JavaScript is disabled in your browser. Please enable JavaScript to view this website.
AB251013

Anti-ERp72 antibody [EPR14824(B)] - BSA and Azide free

Be the first to review this product! Submit a review

|

(1 Publication)

Rabbit Recombinant Monoclonal ERp72 antibody. Carrier free. Suitable for WB, Flow Cyt (Intra), IHC-P and reacts with Human samples. Cited in 1 publication.

View Alternative Names

ERP70, ERP72, PDIA4, Protein disulfide-isomerase A4, Endoplasmic reticulum resident protein 70, Endoplasmic reticulum resident protein 72, ER protein 70, ERp70, ER protein 72, ERp-72, ERp72

3 Images
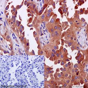
Immunohistochemistry (Formalin/PFA-fixed paraffin-embedded sections) - Anti-ERp72 antibody [EPR14824(B)] - BSA and Azide free (AB251013)
  • IHC-P

Supplier Data

Immunohistochemistry (Formalin/PFA-fixed paraffin-embedded sections) - Anti-ERp72 antibody [EPR14824(B)] - BSA and Azide free (AB251013)

This data was developed using ab190348, the same antibody clone in a different buffer formulation.

Immunohistochemical analysis of paraffin-embedded, Human lung carcinoma tissue labeling ERp72 with ab190348 at a 1/100 dilution. Counter stained with hematoxylin. Negative control also shown.

Perform heat mediated antigen retrieval with Tris/EDTA buffer pH 9.0 before commencing with IHC staining protocol.

Flow Cytometry (Intracellular) - Anti-ERp72 antibody [EPR14824(B)] - BSA and Azide free (AB251013)
  • Flow Cyt (Intra)

Supplier Data

Flow Cytometry (Intracellular) - Anti-ERp72 antibody [EPR14824(B)] - BSA and Azide free (AB251013)

This data was developed using ab190348, the same antibody clone in a different buffer formulation.

Intracellular Flow Cytometry analysis of 2% paraformaldehyde-fixed MCF7 cells labeling ERp72 with ab190348 at a 1/50 dilution (pink) or a rabbit IgG isotype control (green), followed by secondary Goat anti rabbit IgG (FITC) at 1/150 dilution.

Western blot - Anti-ERp72 antibody [EPR14824(B)] - BSA and Azide free (AB251013)
  • WB

Supplier Data

Western blot - Anti-ERp72 antibody [EPR14824(B)] - BSA and Azide free (AB251013)

This data was developed using ab190348, the same antibody clone in a different buffer formulation.

All lanes:

Western blot - Anti-ERp72 antibody [EPR14824(B)] (<a href='/en-us/products/primary-antibodies/erp72-antibody-epr14824b-ab190348'>ab190348</a>) at 1/10000 dilution

Lane 1:

HeLa cell lysate at 20 µg

Lane 2:

JAR cell lysate at 20 µg

Lane 3:

Human fetal liver tissue lysate at 20 µg

Lane 4:

MCF7 cell lysate at 20 µg

Secondary

All lanes:

goat anti-rabbit IgG, (H+L), peroxidase conjugated at 1/1000 dilution

Predicted band size: 73 kDa

Observed band size: 73 kDa

true

Key facts

Host species

Rabbit

Clonality

Monoclonal

Clone number

EPR14824(B)

Isotype

IgG

Carrier free

Yes

Reacts with

Human

Applications

Flow Cyt (Intra), WB, IHC-P

applications

Immunogen

The exact immunogen used to generate this antibody is proprietary information.

Reactivity data

{ "title": "Reactivity Data", "filters": { "stats": ["", "Species", "Dilution Info", "Notes"], "tabs": { "all-applications": {"fullname" : "All Applications", "shortname": "All Applications"}, "WB" : {"fullname" : "Western blot", "shortname":"WB"}, "FlowCytIntra" : {"fullname" : "Flow Cytometry (Intracellular)", "shortname":"Flow Cyt (Intra)"}, "IHCP" : {"fullname" : "Immunohistochemistry (Formalin/PFA-fixed paraffin-embedded sections)", "shortname":"IHC-P"} }, "product-promise": { "all": "all", "testedAndGuaranteed": "tested", "guaranteed": "expected", "predicted": "predicted", "notRecommended": "not-recommended" } }, "values": { "Human": { "WB-species-checked": "testedAndGuaranteed", "WB-species-dilution-info": "", "WB-species-notes": "<p></p>", "FlowCytIntra-species-checked": "testedAndGuaranteed", "FlowCytIntra-species-dilution-info": "", "FlowCytIntra-species-notes": "<p></p>", "IHCP-species-checked": "testedAndGuaranteed", "IHCP-species-dilution-info": "", "IHCP-species-notes": "<p></p>" } } }

Product details

ab251013 is the carrier-free version of ab190348.

