protected by our Product Promise.
For full details, please see our Terms & Conditions

Please note: All products are 'FOR RESEARCH USE ONLY. NOT FOR USE IN DIAGNOSTIC OR THERAPEUTIC PROCEDURES'.

For licensing inquiries, please contact partnerships@abcam.com