JavaScript is disabled in your browser. Please enable JavaScript to view this website.
AB249088

Anti-ERp57 antibody [EPR10678(B)] - BSA and Azide free

Be the first to review this product! Submit a review

|

(1 Publication)

Rabbit Recombinant Monoclonal ERp57 antibody. Carrier free. Suitable for IHC-P, WB and reacts with Human samples. Cited in 1 publication.

View Alternative Names

ERP57, ERP60, GRP58, PDIA3, Protein disulfide-isomerase A3, 58 kDa glucose-regulated protein, 58 kDa microsomal protein, Disulfide isomerase ER-60, Endoplasmic reticulum resident protein 57, Endoplasmic reticulum resident protein 60, p58, ER protein 57, ERp57, ER protein 60, ERp60

7 Images
Immunohistochemistry (Formalin/PFA-fixed paraffin-embedded sections) - Anti-ERp57 antibody [EPR10678(B)] - BSA and Azide free (AB249088)
  • IHC-P

Unknown

Immunohistochemistry (Formalin/PFA-fixed paraffin-embedded sections) - Anti-ERp57 antibody [EPR10678(B)] - BSA and Azide free (AB249088)

This data was developed using ab154191, the same antibody clone in a different buffer formulation.

Immunohistochemical analysis of paraffin embedded Human normal uterus tissue using ab154191 showing +ve staining.

Perform heat mediated antigen retrieval before commencing with IHC staining protocol.

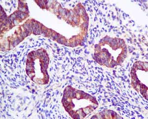
Immunohistochemistry (Formalin/PFA-fixed paraffin-embedded sections) - Anti-ERp57 antibody [EPR10678(B)] - BSA and Azide free (AB249088)
  • IHC-P

Unknown

Immunohistochemistry (Formalin/PFA-fixed paraffin-embedded sections) - Anti-ERp57 antibody [EPR10678(B)] - BSA and Azide free (AB249088)

This data was developed using ab154191, the same antibody clone in a different buffer formulation.

Immunohistochemical analysis of paraffin embedded Human thyroid gland carcinoma tissue using ab154191 showing +ve staining.

Perform heat mediated antigen retrieval before commencing with IHC staining protocol.

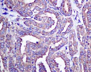
Immunohistochemistry (Formalin/PFA-fixed paraffin-embedded sections) - Anti-ERp57 antibody [EPR10678(B)] - BSA and Azide free (AB249088)
  • IHC-P

Unknown

Immunohistochemistry (Formalin/PFA-fixed paraffin-embedded sections) - Anti-ERp57 antibody [EPR10678(B)] - BSA and Azide free (AB249088)

This data was developed using ab154191, the same antibody clone in a different buffer formulation.

Immunohistochemical analysis of paraffin embedded Human cervical carcinoma tissue using ab154191 showing +ve staining.

Perform heat mediated antigen retrieval before commencing with IHC staining protocol.

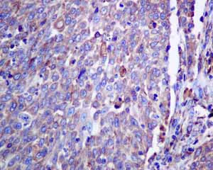
Immunohistochemistry (Formalin/PFA-fixed paraffin-embedded sections) - Anti-ERp57 antibody [EPR10678(B)] - BSA and Azide free (AB249088)
  • IHC-P

Unknown

Immunohistochemistry (Formalin/PFA-fixed paraffin-embedded sections) - Anti-ERp57 antibody [EPR10678(B)] - BSA and Azide free (AB249088)

This data was developed using ab154191, the same antibody clone in a different buffer formulation.

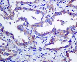
Immunohistochemical analysis of paraffin embedded Human lung carcinoma tissue using ab154191 showing +ve staining.

Perform heat mediated antigen retrieval before commencing with IHC staining protocol.

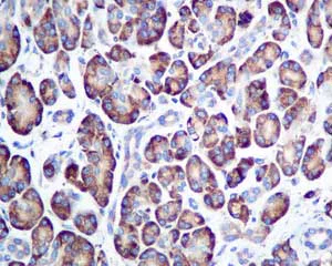
Immunohistochemistry (Formalin/PFA-fixed paraffin-embedded sections) - Anti-ERp57 antibody [EPR10678(B)] - BSA and Azide free (AB249088)
  • IHC-P

Unknown

Immunohistochemistry (Formalin/PFA-fixed paraffin-embedded sections) - Anti-ERp57 antibody [EPR10678(B)] - BSA and Azide free (AB249088)

This data was developed using ab154191, the same antibody clone in a different buffer formulation.

