JavaScript is disabled in your browser. Please enable JavaScript to view this website.
AB93021

Anti-Estrogen Receptor alpha antibody [6F11]

4

(3 Reviews)

|

(22 Publications)

Mouse Monoclonal Estrogen Receptor alpha antibody. Suitable for IHC-P and reacts with Human samples. Cited in 22 publications. Immunogen corresponding to Recombinant Full Length Protein corresponding to Human ESR1.

View Alternative Names

ESR, NR3A1, ESR1, Estrogen receptor, ER, ER-alpha, Estradiol receptor, Nuclear receptor subfamily 3 group A member 1

3 Images
Immunohistochemistry (Formalin/PFA-fixed paraffin-embedded sections) - Anti-Estrogen Receptor alpha antibody [6F11] (AB93021)
  • IHC-P

Unknown

Immunohistochemistry (Formalin/PFA-fixed paraffin-embedded sections) - Anti-Estrogen Receptor alpha antibody [6F11] (AB93021)

ab93021 staining Estrogen Receptor alpha in formalin-fixed, paraffin-embedded Human breast carcinoma tissue.
Note : the nuclei of the positive cells stain very strongly, without any staining in the cytoplasm.

Immunohistochemistry (Formalin/PFA-fixed paraffin-embedded sections) - Anti-Estrogen Receptor alpha antibody [6F11] (AB93021)
  • IHC-P

Supplier Data

Immunohistochemistry (Formalin/PFA-fixed paraffin-embedded sections) - Anti-Estrogen Receptor alpha antibody [6F11] (AB93021)

Formalin-fixed, paraffin-embedded human breast carcinoma tissue stained for Estrogen Receptor alpha using ab93021 at 1/20 dilution in immunohistochemical analysis.

Immunohistochemistry (Formalin/PFA-fixed paraffin-embedded sections) - Anti-Estrogen Receptor alpha antibody [6F11] (AB93021)
  • IHC-P

Unknown

Immunohistochemistry (Formalin/PFA-fixed paraffin-embedded sections) - Anti-Estrogen Receptor alpha antibody [6F11] (AB93021)

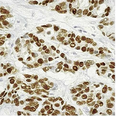
ab93021 staining Estrogen Receptor alpha in formalin-fixed, paraffin-embedded Human breast carcinoma tissue by Immunohistochemistry.

Key facts

Host species

Mouse

Clonality

Monoclonal

Clone number

6F11

Isotype

IgG1

Carrier free

No

Reacts with

Human

Applications

IHC-P

applications

Immunogen

Recombinant Full Length Protein corresponding to Human ESR1.

P03372

Reactivity data

{ "title": "Reactivity Data", "filters": { "stats": ["", "Species", "Dilution Info", "Notes"], "tabs": { "all-applications": {"fullname" : "All Applications", "shortname": "All Applications"}, "IHCP" : {"fullname" : "Immunohistochemistry (Formalin/PFA-fixed paraffin-embedded sections)", "shortname":"IHC-P"} }, "product-promise": { "all": "all", "testedAndGuaranteed": "tested", "guaranteed": "expected", "predicted": "predicted", "notRecommended": "not-recommended" } }, "values": { "Human": { "IHCP-species-checked": "testedAndGuaranteed", "IHCP-species-dilution-info": "1/20 - 1/80", "IHCP-species-notes": "<p></p>" } } }

Properties and storage information

Form
Liquid
Purity
Tissue culture supernatant
Storage buffer
pH: 7.3 - 7.5 Preservative: 0.05% Sodium azide Constituents: Tissue culture supernatant
Shipped at conditions
Blue Ice
Appropriate short-term storage duration
1-2 weeks
Appropriate short-term storage conditions
+4°C
Appropriate long-term storage conditions
-20°C
Storage information
Avoid freeze / thaw cycle

Supplementary information

This supplementary information is collated from multiple sources and compiled automatically.

