JavaScript is disabled in your browser. Please enable JavaScript to view this website.
AB167610

Anti-Estrogen Receptor alpha antibody [EPR4097] - BSA and Azide free

5

(2 Reviews)

|

(2 Publications)

Rabbit Recombinant Monoclonal Estrogen Receptor alpha antibody. Carrier free. Suitable for ICC/IF, WB, Flow Cyt (Intra), IHC-Fr, IHC-P, ChIC/CUT&RUN-seq and reacts with Human samples. Cited in 2 publications.

View Alternative Names

ESR, NR3A1, ESR1, Estrogen receptor, ER, ER-alpha, Estradiol receptor, Nuclear receptor subfamily 3 group A member 1

13 Images
Immunocytochemistry/ Immunofluorescence - Anti-Estrogen Receptor alpha antibody [EPR4097] - BSA and Azide free (AB167610)
  • ICC/IF

Unknown

Immunocytochemistry/ Immunofluorescence - Anti-Estrogen Receptor alpha antibody [EPR4097] - BSA and Azide free (AB167610)

Clone EPR4097 (ab167610) has been successfully conjugated by Abcam. This image was generated using Anti-Estrogen Receptor alpha antibody [EPR4097] (Alexa Fluor® 647). Please refer to ab205851 for protocol details.

ab205851 staining Estrogen Receptor alpha in MCF7 cells. The cells were fixed with 4% formaldehyde (10 min), permeabilized with 0.1% Triton X-100 for 5 minutes and then blocked with 1% BSA/10% normal goat serum/0.3M glycine in 0.1% PBS-Tween for 1h. The cells were then incubated overnight at +4°C with ab205851 at a 1/50 dilution (shown in red) and ab195887, Mouse monoclonal to alpha Tubulin (Alexa Fluor® 488), at a 1/250 dilution (shown in green). Nuclear DNA was labelled with DAPI (shown in blue).

Image was taken with a confocal microscope (Leica-Microsystems, TCS SP8).

This product also gave a positive signal under the same testing conditions in MCF7 cells fixed with 100% methanol (5 min)

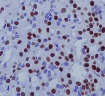
Immunohistochemistry (Formalin/PFA-fixed paraffin-embedded sections) - Anti-Estrogen Receptor alpha antibody [EPR4097] - BSA and Azide free (AB167610)
  • IHC-P

Lab

Immunohistochemistry (Formalin/PFA-fixed paraffin-embedded sections) - Anti-Estrogen Receptor alpha antibody [EPR4097] - BSA and Azide free (AB167610)

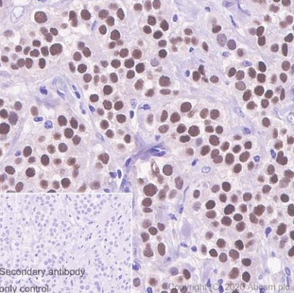
Immunohistochemistry (Formalin/PFA-fixed paraffin-embedded sections) analysis of human breast tissue labelling Estrogen Receptor alpha with purified ab108398 at 1/250. Heat mediated antigen retrieval was performed using Tris/EDTA buffer pH 9. A prediluted HRP-polymer conjugated anti-rabbit IgG was used as the secondary antibody. Counterstained with Hematoxylin.

This data was developed using the same antibody clone in a different buffer formulation containing PBS, BSA, glycerol, and sodium azide (ab108398).

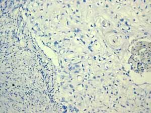
Immunohistochemistry (Formalin/PFA-fixed paraffin-embedded sections) - Anti-Estrogen Receptor alpha antibody [EPR4097] - BSA and Azide free (AB167610)
  • IHC-P

Unknown

Immunohistochemistry (Formalin/PFA-fixed paraffin-embedded sections) - Anti-Estrogen Receptor alpha antibody [EPR4097] - BSA and Azide free (AB167610)

Immunohistochemistry (Formalin/PFA-fixed parffin-embedded sections) analysis of human cervical carcinoma tissue. Unpurified ab108398 shows negative staining.

This data was developed using the same antibody clone in a different buffer formulation containing PBS, BSA, glycerol, and sodium azide (ab108398).

Flow Cytometry (Intracellular) - Anti-Estrogen Receptor alpha antibody [EPR4097] - BSA and Azide free (AB167610)
  • Flow Cyt (Intra)

Lab

Flow Cytometry (Intracellular) - Anti-Estrogen Receptor alpha antibody [EPR4097] - BSA and Azide free (AB167610)

ab108398 staining Estrogen Receptor alpha in the human cell line MCF-7 (human breast carcinoma) by intracellular flow cytometry. Cells were fixed with 4% paraformaldehyde, permeabilized with 90% methanol and the sample was incubated with the primary antibody at a dilution of 1/20. A goat anti rabbit IgG (Alexa Fluor® 488) at a dilution of 1/2000 was used as the secondary antibody.

