JavaScript is disabled in your browser. Please enable JavaScript to view this website.
AB187260

Anti-Estrogen Receptor alpha antibody [SP1] - BSA and Azide free

  • BOND RX™ Validated
  • RabMAb
  • Advanced Validation
  • Recombinant
  • What is this?

2

(1 Review)

|

(1 Publication)

Anti-Estrogen Receptor alpha antibody [SP1] - BSA and Azide free (ab187260) is a rabbit recombinant monoclonal antibody provided in a PBS only buffer for easy conjugation. Suitable for Western Blot, Flow Cytometry, IHC-P, ICC/IF, mIHC in Human.

- BSA, sodium azide, and glycerol-free for easy conjugation
- Multiplex IHC validated on the Leica BOND® MAX using Opal reagents
- Biophysical QC for unrivalled batch-batch consistency

View Alternative Names

ESR, NR3A1, ESR1, Estrogen receptor, ER, ER-alpha, Estradiol receptor, Nuclear receptor subfamily 3 group A member 1

15 Images
Immunohistochemistry (Formalin/PFA-fixed paraffin-embedded sections) - Anti-Estrogen Receptor alpha antibody [SP1] - BSA and Azide free (AB187260)
  • IHC-P

Supplier Data

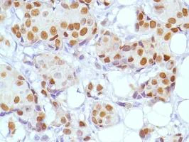
Immunohistochemistry (Formalin/PFA-fixed paraffin-embedded sections) - Anti-Estrogen Receptor alpha antibody [SP1] - BSA and Azide free (AB187260)

Formalin-fixed, paraffin-embedded human breast tissue stained for Estrogen Receptor alpha using ab16660 at 1/200 dilution in immunohistochemical analysis.

This data was developed using the same antibody clone in a different buffer formulation containing PBS, BSA, glycerol, and sodium azide (ab16660)

Immunohistochemistry (Formalin/PFA-fixed paraffin-embedded sections) - Anti-Estrogen Receptor alpha antibody [SP1] - BSA and Azide free (AB187260)
  • IHC-P

Unknown

Immunohistochemistry (Formalin/PFA-fixed paraffin-embedded sections) - Anti-Estrogen Receptor alpha antibody [SP1] - BSA and Azide free (AB187260)

Human breast carcinoma stained with ab16660.

This image was generated using the hybridoma version of the product.

.This data was developed using the same antibody clone in a different buffer formulation containing PBS, BSA, glycerol, and sodium azide (ab16660)

Immunohistochemistry (Formalin/PFA-fixed paraffin-embedded sections) - Anti-Estrogen Receptor alpha antibody [SP1] - BSA and Azide free (AB187260)
  • IHC-P

Lab

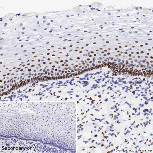
Immunohistochemistry (Formalin/PFA-fixed paraffin-embedded sections) - Anti-Estrogen Receptor alpha antibody [SP1] - BSA and Azide free (AB187260)

IHC image of ab16660 staining Estrogen Receptor alpha in normal human cervix formalin-fixed paraffin-embedded tissue sections* performed on a Leica Bond. The section was pre-treated using heat mediated antigen retrieval with sodium citrate buffer (pH6 epitope retrieval solution 1) for 20 mins. The section was then incubated with ab16660 1/250 dilution for 15 mins at room temperature and detected using an HRP conjugated compact polymer system. DAB was used as the chromogen. The section was then counterstained with haematoxylin and mounted with DPX. No primary antibody was used in the negative control (shown on the inset).

This image was generated using the hybridoma version of the product.

For other IHC staining systems (automated and non-automated) customers should optimize variable parameters such as antigen retrieval conditions primary antibody concentration and antibody incubation times.