Immunohistochemical analysis of paraffin-embedded human pancreas tissue labeling ERp57 with ab154191 at 1/50 dilution.

Perform heat mediated antigen retrieval before commencing with IHC staining protocol.

Western blot - Anti-ERp57 antibody [EPR10678(B)] - BSA and Azide free (AB249088)
  • WB

Lab

Western blot - Anti-ERp57 antibody [EPR10678(B)] - BSA and Azide free (AB249088)

This data was developed using ab154191, the same antibody clone in a different buffer formulation.

Lane 1 : Wild-type HAP1 whole cell lysate (20 μg)

Lane 2 : ERp57 knockout HAP1 whole cell lysate (20 μg)

Lane 3 : HepG2 whole cell lysate (20 μg)

Lane 4 : Hek293 whole cell lysate (20 μg)

Lanes 1 - 4 : Merged signal (red and green). Green - ab154191 observed at 57 kDa. Red - loading control, ab9484, observed at 37 kDa.

ab154191 was shown to specifically react with ERp57 in wild-type HAP1 cells as signal was lost in ERp57 knockout cells. Wild-type and ERp57 knockout samples were subjected to SDS-PAGE. ab154191 and ab9484 (Mouse anti-GAPDH loading control) were incubated overnight at 4°C at 1/1000 dilution and 1/20000 dilution respectively. Blots were developed with Goat anti-Rabbit IgG H&L (IRDye® 800CW) preabsorbed ab216773 and Goat anti-Mouse IgG H&L (IRDye® 680RD) preabsorbed ab216776 secondary antibodies at 1/20000 dilution for 1 hour at room temperature before imaging.

All lanes:

Western blot - Anti-ERp57 antibody [EPR10678(B)] (<a href='/en-us/products/primary-antibodies/erp57-antibody-epr10678b-ab154191'>ab154191</a>)

Predicted band size: 57 kDa

false

Western blot - Anti-ERp57 antibody [EPR10678(B)] - BSA and Azide free (AB249088)
  • WB

Unknown

Western blot - Anti-ERp57 antibody [EPR10678(B)] - BSA and Azide free (AB249088)

This data was developed using ab154191, the same antibody clone in a different buffer formulation.

All lanes:

Western blot - Anti-ERp57 antibody [EPR10678(B)] (<a href='/en-us/products/primary-antibodies/erp57-antibody-epr10678b-ab154191'>ab154191</a>) at 1/1000 dilution

Lane 1:

HepG2 cell lysate at 10 µg

Lane 2:

293T cell lysate at 10 µg

Lane 3:

HeLa cell lysate at 10 µg

Predicted band size: 57 kDa

false

Key facts

Host species

Rabbit

Clonality

Monoclonal

Clone number

EPR10678(B)

Isotype

IgG

Carrier free

Yes

Reacts with

Human

Applications

WB, IHC-P

applications

Immunogen

The exact immunogen used to generate this antibody is proprietary information.

Reactivity data

{ "title": "Reactivity Data", "filters": { "stats": ["", "Species", "Dilution Info", "Notes"], "tabs": { "all-applications": {"fullname" : "All Applications", "shortname": "All Applications"}, "IHCP" : {"fullname" : "Immunohistochemistry (Formalin/PFA-fixed paraffin-embedded sections)", "shortname":"IHC-P"}, "WB" : {"fullname" : "Western blot", "shortname":"WB"} }, "product-promise": { "all": "all", "testedAndGuaranteed": "tested", "guaranteed": "expected", "predicted": "predicted", "notRecommended": "not-recommended" } }, "values": { "Human": { "IHCP-species-checked": "testedAndGuaranteed", "IHCP-species-dilution-info": "", "IHCP-species-notes": "<p></p>", "WB-species-checked": "testedAndGuaranteed", "WB-species-dilution-info": "", "WB-species-notes": "<p></p>" } } }

Product details

ab249088 is the carrier-free version of ab154191.

Patented technology
Our RabMAb® technology is a patented hybridoma-based technology for making rabbit monoclonal antibodies. For details on our patents, please refer to RabMAb® patents.

What are the advantages of a recombinant monoclonal antibody?
This product is a recombinant monoclonal antibody, which offers several advantages including:

  • - High batch-to-batch consistency and reproducibility
  • - Improved sensitivity and specificity
  • - Long-term security of supply
  • - Animal-free batch production

For more information, read more on recombinant antibodies.