Isoytype control : Rabbit monoclonal IgG (Black)

Unlabelled control : Cell without incubation with primary antibody and secondary antibody (Blue)

This data was developed using the same antibody clone in a different buffer formulation containing PBS, BSA, glycerol, and sodium azide (ab108398).

Immunocytochemistry/ Immunofluorescence - Anti-Estrogen Receptor alpha antibody [EPR4097] - BSA and Azide free (AB167610)
  • ICC/IF

Unknown

Immunocytochemistry/ Immunofluorescence - Anti-Estrogen Receptor alpha antibody [EPR4097] - BSA and Azide free (AB167610)

Clone EPR4097 (ab167610) has been successfully conjugated by Abcam. This image was generated using Anti-Estrogen Receptor alpha antibody [EPR4097] (Alexa Fluor® 488). Please refer to ab205850 for protocol details.

ab205850 staining Estrogen Receptor alpha in HeLa cells. The cells were fixed with 4% formaldehyde (10 min), permeabilized with 0.1% Triton X-100 for 5 minutes and then blocked with 1% BSA/10% normal goat serum/0.3M glycine in 0.1% PBS-Tween for 1h. The cells were then incubated overnight at +4°C with ab205850 at 1/100 dilution (shown in green) and ab195889, Mouse monoclonal to alpha Tubulin (Alexa Fluor® 594), at 1/250 dilution (shown in red). Nuclear DNA was labelled with DAPI (shown in blue).

Image was taken with a confocal microscope (Leica-Microsystems, TCS SP8).

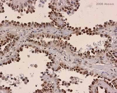
Immunohistochemistry (Formalin/PFA-fixed paraffin-embedded sections) - Anti-Estrogen Receptor alpha antibody [EPR4097] - BSA and Azide free (AB167610)
  • IHC-P

Unknown

Immunohistochemistry (Formalin/PFA-fixed paraffin-embedded sections) - Anti-Estrogen Receptor alpha antibody [EPR4097] - BSA and Azide free (AB167610)

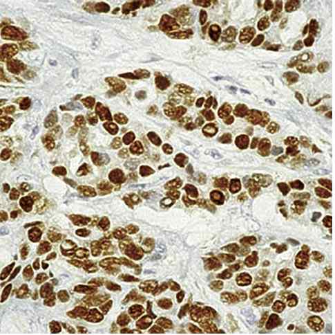
Immunohistochemistry (Formalin/PFA-fixed paraffin-embedded sections) analysis of human breast ductal infiltrating carcinoma tissue labelling Estrogen Receptor alpha with unpurified ab108398.

This data was developed using the same antibody clone in a different buffer formulation containing PBS, BSA, glycerol, and sodium azide (ab108398).

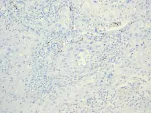
Immunohistochemistry (Formalin/PFA-fixed paraffin-embedded sections) - Anti-Estrogen Receptor alpha antibody [EPR4097] - BSA and Azide free (AB167610)
  • IHC-P

Unknown

Immunohistochemistry (Formalin/PFA-fixed paraffin-embedded sections) - Anti-Estrogen Receptor alpha antibody [EPR4097] - BSA and Azide free (AB167610)

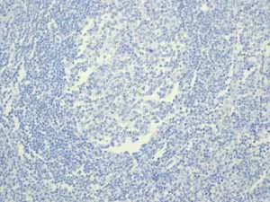
Immunohistochemistry (Formalin/PFA-fixed parffin-embedded sections) analysis of human normal tonsil tissue. Unpurified ab108398 shows negative staining.

This data was developed using the same antibody clone in a different buffer formulation containing PBS, BSA, glycerol, and sodium azide (ab108398).

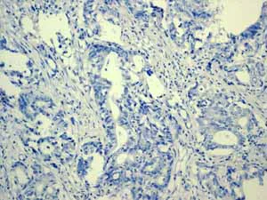
Immunohistochemistry (Formalin/PFA-fixed paraffin-embedded sections) - Anti-Estrogen Receptor alpha antibody [EPR4097] - BSA and Azide free (AB167610)
  • IHC-P

Unknown

Immunohistochemistry (Formalin/PFA-fixed paraffin-embedded sections) - Anti-Estrogen Receptor alpha antibody [EPR4097] - BSA and Azide free (AB167610)

Immunohistochemistry (Formalin/PFA-fixed parffin-embedded sections) analysis of human lung adenocarcinoma tissue. Unpurified ab108398 shows negative staining.