*Tissue obtained from the Human Research Tissue Bank supported by the NIHR Cambridge Biomedical Research Centre

This data was developed using the same antibody clone in a different buffer formulation containing PBS, BSA, glycerol, and sodium azide (ab16660)

Immunohistochemistry (Formalin/PFA-fixed paraffin-embedded sections) - Anti-Estrogen Receptor alpha antibody [SP1] - BSA and Azide free (AB187260)
  • IHC-P

Supplier Data

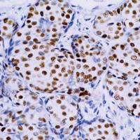
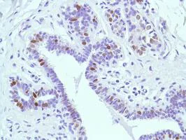
Immunohistochemistry (Formalin/PFA-fixed paraffin-embedded sections) - Anti-Estrogen Receptor alpha antibody [SP1] - BSA and Azide free (AB187260)

Formalin-fixed, paraffin-embedded human breast ductal carcinoma tissue stained for Estrogen Receptor alpha using ab16660 at 1/200 dilution in immunohistochemical analysis.

This data was developed using the same antibody clone in a different buffer formulation containing PBS, BSA, glycerol, and sodium azide (ab16660)

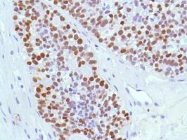
Immunohistochemistry (Formalin/PFA-fixed paraffin-embedded sections) - Anti-Estrogen Receptor alpha antibody [SP1] - BSA and Azide free (AB187260)
  • IHC-P

Supplier Data

Immunohistochemistry (Formalin/PFA-fixed paraffin-embedded sections) - Anti-Estrogen Receptor alpha antibody [SP1] - BSA and Azide free (AB187260)

Formalin-fixed paraffin-embedded human breast carcinoma tissue stained for Estrogen Receptor alpha using ab16660 at 1/200 dilution in immunohistochemical analysis.

This image was generated using the hybridoma version of the product.

This data was developed using the same antibody clone in a different buffer formulation containing PBS, BSA, glycerol, and sodium azide (ab16660)

Immunohistochemistry (Formalin/PFA-fixed paraffin-embedded sections) - Anti-Estrogen Receptor alpha antibody [SP1] - BSA and Azide free (AB187260)
  • IHC-P

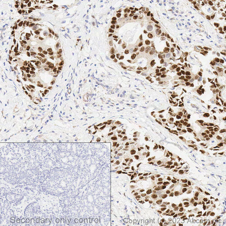
Lab

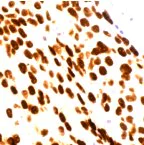
Immunohistochemistry (Formalin/PFA-fixed paraffin-embedded sections) - Anti-Estrogen Receptor alpha antibody [SP1] - BSA and Azide free (AB187260)

Immunohistochemical analysis of formalin fixed paraffin embedded human tonsil labelling ER alpha with ab187260 at a concentration of 0.5µg/ml. The immunostaining was performed on a Ventana DISCOVERY ULTRA (Roche Tissue Diagnostics) instrument with an OptiView DAB IHC Detection Kit. Heat mediated antigen retrieval was conducted for 32 min with ULTRA cell conditioning solution (CC1 pH 8.5). ab187260 anti ER alpha antibody was incubated at 37°C for 16min. Sections were counterstained is with Hematoxylin II. Image inset shows absence of staining in secondary antibody only control.

Immunohistochemistry (Formalin/PFA-fixed paraffin-embedded sections) - Anti-Estrogen Receptor alpha antibody [SP1] - BSA and Azide free (AB187260)
  • IHC-P

Supplier Data

Immunohistochemistry (Formalin/PFA-fixed paraffin-embedded sections) - Anti-Estrogen Receptor alpha antibody [SP1] - BSA and Azide free (AB187260)

Formalin-fixed, paraffin-embedded human ovarian adenocarcinoma tissue stained for Estrogen Receptor alpha using ab16660 at 1/200 dilution in immunohistochemical analysis.

This data was developed using the same antibody clone in a different buffer formulation containing PBS, BSA, glycerol, and sodium azide (ab16660)

Multiplex immunohistochemistry - Anti-Estrogen Receptor alpha antibody [SP1] - BSA and Azide free (AB187260)
  • mIHC

Supplier Data

Multiplex immunohistochemistry - Anti-Estrogen Receptor alpha antibody [SP1] - BSA and Azide free (AB187260)

