JavaScript is disabled in your browser. Please enable JavaScript to view this website.
AB108398

Anti-Estrogen Receptor alpha antibody [EPR4097]

  • BOND RX™ Validated
  • RabMAb
  • Recombinant
  • Lab Essentials
  • Advanced Validation
  • What is this?

5

(12 Reviews)

|

(63 Publications)

Anti-Estrogen Receptor alpha antibody [EPR4097] (ab108398) is a rabbit monoclonal antibody detecting Estrogen Receptor alpha in Western Blot, Flow Cytometry (Intra), IHC-P, IHC-Fr, ICC/IF. Suitable for Human.

- Biophysical QC for unrivalled batch-batch consistency
- Over 40 publications

View Alternative Names

ESR, NR3A1, ESR1, Estrogen receptor, ER, ER-alpha, Estradiol receptor, Nuclear receptor subfamily 3 group A member 1

17 Images
Immunohistochemistry (Formalin/PFA-fixed paraffin-embedded sections) - Anti-Estrogen Receptor alpha antibody [EPR4097] (AB108398)
  • IHC-P

Unknown

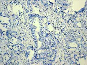
Immunohistochemistry (Formalin/PFA-fixed paraffin-embedded sections) - Anti-Estrogen Receptor alpha antibody [EPR4097] (AB108398)

Immunohistochemistry (Formalin/PFA-fixed parffin-embedded sections) analysis of human lung adenocarcinoma tissue. Unpurified ab108398 shows negative staining.

Immunohistochemistry (Formalin/PFA-fixed paraffin-embedded sections) - Anti-Estrogen Receptor alpha antibody [EPR4097] (AB108398)
  • IHC-P

Unknown

Immunohistochemistry (Formalin/PFA-fixed paraffin-embedded sections) - Anti-Estrogen Receptor alpha antibody [EPR4097] (AB108398)

Immunohistochemistry (Formalin/PFA-fixed parffin-embedded sections) analysis of human colonic adenocarcinoma tissue. Unpurified ab108398 shows negative staining.

Immunocytochemistry/ Immunofluorescence - Anti-Estrogen Receptor alpha antibody [EPR4097] (AB108398)
  • ICC/IF

Lab

Immunocytochemistry/ Immunofluorescence - Anti-Estrogen Receptor alpha antibody [EPR4097] (AB108398)

Immunocytochemsitry/Immunofluorescence analysis of MCF-7 cells labelling Estrogen Receptor alpha (green) with purified ab108398 at 1/200. Cells were fixed with 4% paraformaldehyde. An Alexa Fluor® 488-conjugated goat anti-rabbit IgG (1/200) was used as the secondary antibody. Counterstained with DAPI (blue).

Immunohistochemistry (Frozen sections) - Anti-Estrogen Receptor alpha antibody [EPR4097] (AB108398)
  • IHC-Fr

Supplier Data

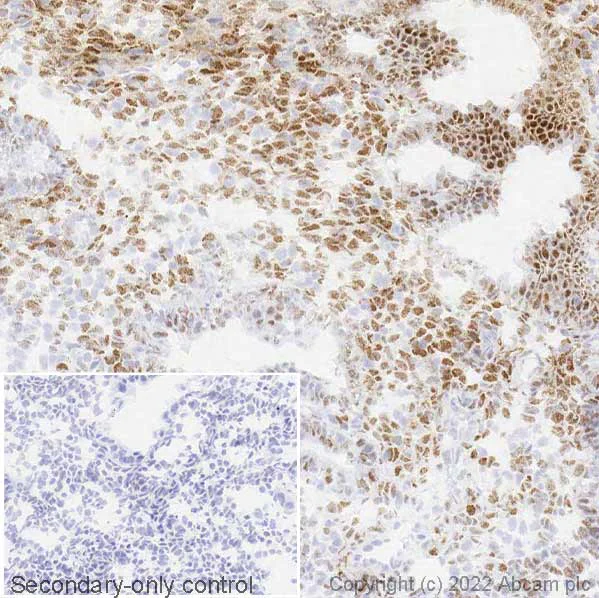
Immunohistochemistry (Frozen sections) - Anti-Estrogen Receptor alpha antibody [EPR4097] (AB108398)

