JavaScript is disabled in your browser. Please enable JavaScript to view this website.
AB133374

Anti-Estrogen-induced gene 121 protein antibody

Be the first to review this product! Submit a review

|

(1 Publication)

Rabbit Polyclonal Estrogen-induced gene 121 protein antibody. Suitable for IHC-P and reacts with Human samples. Cited in 1 publication. Immunogen corresponding to Synthetic Peptide within Human ELAPOR1 conjugated to Keyhole Limpet Haemocyanin.

View Alternative Names

EIG121, KIAA1324, UNQ2426/PRO4985, ELAPOR1, Endosome/lysosome-associated apoptosis and autophagy regulator 1, Estrogen-induced gene 121 protein

2 Images
Immunohistochemistry (Formalin/PFA-fixed paraffin-embedded sections) - Anti-Estrogen-induced gene 121 protein antibody (AB133374)
  • IHC-P

Unknown

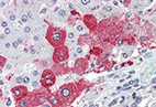
Immunohistochemistry (Formalin/PFA-fixed paraffin-embedded sections) - Anti-Estrogen-induced gene 121 protein antibody (AB133374)

(ab133374 15 ug/ml) was used in IHC to stain formalin-fixed, paraffin-embedded human adrenal, followed by biotinylated goat anti-rabbit IgG secondary antibody, alkaline phosphatase-streptavidin and chromogen.

Immunohistochemistry (Formalin/PFA-fixed paraffin-embedded sections) - Anti-Estrogen-induced gene 121 protein antibody (AB133374)
  • IHC-P

Unknown

Immunohistochemistry (Formalin/PFA-fixed paraffin-embedded sections) - Anti-Estrogen-induced gene 121 protein antibody (AB133374)

ab133374 (15 ug/mL) was used in IHC to stain formalin-fixed, paraffin-embedded human liver, followed by biotinylated goat anti-rabbit IgG secondary antibody, alkaline phosphatase-streptavidin and chromogen.

Key facts

Host species

Rabbit

Clonality

Polyclonal

Isotype

IgG

Carrier free

No

Reacts with

Human

Applications

IHC-P

applications

Immunogen

Synthetic Peptide within Human ELAPOR1 conjugated to Keyhole Limpet Haemocyanin. The exact immunogen used to generate this antibody is proprietary information.

Q6UXG2

Reactivity data

{ "title": "Reactivity Data", "filters": { "stats": ["", "Species", "Dilution Info", "Notes"], "tabs": { "all-applications": {"fullname" : "All Applications", "shortname": "All Applications"}, "IHCP" : {"fullname" : "Immunohistochemistry (Formalin/PFA-fixed paraffin-embedded sections)", "shortname":"IHC-P"} }, "product-promise": { "all": "all", "testedAndGuaranteed": "tested", "guaranteed": "expected", "predicted": "predicted", "notRecommended": "not-recommended" } }, "values": { "Human": { "IHCP-species-checked": "testedAndGuaranteed", "IHCP-species-dilution-info": "15 µg/mL", "IHCP-species-notes": "<p></p> Perform heat-mediated antigen retrieval with citrate buffer pH 6 before commencing with IHC staining protocol." } } }

Properties and storage information

Form
Liquid
Purification technique
Affinity purification Immunogen
Storage buffer
pH: 7.4 Preservative: 0.1% Sodium azide Constituents: PBS
Shipped at conditions
Blue Ice
Appropriate short-term storage conditions
+4°C
Appropriate long-term storage conditions
-80°C
Aliquoting information
Upon delivery aliquot
Storage information
Avoid freeze / thaw cycle

Supplementary information

This supplementary information is collated from multiple sources and compiled automatically.

The Estrogen-induced gene 121 protein also known as EIG121 or KIAA1324 is a protein encoded by the KIAA1324 gene. This protein has a molecular mass of approximately 103 kDa. EIG121 shows expression primarily in tissues responsive to estrogen such as the endometrium and breast tissues. On a subcellular level EIG121 localizes to the endoplasmic reticulum and the cytoplasm suggesting roles in protein processing and trafficking.
Biological function summary

The EIG121 protein contributes to cellular processes related to growth and differentiation particularly in hormone-responsive tissues. EIG121 does not typically function as part of a larger complex but it is involved in processes sensitive to hormonal regulation. It influences cellular apoptosis and proliferation linked to estrogen signaling. Its function is relevant to maintaining normal tissue homeostasis and it may play roles in modulating the response to environmental estrogenic stimuli.

Pathways

EIG121 operates within the estrogen signaling pathway influencing cellular responses to hormonal cues. It interacts with components of the apoptosis pathway affecting cell survival mechanisms. Connections exist between EIG121 and proteins like BCL-2 which regulates apoptosis and ERα (estrogen receptor alpha) which mediates estrogen signaling. These interactions integrate EIG121 into critical regulatory networks impacting cell fate decisions.

EIG121 emerges as significant in the context of endometrial cancer and breast cancer. Alterations in its expression levels correlate with cancer progression likely due to its role in estrogen signaling and apoptotic modulation. In breast cancer it associates with ERα influencing cancer cell proliferation in hormone-dependent cancers. In endometrial cancer EIG121's relationship to BCL-2 presents potential implications for cancer cell survival positioning it as a target in therapeutic strategies.

Product protocols

For this product, it's our understanding that no specific protocols are required. You can visit:

Target data

May protect cells from cell death by inducing cytosolic vacuolization and up-regulating the autophagy pathway (PubMed : 21072319). May play a role in apoptosis and cell proliferation through its interaction with HSPA5 (PubMed : 26045166).
See full target information ELAPOR1

Publications (1)

Recent publications for all applications. Explore the full list and refine your search

Cancer cell international 22:158 PubMed35440048

2022

Prognostic value and biological function of LRRN4 in colorectal cancer.

Applications

Unspecified application

Species

Unspecified reactive species

Cheng Xu,Yulin Chen,Feiwu Long,Junman Ye,Xue Li,Qiaorong Huang,Dejiao Yao,Xiaoli Wang,Jin Zhao,Wentong Meng,Xianming Mo,Ran Lu,Chuanwen Fan,Tao Zhang
View all publications

Product promise

We are committed to supporting your work with high-quality reagents, and we're here for you every step of the way. In the unlikely event that one of our products does not perform as expected, you're protected by our Product Promise.
For full details, please see our Terms & Conditions

Please note: All products are 'FOR RESEARCH USE ONLY. NOT FOR USE IN DIAGNOSTIC OR THERAPEUTIC PROCEDURES'.

For licensing inquiries, please contact partnerships@abcam.com