JavaScript is disabled in your browser. Please enable JavaScript to view this website.
AB316764

Anti-Estrogen Receptor alpha (mutated Y537S + D538G) antibody [EPR28709-35]

  • BOND RX™ Validated
  • Recombinant
  • RabMAb
  • Lab Essentials
  • 20ul selling size
  • What is this?

Be the first to review this product! Submit a review

|

(0 Publication)

Rabbit Recombinant Monoclonal Estrogen Receptor alpha mutated Y537S + D538G antibody. Suitable for WB, IHC-P, Flow Cyt (Intra), IP and reacts with Transfected cell lysate - Human, Transfected cell line - Human samples.

View Alternative Names

ESR, NR3A1, Estrogen receptor, ER, ER-alpha, Estradiol receptor, Nuclear receptor subfamily 3 group A member 1

4 Images
Immunohistochemistry (Formalin/PFA-fixed paraffin-embedded sections) - Anti-Estrogen Receptor alpha (mutated Y537S + D538G) antibody [EPR28709-35] (AB316764)
  • IHC-P

Supplier Data

Immunohistochemistry (Formalin/PFA-fixed paraffin-embedded sections) - Anti-Estrogen Receptor alpha (mutated Y537S + D538G) antibody [EPR28709-35] (AB316764)

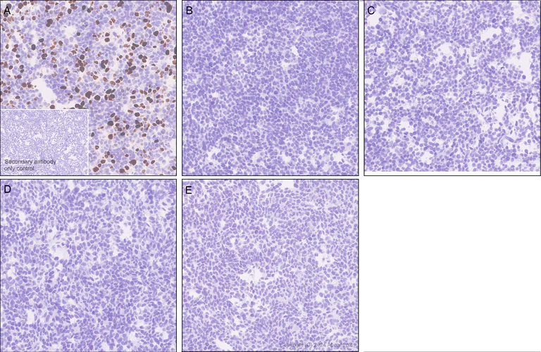
Immunohistochemical analysis of paraffin-embedded (A) HEK-293T (human embryonic kidney epithelial cell) transfected with a human ERα (Y537S, D538G) expression vector containing a His tag. (B) HEK-293T transfected with a human ERα (Y537S) expression vector containing a His tag. (C) HEK-293T transfected with a human ERα (D538G) expression vector containing a His tag. (D) HEK-293T transfected with a human ERα expression vector containing a His tag. (E) HEK-293T transfected with empty vector containing a His tag. tissue labeling Estrogen Receptor alpha (mutated Y537S + D538G) with ab316764 at 1/2000 (0.266 ug/ml) dilution, followed by a ready to use LeicaDS9800 (Bond™ Polymer Refine Detection).

Positive staining on 293T overexpressing (A) human ERα (Y537S, D538G). No staining on 293T overexpressing human (B) ERα (Y537S), (C) ERα (D538G), (D) wild-type ERα, or (E) the empty vector control.
The section was incubated with ab316764 for 30 mins at room temperature.
The immunostaining was performed on a Leica Biosystems BOND® RX instrument

Counterstained with Hematoxylin.

Secondary antibody only control : Secondary antibody is a ready to use LeicaDS9800 (Bond™ Polymer Refine Detection).

Heat mediated antigen retrieval was performed with Tris-EDTA buffer (pH 9.0, Epitope Retrieval Solution2) for 20 mins

Flow Cytometry (Intracellular) - Anti-Estrogen Receptor alpha (mutated Y537S + D538G) antibody [EPR28709-35] (AB316764)
  • Flow Cyt (Intra)

Supplier Data

Flow Cytometry (Intracellular) - Anti-Estrogen Receptor alpha (mutated Y537S + D538G) antibody [EPR28709-35] (AB316764)

Flow cytometric analysis of 4% paraformaldehyde fixed 90% methanol permeabilized Isotype (Upper Left) / 293T cells transfected with a human ERα (Y537S) expression vector containing a myc-His-tag® (Upper Middle) / 293T cells transfected with a human ERα (D538G) expression vector containing a myc-His-tag® (Upper Right) / 293T cells transfected with a human ERα (Y537S, D538G) expression vector containing a myc-His-tag® (Lower Left) / 293T cells transfected with a human wild type ERα expression vector containing a myc-His-tag® (Lower Middle) / 293T cells transfected with an empty expression vector containing a myc-His-tag® (Lower Right) cells labelling Estrogen Receptor alpha (mutated Y537S + D538G) with ab316764 at 1/5000 dilution (0.01 ug)/Middle, Right and Lower Left compared with a Rabbit monoclonal IgG (ab172730) / Left isotype control.

