JavaScript is disabled in your browser. Please enable JavaScript to view this website.
AB197290

Anti-ERO1LB antibody

Be the first to review this product! Submit a review

|

(2 Publications)

Rabbit Polyclonal ERO1LB antibody. Suitable for WB, IHC-P and reacts with Human samples. Cited in 2 publications. Immunogen corresponding to Recombinant Fragment Protein within Human ERO1B aa 250-450.

View Alternative Names

ERO1LB, ERO1B, ERO1-like protein beta, ERO1-L-beta, Endoplasmic reticulum oxidoreductase beta, Endoplasmic reticulum oxidoreductin-1-like protein B, Oxidoreductin-1-L-beta

2 Images
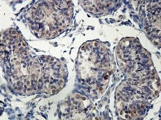
Immunohistochemistry (Formalin/PFA-fixed paraffin-embedded sections) - Anti-ERO1LB antibody (AB197290)
  • IHC-P

Supplier Data

Immunohistochemistry (Formalin/PFA-fixed paraffin-embedded sections) - Anti-ERO1LB antibody (AB197290)

Immunohistochemical analysis of formalin-fixed paraffin-embedded human fetal testis tissue labeling ERO1LB with ab197290 at a 1/100 dilution.

Western blot - Anti-ERO1LB antibody (AB197290)
  • WB

Supplier Data

Western blot - Anti-ERO1LB antibody (AB197290)

All lanes:

Western blot - Anti-ERO1LB antibody (ab197290) at 1/500 dilution

All lanes:

human fetal testis lysate

Predicted band size: 54 kDa

false

Key facts

Host species

Rabbit

Clonality

Polyclonal

Isotype

IgG

Carrier free

No

Reacts with

Human

Applications

WB, IHC-P

applications

Immunogen

Recombinant Fragment Protein within Human ERO1B aa 250-450. The exact immunogen used to generate this antibody is proprietary information.

Q86YB8

Reactivity data

{ "title": "Reactivity Data", "filters": { "stats": ["", "Species", "Dilution Info", "Notes"], "tabs": { "all-applications": {"fullname" : "All Applications", "shortname": "All Applications"}, "WB" : {"fullname" : "Western blot", "shortname":"WB"}, "IHCP" : {"fullname" : "Immunohistochemistry (Formalin/PFA-fixed paraffin-embedded sections)", "shortname":"IHC-P"} }, "product-promise": { "all": "all", "testedAndGuaranteed": "tested", "guaranteed": "expected", "predicted": "predicted", "notRecommended": "not-recommended" } }, "values": { "Human": { "WB-species-checked": "testedAndGuaranteed", "WB-species-dilution-info": "1/200 - 1/1000", "WB-species-notes": "<p></p>", "IHCP-species-checked": "testedAndGuaranteed", "IHCP-species-dilution-info": "1/100 - 1/500", "IHCP-species-notes": "<p></p>" }, "Mouse": { "WB-species-checked": "predicted", "WB-species-dilution-info": "", "WB-species-notes": "", "IHCP-species-checked": "predicted", "IHCP-species-dilution-info": "", "IHCP-species-notes": "" } } }

Properties and storage information

Form
Lyophilized
Reconstitution
reconstitute with water at 200µL
Purification technique
Affinity purification Immunogen
Storage buffer
pH: 7.2 Preservative: 0.02% Sodium azide Constituents: PBS, 1% BSA
Shipped at conditions
Blue Ice
Appropriate short-term storage duration
1-2 weeks
Appropriate short-term storage conditions
+4°C
Appropriate long-term storage conditions
-20°C
Aliquoting information
Upon delivery aliquot
Storage information
Avoid freeze / thaw cycle

Supplementary information

This supplementary information is collated from multiple sources and compiled automatically.

ERO1LB also known as Endoplasmic Reticulum Oxidoreductin 1 Beta or ERO1-like protein beta is an enzyme involved in oxidative protein folding. It is approximately 55 kDa in size. ERO1LB localizes mainly in the endoplasmic reticulum and is expressed in various tissues with higher expression in the pancreas and secretory tissues. This protein functions by reoxidizing PDI (protein disulfide isomerase) enzymes which assists in forming disulfide bonds essential for protein folding.
Biological function summary

ERO1LB plays a role in the cellular response to oxidative stress and regulation of the redox state. It acts as part of a complex that maintains the proper folding of secretory and membrane proteins. ERO1LB helps maintain the balance between reducing equivalents in the endoplasmic reticulum and cellular homeostasis. It contributes to efficient protein secretion which is critical for tissues with high secretory demands.

Pathways

ERO1LB is integral to the protein folding and secretory pathways. It participates in the oxidative folding pathway by regenerating the oxidized state of PDIs which directly impacts protein disulfide formation. ERO1LB interacts with proteins such as PDI and ERO1A to maintain redox homeostasis ensuring the efficacy of the protein folding machinery. It helps regulate the unfolded protein response (UPR) a pathway important for preventing the accumulation of misfolded proteins.

Oxidative stress-related conditions and pancreatic diseases involve the ERO1LB protein. Abnormal expression of ERO1LB can contribute to disorders like diabetes given its role in insulin biosynthesis. The protein interacts with insulin processing and secretion where a misbalance might result in disease. Additionally ERO1LB connects to oxidative stress mechanisms linking to the pathology of neurodegenerative diseases through shared pathways with other oxidoreductases.

Product protocols

For this product, it's our understanding that no specific protocols are required. You can visit:

Target data

Oxidoreductase involved in disulfide bond formation in the endoplasmic reticulum. Efficiently reoxidizes P4HB/PDI, the enzyme catalyzing protein disulfide formation, in order to allow P4HB to sustain additional rounds of disulfide formation. Other protein disulfide isomerase family members can also be reoxidized, but at lower rates compared to P4HB, including PDIA2 (50% of P4HB reoxidation rate), as well as PDIA3, PDIA4, PDIA6 and NXNDC12 (<10%). Following P4HB reoxidation, passes its electrons to molecular oxygen via FAD, leading to the production of reactive oxygen species (ROS) in the cell. May be involved in oxidative proinsulin folding in pancreatic cells, hence may play a role in glucose homeostasis.
See full target information ERO1B

Publications (2)

Recent publications for all applications. Explore the full list and refine your search

Acta biochimica et biophysica Sinica 57:1670-1683 PubMed40264416

2025

Single-cell transcriptomic data reveal the cellular heterogeneity of glutamine metabolism in gastric premalignant lesions and early gastric cancer.

Applications

Unspecified application

Species

Unspecified reactive species

Qingfeng Ni,Jiawei Yu,Yuanjie Niu,Zhenwei Han,Boyang Hu,Yang Wang,Jianwei Zhu

Cancer science 111:2284-2296 PubMed32314457

2020

Downregulation of α-l-fucosidase 1 suppresses glioma progression by enhancing autophagy and inhibiting macrophage infiltration.

Applications

Unspecified application

Species

Unspecified reactive species

Lixia Xu,Zhenwei Li,Sirong Song,Qian Chen,Lidong Mo,Chen Wang,Weijia Fan,Yan Yan,Xiaoguang Tong,Hua Yan
View all publications

Product promise

We are committed to supporting your work with high-quality reagents, and we're here for you every step of the way. In the unlikely event that one of our products does not perform as expected, you're protected by our Product Promise.
For full details, please see our Terms & Conditions

Please note: All products are 'FOR RESEARCH USE ONLY. NOT FOR USE IN DIAGNOSTIC OR THERAPEUTIC PROCEDURES'.

For licensing inquiries, please contact partnerships@abcam.com