This data was developed using ab16660, the same antibody clone in a different buffer formulation. Multiplex immunohistochemistry (Formalin/PFA-fixed paraffin-embedded sections) analysis of Human triple-positive breast carcinoma tissue sections labeling Estrogen Receptor (ER) with ab16660, at a 1/200 dilution ( 0.07 μg/ml). Heat mediated antigen retrieval with Citrate buffer (pH 6.0, epitope retrieval solution 1) for 20 mins and Opal Polymer HRP Ms + Rb was used as the secondary antibody. DAPI was used as the nuclear counterstain. Panel A : merged staining of anti-Progesterone Receptor (PR) (magenta; Opal™690), anti-HER2 (red; Opal™570) and anti-Estrogen Receptor (ER) (green; Opal™520) on human triple-positive breast carcinoma. Panel B : anti-PR stained on nucleus of cancer cells. Panel C : anti-HER2 stained on membrane of cancer cells. Panel D : anti-ER stained on nucleus of cancer cells. The section was incubated in three rounds of staining : in the order of ab16661 for 30 mins, then ab16660 and ab231438 for 10 mins at room temperature. Each round was followed by a separate fluorescent tyramide signal amplification system. The immunostaining was performed on a Leica Biosystems BOND® RX instrument with an Opal™ 4-color kit. Image acquisition was performed with Leica SP8 confocal microscope.

Multiplex immunohistochemistry - Anti-Estrogen Receptor alpha antibody [SP1] - BSA and Azide free (AB187260)
  • mIHC

Supplier Data

Multiplex immunohistochemistry - Anti-Estrogen Receptor alpha antibody [SP1] - BSA and Azide free (AB187260)

This data was developed using ab16660, the same antibody clone in a different buffer formulation. Multiplex immunohistochemistry (Formalin/PFA-fixed paraffin-embedded sections) analysis of Human mammary gland tissue sections labeling Estrogen Receptor (ER) with ab16660, at a 1/200 dilution ( 0.07 μg/ml). Heat mediated antigen retrieval with Citrate buffer (pH 6.0, epitope retrieval solution 1) for 20 mins and Opal Polymer HRP Ms + Rb was used as the secondary antibody. DAPI was used as the nuclear counterstain. Panel A : merged staining of anti-Progesterone Receptor (PR) (magenta; Opal™690), anti-HER2 (red; Opal™570) and anti-Estrogen Receptor (ER) (green; Opal™520) on human mammary gland. Panel B : anti-PR stained on nucleus of some ductal cells. Panel C : anti-HER2 stained on no cells. Panel D : anti-ER stained on nucleus of some ductal cells. The section was incubated in three rounds of staining : in the order of ab16661 for 30 mins, then ab16660 and ab231438 for 10 mins at room temperature. Each round was followed by a separate fluorescent tyramide signal amplification system. The immunostaining was performed on a Leica Biosystems BOND® RX instrument with an Opal™ 4-color kit. Image acquisition was performed with Leica SP8 confocal microscope.

Multiplex immunohistochemistry - Anti-Estrogen Receptor alpha antibody [SP1] - BSA and Azide free (AB187260)
  • mIHC

Supplier Data

Multiplex immunohistochemistry - Anti-Estrogen Receptor alpha antibody [SP1] - BSA and Azide free (AB187260)

This data was developed using ab16660, the same antibody clone in a different buffer formulation. Multiplex immunohistochemistry (Formalin/PFA-fixed paraffin-embedded sections) analysis of Human triple-negative breast carcinoma tissue sections labeling Estrogen Receptor (ER) with ab16660, at a 1/200 dilution ( 0.07 μg/ml). Heat mediated antigen retrieval with Citrate buffer (pH 6.0, epitope retrieval solution 1) for 20 mins and Opal Polymer HRP Ms + Rb was used as the secondary antibody. DAPI was used as the nuclear counterstain. Panel A : merged staining of anti-Progesterone Receptor (PR) (magenta; Opal™690), anti-HER2 (red; Opal™570) and anti-Estrogen Receptor (ER) (green; Opal™520) on human triple-negative breast carcinoma. Panel B : anti-PR stained on no cells. Panel C : anti-HER2 stained on no cells. Panel D : anti-ER stained on no cells. The section was incubated in three rounds of staining : in the order of ab16661 for 30 mins, then ab16660 and ab231438 for 10 mins at room temperature. Each round was followed by a separate fluorescent tyramide signal amplification system. The immunostaining was performed on a Leica Biosystems BOND® RX instrument with an Opal™ 4-color kit. Image acquisition was performed with Leica SP8 confocal microscope.