Goat Anti-Rabbit IgG (Alexa Fluor® 488, ab150081) at 1/5000 dilution was used as the secondary antibody.

Cells are co-stained with Myc tag conjugated to Alexa Fluor®647.

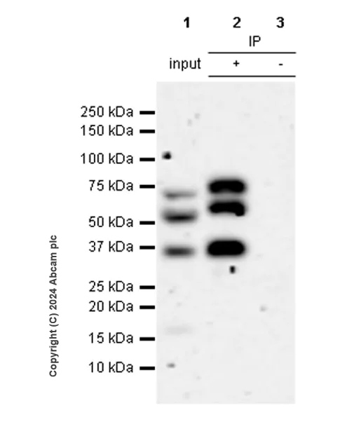
Immunoprecipitation - Anti-Estrogen Receptor alpha (mutated Y537S + D538G) antibody [EPR28709-35] (AB316764)
  • IP

Supplier Data

Immunoprecipitation - Anti-Estrogen Receptor alpha (mutated Y537S + D538G) antibody [EPR28709-35] (AB316764)

Estrogen Receptor alpha (mutated Y537S + D538G) was immunoprecipitated from 0.35 mg 293T (human embryonic kidney epithelial cell) cells transfected with a human ERα (Y537S, D538G) expression vector containing a myc-His-tag®, whole cell lysate with ab316764 at 1/30 dilution (2ug in 0.35mg lysates). Western blot was performed on the immunoprecipitate using ab316764 at 1/1000 dilution. VeriBlot for IP secondary antibody(HRP)(ab131366) was used at 1/5000 dilution.

Lane 1 : 293T (human embryonic kidney epithelial cell) cells transfected with a human ERα (Y537S, D538G) expression vector containing a myc-His-tag®, whole cell lysate
Lane 2 : ab316764 IP in 293T (human embryonic kidney epithelial cell) cells transfected with a human ERα (Y537S, D538G) expression vector containing a myc-His-tag®, whole cell lysate
Lane 3 : Rabbit monoclonal IgG (ab172730) instead of ab316764 in 293T cells transfected with a human ERα (Y537S, D538G) expression vector containing a myc-His-tag®, whole cell lysate

All lanes:

Immunoprecipitation - Anti-Estrogen Receptor alpha (mutated Y537S + D538G) antibody [EPR28709-35] (ab316764) at 1/30 dilution

All lanes:

293T (human embryonic kidney epithelial cell) cells transfected with a human ERα (Y537S, D538G) expression vector containing a myc-His-tag®, whole cell lysate with 5% NFDM/TBST

Secondary

All lanes:

Immunoprecipitation - VeriBlot for IP Detection Reagent (HRP) (<a href='/en-us/products/reagents/veriblot-for-ip-detection-reagent-hrp-ab131366'>ab131366</a>) at 1/5000 dilution

false

Exposure time: 145s

Western blot - Anti-Estrogen Receptor alpha (mutated Y537S + D538G) antibody [EPR28709-35] (AB316764)
  • WB

Supplier Data

Western blot - Anti-Estrogen Receptor alpha (mutated Y537S + D538G) antibody [EPR28709-35] (AB316764)

In Western blot, Anti-GAPDH antibody [EPR16891] - Loading Control (ab181602) staining at 1/200000 dilution.

In Western blot, Anti-6X His tag® antibody [EPR20547] - ChIP Grade (ab213204) staining at 1/5000 dilution.