IHC image of Estrogen Receptor alpha staining in a section of frozen human uterus* performed on a Leica Biosystems BOND® RX instrument using the standard protocol. The section was fixed in 10% paraformaldehyde (10 min) prior to staining. The section was incubated with ab108398, 5 ug/ml, for 15 mins at room temperature and detected using an HRP conjugated compact polymer system. DAB was used as the chromogen. The section was then counterstained with haematoxylin and mounted with DPX. The inset secondary-only control image is taken from an identical assay without primary antibody.

For other IHC staining systems (automated and non-automated) customers should optimize variable parameters such as antigen retrieval conditions, primary antibody concentration and antibody incubation times.

*Tissue obtained from the Human Research Tissue Bank, supported by the NIHR Cambridge Biomedical Research Centre.

Immunohistochemistry (Formalin/PFA-fixed paraffin-embedded sections) - Anti-Estrogen Receptor alpha antibody [EPR4097] (AB108398)
  • IHC-P

Unknown

Immunohistochemistry (Formalin/PFA-fixed paraffin-embedded sections) - Anti-Estrogen Receptor alpha antibody [EPR4097] (AB108398)

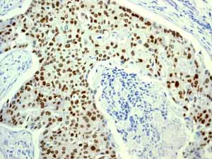
Immunohistochemistry (Formalin/PFA-fixed paraffin-embedded sections) analysis of human breast ductal infiltrating carcinoma tissue labelling Estrogen Receptor alpha with unpurified ab108398.

Immunohistochemistry (Formalin/PFA-fixed paraffin-embedded sections) - Anti-Estrogen Receptor alpha antibody [EPR4097] (AB108398)
  • IHC-P

Lab

Immunohistochemistry (Formalin/PFA-fixed paraffin-embedded sections) - Anti-Estrogen Receptor alpha antibody [EPR4097] (AB108398)

Immunohistochemistry (Formalin/PFA-fixed paraffin-embedded sections) analysis of human breast tissue labelling Estrogen Receptor alpha with purified ab108398 at 1/250. Heat mediated antigen retrieval was performed using Tris/EDTA buffer pH 9. A prediluted HRP-polymer conjugated anti-rabbit IgG was used as the secondary antibody. Counterstained with Hematoxylin.

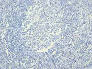
Immunohistochemistry (Formalin/PFA-fixed paraffin-embedded sections) - Anti-Estrogen Receptor alpha antibody [EPR4097] (AB108398)
  • IHC-P

Unknown

Immunohistochemistry (Formalin/PFA-fixed paraffin-embedded sections) - Anti-Estrogen Receptor alpha antibody [EPR4097] (AB108398)

Immunohistochemistry (Formalin/PFA-fixed parffin-embedded sections) analysis of human cervical carcinoma tissue. Unpurified ab108398 shows negative staining.

Immunohistochemistry (Frozen sections) - Anti-Estrogen Receptor alpha antibody [EPR4097] (AB108398)
  • IHC-Fr

Supplier Data

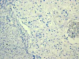
Immunohistochemistry (Frozen sections) - Anti-Estrogen Receptor alpha antibody [EPR4097] (AB108398)

IHC image of Estrogen Receptor alpha staining in a section of frozen human cervix* performed on a Leica Biosystems BOND® RX instrumen using the standard protocol. The section was fixed in 10% paraformaldehyde (10 min) prior to staining. The section was incubated with ab108398, 5 ug/ml, for 15 mins at room temperature and detected using an HRP conjugated compact polymer system. DAB was used as the chromogen. The section was then counterstained with haematoxylin and mounted with DPX. The inset secondary-only control image is taken from an identical assay without primary antibody.