Western blot - Anti-Estrogen Receptor alpha antibody [SP1] - BSA and Azide free (AB187260)
  • WB

Lab

Western blot - Anti-Estrogen Receptor alpha antibody [SP1] - BSA and Azide free (AB187260)

This data was developed using ab16660, the same antibody clone in a different buffer formulation.

Blocking and diluting buffer and concentration : 5% NFDM/TBST.

The expression profile/molecular weight observed is consistent with what has been described in the literature (PMID : 16165085, PMID : 31036290). The identity of the lower MW band below 37kDa is unknown.

All lanes:

Western blot - Anti-Estrogen Receptor alpha antibody [SP1] (<a href='/en-us/products/primary-antibodies/estrogen-receptor-alpha-antibody-sp1-ab16660'>ab16660</a>) at 1/1000 dilution

All lanes:

T-47D (human mammary gland ductal carcinoma epithelial cell) whole cell lysates at 20 µg

Secondary

All lanes:

Western blot - Goat Anti-Rabbit IgG H&L (HRP) (<a href='/en-us/products/secondary-antibodies/goat-rabbit-igg-h-l-hrp-ab97051'>ab97051</a>) at 1/20000 dilution

Observed band size: 46-66 kDa

false

Exposure time: 180s

Immunocytochemistry/ Immunofluorescence - Anti-Estrogen Receptor alpha antibody [SP1] - BSA and Azide free (AB187260)
  • ICC/IF

Lab

Immunocytochemistry/ Immunofluorescence - Anti-Estrogen Receptor alpha antibody [SP1] - BSA and Azide free (AB187260)

ab16660 staining Estrogen Receptor alpha in MCF7 cells. The cells were fixed with 4% formaldehyde (10min) permeabilized with 0.1% Triton X-100 for 5 minutes and then blocked with 1% BSA/10% normal goat serum/0.3M glycine in 0.1% PBS-Tween for 1h. The cells were then incubated overnight at +4°C with ab16660 at 1/250 dilution (shown in green) and ab195889 Mouse monoclonal [DM1A] to alpha Tubulin (Alexa Fluor® 594) at 2μg/ml (shown in red). Nuclear DNA was labelled with DAPI (shown in blue).
Image was taken with a confocal microscope (Leica-Microsystems TCS SP8).

This image was generated using the hybridoma version of the product.

This data was developed using the same antibody clone in a different buffer formulation containing PBS, BSA, glycerol, and sodium azide (ab16660)

Immunohistochemistry (Formalin/PFA-fixed paraffin-embedded sections) - Anti-Estrogen Receptor alpha antibody [SP1] - BSA and Azide free (AB187260)
  • IHC-P

Supplier Data

Immunohistochemistry (Formalin/PFA-fixed paraffin-embedded sections) - Anti-Estrogen Receptor alpha antibody [SP1] - BSA and Azide free (AB187260)

This data was developed using ab16660, the same antibody clone in a different buffer formulation. Tissue Microarrays stained for Anti-Estrogen Receptor alpha antibody [SP1] using ab16660 in immunohistochemical analysis. This table provides a detailed overview of positive (tick mark) and negaive (cross mark) staining per sample type tested. The section was incubated with ab16660 for 10 mins at room temperature followed by a ready to use Rabbit specific IHC polymer detection kit HRP/DAB (ab209101). The immunostaining was performed on a Leica Biosystems BOND® RX instrument. Heat mediated antigen retrieval was performed with Citrate buffer (pH 6.0, Epitope Retrieval Solution 1) for 10 mins.

Flow Cytometry (Intracellular) - Anti-Estrogen Receptor alpha antibody [SP1] - BSA and Azide free (AB187260)
  • Flow Cyt (Intra)

Unknown

Flow Cytometry (Intracellular) - Anti-Estrogen Receptor alpha antibody [SP1] - BSA and Azide free (AB187260)

Intracellular flow cytometry analysis of MCF7 (human breast adenocarcinoma epithelial cell) labeling Estrogen Receptor alpha with purified ab16660 at 1/200 dilution (1.06 μg/ml) (red). Cells were fixed with 4% paraformaldehyde and permeabilised with 90% methanol. Goat anti rabbit IgG (Alexa Fluor® 488 ab150077) at 1/2000 dilution was used as a secondary antibody. Isotype control - Rabbit monoclonal IgG (ab172730) (black). Unlableled control - Unlabelled cells (blue).This image was generated using the hybridoma version of the product.