All lanes:

Western blot - Anti-Estrogen Receptor alpha (mutated Y537S + D538G) antibody [EPR28709-35] (ab316764) at 1/1000 dilution

Lane 1:

293T (human embryonic kidney epithelial cell) cells transfected with an empty vector containing a His-tag, whole cell lysate at 20 µg with 5% NFDM/TBST

Lane 2:

293T cells transfected with human ERα (Y537S) expression vector containing a myc-His-tag®, whole cell lysate at 20 µg with 5% NFDM/TBST

Lane 3:

293T cells transfected with human ERα (D538G) expression vector containing a myc-His-tag®, whole cell lysate at 20 µg with 5% NFDM/TBST

Lane 4:

293T cells transfected with human ERα (Y537S, D538G) expression vector containing a myc-His-tag®, whole cell lysate at 20 µg with 5% NFDM/TBST

Lane 5:

293T cells transfected with human ERα expression vector containing a myc-His-tag®, whole cell lysate at 20 µg with 5% NFDM/TBST

Secondary

All lanes:

Western blot - Goat Anti-Rabbit IgG H&L (HRP) (<a href='/en-us/products/secondary-antibodies/goat-rabbit-igg-h-l-hrp-ab97051'>ab97051</a>) at 1/100000 dilution

Observed band size: 37-66 kDa,36 kDa

true

Exposure time: 92s

Key facts

Host species

Rabbit

Clonality

Monoclonal

Clone number

EPR28709-35

Isotype

IgG

Carrier free

No

Applications

WB, IP, Flow Cyt (Intra), IHC-P

applications

Immunogen

The exact immunogen used to generate this antibody is proprietary information.

Specificity

We have not tested this antibody on endogenous material. We welcome any feedback from customers who have used this antibody in cell lines or tissue.

Reactivity data

{ "title": "Reactivity Data", "filters": { "stats": ["", "Species", "Dilution Info", "Notes"], "tabs": { "all-applications": {"fullname" : "All Applications", "shortname": "All Applications"}, "WB" : {"fullname" : "Western blot", "shortname":"WB"}, "IHCP" : {"fullname" : "Immunohistochemistry (Formalin/PFA-fixed paraffin-embedded sections)", "shortname":"IHC-P"}, "FlowCytIntra" : {"fullname" : "Flow Cytometry (Intracellular)", "shortname":"Flow Cyt (Intra)"}, "IP" : {"fullname" : "Immunoprecipitation", "shortname":"IP"}, "ICCIF" : {"fullname" : "Immunocytochemistry/ Immunofluorescence", "shortname":"ICC/IF"} }, "product-promise": { "all": "all", "testedAndGuaranteed": "tested", "guaranteed": "expected", "predicted": "predicted", "notRecommended": "not-recommended" } }, "values": { "Transfected cell line - Human": { "WB-species-checked": "notRecommended", "WB-species-dilution-info": "", "WB-species-notes": "", "IHCP-species-checked": "testedAndGuaranteed", "IHCP-species-dilution-info": "1/2000", "IHCP-species-notes": "<p></p> Perform heat-mediated antigen retrieval with Tris/EDTA buffer pH 9.0 before commencing with IHC staining protocol.", "FlowCytIntra-species-checked": "testedAndGuaranteed", "FlowCytIntra-species-dilution-info": "1/5000", "FlowCytIntra-species-notes": "<p></p>", "IP-species-checked": "notRecommended", "IP-species-dilution-info": "", "IP-species-notes": "", "ICCIF-species-checked": "notRecommended", "ICCIF-species-dilution-info": "", "ICCIF-species-notes": "<p></p>" }, "Transfected cell lysate - Human": { "WB-species-checked": "testedAndGuaranteed", "WB-species-dilution-info": "1/1000", "WB-species-notes": "<p></p>", "IHCP-species-checked": "notRecommended", "IHCP-species-dilution-info": "", "IHCP-species-notes": "", "FlowCytIntra-species-checked": "notRecommended", "FlowCytIntra-species-dilution-info": "", "FlowCytIntra-species-notes": "", "IP-species-checked": "testedAndGuaranteed", "IP-species-dilution-info": "1/30", "IP-species-notes": "<p></p>", "ICCIF-species-checked": "notRecommended", "ICCIF-species-dilution-info": "", "ICCIF-species-notes": "" } } }

Product details

Patented technology
Our RabMAb® technology is a patented hybridoma-based technology for making rabbit monoclonal antibodies. For details on our patents, please refer to RabMAb® patents.

What are the advantages of a recombinant monoclonal antibody?
This product is a recombinant monoclonal antibody, which offers several advantages including:

  • - High batch-to-batch consistency and reproducibility
  • - Improved sensitivity and specificity
  • - Long-term security of supply
  • - Animal-free batch production

For more information, read more on recombinant antibodies.

