JavaScript is disabled in your browser. Please enable JavaScript to view this website.
AB248743

Anti-ERp18 antibody [EPR9024] - BSA and Azide free

Be the first to review this product! Submit a review

|

(1 Publication)

Rabbit Recombinant Monoclonal ERp18 antibody. Carrier free. Suitable for IHC-P, ICC/IF, WB and reacts with Human samples. Cited in 1 publication.

View Alternative Names

TLP19, UNQ713/PRO1376, TXNDC12, Thioredoxin domain-containing protein 12, Endoplasmic reticulum resident protein 18, Endoplasmic reticulum resident protein 19, Thioredoxin-like protein p19, hTLP19, ER protein 18, ERp18, ER protein 19, ERp19

3 Images
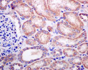
Immunohistochemistry (Formalin/PFA-fixed paraffin-embedded sections) - Anti-ERp18 antibody [EPR9024] - BSA and Azide free (AB248743)
  • IHC-P

Unknown

Immunohistochemistry (Formalin/PFA-fixed paraffin-embedded sections) - Anti-ERp18 antibody [EPR9024] - BSA and Azide free (AB248743)

This data was developed using ab134938, the same antibody clone in a different buffer formulation.

Immunohistochemical analysis of paraffin-embedded, formalin-fixed Human kidney tissue, labelling ERp18 using ab134938 at a 1/100 dilution.

Perform heat mediated antigen retrieval with citrate buffer pH 6 before commencing with IHC staining protocol.

Immunocytochemistry/ Immunofluorescence - Anti-ERp18 antibody [EPR9024] - BSA and Azide free (AB248743)
  • ICC/IF

Unknown

Immunocytochemistry/ Immunofluorescence - Anti-ERp18 antibody [EPR9024] - BSA and Azide free (AB248743)

This data was developed using ab134938, the same antibody clone in a different buffer formulation.

Immunofluorescence analysis of HepG2 cells, labelling ERp18 using ab134938 at a 1/250 dilution.

Western blot - Anti-ERp18 antibody [EPR9024] - BSA and Azide free (AB248743)
  • WB

Unknown

Western blot - Anti-ERp18 antibody [EPR9024] - BSA and Azide free (AB248743)

This data was developed using ab134938, the same antibody clone in a different buffer formulation.

All lanes:

Western blot - Anti-ERp18 antibody [EPR9024] (<a href='/en-us/products/primary-antibodies/erp18-antibody-epr9024-ab134938'>ab134938</a>) at 1/1000 dilution

Lane 1:

Human placenta lysate at 10 µg

Lane 2:

293T (Human embryonic kidney epithelial cell) cell lysate at 10 µg

Lane 3:

HepG2 cell lysate at 10 µg

Lane 4:

Y79 (Human retinoblastoma cell line) cell lysate at 10 µg

Secondary

All lanes:

Standard HRP labelled goat anti-rabbit at 1/2000 dilution

Predicted band size: 19 kDa

true

Key facts

Host species

Rabbit

Clonality

Monoclonal

Clone number

EPR9024

Isotype

IgG

Carrier free

Yes

Reacts with

Human

Applications

WB, IHC-P, ICC/IF

applications

Immunogen

The exact immunogen used to generate this antibody is proprietary information.

Reactivity data

{ "title": "Reactivity Data", "filters": { "stats": ["", "Species", "Dilution Info", "Notes"], "tabs": { "all-applications": {"fullname" : "All Applications", "shortname": "All Applications"}, "IHCP" : {"fullname" : "Immunohistochemistry (Formalin/PFA-fixed paraffin-embedded sections)", "shortname":"IHC-P"}, "ICCIF" : {"fullname" : "Immunocytochemistry/ Immunofluorescence", "shortname":"ICC/IF"}, "FlowCyt" : {"fullname" : "Flow Cytometry", "shortname":"Flow Cyt"}, "WB" : {"fullname" : "Western blot", "shortname":"WB"} }, "product-promise": { "all": "all", "testedAndGuaranteed": "tested", "guaranteed": "expected", "predicted": "predicted", "notRecommended": "not-recommended" } }, "values": { "Human": { "IHCP-species-checked": "testedAndGuaranteed", "IHCP-species-dilution-info": "", "IHCP-species-notes": "<p>For antigen retrieval: heat up to 98 degree C, below boiling, and then let cool for 10-20 min. Use of an HRP/AP polymerized secondary antibody is recommended.</p> Perform heat-mediated antigen retrieval with citrate buffer pH 6 before commencing with IHC staining protocol.", "ICCIF-species-checked": "testedAndGuaranteed", "ICCIF-species-dilution-info": "", "ICCIF-species-notes": "<p></p>", "FlowCyt-species-checked": "notRecommended", "FlowCyt-species-dilution-info": "", "FlowCyt-species-notes": "<p></p>", "WB-species-checked": "testedAndGuaranteed", "WB-species-dilution-info": "", "WB-species-notes": "<p></p>" }, "Mouse": { "IHCP-species-checked": "predicted", "IHCP-species-dilution-info": "", "IHCP-species-notes": "", "ICCIF-species-checked": "predicted", "ICCIF-species-dilution-info": "", "ICCIF-species-notes": "", "FlowCyt-species-checked": "notRecommended", "FlowCyt-species-dilution-info": "", "FlowCyt-species-notes": "", "WB-species-checked": "predicted", "WB-species-dilution-info": "", "WB-species-notes": "" }, "Rat": { "IHCP-species-checked": "predicted", "IHCP-species-dilution-info": "", "IHCP-species-notes": "", "ICCIF-species-checked": "predicted", "ICCIF-species-dilution-info": "", "ICCIF-species-notes": "", "FlowCyt-species-checked": "notRecommended", "FlowCyt-species-dilution-info": "", "FlowCyt-species-notes": "", "WB-species-checked": "predicted", "WB-species-dilution-info": "", "WB-species-notes": "" } } }

Product details

ab248743 is the carrier-free version of ab134938.