Conjugation ready
Our carrier-free antibodies are typically supplied in a PBS-only formulation, purified and free of BSA, sodium azide and glycerol. This conjugation-ready format is designed for use with fluorochromes, metal isotopes, oligonucleotides, and enzymes, which makes them ideal for antibody labelling, functional and cell-based assays, flow-based assays (e.g. mass cytometry) and Multiplex Imaging applications.

Use our conjugation kits for antibody conjugates that are ready-to-use in as little as 20 minutes with 1 minute hands-on-time and 100% antibody recovery: available for fluorescent dyes, HRP, biotin and gold.

Compatibility
This product is compatible with the Maxpar® Antibody Labeling Kit from Fluidigm, without the need for antibody preparation. Maxpar® is a trademark of Fluidigm Canada Inc.

Properties and storage information

Form
Liquid
Purification technique
Affinity purification Protein A
Storage buffer
pH: 7.2 - 7.4 Constituents: PBS
Shipped at conditions
Blue Ice
Appropriate short-term storage conditions
+4°C
Appropriate long-term storage conditions
+4°C
Storage information
Do Not Freeze

Supplementary information

This supplementary information is collated from multiple sources and compiled automatically.

ERp57 also known as 4f9 is a protein responsible for catalyzing disulfide bond formations and isomerizations in the endoplasmic reticulum. ERp57 has a molecular mass of approximately 57 kDa and belongs to the protein disulfide isomerase (PDI) family. Its main expression occurs in the endoplasmic reticulum of cells where it plays a role in ensuring proper protein folding and quality control.
Biological function summary

ERp57 interacts with calnexin and calreticulin to form a complex involved in glycoprotein folding. This complex assists in the proper assembly and maturation of nascent glycoproteins by ensuring correct folding pathways within the cell. ERp57 has a specialized role in managing oxidative protein folding which makes it essential for cell function and homeostasis.

Pathways

ERp57 participates in the calnexin/calreticulin cycle which is critical for protein triage in the endoplasmic reticulum. This cycle ensures that only properly folded proteins progress to their final destinations. ERp57 also interacts with ERp72 another member of the PDI family to facilitate thiol-disulfide exchange reactions. These interactions position ERp57 as a central player in the maintenance of cellular redox balance and protein homeostasis.

Alterations in ERp57 function can relate to neurodegenerative diseases such as Alzheimer's and certain types of cancer. Misfolded proteins often accumulate in these conditions highlighting ERp57's role in preventing cellular stress. Moreover ERp57 associates with the protein tau in Alzheimer's disease where it assists in tau’s proper folding and diminishes its aggregation tendency. Additionally disruptions in the ERp57 pathway may interact with cancer-related proteins like p53 modulating apoptosis and cell cycle regulation.

Product protocols

For this product, it's our understanding that no specific protocols are required. You can visit:

Target data

Protein disulfide isomerase that catalyzes the formation, isomerization, and reduction or oxidation of disulfide bonds in client proteins and functions as a protein folding chaperone (PubMed : 11825568, PubMed : 16193070, PubMed : 27897272, PubMed : 36104323, PubMed : 7487104). Core component of the major histocompatibility complex class I (MHC I) peptide loading complex where it functions as an essential folding chaperone for TAPBP. Through TAPBP, assists the dynamic assembly of the MHC I complex with high affinity antigens in the endoplasmic reticulum. Therefore, plays a crucial role in the presentation of antigens to cytotoxic T cells in adaptive immunity (PubMed : 35948544, PubMed : 36104323).
See full target information PDIA3

Publications (1)

Recent publications for all applications. Explore the full list and refine your search

Developmental cell 60:2744-2760.e9 PubMed40460835

2025

ATG9A and ARFIP2 cooperate to control PI4P levels for lysosomal repair.

Applications

Unspecified application

Species

Unspecified reactive species

Stefano De Tito,Eugenia Almacellas,Daniel Dai Yu,Emily Millard,Wenxin Zhang,Cecilia de Heus,Christophe Queval,Javier H Hervás,Enrica Pellegrino,Ioanna Panagi,Ditte Fogde,Teresa L M Thurston,Judith Klumperman,Maximiliano Gutierrez,Sharon A Tooze
View all publications

Product promise

We are committed to supporting your work with high-quality reagents, and we're here for you every step of the way. In the unlikely event that one of our products does not perform as expected, you're protected by our Product Promise.
For full details, please see our Terms & Conditions

Please note: All products are 'FOR RESEARCH USE ONLY. NOT FOR USE IN DIAGNOSTIC OR THERAPEUTIC PROCEDURES'.

For licensing inquiries, please contact partnerships@abcam.com