Properties and storage information

Form
Liquid
Purification technique
Affinity purification Protein A
Storage buffer
pH: 7.2 - 7.4 Preservative: 0.01% Sodium azide Constituents: PBS, 40% Glycerol (glycerin, glycerine), 0.05% BSA
Shipped at conditions
Blue Ice
Appropriate short-term storage duration
1-2 weeks
Appropriate short-term storage conditions
+4°C
Appropriate long-term storage conditions
-20°C
Aliquoting information
Upon delivery aliquot
Storage information
Avoid freeze / thaw cycle

Supplementary information

This supplementary information is collated from multiple sources and compiled automatically.

Estrogen Receptor alpha also known as ERα or ESR1 is a nuclear receptor that acts as a transcription factor when activated by its ligand estrogen. Its molecular weight is approximately 66 kDa. ERα is expressed in various tissues such as breast tissue endometrium and ovarian cells as well as some areas of the central nervous system. The ERα protein binds to specific DNA sequences called estrogen response elements to regulate the transcription of target genes. Tools like ER alpha ELISA and assays using alpha peptides help to study this receptor.
Biological function summary

ERα plays a significant role in the regulation of estrogen signaling. Estrogens binding to ERα activate the receptor which can form a homodimer or heterodimer complex with other proteins like coactivators or corepressors. This complex then modulates the transcription of genes involved in cell growth proliferation and differentiation. ERα is closely linked with processes like reproductive tissue development and maintenance.

Pathways

ERα is involved in the estrogen signaling pathway and the cell cycle regulation pathway. In the estrogen signaling pathway ERα works together with proteins such as coactivators which enhance gene transcription and corepressors which can inhibit transcription. In the context of cell cycle regulation ERα's interactions with other cell cycle proteins help control cell division and proliferation linking ERα activity to the progression through different stages of the cell cycle.

ERα's dysregulation has been implicated in breast cancer and osteoporosis. ERα overexpression or mutations can lead to oncogenic effects in breast cancer making it a prominent therapeutic target. Drugs that modulate ERα activity like selective estrogen receptor modulators (SERMs) are used in breast cancer treatment. In osteoporosis ERα is related to bone density regulation with its activity affecting bone resorption and formation. Relationships between ERα and other proteins such as those involved in hormone signaling pathways impact these disease mechanisms.

Product protocols

For this product, it's our understanding that no specific protocols are required. You can visit:

Target data

The protein expressed by the gene ESR1 functions as a nuclear hormone receptor involved in regulating eukaryotic gene expression, affecting cellular proliferation and differentiation in target tissues. It mediates ligand-dependent nuclear transactivation either through direct homodimer binding to estrogen response elements (ERE) or by associating with other transcription factors like AP-1/c-Jun, c-Fos, ATF-2, Sp1, and Sp3, allowing ERE-independent signaling. Ligand binding triggers a conformational change, facilitating the interaction with coactivator complexes through LXXLL motifs. This interaction leads to mutual transrepression with NF-kappa-B in a cell-type-specific manner, reducing NF-kappa-B DNA-binding activity and transcription from the IL6 promoter while displacing coregulators like RELA/p65. It can antagonistically or synergistically interact with NF-kappa-B for transcription activation, involving recruitment to adjacent response elements, working with CREBBP. Additionally, it activates the transcription of TFF1 and mediates membrane-initiated signaling through kinase cascades. It's crucial for MTA1-mediated transcriptional regulation of BRCA1 and BCAS3. Isoform 3 specifically activates NOS3 and endothelial nitric oxide production, while isoforms lacking certain functional domains modulate transcriptional activity by competitive ligand or DNA binding and heterodimerization with the full-length receptor, capable of binding to ERE and inhibiting isoform 1. This supplementary information is collated from multiple sources and compiled automatically.
See full target information Estrogen receptor mutated Y537S + D538G

Product promise

We are committed to supporting your work with high-quality reagents, and we're here for you every step of the way. In the unlikely event that one of our products does not perform as expected, you're protected by our Product Promise.
For full details, please see our Terms & Conditions

Please note: All products are 'FOR RESEARCH USE ONLY. NOT FOR USE IN DIAGNOSTIC OR THERAPEUTIC PROCEDURES'.

For licensing inquiries, please contact partnerships@abcam.com