For other IHC staining systems (automated and non-automated) customers should optimize variable parameters such as antigen retrieval conditions, primary antibody concentration and antibody incubation times.

*Tissue obtained from the Human Research Tissue Bank, supported by the NIHR Cambridge Biomedical Research Centre.

Flow Cytometry (Intracellular) - Anti-Estrogen Receptor alpha antibody [EPR4097] (AB108398)
  • Flow Cyt (Intra)

Lab

Flow Cytometry (Intracellular) - Anti-Estrogen Receptor alpha antibody [EPR4097] (AB108398)

ab108398 staining Estrogen Receptor alphain the human cell line MCF-7 (human breast carcinoma) by intracellular flow cytometry. Cells were fixed with 4% paraformaldehyde, permeabilized with 90% methanol and the sample was incubated with the primary antibody at a dilution of 1/20. A goat anti rabbit IgG (Alexa Fluorr® 488) at a dilution of 1/2000 was used as the secondary antibody.

Isoytype control : Rabbit monoclonal IgG (Black)

Unlabelled control : Cell without incubation with primary antibody and secondary antibody (Blue)

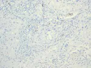
Immunohistochemistry (Frozen sections) - Anti-Estrogen Receptor alpha antibody [EPR4097] (AB108398)
  • IHC-Fr

Supplier Data

Immunohistochemistry (Frozen sections) - Anti-Estrogen Receptor alpha antibody [EPR4097] (AB108398)

Negative control image : IHC image of Estrogen Receptor alpha staining in a section of frozen human hippocampus* performed on a Leica Biosystems BOND® RX instrumen using the standard protocol. The section was fixed in 10% paraformaldehyde (10 min) prior to staining. The section was incubated with ab108398, 5 ug/ml, for 15 mins at room temperature and detected using an HRP conjugated compact polymer system. DAB was used as the chromogen. The section was then counterstained with haematoxylin and mounted with DPX. The inset secondary-only control image is taken from an identical assay without primary antibody.

For other IHC staining systems (automated and non-automated) customers should optimize variable parameters such as antigen retrieval conditions, primary antibody concentration and antibody incubation times.

*Tissue obtained from the Human Research Tissue Bank, supported by the NIHR Cambridge Biomedical Research Centre.

Immunohistochemistry (Formalin/PFA-fixed paraffin-embedded sections) - Anti-Estrogen Receptor alpha antibody [EPR4097] (AB108398)
  • IHC-P

Unknown

Immunohistochemistry (Formalin/PFA-fixed paraffin-embedded sections) - Anti-Estrogen Receptor alpha antibody [EPR4097] (AB108398)

Immunohistochemistry (Formalin/PFA-fixed parffin-embedded sections) analysis of human normal tonsil tissue. Unpurified ab108398 shows negative staining.

Western blot - Anti-Estrogen Receptor alpha antibody [EPR4097] (AB108398)
  • WB

Lab

Western blot - Anti-Estrogen Receptor alpha antibody [EPR4097] (AB108398)

Blocking and diluting buffer : 5% NFDM/TBST

All lanes:

Western blot - Anti-Estrogen Receptor alpha antibody [EPR4097] (ab108398) at 1/2000 dilution

Lane 1:

MCF7 (Human breast adenocarcinoma epithelial cell). Whole cell lysates at 20 µg

Lane 2:

T-47D (human mammary gland ductal carcinoma epithelial cell). Whole cell lysates at 20 µg

Lane 3:

MDA-MB231 (Human breast adenocarcinoma epithelial cell) Whole cell lysates (Negative control) at 20 µg

Lane 4:

HepG2 (Human hepatocellular carcinoma epithelial cell) Whole cell lysates (Negative control) at 20 µg

Lane 5:

Human uterus whole tissue lysate at 20 µg

Secondary

All lanes:

Western blot - Goat Anti-Rabbit IgG H&L (HRP) (<a href='/en-us/products/secondary-antibodies/goat-rabbit-igg-h-l-hrp-ab97051'>ab97051</a>) at 1/20000 dilution

Predicted band size: 66 kDa

Observed band size: 68 kDa

false

Exposure time: 10s

Western blot - Anti-Estrogen Receptor alpha antibody [EPR4097] (AB108398)
  • WB

Lab

Western blot - Anti-Estrogen Receptor alpha antibody [EPR4097] (AB108398)

Blocking buffer and concentration : 5% NFDM/TBST.

Diluting buffer and concentration : 5% NFDM /TBST.

All lanes:

purified at 1/2000 dilution

Lane 1:

MCF-7 cell lysate at 20 µg

Lane 2:

T47-D cell lysate at 20 µg

Secondary

All lanes:

Peroxidase-conjugated goat anti-rabbit IgG (H+L) at 1/1000 dilution

Predicted band size: 66 kDa

Observed band size: 67 kDa

false

Western blot - Anti-Estrogen Receptor alpha antibody [EPR4097] (AB108398)
  • WB

Lab

Western blot - Anti-Estrogen Receptor alpha antibody [EPR4097] (AB108398)

Blocking/Diluting buffer and concentration : 5% NFDM/TBST

Lane 1 : Recombinant Human Estrogen Receptor beta (aa 1 to 323) protein, (Cat# : ab158385)
There is no cross-reactivity between ab108398 and ER beta protein.

All lanes:

Western blot - Anti-Estrogen Receptor alpha antibody [EPR4097] (ab108398) at 1/1000 dilution

All lanes:

GST-Tagged Recombinant Human Estrogen Receptor beta (aa 1 to 323) protein 100ng

Secondary

All lanes:

Western blot - Goat Anti-Rabbit IgG H&L (HRP) (<a href='/en-us/products/secondary-antibodies/goat-rabbit-igg-h-l-hrp-ab97051'>ab97051</a>) at 1/20000 dilution

Predicted band size: 66 kDa

false

Exposure time: 180s

ChIC/CUT&RUN sequencing - Anti-Estrogen Receptor alpha antibody [EPR4097] (AB108398)
  • ChIC/CUT&RUN-seq

Lab

ChIC/CUT&RUN sequencing - Anti-Estrogen Receptor alpha antibody [EPR4097] (AB108398)

ChIC/CUT&RUN was performed using a pAG-MNase at a final concentration of 700 ng/mL, 2.5 x 10^5 MCF7 (Human breast adenocarcinoma epithelial cell) cells treated with phenol red free medium and 5% charcoal stripped FBS for 3 days than treated with β-estradiol (10 nM 45 min) and 5 µg of ab108398 [EPR4097]. The resulting DNA was sequenced on the Illumina NovaSeq 6000 to a depth of 10 million reads. The negative IgG control ab172730 is also shown. The University of Geneva owns patents relevant to ChIC (Chromatin Immuno-Cleavage) methods."

ChIC/CUT&RUN sequencing - Anti-Estrogen Receptor alpha antibody [EPR4097] (AB108398)
  • ChIC/CUT&RUN-seq

Lab

ChIC/CUT&RUN sequencing - Anti-Estrogen Receptor alpha antibody [EPR4097] (AB108398)

ChIC/CUT&RUN was performed using a pAG-MNase at a final concentration of 700 ng/mL, 2.5 x 10^5 MCF7 (Human breast adenocarcinoma epithelial cell) cells treated with phenol red free medium and 5% charcoal stripped FBS for 3 days than treated with β-estradiol (10 nM 45 min) and 5 µg of ab108398 [EPR4097]. The resulting DNA was sequenced on the Illumina NovaSeq 6000 to a depth of 10 million reads. The negative IgG control ab172730 is also shown. The University of Geneva owns patents relevant to ChIC (Chromatin Immuno-Cleavage) methods."