This data was developed using the same antibody clone in a different buffer formulation containing PBS, BSA, glycerol, and sodium azide (ab16660).

Immunohistochemistry (Formalin/PFA-fixed paraffin-embedded sections) - Anti-Estrogen Receptor alpha antibody [SP1] - BSA and Azide free (AB187260)
  • IHC-P

Unknown

Immunohistochemistry (Formalin/PFA-fixed paraffin-embedded sections) - Anti-Estrogen Receptor alpha antibody [SP1] - BSA and Azide free (AB187260)

Clone SP1 (ab187260) has been successfully conjugated by Abcam. This image was generated using Anti-Estrogen Receptor alpha antibody [SP1] (Alexa Fluor® 647). Please refer to ab267512 for protocol details.

IHC image of Estrogen Receptor alpha staining in a section of formalin-fixed paraffin-embedded normal human breast*.

The section was pre-treated using heat mediated antigen retrieval with sodium citrate buffer (pH6) in a Biocare Medical NxGen pressure cooker using retrieval settings of 110°C for 20 minutes. Non-specific protein-protein interactions were then blocked in TBS containing 0.025% (v/v) Triton X-100, 0.3M (w/v) glycine and 1% (w/v) BSA for 1h at room temperature. The section was then incubated overnight at +4°C in TBS containing 0.025% (v/v) Triton X-100 and 1% (w/v) BSA with ab267512 at 1/100 dilution (shown in red) and counterstained using ab195887, Mouse monoclonal to alpha Tubulin (Alexa Fluor® 488), at 1/250 dilution (shown in green). Nuclear DNA was labelled with DAPI (shown in blue). The section was then mounted using Fluoromount®.

Image was taken with a confocal microscope (Leica-Microsystems, TCS SP8).

For other IHC staining systems (automated and non-automated), customers should optimize variable parameters such as antigen retrieval conditions, antibody concentrations and incubation times.

*Tissue obtained from the Human Research Tissue Bank, supported by the NIHR Cambridge Biomedical Research Centre.

  • Unconjugated

    Anti-Estrogen Receptor alpha antibody [SP1]

  • 775 Alexa Fluor® 750

    Alexa Fluor® 750 Anti-Estrogen Receptor alpha antibody [SP1]

  • 665 Alexa Fluor® 647

    Alexa Fluor® 647 Anti-Estrogen Receptor alpha antibody [SP1]

  • 578 PE

    PE Anti-Estrogen Receptor alpha antibody [SP1]

  • 660 APC

    APC Anti-Estrogen Receptor alpha antibody [SP1]

  • HRP

    HRP Anti-Estrogen Receptor alpha antibody [SP1]

  • 603 Alexa Fluor® 568

    Alexa Fluor® 568 Anti-Estrogen Receptor alpha antibody [SP1]

  • 617 Alexa Fluor® 594

    Alexa Fluor® 594 Anti-Estrogen Receptor alpha antibody [SP1]

  • 565 Alexa Fluor® 555

    Alexa Fluor® 555 Anti-Estrogen Receptor alpha antibody [SP1]

Key facts

Host species

Rabbit

Clonality

Monoclonal

Clone number

SP1

Isotype

IgG

Carrier free

Yes

Reacts with

Human

Applications

WB, IHC-P, mIHC, Flow Cyt (Intra), ICC/IF

applications

Immunogen

The exact immunogen used to generate this antibody is proprietary information.