Patented technology
Our RabMAb® technology is a patented hybridoma-based technology for making rabbit monoclonal antibodies. For details on our patents, please refer to RabMAb® patents.

What are the advantages of a recombinant monoclonal antibody?
This product is a recombinant monoclonal antibody, which offers several advantages including:

  • - High batch-to-batch consistency and reproducibility
  • - Improved sensitivity and specificity
  • - Long-term security of supply
  • - Animal-free batch production

For more information, read more on recombinant antibodies.

Conjugation ready
Our carrier-free antibodies are typically supplied in a PBS-only formulation, purified and free of BSA, sodium azide and glycerol. This conjugation-ready format is designed for use with fluorochromes, metal isotopes, oligonucleotides, and enzymes, which makes them ideal for antibody labelling, functional and cell-based assays, flow-based assays (e.g. mass cytometry) and Multiplex Imaging applications.

Use our conjugation kits for antibody conjugates that are ready-to-use in as little as 20 minutes with 1 minute hands-on-time and 100% antibody recovery: available for fluorescent dyes, HRP, biotin and gold.

Compatibility
This product is compatible with the Maxpar® Antibody Labeling Kit from Fluidigm, without the need for antibody preparation. Maxpar® is a trademark of Fluidigm Canada Inc.

Properties and storage information

Form
Liquid
Purification technique
Affinity purification Protein A
Storage buffer
pH: 7.2 - 7.4 Constituents: PBS
Shipped at conditions
Blue Ice
Appropriate short-term storage conditions
+4°C
Appropriate long-term storage conditions
+4°C
Storage information
Do Not Freeze

Supplementary information

This supplementary information is collated from multiple sources and compiled automatically.

ERp72 also known as PDIA4 is a protein with a molecular weight of approximately 72 kDa. It belongs to the protein disulfide isomerase (PDI) family and functions as an enzyme within the endoplasmic reticulum (ER). The protein helps with folding by catalyzing the formation rearrangement and breakage of disulfide bonds in nascent proteins. ERp72 is expressed in a variety of tissues with high abundance in the liver pancreas and other secretory organs reflecting its role in protein synthesis and processing.
Biological function summary

The protein disulfide isomerase family member ERp72 plays a significant part in maintaining ER function. It participates in the unfolded protein response (UPR) which ensures proper protein folding and manages ER stress. ERp72 operates as part of a larger multiprotein complex that aids in the quality control of newly synthesized proteins. The protein interacts with calnexin and BiP to perform these functions. This makes ERp72 essential for cellular homeostasis and adaptation to changing physiological conditions.

Pathways

ERp72 is closely involved in the protein folding and ER stress response pathways. The unfolded protein response pathway recognizes misfolded proteins in the ER and initiates mechanisms to restore normal function. It connects with other proteins such as ATF6 and IRE1 to modulate gene expression and improve protein folding capacity. Additionally ERp72 participates in the pathway related to oxidative protein folding working alongside proteins like ERO1. This confirms its key contribution to cellular function by maintaining the balance between protein folding and degradation.

Alterations in ERp72 expression or function link to conditions such as neurodegenerative diseases and cancer. Alzheimer's disease shows aberrant ER stress and misfolded protein accumulation where ERp72's interaction with amyloid precursor protein might play a role. In the case of cancer ER stress and UPR pathway alterations contribute to cancer cell survival associating ERp72 with this adaptation process particularly its interaction with BiP and other PDIs. These connections highlight the relevance of ERp72 in disease progression and as a potential therapeutic target.

Product protocols

For this product, it's our understanding that no specific protocols are required. You can visit:

Publications (1)

Recent publications for all applications. Explore the full list and refine your search

Molecular medicine reports 21:454-462 PubMed31746378

2019

Blueberry anthocyanin‑enriched extract ameliorates transverse aortic constriction‑induced myocardial dysfunction via the DDAH1/ADMA/NO signaling pathway in mice.

Applications

Unspecified application

Species

Unspecified reactive species

Weiqing Hu,Wenyue Wang,Qing Ma,Tao Liu,Jiefeng Zhang,Jicun Zhang
View all publications

Product promise

We are committed to supporting your work with high-quality reagents, and we're here for you every step of the way. In the unlikely event that one of our products does not perform as expected, you're protected by our Product Promise.
For full details, please see our Terms & Conditions

Please note: All products are 'FOR RESEARCH USE ONLY. NOT FOR USE IN DIAGNOSTIC OR THERAPEUTIC PROCEDURES'.

For licensing inquiries, please contact partnerships@abcam.com