JavaScript is disabled in your browser. Please enable JavaScript to view this website.
AB316209

Anti-Eros antibody [EPR28697-6]

  • 20ul selling size
  • KO Validated
  • Recombinant
  • RabMAb
  • What is this?

Be the first to review this product! Submit a review

|

(0 Publication)

Knockout Tested Rabbit Recombinant Monoclonal Eros antibody. Suitable for WB and reacts with Human, Mouse, Rat samples.

View Alternative Names

C17orf62, EROS, CYBC1, Cytochrome b-245 chaperone 1, Essential for reactive oxygen species protein, Eros

4 Images
Western blot - Anti-Eros antibody [EPR28697-6] (AB316209)
  • WB

Lab

Western blot - Anti-Eros antibody [EPR28697-6] (AB316209)

Western blot : Anti-CYBC1 antibody [EPR28697-6] (ab316209) staining at 1/1000 dilution, shown in green; Mouse anti-Alpha Tubulin [DM1A] (ab7291) loading control staining at 1/20000 dilution, shown in magenta. In Western blot, ab316209 was shown to bind specifically to CYBC1. A band was observed at 18 kDa in wild-type HCT 116 cell lysates with no signal observed at this size in CYBC1 knockout cell line. To generate this image, wild-type and CYBC1 knockout HCT 116 cell lysates were analysed. First, samples were run on an SDS-PAGE gel then transferred onto a nitrocellulose membrane. Membranes were blocked in 3 % milk in TBS-0.1 % Tween® 20 (TBS-T) before incubation with primary antibodies overnight at 4 °C. Blots were washed four times in TBS-T, incubated with secondary antibodies for 1 h at room temperature, washed again four times then imaged. Secondary antibodies used were Goat anti-Rabbit IgG H&L 800CW and Goat anti-Mouse IgG H&L 680RD at 1/20000 dilution.

All lanes:

Western blot - Anti-Eros antibody [EPR28697-6] (ab316209) at 1/1000 dilution

Lane 1:

Wild-type HCT 116 cell lysate at 20 µg

Lane 2:

CYBC1 knockout HCT 116 cell lysate at 20 µg

Lane 3:

THP-1 cell lysate at 20 µg

Lane 4:

Jurkat cell lysate at 20 µg

Lane 5:

HEK-293 cell lysate at 20 µg

Secondary

All lanes:

Goat anti-Rabbit IgG H&L 800CW and Goat anti-Mouse IgG H&L 680RD at 1/20000 dilution

Observed band size: 18 kDa

false

Western blot - Anti-Eros antibody [EPR28697-6] (AB316209)
  • WB

Supplier Data

Western blot - Anti-Eros antibody [EPR28697-6] (AB316209)

In Western blot, Anti-GAPDH antibody [EPR16891] - Loading Control (ab181602) staining at 1/200000 dilution.

Exposure time : Lane1-2 : 180 seconds, lane3 : 59 seconds, lane4-5 : 180 seconds

All lanes:

Western blot - Anti-Eros antibody [EPR28697-6] (ab316209) at 1/1000 dilution

Lane 1:

PC-3 (human prostate adenocarcinoma epithelial cell) transfected with scrambled siRNA control whole cell lysate at 20 µg with 5% NFDM/TBST

Lane 2:

PC-3 transfected with siRNA specifically targeting Eros whole cell lysate at 20 µg with 5% NFDM/TBST

Lane 3:

THP-1 (human monocytic leukemia monocyte) whole cell lysate at 20 µg with 5% NFDM/TBST

Lane 4:

Raji (human Burkitts lymphoma B lymphocyte) whole cell lysate at 20 µg with 5% NFDM/TBST

Lane 5:

Jurkat (human T cell leukemia T lymphocyte from peripheral blood) whole cell lysate at 20 µg with 5% NFDM/TBST

Secondary

All lanes:

Western blot - Goat Anti-Rabbit IgG H&L (HRP) (<a href='/en-us/products/secondary-antibodies/goat-rabbit-igg-h-l-hrp-ab97051'>ab97051</a>) at 1/100000 dilution

Observed band size: 20 kDa,36 kDa

false

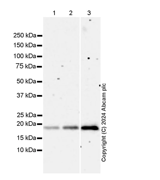
Western blot - Anti-Eros antibody [EPR28697-6] (AB316209)
  • WB

Supplier Data

Western blot - Anti-Eros antibody [EPR28697-6] (AB316209)

Low expression : skeletal muscle, heart

The identity of the higher MW band at approximately 70 kDa is unknown.

