JavaScript is disabled in your browser. Please enable JavaScript to view this website.
AB269451

Anti-Estrogen Receptor alpha (phospho S104 + S106) antibody

Be the first to review this product! Submit a review

|

(1 Publication)

Rabbit Polyclonal Estrogen Receptor alpha phospho S104 + S106 antibody. Suitable for IHC-P and reacts with Rat samples. Cited in 1 publication. Immunogen corresponding to Synthetic Peptide within Human ESR1 phospho S104 + S106 aa 50-150 conjugated to Keyhole Limpet Haemocyanin.

View Alternative Names

ESR, NR3A1, ESR1, Estrogen receptor, ER, ER-alpha, Estradiol receptor, Nuclear receptor subfamily 3 group A member 1

1 Images
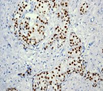
Immunohistochemistry (Formalin/PFA-fixed paraffin-embedded sections) - Anti-Estrogen Receptor alpha (phospho S104 + S106) antibody (AB269451)
  • IHC-P

Supplier Data

Immunohistochemistry (Formalin/PFA-fixed paraffin-embedded sections) - Anti-Estrogen Receptor alpha (phospho S104 + S106) antibody (AB269451)

Formalin-fixed, paraffin-embedded rat breast tissue stained for Estrogen Receptor alpha (phospho S104 + S106) using ab269451 at 1/200 dilution in immunohistochemical analysis.

DAB staining.

Key facts

Host species

Rabbit

Clonality

Polyclonal

Isotype

IgG

Carrier free

No

Reacts with

Rat

Applications

IHC-P

applications

Immunogen

Synthetic Peptide within Human ESR1 phospho S104 + S106 aa 50-150 conjugated to Keyhole Limpet Haemocyanin. The exact immunogen used to generate this antibody is proprietary information.

P03372

Specificity

These phosphorylation sites are homologous to Ser108 + Ser110 in mouse and Ser109 + Ser111 in rat.

Reactivity data

{ "title": "Reactivity Data", "filters": { "stats": ["", "Species", "Dilution Info", "Notes"], "tabs": { "all-applications": {"fullname" : "All Applications", "shortname": "All Applications"}, "IHCP" : {"fullname" : "Immunohistochemistry (Formalin/PFA-fixed paraffin-embedded sections)", "shortname":"IHC-P"} }, "product-promise": { "all": "all", "testedAndGuaranteed": "tested", "guaranteed": "expected", "predicted": "predicted", "notRecommended": "not-recommended" } }, "values": { "Human": { "IHCP-species-checked": "predicted", "IHCP-species-dilution-info": "", "IHCP-species-notes": "" }, "Rat": { "IHCP-species-checked": "testedAndGuaranteed", "IHCP-species-dilution-info": "1/200 - 1/400", "IHCP-species-notes": "<p></p>" } } }

Properties and storage information

Form
Liquid
Purification technique
Affinity purification Protein A
Storage buffer
pH: 7.4 Preservative: 0.02% Proclin 300 Constituents: 50% Glycerol (glycerin, glycerine), 48.98% TBS, 1X, 1% BSA
Shipped at conditions
Blue Ice
Appropriate short-term storage duration
1-2 weeks
Appropriate short-term storage conditions
+4°C
Appropriate long-term storage conditions
-20°C
Aliquoting information
Upon delivery aliquot
Storage information
Avoid freeze / thaw cycle

Supplementary information

This supplementary information is collated from multiple sources and compiled automatically.

Estrogen Receptor alpha also known as ERα or ESR1 is a nuclear receptor that acts as a transcription factor when activated by its ligand estrogen. Its molecular weight is approximately 66 kDa. ERα is expressed in various tissues such as breast tissue endometrium and ovarian cells as well as some areas of the central nervous system. The ERα protein binds to specific DNA sequences called estrogen response elements to regulate the transcription of target genes. Tools like ER alpha ELISA and assays using alpha peptides help to study this receptor.
Biological function summary

ERα plays a significant role in the regulation of estrogen signaling. Estrogens binding to ERα activate the receptor which can form a homodimer or heterodimer complex with other proteins like coactivators or corepressors. This complex then modulates the transcription of genes involved in cell growth proliferation and differentiation. ERα is closely linked with processes like reproductive tissue development and maintenance.

Pathways

ERα is involved in the estrogen signaling pathway and the cell cycle regulation pathway. In the estrogen signaling pathway ERα works together with proteins such as coactivators which enhance gene transcription and corepressors which can inhibit transcription. In the context of cell cycle regulation ERα's interactions with other cell cycle proteins help control cell division and proliferation linking ERα activity to the progression through different stages of the cell cycle.

ERα's dysregulation has been implicated in breast cancer and osteoporosis. ERα overexpression or mutations can lead to oncogenic effects in breast cancer making it a prominent therapeutic target. Drugs that modulate ERα activity like selective estrogen receptor modulators (SERMs) are used in breast cancer treatment. In osteoporosis ERα is related to bone density regulation with its activity affecting bone resorption and formation. Relationships between ERα and other proteins such as those involved in hormone signaling pathways impact these disease mechanisms.

Product protocols

For this product, it's our understanding that no specific protocols are required. You can visit:

Target data

The protein expressed by the gene ESR1 functions as a nuclear hormone receptor involved in regulating eukaryotic gene expression, affecting cellular proliferation and differentiation in target tissues. It mediates ligand-dependent nuclear transactivation either through direct homodimer binding to estrogen response elements (ERE) or by associating with other transcription factors like AP-1/c-Jun, c-Fos, ATF-2, Sp1, and Sp3, allowing ERE-independent signaling. Ligand binding triggers a conformational change, facilitating the interaction with coactivator complexes through LXXLL motifs. This interaction leads to mutual transrepression with NF-kappa-B in a cell-type-specific manner, reducing NF-kappa-B DNA-binding activity and transcription from the IL6 promoter while displacing coregulators like RELA/p65. It can antagonistically or synergistically interact with NF-kappa-B for transcription activation, involving recruitment to adjacent response elements, working with CREBBP. Additionally, it activates the transcription of TFF1 and mediates membrane-initiated signaling through kinase cascades. It's crucial for MTA1-mediated transcriptional regulation of BRCA1 and BCAS3. Isoform 3 specifically activates NOS3 and endothelial nitric oxide production, while isoforms lacking certain functional domains modulate transcriptional activity by competitive ligand or DNA binding and heterodimerization with the full-length receptor, capable of binding to ERE and inhibiting isoform 1. This supplementary information is collated from multiple sources and compiled automatically.
See full target information ESR1 phospho S104 + S106

Publications (1)

Recent publications for all applications. Explore the full list and refine your search

Biology 12: PubMed37998017

2023

Acetylcholine, Another Factor in Breast Cancer.

Applications

Unspecified application

Species

Unspecified reactive species

Juan P Muñoz,Gloria M Calaf
View all publications

Product promise

We are committed to supporting your work with high-quality reagents, and we're here for you every step of the way. In the unlikely event that one of our products does not perform as expected, you're protected by our Product Promise.
For full details, please see our Terms & Conditions

Please note: All products are 'FOR RESEARCH USE ONLY. NOT FOR USE IN DIAGNOSTIC OR THERAPEUTIC PROCEDURES'.

For licensing inquiries, please contact partnerships@abcam.com