ChIC/CUT&RUN sequencing - Anti-Estrogen Receptor alpha antibody [EPR4097] (AB108398)
  • ChIC/CUT&RUN-seq

Lab

ChIC/CUT&RUN sequencing - Anti-Estrogen Receptor alpha antibody [EPR4097] (AB108398)

ChIC/CUT&RUN was performed using a pAG-MNase at a final concentration of 700 ng/mL, 2.5 x 10^5 MCF7 (Human breast adenocarcinoma epithelial cell) cells treated with phenol red free medium and 5% charcoal stripped FBS for 3 days than treated with β-estradiol (10 nM 45 min) and 5 µg of ab108398 [EPR4097]. The resulting DNA was sequenced on the Illumina NovaSeq 6000 to a depth of 10 million reads. The negative IgG control ab172730 is also shown. The University of Geneva owns patents relevant to ChIC (Chromatin Immuno-Cleavage) methods."

  • Carrier free

    Anti-Estrogen Receptor alpha antibody [EPR4097] - BSA and Azide free

  • 565 Alexa Fluor® 555

    Alexa Fluor® 555 Anti-Estrogen Receptor alpha antibody [EPR4097]

  • 665 Alexa Fluor® 647

    Alexa Fluor® 647 Anti-Estrogen Receptor alpha antibody [EPR4097]

  • 617 Alexa Fluor® 594

    Alexa Fluor® 594 Anti-Estrogen Receptor alpha antibody [EPR4097]

Key facts

Host species

Rabbit

Clonality

Monoclonal

Clone number

EPR4097

Isotype

IgG

Carrier free

No

Reacts with

Human

Applications

WB, ICC/IF, Flow Cyt (Intra), IHC-P, ChIC/CUT&RUN-seq, IHC-Fr

applications

Immunogen

The exact immunogen used to generate this antibody is proprietary information.

Specificity

Expression levels of ER alpha protein vary with sample type.

Reactivity data

{ "title": "Reactivity Data", "filters": { "stats": ["", "Species", "Dilution Info", "Notes"], "tabs": { "all-applications": {"fullname" : "All Applications", "shortname": "All Applications"}, "WB" : {"fullname" : "Western blot", "shortname":"WB"}, "ChICCUTRUNseq" : {"fullname" : "ChIC/CUT&RUN sequencing", "shortname":"ChIC/CUT&RUN-seq"}, "ICCIF" : {"fullname" : "Immunocytochemistry/ Immunofluorescence", "shortname":"ICC/IF"}, "FlowCytIntra" : {"fullname" : "Flow Cytometry (Intracellular)", "shortname":"Flow Cyt (Intra)"}, "IHCFr" : {"fullname" : "Immunohistochemistry (Frozen sections)", "shortname":"IHC-Fr"}, "IHCP" : {"fullname" : "Immunohistochemistry (Formalin/PFA-fixed paraffin-embedded sections)", "shortname":"IHC-P"} }, "product-promise": { "all": "all", "testedAndGuaranteed": "tested", "guaranteed": "expected", "predicted": "predicted", "notRecommended": "not-recommended" } }, "values": { "Human": { "WB-species-checked": "testedAndGuaranteed", "WB-species-dilution-info": "1/1000 - 1/10000", "WB-species-notes": "<p><strong>For unpurified use at 1/200 - 1/1000.</strong></p>", "ChICCUTRUNseq-species-checked": "testedAndGuaranteed", "ChICCUTRUNseq-species-dilution-info": "", "ChICCUTRUNseq-species-notes": "<p></p>", "ICCIF-species-checked": "testedAndGuaranteed", "ICCIF-species-dilution-info": "1/250", "ICCIF-species-notes": "<p><strong>For unpurified use at 1/30.</strong></p>", "FlowCytIntra-species-checked": "testedAndGuaranteed", "FlowCytIntra-species-dilution-info": "", "FlowCytIntra-species-notes": "<p></p>", "IHCFr-species-checked": "testedAndGuaranteed", "IHCFr-species-dilution-info": "5 µg/mL", "IHCFr-species-notes": "<p></p>", "IHCP-species-checked": "testedAndGuaranteed", "IHCP-species-dilution-info": "1/250", "IHCP-species-notes": "<p><strong>For unpurified use at 1/30.</strong></p> Perform heat-mediated antigen retrieval with Tris/EDTA buffer pH 9.0 before commencing with IHC staining protocol." } } }