In Western blot, Anti-GAPDH antibody [EPR16891] - Loading Control (ab181602) staining at 1/200000 dilution.

All lanes:

Western blot - Anti-Eros antibody [EPR28697-6] (ab316209) at 1/1000 dilution

Lane 1:

Human spleen tissue lysate at 20 µg with 5% NFDM/TBST

Lane 2:

Human lymph node tissue lysate at 20 µg with 5% NFDM/TBST

Lane 3:

Human skeletal muscle tissue lysate at 20 µg with 5% NFDM/TBST

Lane 4:

Mouse spleen tissue lysate at 20 µg with 5% NFDM/TBST

Lane 5:

Mouse lymph node tissue lysate at 20 µg with 5% NFDM/TBST

Lane 6:

Mouse heart tissue lysate at 20 µg with 5% NFDM/TBST

Lane 7:

Rat spleen tissue lysate at 20 µg with 5% NFDM/TBST

Lane 8:

Rat skeletal muscle tissue lysate at 20 µg with 5% NFDM/TBST

Secondary

All lanes:

Western blot - Goat Anti-Rabbit IgG H&L (HRP) (<a href='/en-us/products/secondary-antibodies/goat-rabbit-igg-h-l-hrp-ab97051'>ab97051</a>) at 1/100000 dilution

Observed band size: 20 kDa,36 kDa

false

Exposure time: 180s

Western blot - Anti-Eros antibody [EPR28697-6] (AB316209)
  • WB

Supplier Data

Western blot - Anti-Eros antibody [EPR28697-6] (AB316209)

All lanes:

Western blot - Anti-Eros antibody [EPR28697-6] (ab316209) at 1/1000 dilution

Lane 1:

RAW 264.7 (mouse Abelson murine leukemia virus-induced tumor macrophage) whole cell lysate at 20 µg with 5% NFDM/TBST

Lane 2:

J774A.1 (mouse reticum cell sarcoma monocyte/macrophage ) whole cell lysate at 20 µg with 5% NFDM/TBST

Lane 3:

NR8383 (rat alveolar macrophage) whole cell lysate at 20 µg with 5% NFDM/TBST

Secondary

All lanes:

Western blot - Goat Anti-Rabbit IgG H&L (HRP) (<a href='/en-us/products/secondary-antibodies/goat-rabbit-igg-h-l-hrp-ab97051'>ab97051</a>) at 1/100000 dilution

Observed band size: 20 kDa

false

Exposure time: 180s

Key facts

Host species

Rabbit

Clonality

Monoclonal

Clone number

EPR28697-6

Isotype

IgG

Carrier free

No

Reacts with

Human, Mouse, Rat

Applications

WB

applications

Immunogen

The exact immunogen used to generate this antibody is proprietary information.

Reactivity data

{ "title": "Reactivity Data", "filters": { "stats": ["", "Species", "Dilution Info", "Notes"], "tabs": { "all-applications": {"fullname" : "All Applications", "shortname": "All Applications"}, "WB" : {"fullname" : "Western blot", "shortname":"WB"}, "FlowCytIntra" : {"fullname" : "Flow Cytometry (Intracellular)", "shortname":"Flow Cyt (Intra)"}, "ICCIF" : {"fullname" : "Immunocytochemistry/ Immunofluorescence", "shortname":"ICC/IF"}, "IHCP" : {"fullname" : "Immunohistochemistry (Formalin/PFA-fixed paraffin-embedded sections)", "shortname":"IHC-P"}, "IP" : {"fullname" : "Immunoprecipitation", "shortname":"IP"} }, "product-promise": { "all": "all", "testedAndGuaranteed": "tested", "guaranteed": "expected", "predicted": "predicted", "notRecommended": "not-recommended" } }, "values": { "Human": { "WB-species-checked": "testedAndGuaranteed", "WB-species-dilution-info": "1/1000", "WB-species-notes": "<p></p>", "FlowCytIntra-species-checked": "notRecommended", "FlowCytIntra-species-dilution-info": "", "FlowCytIntra-species-notes": "<p></p>", "ICCIF-species-checked": "notRecommended", "ICCIF-species-dilution-info": "", "ICCIF-species-notes": "<p></p>", "IHCP-species-checked": "notRecommended", "IHCP-species-dilution-info": "", "IHCP-species-notes": "<p></p>", "IP-species-checked": "notRecommended", "IP-species-dilution-info": "", "IP-species-notes": "<p></p>" }, "Mouse": { "WB-species-checked": "testedAndGuaranteed", "WB-species-dilution-info": "1/1000", "WB-species-notes": "<p></p>", "FlowCytIntra-species-checked": "notRecommended", "FlowCytIntra-species-dilution-info": "", "FlowCytIntra-species-notes": "", "ICCIF-species-checked": "notRecommended", "ICCIF-species-dilution-info": "", "ICCIF-species-notes": "<p></p>", "IHCP-species-checked": "notRecommended", "IHCP-species-dilution-info": "", "IHCP-species-notes": "<p></p>", "IP-species-checked": "notRecommended", "IP-species-dilution-info": "", "IP-species-notes": "" }, "Rat": { "WB-species-checked": "testedAndGuaranteed", "WB-species-dilution-info": "1/1000", "WB-species-notes": "<p></p>", "FlowCytIntra-species-checked": "notRecommended", "FlowCytIntra-species-dilution-info": "", "FlowCytIntra-species-notes": "", "ICCIF-species-checked": "notRecommended", "ICCIF-species-dilution-info": "", "ICCIF-species-notes": "", "IHCP-species-checked": "notRecommended", "IHCP-species-dilution-info": "", "IHCP-species-notes": "<p></p>", "IP-species-checked": "notRecommended", "IP-species-dilution-info": "", "IP-species-notes": "" } } }