Epitope

C-terminal

Reactivity data

{ "title": "Reactivity Data", "filters": { "stats": ["", "Species", "Dilution Info", "Notes"], "tabs": { "all-applications": {"fullname" : "All Applications", "shortname": "All Applications"}, "mIHC" : {"fullname" : "Multiplex immunohistochemistry", "shortname":"mIHC"}, "WB" : {"fullname" : "Western blot", "shortname":"WB"}, "IHCP" : {"fullname" : "Immunohistochemistry (Formalin/PFA-fixed paraffin-embedded sections)", "shortname":"IHC-P"}, "ICCIF" : {"fullname" : "Immunocytochemistry/ Immunofluorescence", "shortname":"ICC/IF"}, "FlowCytIntra" : {"fullname" : "Flow Cytometry (Intracellular)", "shortname":"Flow Cyt (Intra)"} }, "product-promise": { "all": "all", "testedAndGuaranteed": "tested", "guaranteed": "expected", "predicted": "predicted", "notRecommended": "not-recommended" } }, "values": { "Human": { "mIHC-species-checked": "testedAndGuaranteed", "mIHC-species-dilution-info": "1/200", "mIHC-species-notes": "<p></p>", "WB-species-checked": "testedAndGuaranteed", "WB-species-dilution-info": "", "WB-species-notes": "<p></p>", "IHCP-species-checked": "testedAndGuaranteed", "IHCP-species-dilution-info": "", "IHCP-species-notes": "<p></p>", "ICCIF-species-checked": "testedAndGuaranteed", "ICCIF-species-dilution-info": "", "ICCIF-species-notes": "<p></p>", "FlowCytIntra-species-checked": "testedAndGuaranteed", "FlowCytIntra-species-dilution-info": "", "FlowCytIntra-species-notes": "<p></p>" }, "Mouse": { "mIHC-species-checked": "predicted", "mIHC-species-dilution-info": "", "mIHC-species-notes": "", "WB-species-checked": "notRecommended", "WB-species-dilution-info": "", "WB-species-notes": "<p></p>", "IHCP-species-checked": "notRecommended", "IHCP-species-dilution-info": "", "IHCP-species-notes": "<p></p>", "ICCIF-species-checked": "predicted", "ICCIF-species-dilution-info": "", "ICCIF-species-notes": "", "FlowCytIntra-species-checked": "predicted", "FlowCytIntra-species-dilution-info": "", "FlowCytIntra-species-notes": "" }, "Rat": { "mIHC-species-checked": "notRecommended", "mIHC-species-dilution-info": "", "mIHC-species-notes": "", "WB-species-checked": "notRecommended", "WB-species-dilution-info": "", "WB-species-notes": "<p></p>", "IHCP-species-checked": "notRecommended", "IHCP-species-dilution-info": "", "IHCP-species-notes": "", "ICCIF-species-checked": "notRecommended", "ICCIF-species-dilution-info": "", "ICCIF-species-notes": "", "FlowCytIntra-species-checked": "notRecommended", "FlowCytIntra-species-dilution-info": "", "FlowCytIntra-species-notes": "" }, "Pig": { "mIHC-species-checked": "predicted", "mIHC-species-dilution-info": "", "mIHC-species-notes": "", "WB-species-checked": "notRecommended", "WB-species-dilution-info": "", "WB-species-notes": "", "IHCP-species-checked": "notRecommended", "IHCP-species-dilution-info": "", "IHCP-species-notes": "", "ICCIF-species-checked": "predicted", "ICCIF-species-dilution-info": "", "ICCIF-species-notes": "", "FlowCytIntra-species-checked": "predicted", "FlowCytIntra-species-dilution-info": "", "FlowCytIntra-species-notes": "" } } }

You may be interested in:

AB207203

Estrogen Receptor Transcription Factor Assay Kit (Colorimetric)

0

0 Reviews

View product

We recommend this product because it’s often used in the same experiment or related research.

We advise that you always check the datasheet to ensure it fits your experiments, or contact ourtechnical teamfor help.

Product details

What is this antibody validated in?
Anti-Estrogen Receptor alpha antibody [SP1] - BSA and Azide free (ab187260) is a rabbit recombinant monoclonal antibody and is validated for use in Western Blot (WB), Flow Cytometry (Intra), Flow Cytometry (Flow Cyt), Immunohistochemistry (IHC-P), Immunocytochemistry/immunofluorescence (ICC/IF), Multiplex IHC (mIHC) in Human samples.