This data was developed using the same antibody clone in a different buffer formulation containing PBS, BSA, glycerol, and sodium azide (ab108398).

Immunohistochemistry (Formalin/PFA-fixed paraffin-embedded sections) - Anti-Estrogen Receptor alpha antibody [EPR4097] - BSA and Azide free (AB167610)
  • IHC-P

Unknown

Immunohistochemistry (Formalin/PFA-fixed paraffin-embedded sections) - Anti-Estrogen Receptor alpha antibody [EPR4097] - BSA and Azide free (AB167610)

Immunohistochemistry (Formalin/PFA-fixed parffin-embedded sections) analysis of human colonic adenocarcinoma tissue. Unpurified ab108398 shows negative staining.

This data was developed using the same antibody clone in a different buffer formulation containing PBS, BSA, glycerol, and sodium azide (ab108398).

Immunocytochemistry/ Immunofluorescence - Anti-Estrogen Receptor alpha antibody [EPR4097] - BSA and Azide free (AB167610)
  • ICC/IF

Lab

Immunocytochemistry/ Immunofluorescence - Anti-Estrogen Receptor alpha antibody [EPR4097] - BSA and Azide free (AB167610)

Immunocytochemsitry/Immunofluorescence analysis of MCF-7 cells labelling Estrogen Receptor alpha (green) with purified ab108398 at 1/200. Cells were fixed with 4% paraformaldehyde. An Alexa Fluor® 488-conjugated goat anti-rabbit IgG (1/200) was used as the secondary antibody. Counterstained with DAPI (blue).

This data was developed using the same antibody clone in a different buffer formulation containing PBS, BSA, glycerol, and sodium azide (ab108398).

ChIC/CUT&RUN sequencing - Anti-Estrogen Receptor alpha antibody [EPR4097] - BSA and Azide free (AB167610)
  • ChIC/CUT&RUN-seq

Lab

ChIC/CUT&RUN sequencing - Anti-Estrogen Receptor alpha antibody [EPR4097] - BSA and Azide free (AB167610)

"This data was developed using the same antibody clone in a different buffer formulation (ab108398). ChIC/CUT&RUN was performed using a pAG-MNase at a final concentration of 700 ng/mL, 2.5 x 10^5 MCF7 (Human breast adenocarcinoma epithelial cell) cells treated with phenol red free medium and 5% charcoal stripped FBS for 3 days than treated with β-estradiol (10 nM 45 min) and 5 µg of ab108398 [EPR4097]. The resulting DNA was sequenced on the Illumina NovaSeq 6000 to a depth of 10 million reads. The negative IgG control ab172730 is also shown. The University of Geneva owns patents relevant to ChIC (Chromatin Immuno-Cleavage) methods."

ChIC/CUT&RUN sequencing - Anti-Estrogen Receptor alpha antibody [EPR4097] - BSA and Azide free (AB167610)
  • ChIC/CUT&RUN-seq

Lab

ChIC/CUT&RUN sequencing - Anti-Estrogen Receptor alpha antibody [EPR4097] - BSA and Azide free (AB167610)

"This data was developed using the same antibody clone in a different buffer formulation (ab108398). ChIC/CUT&RUN was performed using a pAG-MNase at a final concentration of 700 ng/mL, 2.5 x 10^5 MCF7 (Human breast adenocarcinoma epithelial cell) cells treated with phenol red free medium and 5% charcoal stripped FBS for 3 days than treated with β-estradiol (10 nM 45 min) and 5 µg of ab108398 [EPR4097]. The resulting DNA was sequenced on the Illumina NovaSeq 6000 to a depth of 10 million reads. The negative IgG control ab172730 is also shown. The University of Geneva owns patents relevant to ChIC (Chromatin Immuno-Cleavage) methods."

ChIC/CUT&RUN sequencing - Anti-Estrogen Receptor alpha antibody [EPR4097] - BSA and Azide free (AB167610)
  • ChIC/CUT&RUN-seq

Lab

ChIC/CUT&RUN sequencing - Anti-Estrogen Receptor alpha antibody [EPR4097] - BSA and Azide free (AB167610)

"This data was developed using the same antibody clone in a different buffer formulation (ab108398). ChIC/CUT&RUN was performed using a pAG-MNase at a final concentration of 700 ng/mL, 2.5 x 10^5 MCF7 (Human breast adenocarcinoma epithelial cell) cells treated with phenol red free medium and 5% charcoal stripped FBS for 3 days than treated with β-estradiol (10 nM 45 min) and 5 µg of ab108398 [EPR4097]. The resulting DNA was sequenced on the Illumina NovaSeq 6000 to a depth of 10 million reads. The negative IgG control ab172730 is also shown. The University of Geneva owns patents relevant to ChIC (Chromatin Immuno-Cleavage) methods."