Product details

Patented technology
Our RabMAb® technology is a patented hybridoma-based technology for making rabbit monoclonal antibodies. For details on our patents, please refer to RabMAb® patents.

What are the advantages of a recombinant monoclonal antibody?
This product is a recombinant monoclonal antibody, which offers several advantages including:

  • - High batch-to-batch consistency and reproducibility
  • - Improved sensitivity and specificity
  • - Long-term security of supply
  • - Animal-free batch production

For more information, read more on recombinant antibodies.

Properties and storage information

Form
Liquid
Purification technique
Affinity purification Protein A
Storage buffer
pH: 7.2 - 7.4 Preservative: 0.01% Sodium azide Constituents: PBS, 40% Glycerol (glycerin, glycerine), 0.05% BSA
Shipped at conditions
Blue Ice
Appropriate short-term storage duration
1-2 weeks
Appropriate short-term storage conditions
+4°C
Appropriate long-term storage conditions
-20°C
Aliquoting information
Upon delivery aliquot
Storage information
Avoid freeze / thaw cycle

Supplementary information

This supplementary information is collated from multiple sources and compiled automatically.

The biological target known as Eros also referred to as 'peptides’ or 'anti Eros' is a protein associated with various cellular functions. Eros has a molecular mass typically around 30 kDa. It is expressed in multiple tissues prominently in the cells of the immune system. This protein modulates immune responses and cell signaling. The distribution of Eros is essential for effective cellular defense mechanisms.
Biological function summary

The function of Eros extends beyond simple protein interactions. It contributes significantly to reactive oxygen species (ROS) production which is important in phagocytic processes. Eros acts as part of the NADPH oxidase complex a multi-component enzyme system found within phagocytes. The assembly of this complex remains fundamental for generating ROS facilitating microbial killing during immune defenses and inflammation.

Pathways

Eros operates intricately within the immune response modulation and redox regulation pathways. It plays an important role in the oxidative burst pathway where its presence is necessary for proper NADPH oxidase function. This involves interactions with protein components such as gp91phox and p22phox which are part of the membrane-bound cytochrome b558. Eros helps to maintain optimal activity of this complex ensuring effective pathogen destruction.

Eros is linked with chronic granulomatous disease (CGD) and inflammatory response dysregulation. Deficient Eros function can lead to CGD a condition caused by an inability to produce sufficient ROS for microbial destruction. This connection highlights the relationships between Eros and other components of the NADPH oxidase complex including p47phox which also suffers mutations in CGD. Dysfunctional Eros may also contribute to inflammatory disorders potentially influencing disease progression and severity.

Product protocols

For this product, it's our understanding that no specific protocols are required. You can visit:

Target data

Functions as a chaperone necessary for a stable expression of the CYBA and CYBB subunits of the cytochrome b-245 heterodimer (PubMed : 30361506). Controls the phagocyte respiratory burst and is essential for innate immunity (By similarity).
See full target information CYBC1

Product promise

We are committed to supporting your work with high-quality reagents, and we're here for you every step of the way. In the unlikely event that one of our products does not perform as expected, you're protected by our Product Promise.
For full details, please see our Terms & Conditions

Please note: All products are 'FOR RESEARCH USE ONLY. NOT FOR USE IN DIAGNOSTIC OR THERAPEUTIC PROCEDURES'.

For licensing inquiries, please contact partnerships@abcam.com