What is the molecular weight of Estrogen Receptor alpha?
Anti-Estrogen Receptor alpha [SP1] - BSA and Azide free (ab187260) specifically detects a band for Estrogen Receptor alpha (UniProt: P03372) at a molecular weight of 67kDa.

Collaboration
Anti-Estrogen Receptor alpha [SP1] - BSA and Azide free (ab187260) is a clone from the portfolio of Spring Bioscience (Roche) SP clones which have been optimised for immunohistochemistry (IHC).

Other related products
We have a range of other formats of antibody clone [SP1] also available for your convenience: ab16660, Carrier free - ab187260, ab238626, Alexa Fluor® 647 - ab267512, Alexa Fluor® 555 - ab282199, Alexa Fluor® 594 - ab282651, PE - ab305384, APC - ab305385, HRP - ab305386, Alkaline Phosphatase - ab308794, Alexa Fluor® 568 - ab312515, Alexa Fluor® 750 - ab321152

What are the advantages of a recombinant monoclonal antibody?
This product is a recombinant monoclonal antibody, which offers several advantages including:

  • - High batch-to-batch consistency and reproducibility
  • - Improved sensitivity and specificity
  • - Long-term security of supply
  • - Animal-free batch production

For more information, read more on recombinant antibodies.

Conjugation ready
Our carrier-free antibodies are typically supplied in a PBS-only formulation, purified and free of BSA, sodium azide and glycerol. This conjugation-ready format is designed for use with fluorochromes, metal isotopes, oligonucleotides, and enzymes, which makes them ideal for antibody labelling, functional and cell-based assays, flow-based assays (e.g. mass cytometry) and Multiplex Imaging applications.

Use our conjugation kits for antibody conjugates that are ready-to-use in as little as 20 minutes with 1 minute hands-on-time and 100% antibody recovery: available for fluorescent dyes, HRP, biotin and gold.

Compatibility
This product is compatible with the Maxpar® Antibody Labeling Kit from Fluidigm, without the need for antibody preparation. Maxpar® is a trademark of Fluidigm Canada Inc.

Properties and storage information

Form
Liquid
Purification technique
Affinity purification
Storage buffer
pH: 7.2 - 7.4 Constituents: PBS
Shipped at conditions
Blue Ice
Appropriate short-term storage conditions
+4°C
Appropriate long-term storage conditions
+4°C
Storage information
Do Not Freeze

Supplementary information

This supplementary information is collated from multiple sources and compiled automatically.

Estrogen Receptor alpha also known as ERα or ESR1 is a nuclear receptor that acts as a transcription factor when activated by its ligand estrogen. Its molecular weight is approximately 66 kDa. ERα is expressed in various tissues such as breast tissue endometrium and ovarian cells as well as some areas of the central nervous system. The ERα protein binds to specific DNA sequences called estrogen response elements to regulate the transcription of target genes. Tools like ER alpha ELISA and assays using alpha peptides help to study this receptor.
Biological function summary

ERα plays a significant role in the regulation of estrogen signaling. Estrogens binding to ERα activate the receptor which can form a homodimer or heterodimer complex with other proteins like coactivators or corepressors. This complex then modulates the transcription of genes involved in cell growth proliferation and differentiation. ERα is closely linked with processes like reproductive tissue development and maintenance.

Pathways

ERα is involved in the estrogen signaling pathway and the cell cycle regulation pathway. In the estrogen signaling pathway ERα works together with proteins such as coactivators which enhance gene transcription and corepressors which can inhibit transcription. In the context of cell cycle regulation ERα's interactions with other cell cycle proteins help control cell division and proliferation linking ERα activity to the progression through different stages of the cell cycle.

ERα's dysregulation has been implicated in breast cancer and osteoporosis. ERα overexpression or mutations can lead to oncogenic effects in breast cancer making it a prominent therapeutic target. Drugs that modulate ERα activity like selective estrogen receptor modulators (SERMs) are used in breast cancer treatment. In osteoporosis ERα is related to bone density regulation with its activity affecting bone resorption and formation. Relationships between ERα and other proteins such as those involved in hormone signaling pathways impact these disease mechanisms.