  • Unconjugated

    Anti-Estrogen Receptor alpha antibody [EPR4097]

Key facts

Host species

Rabbit

Clonality

Monoclonal

Clone number

EPR4097

Isotype

IgG

Carrier free

Yes

Reacts with

Human

Applications

ChIC/CUT&RUN-seq, ICC/IF, WB, IHC-Fr, Flow Cyt (Intra), IHC-P

applications

Immunogen

The exact immunogen used to generate this antibody is proprietary information.

Specificity

Expression levels of ER alpha protein vary with sample type.

Reactivity data

{ "title": "Reactivity Data", "filters": { "stats": ["", "Species", "Dilution Info", "Notes"], "tabs": { "all-applications": {"fullname" : "All Applications", "shortname": "All Applications"}, "ICCIF" : {"fullname" : "Immunocytochemistry/ Immunofluorescence", "shortname":"ICC/IF"}, "WB" : {"fullname" : "Western blot", "shortname":"WB"}, "FlowCytIntra" : {"fullname" : "Flow Cytometry (Intracellular)", "shortname":"Flow Cyt (Intra)"}, "IHCFr" : {"fullname" : "Immunohistochemistry (Frozen sections)", "shortname":"IHC-Fr"}, "IHCP" : {"fullname" : "Immunohistochemistry (Formalin/PFA-fixed paraffin-embedded sections)", "shortname":"IHC-P"}, "ChICCUTRUNseq" : {"fullname" : "ChIC/CUT&RUN sequencing", "shortname":"ChIC/CUT&RUN-seq"} }, "product-promise": { "all": "all", "testedAndGuaranteed": "tested", "guaranteed": "expected", "predicted": "predicted", "notRecommended": "not-recommended" } }, "values": { "Human": { "ICCIF-species-checked": "testedAndGuaranteed", "ICCIF-species-dilution-info": "", "ICCIF-species-notes": "<p></p>", "WB-species-checked": "testedAndGuaranteed", "WB-species-dilution-info": "", "WB-species-notes": "<p></p>", "FlowCytIntra-species-checked": "testedAndGuaranteed", "FlowCytIntra-species-dilution-info": "", "FlowCytIntra-species-notes": "<p><a href='/en-us/products/primary-antibodies/rabbit-igg-monoclonal-epr25a-isotype-control-low-endotoxin-azide-free-ab199376'>ab199376</a> - Rabbit monoclonal IgG, is suitable for use as an isotype control with this antibody.</p>", "IHCFr-species-checked": "testedAndGuaranteed", "IHCFr-species-dilution-info": "", "IHCFr-species-notes": "<p></p>", "IHCP-species-checked": "testedAndGuaranteed", "IHCP-species-dilution-info": "", "IHCP-species-notes": "<p></p>", "ChICCUTRUNseq-species-checked": "testedAndGuaranteed", "ChICCUTRUNseq-species-dilution-info": "", "ChICCUTRUNseq-species-notes": "<p></p>" } } }

Product details

ab167610 is the carrier-free version of ab108398.

Patented technology
Our RabMAb® technology is a patented hybridoma-based technology for making rabbit monoclonal antibodies. For details on our patents, please refer to RabMAb® patents.

Conjugation ready
Our carrier-free antibodies are typically supplied in a PBS-only formulation, purified and free of BSA, sodium azide and glycerol. This conjugation-ready format is designed for use with fluorochromes, metal isotopes, oligonucleotides, and enzymes, which makes them ideal for antibody labelling, functional and cell-based assays, flow-based assays (e.g. mass cytometry) and Multiplex Imaging applications.

Use our conjugation kits for antibody conjugates that are ready-to-use in as little as 20 minutes with 1 minute hands-on-time and 100% antibody recovery: available for fluorescent dyes, HRP, biotin and gold.

Compatibility
This product is compatible with the Maxpar® Antibody Labeling Kit from Fluidigm, without the need for antibody preparation. Maxpar® is a trademark of Fluidigm Canada Inc.

Properties and storage information

Form
Liquid
Purification technique
Affinity purification Protein A
Storage buffer
Constituents: PBS
Shipped at conditions
Blue Ice
Appropriate short-term storage conditions
+4°C
Appropriate long-term storage conditions
+4°C
Storage information
Do Not Freeze

Supplementary information

This supplementary information is collated from multiple sources and compiled automatically.

