JavaScript is disabled in your browser. Please enable JavaScript to view this website.
AB264384

Anti-ERp57 antibody

Be the first to review this product! Submit a review

|

(0 Publication)

Rabbit Polyclonal ERp57 antibody. Suitable for IHC-P, WB and reacts with Human, Mouse samples. Immunogen corresponding to Synthetic Peptide within Human PDIA3 aa 50-100.

View Alternative Names

ERP57, ERP60, GRP58, PDIA3, Protein disulfide-isomerase A3, 58 kDa glucose-regulated protein, 58 kDa microsomal protein, Disulfide isomerase ER-60, Endoplasmic reticulum resident protein 57, Endoplasmic reticulum resident protein 60, p58, ER protein 57, ERp57, ER protein 60, ERp60

2 Images
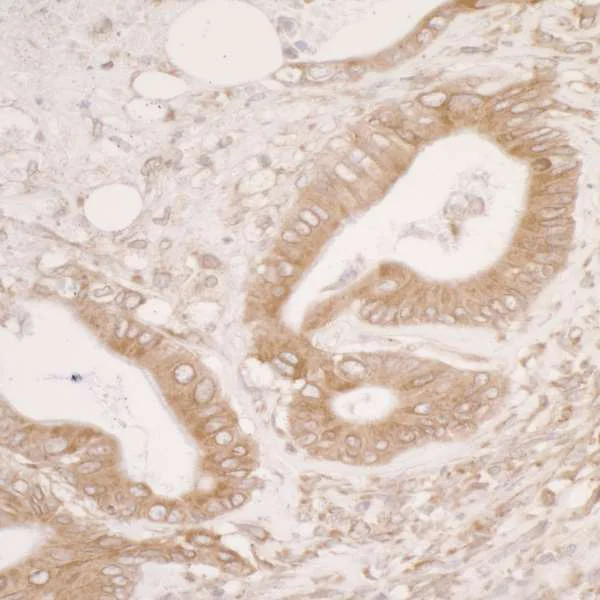
Immunohistochemistry (Formalin/PFA-fixed paraffin-embedded sections) - Anti-ERp57 antibody (AB264384)
  • IHC-P

Unknown

Immunohistochemistry (Formalin/PFA-fixed paraffin-embedded sections) - Anti-ERp57 antibody (AB264384)

Immunohistochemical analysis of formalin-fixed, paraffin-embedded human colon carcinoma tissue labeling ERp57 with ab264384at 1/5000 dilution. Detection : DAB. Counterstain : Hematoxylin (blue).

Epitope retrieval with citrate buffer pH 6.0.

Western blot - Anti-ERp57 antibody (AB264384)
  • WB

Supplier Data

Western blot - Anti-ERp57 antibody (AB264384)

Lysates prepared using NETN lysis buffer.

All lanes:

Western blot - Anti-ERp57 antibody (ab264384) at 0.1 µg/mL

Lane 1:

HeLa (Human epithelial cell line from cervix adenocarcinoma) whole cell lysate at 15 µg

Lane 2:

HEK-293T (Human epithelial cell line from embryonic kidney transformed with large T antigen) whole cell lysate at 15 µg

Lane 3:

Jurkat (Human T cell leukemia cell line from peripheral blood) whole cell lysate at 15 µg

Lane 4:

TCMK (Mouse kidney epithelial cell line) whole cell lysate at 15 µg

Lane 5:

NIH/3T3 (Mouse embryo fibroblast cell line) whole cell lysate at 15 µg

Predicted band size: 57 kDa

false

Exposure time: 10s

Key facts

Host species

Rabbit

Clonality

Polyclonal

Isotype

IgG

Carrier free

No

Reacts with

Mouse, Human

Applications

WB, IHC-P

applications

Immunogen

Synthetic Peptide within Human PDIA3 aa 50-100. The exact immunogen used to generate this antibody is proprietary information.