Estrogen Receptor alpha also known as ERα or ESR1 is a nuclear receptor that acts as a transcription factor when activated by its ligand estrogen. Its molecular weight is approximately 66 kDa. ERα is expressed in various tissues such as breast tissue endometrium and ovarian cells as well as some areas of the central nervous system. The ERα protein binds to specific DNA sequences called estrogen response elements to regulate the transcription of target genes. Tools like ER alpha ELISA and assays using alpha peptides help to study this receptor.
Biological function summary

ERα plays a significant role in the regulation of estrogen signaling. Estrogens binding to ERα activate the receptor which can form a homodimer or heterodimer complex with other proteins like coactivators or corepressors. This complex then modulates the transcription of genes involved in cell growth proliferation and differentiation. ERα is closely linked with processes like reproductive tissue development and maintenance.

Pathways

ERα is involved in the estrogen signaling pathway and the cell cycle regulation pathway. In the estrogen signaling pathway ERα works together with proteins such as coactivators which enhance gene transcription and corepressors which can inhibit transcription. In the context of cell cycle regulation ERα's interactions with other cell cycle proteins help control cell division and proliferation linking ERα activity to the progression through different stages of the cell cycle.

ERα's dysregulation has been implicated in breast cancer and osteoporosis. ERα overexpression or mutations can lead to oncogenic effects in breast cancer making it a prominent therapeutic target. Drugs that modulate ERα activity like selective estrogen receptor modulators (SERMs) are used in breast cancer treatment. In osteoporosis ERα is related to bone density regulation with its activity affecting bone resorption and formation. Relationships between ERα and other proteins such as those involved in hormone signaling pathways impact these disease mechanisms.

Product protocols

For this product, it's our understanding that no specific protocols are required. You can visit:

Target data

The protein expressed by the gene ESR1 functions as a nuclear hormone receptor involved in regulating eukaryotic gene expression, affecting cellular proliferation and differentiation in target tissues. It mediates ligand-dependent nuclear transactivation either through direct homodimer binding to estrogen response elements (ERE) or by associating with other transcription factors like AP-1/c-Jun, c-Fos, ATF-2, Sp1, and Sp3, allowing ERE-independent signaling. Ligand binding triggers a conformational change, facilitating the interaction with coactivator complexes through LXXLL motifs. This interaction leads to mutual transrepression with NF-kappa-B in a cell-type-specific manner, reducing NF-kappa-B DNA-binding activity and transcription from the IL6 promoter while displacing coregulators like RELA/p65. It can antagonistically or synergistically interact with NF-kappa-B for transcription activation, involving recruitment to adjacent response elements, working with CREBBP. Additionally, it activates the transcription of TFF1 and mediates membrane-initiated signaling through kinase cascades. It's crucial for MTA1-mediated transcriptional regulation of BRCA1 and BCAS3. Isoform 3 specifically activates NOS3 and endothelial nitric oxide production, while isoforms lacking certain functional domains modulate transcriptional activity by competitive ligand or DNA binding and heterodimerization with the full-length receptor, capable of binding to ERE and inhibiting isoform 1. This supplementary information is collated from multiple sources and compiled automatically.
See full target information ESR1

Publications (22)

Recent publications for all applications. Explore the full list and refine your search

Molecular human reproduction 30: PubMed38788747

2024

Murine uterine gland branching is necessary for gland function in implantation.

Applications

Unspecified application

Species

Unspecified reactive species

Katrina Granger,Sarah Fitch,May Shen,Jarrett Lloyd,Aishwarya Bhurke,Jonathan Hancock,Xiaoqin Ye,Ripla Arora

Molecular oncology 14:1779-1799 PubMed32356397

2020

Estrogen receptor α promotes lung cancer cell invasion via increase of and cross-talk with infiltrated macrophages through the CCL2/CCR2/MMP9 and CXCL12/CXCR4 signaling pathways.

Applications

Unspecified application

Species

Unspecified reactive species

Miao He,Weiwei Yu,Chawnshang Chang,Hiroshi Miyamoto,Xiaohong Liu,Ke Jiang,Shuyuan Yeh

PloS one 14:e0221650 PubMed31442293

2019

17-β estradiol exerts anti-inflammatory effects through activation of Nrf2 in mouse embryonic fibroblasts.