Product details

What is this antibody validated in?
Anti-Estrogen Receptor alpha antibody [EPR4097] (ab108398) is a rabbit recombinant monoclonal antibody and is validated for use in Western Blot (WB), Flow Cytometry (Intra), Flow Cytometry (Flow Cyt), Immunohistochemistry (IHC-P), Immunohistochemistry (IHC-Fr), Immunocytochemistry/immunofluorescence (ICC/IF) in Human samples.

What is the molecular weight of Estrogen Receptor alpha?
Anti-Estrogen Receptor alpha [EPR4097] (ab108398) specifically detects a band for Estrogen Receptor alpha (UniProt: P03372) at a molecular weight of 66kDa.

Trusted by the scientific community
Anti-Estrogen Receptor alpha [EPR4097] (ab108398) was first used in a scientific publication in 2011 and has been cited over 40 times in peer-reviewed journals.

Reviewed by scientists
Anti-Estrogen Receptor alpha [EPR4097] (ab108398) has over 10 independent reviews from customers.

Trial sizes available!
Test your antibody or perform pre-screening before committing to a larger quantity. Sold in 10µl. Discover our selection of trial-size antibodies.

Other related products
We have a range of other formats of antibody clone [EPR4097] also available for your convenience: ab108398, Carrier free - ab167610, Alexa Fluor® 647 - ab205851, Alexa Fluor® 594 - ab207046, Alexa Fluor® 555 - ab279333

Patented technology
Our RabMAb® technology is a patented hybridoma-based technology for making rabbit monoclonal antibodies. For details on our patents, please refer to RabMAb® patents.

What are the advantages of a recombinant monoclonal antibody?
This product is a recombinant monoclonal antibody, which offers several advantages including:

  • - High batch-to-batch consistency and reproducibility
  • - Improved sensitivity and specificity
  • - Long-term security of supply
  • - Animal-free batch production

For more information, read more on recombinant antibodies.

Properties and storage information

Form
Liquid
Purification technique
Affinity purification Protein A
Storage buffer
pH: 7.2 - 7.4 Preservative: 0.01% Sodium azide Constituents: PBS, 40% Glycerol (glycerin, glycerine), 0.05% BSA
Shipped at conditions
Blue Ice
Appropriate short-term storage duration
1-2 weeks
Appropriate short-term storage conditions
+4°C
Appropriate long-term storage conditions
-20°C
Aliquoting information
Upon delivery aliquot
Storage information
Stable for 12 months at -20°C

Supplementary information

This supplementary information is collated from multiple sources and compiled automatically.

Estrogen Receptor alpha also known as ERα or ESR1 is a nuclear receptor that acts as a transcription factor when activated by its ligand estrogen. Its molecular weight is approximately 66 kDa. ERα is expressed in various tissues such as breast tissue endometrium and ovarian cells as well as some areas of the central nervous system. The ERα protein binds to specific DNA sequences called estrogen response elements to regulate the transcription of target genes. Tools like ER alpha ELISA and assays using alpha peptides help to study this receptor.
Biological function summary

ERα plays a significant role in the regulation of estrogen signaling. Estrogens binding to ERα activate the receptor which can form a homodimer or heterodimer complex with other proteins like coactivators or corepressors. This complex then modulates the transcription of genes involved in cell growth proliferation and differentiation. ERα is closely linked with processes like reproductive tissue development and maintenance.