Estrogen Receptor alpha also known as ERα or ESR1 is a nuclear receptor that acts as a transcription factor when activated by its ligand estrogen. Its molecular weight is approximately 66 kDa. ERα is expressed in various tissues such as breast tissue endometrium and ovarian cells as well as some areas of the central nervous system. The ERα protein binds to specific DNA sequences called estrogen response elements to regulate the transcription of target genes. Tools like ER alpha ELISA and assays using alpha peptides help to study this receptor.
Biological function summary

ERα plays a significant role in the regulation of estrogen signaling. Estrogens binding to ERα activate the receptor which can form a homodimer or heterodimer complex with other proteins like coactivators or corepressors. This complex then modulates the transcription of genes involved in cell growth proliferation and differentiation. ERα is closely linked with processes like reproductive tissue development and maintenance.

Pathways

ERα is involved in the estrogen signaling pathway and the cell cycle regulation pathway. In the estrogen signaling pathway ERα works together with proteins such as coactivators which enhance gene transcription and corepressors which can inhibit transcription. In the context of cell cycle regulation ERα's interactions with other cell cycle proteins help control cell division and proliferation linking ERα activity to the progression through different stages of the cell cycle.

ERα's dysregulation has been implicated in breast cancer and osteoporosis. ERα overexpression or mutations can lead to oncogenic effects in breast cancer making it a prominent therapeutic target. Drugs that modulate ERα activity like selective estrogen receptor modulators (SERMs) are used in breast cancer treatment. In osteoporosis ERα is related to bone density regulation with its activity affecting bone resorption and formation. Relationships between ERα and other proteins such as those involved in hormone signaling pathways impact these disease mechanisms.

Product protocols

For this product, it's our understanding that no specific protocols are required. You can visit:

Target data

The protein expressed by the gene ESR1 functions as a nuclear hormone receptor involved in regulating eukaryotic gene expression, affecting cellular proliferation and differentiation in target tissues. It mediates ligand-dependent nuclear transactivation either through direct homodimer binding to estrogen response elements (ERE) or by associating with other transcription factors like AP-1/c-Jun, c-Fos, ATF-2, Sp1, and Sp3, allowing ERE-independent signaling. Ligand binding triggers a conformational change, facilitating the interaction with coactivator complexes through LXXLL motifs. This interaction leads to mutual transrepression with NF-kappa-B in a cell-type-specific manner, reducing NF-kappa-B DNA-binding activity and transcription from the IL6 promoter while displacing coregulators like RELA/p65. It can antagonistically or synergistically interact with NF-kappa-B for transcription activation, involving recruitment to adjacent response elements, working with CREBBP. Additionally, it activates the transcription of TFF1 and mediates membrane-initiated signaling through kinase cascades. It's crucial for MTA1-mediated transcriptional regulation of BRCA1 and BCAS3. Isoform 3 specifically activates NOS3 and endothelial nitric oxide production, while isoforms lacking certain functional domains modulate transcriptional activity by competitive ligand or DNA binding and heterodimerization with the full-length receptor, capable of binding to ERE and inhibiting isoform 1. This supplementary information is collated from multiple sources and compiled automatically.
See full target information ESR1

Publications (2)

Recent publications for all applications. Explore the full list and refine your search

Oncogene 43:2708-2721 PubMed39112518

2024

CRISPR-based dissection of microRNA-23a ~ 27a ~ 24-2 cluster functionality in hepatocellular carcinoma.

Applications

Unspecified application

Species

Unspecified reactive species

Mengying Cui,Zhichao Liu,Shuaibin Wang,Sejong Bae,Hua Guo,Jiangbing Zhou,Runhua Liu,Lizhong Wang

Cancers 15: PubMed36765785

2023

Flexible Cyclic Immunofluorescence (cyCIF) Using Oligonucleotide Barcoded Antibodies.

Applications

Unspecified application

Species

Unspecified reactive species

Nathan P McMahon,Jocelyn A Jones,Ashley N Anderson,Matthew S Dietz,Melissa H Wong,Summer L Gibbs
View all publications

Product promise

We are committed to supporting your work with high-quality reagents, and we're here for you every step of the way. In the unlikely event that one of our products does not perform as expected, you're protected by our Product Promise.
For full details, please see our Terms & Conditions

Please note: All products are 'FOR RESEARCH USE ONLY. NOT FOR USE IN DIAGNOSTIC OR THERAPEUTIC PROCEDURES'.

For licensing inquiries, please contact partnerships@abcam.com