JavaScript is disabled in your browser. Please enable JavaScript to view this website.
AB73986

Anti-ETFB antibody

Be the first to review this product! Submit a review

|

(2 Publications)

Rabbit Polyclonal ETFB antibody. Suitable for IHC-P and reacts with Human samples. Cited in 2 publications. Immunogen corresponding to Synthetic Peptide within Human ETFB.

View Alternative Names

FP585, ETFB, Electron transfer flavoprotein subunit beta, Beta-ETF

1 Images
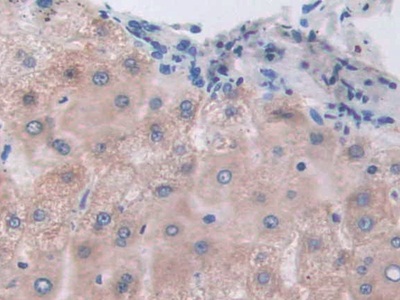
Immunohistochemistry (Formalin/PFA-fixed paraffin-embedded sections) - Anti-ETFB antibody (AB73986)
  • IHC-P

Unknown

Immunohistochemistry (Formalin/PFA-fixed paraffin-embedded sections) - Anti-ETFB antibody (AB73986)

IHC image of ab73986 staining in human liver formalin fixed paraffin embedded tissue section, performed on a Leica BondTM system using the standard protocol F. The section was pre-treated using heat mediated antigen retrieval with sodium citrate buffer (pH6, epitope retrieval solution 1) for 20 mins. The section was then incubated with ab73986, 5µg/ml, for 15 mins at room temperature and detected using an HRP conjugated compact polymer system. DAB was used as the chromogen. The section was then counterstained with haematoxylin and mounted with DPX.

For other IHC staining systems (automated and non-automated) customers should optimize variable parameters such as antigen retrieval conditions, primary antibody concentration and antibody incubation times.

Key facts

Host species

Rabbit

Clonality

Polyclonal

Isotype

IgG

Carrier free

No

Reacts with

Human

Applications

IHC-P

applications

Immunogen

Synthetic Peptide within Human ETFB. The exact immunogen used to generate this antibody is proprietary information.

P38117

Reactivity data

{ "title": "Reactivity Data", "filters": { "stats": ["", "Species", "Dilution Info", "Notes"], "tabs": { "all-applications": {"fullname" : "All Applications", "shortname": "All Applications"}, "IHCP" : {"fullname" : "Immunohistochemistry (Formalin/PFA-fixed paraffin-embedded sections)", "shortname":"IHC-P"} }, "product-promise": { "all": "all", "testedAndGuaranteed": "tested", "guaranteed": "expected", "predicted": "predicted", "notRecommended": "not-recommended" } }, "values": { "Human": { "IHCP-species-checked": "testedAndGuaranteed", "IHCP-species-dilution-info": "1/50 - 1/100", "IHCP-species-notes": "<p></p>" }, "Mouse": { "IHCP-species-checked": "predicted", "IHCP-species-dilution-info": "", "IHCP-species-notes": "" }, "Rat": { "IHCP-species-checked": "predicted", "IHCP-species-dilution-info": "", "IHCP-species-notes": "" } } }

Properties and storage information

Form
Liquid
Purity
Whole antiserum
Storage buffer
Constituents: Whole serum
Shipped at conditions
Blue Ice
Appropriate short-term storage conditions
+4°C
Appropriate long-term storage conditions
-20°C
Aliquoting information
Upon delivery aliquot
Storage information
Avoid freeze / thaw cycle

Supplementary information

This supplementary information is collated from multiple sources and compiled automatically.

ETFB also known as electron transfer flavoprotein subunit beta is a protein that plays an important role in transferring electrons in cellular energy metabolism. This protein has a molecular mass of approximately 27 kDa and is mainly expressed in mitochondria-rich organs such as the liver heart and muscle tissues. This protein pairs with the alpha subunit (ETFA) to form the heterodimeric structure of the electron transfer flavoprotein (ETF) essential for its function. ETFB's presence is significant in tissues with high metabolic demand aligning with its involvement in energy production processes.
Biological function summary

The ETFB protein partners with ETFA to form the complete ETF complex which serves as an important electron transporter in the mitochondria. It accepts electrons from various flavoprotein dehydrogenases and transfers them to the mitochondrial respiratory chain. This process is important for beta-oxidation of fatty acids and catabolism of some amino acids. ETFB ensures proper energy production and cellular respiration and its deficiency can lead to severe metabolic disruptions.

Pathways

Several important biological pathways involve ETFB most notably the fatty acid oxidation pathway and the branched-chain amino acid catabolism. It interacts closely with proteins such as the ACADs (acyl-CoA dehydrogenases) which directly send electrons to ETF in the mitochondria. This interaction allows ETFB to maintain efficient energy conversion processes directly linking its function to metabolic activity and energy homeostasis.

ETFB's dysfunction associates with metabolic disorders like glutaric aciduria type II (GA II) and multiple acyl-CoA dehydrogenase deficiency (MADD). These conditions stem from defects in the electron transport function of the ETF complex leading to energy production impairment. Patients with these disorders may have symptoms ranging from mild to severe metabolic crises. ETFB's disturbance in this context often involves ETFA as both proteins form the ETF complex important for normal metabolic function.

Product protocols

For this product, it's our understanding that no specific protocols are required. You can visit:

Target data

Heterodimeric electron transfer flavoprotein that accepts electrons from several mitochondrial dehydrogenases, including acyl-CoA dehydrogenases, glutaryl-CoA and sarcosine dehydrogenase (PubMed : 15159392, PubMed : 15975918, PubMed : 25416781). It transfers the electrons to the main mitochondrial respiratory chain via ETF-ubiquinone oxidoreductase (Probable). Required for normal mitochondrial fatty acid oxidation and normal amino acid metabolism (PubMed : 12815589, PubMed : 7912128). ETFB binds an AMP molecule that probably has a purely structural role (PubMed : 15159392, PubMed : 15975918, PubMed : 8962055).
See full target information ETFB

Publications (2)

Recent publications for all applications. Explore the full list and refine your search

PloS one 9:e87715 PubMed24498361

2014

Interaction of glutaric aciduria type 1-related glutaryl-CoA dehydrogenase with mitochondrial matrix proteins.

Applications

WB

Species

Unspecified reactive species

Jessica Schmiesing,Hartmut Schlüter,Kurt Ullrich,Thomas Braulke,Chris Mühlhausen

Journal of proteome research 8:2273-84 PubMed19290626

2009

Differential proteomic analysis of subfractioned human hepatocellular carcinoma tissues.

Applications

Unspecified application

Species

Unspecified reactive species

Erika Codarin,Giovanni Renzone,Alessandra Poz,Claudio Avellini,Umberto Baccarani,Francesco Lupo,Vittorio di Maso,Saveria Lory Crocè,Claudio Tiribelli,Simona Arena,Franco Quadrifoglio,Andrea Scaloni,Gianluca Tell
View all publications

Product promise

We are committed to supporting your work with high-quality reagents, and we're here for you every step of the way. In the unlikely event that one of our products does not perform as expected, you're protected by our Product Promise.
For full details, please see our Terms & Conditions

Please note: All products are 'FOR RESEARCH USE ONLY. NOT FOR USE IN DIAGNOSTIC OR THERAPEUTIC PROCEDURES'.

For licensing inquiries, please contact partnerships@abcam.com