Patented technology
Our RabMAb® technology is a patented hybridoma-based technology for making rabbit monoclonal antibodies. For details on our patents, please refer to RabMAb® patents.

What are the advantages of a recombinant monoclonal antibody?
This product is a recombinant monoclonal antibody, which offers several advantages including:

  • - High batch-to-batch consistency and reproducibility
  • - Improved sensitivity and specificity
  • - Long-term security of supply
  • - Animal-free batch production

For more information, read more on recombinant antibodies.

Conjugation ready
Our carrier-free antibodies are typically supplied in a PBS-only formulation, purified and free of BSA, sodium azide and glycerol. This conjugation-ready format is designed for use with fluorochromes, metal isotopes, oligonucleotides, and enzymes, which makes them ideal for antibody labelling, functional and cell-based assays, flow-based assays (e.g. mass cytometry) and Multiplex Imaging applications.

Use our conjugation kits for antibody conjugates that are ready-to-use in as little as 20 minutes with 1 minute hands-on-time and 100% antibody recovery: available for fluorescent dyes, HRP, biotin and gold.

Compatibility
This product is compatible with the Maxpar® Antibody Labeling Kit from Fluidigm, without the need for antibody preparation. Maxpar® is a trademark of Fluidigm Canada Inc.

Properties and storage information

Form
Liquid
Purification technique
Affinity purification Protein A
Storage buffer
pH: 7.2 - 7.4 Constituents: PBS
Shipped at conditions
Blue Ice
Appropriate short-term storage conditions
+4°C
Appropriate long-term storage conditions
+4°C
Storage information
Do Not Freeze

Supplementary information

This supplementary information is collated from multiple sources and compiled automatically.

ERp18 also known as PDIA6 or Protein Disulfide Isomerase Family A Member 6 is an endoplasmic reticulum (ER) resident protein with a molecular mass of approximately 18 kDa. This protein is known to act as a chaperone and assists in protein folding by catalyzing disulfide bond formation. ERp18 is widely expressed in various tissues particularly in those with high protein synthesis demands such as the liver and pancreas. It localizes mainly within the lumen of the ER.
Biological function summary

ERp18 plays a role in maintaining protein homeostasis. As a member of the protein disulfide isomerase (PDI) family it is involved in the formation and rearrangement of disulfide bonds essential for proper protein architecture. ERp18 functions collaboratively with other PDIs in the ER suggesting it may be part of a larger protein complex. The efficient folding and structural stabilization of proteins are critical for cellular function and survival.

Pathways

ERp18 contributes significantly to the protein-folding pathway and is linked to the unfolded protein response (UPR). The protein is instrumental in mitigating ER stress conditions which arise when there is an accumulation of misfolded proteins. By interacting with other PDI family proteins like PDI itself and ERp72 ERp18 ensures proteins achieve correct configurations which is necessary for maintaining cellular equilibrium and preventing apoptosis.

The malfunction or dysregulation of ERp18 associates with certain neurodegenerative diseases such as Alzheimer's disease where protein misfolding plays an important role. Moreover it has connections to cancer where the proliferation of cells often correlates with increased protein synthesis and folding demands. ERp18 interacts with proteins involved in these diseases like amyloid precursor protein (APP) in Alzheimer's and HIF-1α in cancer highlighting its importance in disease contexts.

Product protocols

For this product, it's our understanding that no specific protocols are required. You can visit:

Target data

Protein-disulfide reductase of the endoplasmic reticulum that promotes disulfide bond formation in client proteins through its thiol-disulfide oxidase activity.
See full target information TXNDC12

Publications (1)

Recent publications for all applications. Explore the full list and refine your search

NPJ precision oncology 7:95 PubMed37723227

2023

Targeted single-cell proteomic analysis identifies new liquid biopsy biomarkers associated with multiple myeloma.

Applications

Unspecified application

Species

Unspecified reactive species

Sonia M Setayesh,Libere J Ndacayisaba,Kate E Rappard,Valerie Hennes,Luz Yurany Moreno Rueda,Guilin Tang,Pei Lin,Robert Z Orlowski,David E Symer,Elisabet E Manasanch,Stephanie N Shishido,Peter Kuhn
View all publications

Product promise

We are committed to supporting your work with high-quality reagents, and we're here for you every step of the way. In the unlikely event that one of our products does not perform as expected, you're protected by our Product Promise.
For full details, please see our Terms & Conditions

Please note: All products are 'FOR RESEARCH USE ONLY. NOT FOR USE IN DIAGNOSTIC OR THERAPEUTIC PROCEDURES'.

For licensing inquiries, please contact partnerships@abcam.com