Pathways

ERα is involved in the estrogen signaling pathway and the cell cycle regulation pathway. In the estrogen signaling pathway ERα works together with proteins such as coactivators which enhance gene transcription and corepressors which can inhibit transcription. In the context of cell cycle regulation ERα's interactions with other cell cycle proteins help control cell division and proliferation linking ERα activity to the progression through different stages of the cell cycle.

ERα's dysregulation has been implicated in breast cancer and osteoporosis. ERα overexpression or mutations can lead to oncogenic effects in breast cancer making it a prominent therapeutic target. Drugs that modulate ERα activity like selective estrogen receptor modulators (SERMs) are used in breast cancer treatment. In osteoporosis ERα is related to bone density regulation with its activity affecting bone resorption and formation. Relationships between ERα and other proteins such as those involved in hormone signaling pathways impact these disease mechanisms.

Product protocols

For this product, it's our understanding that no specific protocols are required. You can visit:

Target data

Nuclear hormone receptor. The steroid hormones and their receptors are involved in the regulation of eukaryotic gene expression and affect cellular proliferation and differentiation in target tissues. Ligand-dependent nuclear transactivation involves either direct homodimer binding to a palindromic estrogen response element (ERE) sequence or association with other DNA-binding transcription factors, such as AP-1/c-Jun, c-Fos, ATF-2, Sp1 and Sp3, to mediate ERE-independent signaling. Ligand binding induces a conformational change allowing subsequent or combinatorial association with multiprotein coactivator complexes through LXXLL motifs of their respective components. Mutual transrepression occurs between the estrogen receptor (ER) and NF-kappa-B in a cell-type specific manner. Decreases NF-kappa-B DNA-binding activity and inhibits NF-kappa-B-mediated transcription from the IL6 promoter and displace RELA/p65 and associated coregulators from the promoter. Recruited to the NF-kappa-B response element of the CCL2 and IL8 promoters and can displace CREBBP. Present with NF-kappa-B components RELA/p65 and NFKB1/p50 on ERE sequences. Can also act synergistically with NF-kappa-B to activate transcription involving respective recruitment adjacent response elements; the function involves CREBBP. Can activate the transcriptional activity of TFF1. Also mediates membrane-initiated estrogen signaling involving various kinase cascades. Essential for MTA1-mediated transcriptional regulation of BRCA1 and BCAS3 (PubMed : 17922032). Maintains neuronal survival in response to ischemic reperfusion injury when in the presence of circulating estradiol (17-beta-estradiol/E2) (By similarity).. Isoform 3. Involved in activation of NOS3 and endothelial nitric oxide production (PubMed : 21937726). Isoforms lacking one or several functional domains are thought to modulate transcriptional activity by competitive ligand or DNA binding and/or heterodimerization with the full-length receptor (PubMed : 10970861). Binds to ERE and inhibits isoform 1 (PubMed : 10970861).
See full target information ESR1

Publications (63)

Recent publications for all applications. Explore the full list and refine your search

Human reproduction open 2025:hoaf028 PubMed40521103

2025

Progressively diminished estrogen signaling concordant with increased fibrosis in ectopic endometrium.

Applications

Unspecified application

Species

Unspecified reactive species

Jichan Nie,Yunhua Yi,Xishi Liu,Sun-Wei Guo

International journal of molecular sciences 26: PubMed40362654

2025

Topological Distribution of the Sex Hormone Receptor Expressions Highlights the Importance of Stromal ERα and Epithelial PR in Malignant Transformation of the Uterine Cervix.

Applications

Unspecified application

Species

Unspecified reactive species

Mun-Kun Hong,Jen-Hung Wang,Ming-Hsun Li,Cheng-Chuan Su,Chiu-Hsuan Cheng,Tang-Yuan Chu

Reproductive sciences (Thousand Oaks, Calif.) 32:2295-2306 PubMed40342082

2025

17beta-estradiol (E2) Regulates Malignancies and Stemness in Endometrial Carcinoma (EC) via Interacting with ESR1.

