JavaScript is disabled in your browser. Please enable JavaScript to view this website.
AB197770

Anti-Erythrocytes antibody

Be the first to review this product! Submit a review

|

(3 Publications)

Rabbit Polyclonal Erythrocytes antibody. Suitable for IHC-P and reacts with Human samples. Cited in 3 publications. Immunogen corresponding to Cell preparation containing Erythrocytes protein.
1 Images
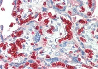
Immunohistochemistry (Formalin/PFA-fixed paraffin-embedded sections) - Anti-Erythrocytes antibody (AB197770)
  • IHC-P

Supplier Data

Immunohistochemistry (Formalin/PFA-fixed paraffin-embedded sections) - Anti-Erythrocytes antibody (AB197770)

Formalin-fixed, paraffin-embedded Human placenta tisue labeling Erythrocytes using ab197770 at 2.5 μg/ml.

Key facts

Host species

Rabbit

Clonality

Polyclonal

Isotype

IgG

Carrier free

No

Reacts with

Human

Applications

IHC-P

applications

Immunogen

The exact immunogen used to generate this antibody is proprietary information.

Reactivity data

{ "title": "Reactivity Data", "filters": { "stats": ["", "Species", "Dilution Info", "Notes"], "tabs": { "all-applications": {"fullname" : "All Applications", "shortname": "All Applications"}, "IHCP" : {"fullname" : "Immunohistochemistry (Formalin/PFA-fixed paraffin-embedded sections)", "shortname":"IHC-P"} }, "product-promise": { "all": "all", "testedAndGuaranteed": "tested", "guaranteed": "expected", "predicted": "predicted", "notRecommended": "not-recommended" } }, "values": { "Human": { "IHCP-species-checked": "testedAndGuaranteed", "IHCP-species-dilution-info": "", "IHCP-species-notes": "<p></p>" } } }

Properties and storage information

Form
Liquid
Purification technique
Ion exchange chromatography
Storage buffer
pH: 7.2 Preservative: 0.01% Sodium azide Constituents: 0.87% Sodium chloride, 0.42% Tripotassium orthophosphate
Shipped at conditions
Blue Ice
Appropriate short-term storage duration
1-2 weeks
Appropriate short-term storage conditions
+4°C
Appropriate long-term storage conditions
-20°C
Aliquoting information
Upon delivery aliquot
Storage information
Avoid freeze / thaw cycle

Supplementary information

This supplementary information is collated from multiple sources and compiled automatically.

Erythrocytes also known as red blood cells are biconcave cells with a mass of about 27-32 picograms. They mainly exist in the bloodstream with their primary function involving the transport of oxygen from the lungs to tissues and carbon dioxide from tissues back to the lungs. Hemoglobin the protein component of erythrocytes binds oxygen and carbon dioxide molecules. Hemoglobin a large protein with a substantial molecular mass facilitates gas exchange efficiently due to its unique structure. The membrane of erythrocytes provides flexibility enabling them to traverse narrow capillaries.
Biological function summary

Erythrocytes facilitate respiratory gas exchange throughout the body. They are not part of a complex but rely heavily on hemoglobin's function. Each hemoglobin molecule contains four heme groups each capable of binding an oxygen molecule. Erythrocytes lack nuclei which maximizes space for hemoglobin and optimizes their gas-carrying capacity. The absence of other cellular organelles reduces energy consumption making erythrocytes highly efficient in gas transport.

Pathways

Erythrocytes participate in the glycolytic pathway to generate ATP due to the absence of mitochondria. This helps to power cellular processes and maintain ion gradients. The pentose phosphate pathway is also relevant providing reduction power in the form of NADPH. This is essential for maintaining the integrity of the cell membrane and protecting erythrocytes from oxidative damage. Related proteins such as glucose-6-phosphate dehydrogenase support these pathways by facilitating critical reactions.

Erythrocytes have a significant connection with anemia and sickle cell disease. Anemia can occur when erythrocyte counts or hemoglobin levels are too low affecting oxygen transport. Sickle cell disease arises from a mutation in the hemoglobin beta chain leading to abnormal erythrocyte shape and function. In sickle cell disease a notable protein connection is the mutated hemoglobin S which causes the characteristic sickling of erythrocytes. Such structural changes lead to various complications influencing the overall health and lifespan of affected individuals.

Product protocols

For this product, it's our understanding that no specific protocols are required. You can visit:

Publications (3)

Recent publications for all applications. Explore the full list and refine your search

Frontiers in immunology 12:777402 PubMed34858435

2021

Severe Congenital Thrombocytopenia Characterized by Decreased Platelet Sialylation and Moderate Complement Activation Caused by Novel Compound Heterozygous Variants in .

Applications

Unspecified application

Species

Unspecified reactive species

Karolina I Smolag,Marcus Fager Ferrari,Eva Zetterberg,Eva Leinoe,Torben Ek,Anna M Blom,Maria Rossing,Myriam Martin

JCI insight 4: PubMed31661468

2019

C4BP-IgM protein as a therapeutic approach to treat Neisseria gonorrhoeae infections.

Applications

Unspecified application

Species

Unspecified reactive species

Serena Bettoni,Jutamas Shaughnessy,Karolina Maziarz,David Ermert,Sunita Gulati,Bo Zheng,Matthias Mörgelin,Susanne Jacobsson,Kristian Riesbeck,Magnus Unemo,Sanjay Ram,Anna M Blom

International journal of molecular medicine 41:2704-2714 PubMed29436579

2018

Long noncoding RNA ENSRNOG00000037522 is involved in the podocyte epithelial‑mesenchymal transition in diabetic rats.

Applications

Unspecified application

Species

Unspecified reactive species

Li Ling,Zhen Tan,Changning Zhang,Shuyan Gui,Yuanyuan Hu,Libo Chen
View all publications

Product promise

We are committed to supporting your work with high-quality reagents, and we're here for you every step of the way. In the unlikely event that one of our products does not perform as expected, you're protected by our Product Promise.
For full details, please see our Terms & Conditions

Please note: All products are 'FOR RESEARCH USE ONLY. NOT FOR USE IN DIAGNOSTIC OR THERAPEUTIC PROCEDURES'.

For licensing inquiries, please contact partnerships@abcam.com