Applications

Unspecified application

Species

Unspecified reactive species

Chin-Hee Song,Nayoung Kim,Do-Hee Kim,Ha-Na Lee,Young-Joon Surh

Biochemical pharmacology 164:139-151 PubMed30981879

2019

Effects of 17β-estradiol on colorectal cancer development after azoxymethane/dextran sulfate sodium treatment of ovariectomized mice.

Applications

Unspecified application

Species

Unspecified reactive species

Chin-Hee Song,Nayoung Kim,Sun Min Lee,Ryoung Hee Nam,Soo In Choi,So Ra Kang,Eun Shin,Dong Ho Lee,Ha-Na Lee,Young-Joon Surh

Nature communications 10:163 PubMed30635563

2019

Estrogen signaling in arcuate Kiss1 neurons suppresses a sex-dependent female circuit promoting dense strong bones.

Applications

Unspecified application

Species

Unspecified reactive species

Candice B Herber,William C Krause,Liping Wang,James R Bayrer,Alfred Li,Matthew Schmitz,Aaron Fields,Breanna Ford,Zhi Zhang,Michelle S Reid,Daniel K Nomura,Robert A Nissenson,Stephanie M Correa,Holly A Ingraham

British journal of cancer 120:331-339 PubMed30555156

2018

The oral selective oestrogen receptor degrader (SERD) AZD9496 is comparable to fulvestrant in antagonising ER and circumventing endocrine resistance.

Applications

Unspecified application

Species

Unspecified reactive species

Agostina Nardone,Hazel Weir,Oona Delpuech,Henry Brown,Carmine De Angelis,Maria Letizia Cataldo,Xiaoyong Fu,Martin J Shea,Tamika Mitchell,Jamunarani Veeraraghavan,Chandandeep Nagi,Mark Pilling,Mothaffar F Rimawi,Meghana Trivedi,Susan G Hilsenbeck,Gary C Chamness,Rinath Jeselsohn,C Kent Osborne,Rachel Schiff

Cellular physiology and biochemistry : international journal of experimental cellular physiology, biochemistry, and pharmacology 51:1518-1532 PubMed30497079

2018

Long Non-Coding RNA H19 Acts as an Estrogen Receptor Modulator that is Required for Endocrine Therapy Resistance in ER+ Breast Cancer Cells.

Applications

Unspecified application

Species

Unspecified reactive species

Pratima Basak,Sumanta Chatterjee,Vasudeva Bhat,Alice Su,Hyerang Jin,Victoria Lee-Wing,Qian Liu,Pingzhao Hu,Leigh C Murphy,Afshin Raouf

The Korean journal of internal medicine 35:310-319 PubMed30336658

2018

17β-Estradiol reduces inflammation and modulates antioxidant enzymes in colonic epithelial cells.

Applications

Unspecified application

Species

Unspecified reactive species

Hee Jin Son,Nayoung Kim,Chin-Hee Song,Sun Min Lee,Ha-Na Lee,Young-Joon Surh

International journal of molecular sciences 19: PubMed29462880

2018

Benzothiophenone Derivatives Targeting Mutant Forms of Estrogen Receptor-α in Hormone-Resistant Breast Cancers.

Applications

Unspecified application

Species

Unspecified reactive species

Kriti Singh,Ravi S N Munuganti,Nada Lallous,Kush Dalal,Ji Soo Yoon,Aishwariya Sharma,Takeshi Yamazaki,Artem Cherkasov,Paul S Rennie

Breast cancer research and treatment 161:229-243 PubMed27853906

2016

Downregulation of estrogen receptor and modulation of growth of breast cancer cell lines mediated by paracrine stromal cell signals.

Applications

Unspecified application

Species

Unspecified reactive species

J Huang,P Woods,D Normolle,J P Goff,P V Benos,C J Stehle,R A Steinman
View all publications

Product promise

We are committed to supporting your work with high-quality reagents, and we're here for you every step of the way. In the unlikely event that one of our products does not perform as expected, you're protected by our Product Promise.
For full details, please see our Terms & Conditions

Please note: All products are 'FOR RESEARCH USE ONLY. NOT FOR USE IN DIAGNOSTIC OR THERAPEUTIC PROCEDURES'.

For licensing inquiries, please contact partnerships@abcam.com