Applications

Unspecified application

Species

Unspecified reactive species

Xiaochao Xu,Xinzhi Dai,Cheng Huang,Xia Guan,Cuiwei Zhang

Nature medicine 31:1925-1938 PubMed40114027

2025

Single-cell profiling of the human endometrium in polycystic ovary syndrome.

Applications

Unspecified application

Species

Unspecified reactive species

Gustaw Eriksson,Congru Li,Tina Gorsek Sparovec,Anja Dekanski,Sara Torstensson,Sanjiv Risal,Claes Ohlsson,Angelica Lindén Hirschberg,Sophie Petropoulos,Qiaolin Deng,Elisabet Stener-Victorin

Scientific reports 15:8852 PubMed40087289

2025

Dynamic culture system advances the applications of breast cancer organoids for precision medicine.

Applications

Unspecified application

Species

Unspecified reactive species

Jun Yang,Junyuan Qu,Mei Zhang,Xiang Li,Qian Jiang,Jinxiu Kang,Pan Nie,Na Jing,Xianling Wang

Heliyon 10:e38720 PubMed39640749

2024

NCLN as a potential prognosis biomarker in endometrial cancer.

Applications

Unspecified application

Species

Unspecified reactive species

Huang-Jin Luo,Li-Tong Zhu,Yu Dai,Yun Ma,Kai Wang,Lei Zhang,Qiu-Xia Li,Ping Jin

Nature communications 15:8447 PubMed39349474

2024

The estrogen response in fibroblasts promotes ovarian metastases of gastric cancer.

Applications

Unspecified application

Species

Unspecified reactive species

Simeng Hu,Can Hu,Jingli Xu,Pengfei Yu,Li Yuan,Ziyu Li,Haohong Liang,Yanqiang Zhang,Jiahui Chen,Qing Wei,Shengjie Zhang,Litao Yang,Dan Su,Yian Du,Zhiyuan Xu,Fan Bai,Xiangdong Cheng

JCI insight 9: PubMed39078714

2024

HIV-1 latency reversal and immune enhancing activity of IL-15 is not influenced by sex hormones.

Applications

Unspecified application

Species

Unspecified reactive species

Carissa S Holmberg,Callie Levinger,Marie Abongwa,Cristina Ceriani,Nancie M Archin,Marc Siegel,Mimi Ghosh,Alberto Bosque

iScience 27:109888 PubMed38947517

2024

Secretion of WNT7A by UC-MSCs assist in promoting the endometrial epithelial regeneration.

Applications

Unspecified application

Species

Unspecified reactive species

Fangbo Liu,Qin Lin,Shaolei Shen,Zhihong Li,Xiaorui Xie,Quan Cheng,Lan Wang,Yin Long,Juan Wang,Li Liu

Journal of experimental & clinical cancer research : CR 43:173 PubMed38898487

2024

The immunotoxin targeting PRLR increases tamoxifen sensitivity and enhances the efficacy of chemotherapy in breast cancer.

Applications

Unspecified application

Species

Unspecified reactive species

Jiawei Zhang,Junjun Liu,Yali Yue,Lei Wang,Qunye He,Shuyi Xu,Junyan Li,Yunji Liao,Yu Chen,Shusheng Wang,Yueqing Xie,Baohong Zhang,Yanlin Bian,Dimiter S Dimitrov,Yunsheng Yuan,Jianwei Zhu
View all publications

Product promise

We are committed to supporting your work with high-quality reagents, and we're here for you every step of the way. In the unlikely event that one of our products does not perform as expected, you're protected by our Product Promise.
For full details, please see our Terms & Conditions

Please note: All products are 'FOR RESEARCH USE ONLY. NOT FOR USE IN DIAGNOSTIC OR THERAPEUTIC PROCEDURES'.

For licensing inquiries, please contact partnerships@abcam.com