Product protocols

For this product, it's our understanding that no specific protocols are required. You can visit:

Target data

The protein expressed by the gene ESR1 functions as a nuclear hormone receptor involved in regulating eukaryotic gene expression, affecting cellular proliferation and differentiation in target tissues. It mediates ligand-dependent nuclear transactivation either through direct homodimer binding to estrogen response elements (ERE) or by associating with other transcription factors like AP-1/c-Jun, c-Fos, ATF-2, Sp1, and Sp3, allowing ERE-independent signaling. Ligand binding triggers a conformational change, facilitating the interaction with coactivator complexes through LXXLL motifs. This interaction leads to mutual transrepression with NF-kappa-B in a cell-type-specific manner, reducing NF-kappa-B DNA-binding activity and transcription from the IL6 promoter while displacing coregulators like RELA/p65. It can antagonistically or synergistically interact with NF-kappa-B for transcription activation, involving recruitment to adjacent response elements, working with CREBBP. Additionally, it activates the transcription of TFF1 and mediates membrane-initiated signaling through kinase cascades. It's crucial for MTA1-mediated transcriptional regulation of BRCA1 and BCAS3. Isoform 3 specifically activates NOS3 and endothelial nitric oxide production, while isoforms lacking certain functional domains modulate transcriptional activity by competitive ligand or DNA binding and heterodimerization with the full-length receptor, capable of binding to ERE and inhibiting isoform 1. This supplementary information is collated from multiple sources and compiled automatically.
See full target information ESR1

Publications (1)

Recent publications for all applications. Explore the full list and refine your search

Cell reports. Medicine 4:100977 PubMed36921599

2023

Multiplex imaging of breast cancer lymph node metastases identifies prognostic single-cell populations independent of clinical classifiers.

Applications

Unspecified application

Species

Unspecified reactive species

Jana Raja Fischer,Hartland Warren Jackson,Natalie de Souza,Zsuzsanna Varga,Peter Schraml,Holger Moch,Bernd Bodenmiller
View all publications

Product promise

We are committed to supporting your work with high-quality reagents, and we're here for you every step of the way. In the unlikely event that one of our products does not perform as expected, you're protected by our Product Promise.
For full details, please see our Terms & Conditions

Associated Products

Select an associated product type
Alternative Product
Primary Antibodies

AB271827

Anti-Estrogen Receptor alpha antibody [E115] - BSA and Azide free

primary-antibodies

estrogen-receptor-alpha-antibody-e115-bsa-and-azide-free-ab271827

1

(1 reviews)

Alternative Version
Primary Antibodies

AB267512

Alexa Fluor® 647 Anti-Estrogen Receptor alpha antibody [SP1]

primary-antibodies

alexa-fluor-647-estrogen-receptor-alpha-antibody-sp1-ab267512

5

(1 reviews)

Alternative Version
Primary Antibodies

AB305384

PE Anti-Estrogen Receptor alpha antibody [SP1]

primary-antibodies

pe-estrogen-receptor-alpha-antibody-sp1-ab305384

0

(0 reviews)

Alternative Version
Primary Antibodies

AB305385

APC Anti-Estrogen Receptor alpha antibody [SP1]

primary-antibodies

apc-estrogen-receptor-alpha-antibody-sp1-ab305385

0

(0 reviews)

Alternative Version
Primary Antibodies

AB305386

HRP Anti-Estrogen Receptor alpha antibody [SP1]

primary-antibodies

hrp-estrogen-receptor-alpha-antibody-sp1-ab305386

0

(0 reviews)

Alternative Version
Primary Antibodies

AB312515

Alexa Fluor® 568 Anti-Estrogen Receptor alpha antibody [SP1]

primary-antibodies

alexa-fluor-568-estrogen-receptor-alpha-antibody-sp1-ab312515

0

(0 reviews)

Alternative Version
Primary Antibodies

AB282199

Alexa Fluor® 555 Anti-Estrogen Receptor alpha antibody [SP1]

primary-antibodies

alexa-fluor-555-estrogen-receptor-alpha-antibody-sp1-ab282199

4

(1 reviews)

Please note: All products are 'FOR RESEARCH USE ONLY. NOT FOR USE IN DIAGNOSTIC OR THERAPEUTIC PROCEDURES'.

For licensing inquiries, please contact partnerships@abcam.com