P30101

Reactivity data

{ "title": "Reactivity Data", "filters": { "stats": ["", "Species", "Dilution Info", "Notes"], "tabs": { "all-applications": {"fullname" : "All Applications", "shortname": "All Applications"}, "IHCP" : {"fullname" : "Immunohistochemistry (Formalin/PFA-fixed paraffin-embedded sections)", "shortname":"IHC-P"}, "WB" : {"fullname" : "Western blot", "shortname":"WB"} }, "product-promise": { "all": "all", "testedAndGuaranteed": "tested", "guaranteed": "expected", "predicted": "predicted", "notRecommended": "not-recommended" } }, "values": { "Human": { "IHCP-species-checked": "testedAndGuaranteed", "IHCP-species-dilution-info": "1/2000 - 1/10000", "IHCP-species-notes": "<p></p> Perform heat-mediated antigen retrieval with citrate buffer pH 6 before commencing with IHC staining protocol.", "WB-species-checked": "testedAndGuaranteed", "WB-species-dilution-info": "1/2000 - 1/10000", "WB-species-notes": "<p></p>" }, "Mouse": { "IHCP-species-checked": "guaranteed", "IHCP-species-dilution-info": "", "IHCP-species-notes": "", "WB-species-checked": "testedAndGuaranteed", "WB-species-dilution-info": "1/2000 - 1/10000", "WB-species-notes": "<p></p>" }, "Rat": { "IHCP-species-checked": "predicted", "IHCP-species-dilution-info": "", "IHCP-species-notes": "", "WB-species-checked": "predicted", "WB-species-dilution-info": "", "WB-species-notes": "" }, "Cow": { "IHCP-species-checked": "predicted", "IHCP-species-dilution-info": "", "IHCP-species-notes": "", "WB-species-checked": "predicted", "WB-species-dilution-info": "", "WB-species-notes": "" }, "Orangutan": { "IHCP-species-checked": "predicted", "IHCP-species-dilution-info": "", "IHCP-species-notes": "", "WB-species-checked": "predicted", "WB-species-dilution-info": "", "WB-species-notes": "" } } }

Properties and storage information

Form
Liquid
Purification technique
Affinity purification Immunogen
Storage buffer
pH: 7 - 8 Preservative: 0.09% Sodium azide Constituents: Tris citrate/phosphate
Shipped at conditions
Blue Ice
Appropriate short-term storage duration
1-2 weeks
Appropriate short-term storage conditions
+4°C
Appropriate long-term storage conditions
-20°C
Aliquoting information
Upon delivery aliquot
Storage information
Avoid freeze / thaw cycle

Supplementary information

This supplementary information is collated from multiple sources and compiled automatically.

ERp57 also known as 4f9 is a protein responsible for catalyzing disulfide bond formations and isomerizations in the endoplasmic reticulum. ERp57 has a molecular mass of approximately 57 kDa and belongs to the protein disulfide isomerase (PDI) family. Its main expression occurs in the endoplasmic reticulum of cells where it plays a role in ensuring proper protein folding and quality control.
Biological function summary

ERp57 interacts with calnexin and calreticulin to form a complex involved in glycoprotein folding. This complex assists in the proper assembly and maturation of nascent glycoproteins by ensuring correct folding pathways within the cell. ERp57 has a specialized role in managing oxidative protein folding which makes it essential for cell function and homeostasis.

Pathways

ERp57 participates in the calnexin/calreticulin cycle which is critical for protein triage in the endoplasmic reticulum. This cycle ensures that only properly folded proteins progress to their final destinations. ERp57 also interacts with ERp72 another member of the PDI family to facilitate thiol-disulfide exchange reactions. These interactions position ERp57 as a central player in the maintenance of cellular redox balance and protein homeostasis.

Alterations in ERp57 function can relate to neurodegenerative diseases such as Alzheimer's and certain types of cancer. Misfolded proteins often accumulate in these conditions highlighting ERp57's role in preventing cellular stress. Moreover ERp57 associates with the protein tau in Alzheimer's disease where it assists in tau’s proper folding and diminishes its aggregation tendency. Additionally disruptions in the ERp57 pathway may interact with cancer-related proteins like p53 modulating apoptosis and cell cycle regulation.

Product protocols

For this product, it's our understanding that no specific protocols are required. You can visit:

Target data

Protein disulfide isomerase that catalyzes the formation, isomerization, and reduction or oxidation of disulfide bonds in client proteins and functions as a protein folding chaperone (PubMed : 11825568, PubMed : 16193070, PubMed : 27897272, PubMed : 36104323, PubMed : 7487104). Core component of the major histocompatibility complex class I (MHC I) peptide loading complex where it functions as an essential folding chaperone for TAPBP. Through TAPBP, assists the dynamic assembly of the MHC I complex with high affinity antigens in the endoplasmic reticulum. Therefore, plays a crucial role in the presentation of antigens to cytotoxic T cells in adaptive immunity (PubMed : 35948544, PubMed : 36104323).
See full target information PDIA3

Product promise

We are committed to supporting your work with high-quality reagents, and we're here for you every step of the way. In the unlikely event that one of our products does not perform as expected, you're protected by our Product Promise.
For full details, please see our Terms & Conditions

Please note: All products are 'FOR RESEARCH USE ONLY. NOT FOR USE IN DIAGNOSTIC OR THERAPEUTIC PROCEDURES'.

For licensing inquiries, please contact partnerships@abcam.com