JavaScript is disabled in your browser. Please enable JavaScript to view this website.
AB236615

Anti-ethanolamine kinase antibody

Be the first to review this product! Submit a review

|

(3 Publications)

Rabbit Polyclonal ethanolamine kinase antibody. Suitable for WB, IHC-P, ICC/IF and reacts with Human samples. Cited in 3 publications. Immunogen corresponding to Recombinant Fragment Protein within Human ETNK1 aa 50-300.

View Alternative Names

EKI1, ETNK1, Ethanolamine kinase 1, EKI 1

3 Images
Immunohistochemistry (Formalin/PFA-fixed paraffin-embedded sections) - Anti-ethanolamine kinase antibody (AB236615)
  • IHC-P

Supplier Data

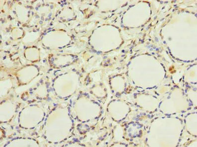
Immunohistochemistry (Formalin/PFA-fixed paraffin-embedded sections) - Anti-ethanolamine kinase antibody (AB236615)

Paraffin-embedded human thyroid tissue stained for ethanolamine kinase with ab236615 at a 1/100 dilution in immunohistochemical analysis.

Immunocytochemistry/ Immunofluorescence - Anti-ethanolamine kinase antibody (AB236615)
  • ICC/IF

Supplier Data

Immunocytochemistry/ Immunofluorescence - Anti-ethanolamine kinase antibody (AB236615)

A549 (Human lung carcinoma cell line) cells stained for ethanolamine kinase (Green) using ab236615 at a 1/100 dilution in ICC/IF. Secondary used is an Alexa-Fluor®488-conjugated Goat Anti-Rabbit IgG (H+L).

Western blot - Anti-ethanolamine kinase antibody (AB236615)
  • WB

Supplier Data

Western blot - Anti-ethanolamine kinase antibody (AB236615)

All lanes:

Western blot - Anti-ethanolamine kinase antibody (ab236615) at 1/500 dilution

Lane 1:

A549 (Human lung carcinoma cell line) whole cell lysate

Lane 2:

A431 (Human epidermoid carcinoma cell line) whole cell lysate

Lane 3:

HepG2 (Human liver hepatocellular carcinoma cell line) whole cell lysate

Lane 4:

MCF7 (Human breast adenocarcinoma cell line) whole cell lysate

Secondary

All lanes:

Goat polyclonal to Rabbit IgG at 1/10000 dilution

Predicted band size: 51 kDa

false

Key facts

Host species

Rabbit

Clonality

Polyclonal

Isotype

IgG

Carrier free

No

Reacts with

Human

Applications

IHC-P, ICC/IF, WB

applications

Immunogen

Recombinant Fragment Protein within Human ETNK1 aa 50-300. The exact immunogen used to generate this antibody is proprietary information.

Q9HBU6

Reactivity data

{ "title": "Reactivity Data", "filters": { "stats": ["", "Species", "Dilution Info", "Notes"], "tabs": { "all-applications": {"fullname" : "All Applications", "shortname": "All Applications"}, "WB" : {"fullname" : "Western blot", "shortname":"WB"}, "IHCP" : {"fullname" : "Immunohistochemistry (Formalin/PFA-fixed paraffin-embedded sections)", "shortname":"IHC-P"}, "ICCIF" : {"fullname" : "Immunocytochemistry/ Immunofluorescence", "shortname":"ICC/IF"} }, "product-promise": { "all": "all", "testedAndGuaranteed": "tested", "guaranteed": "expected", "predicted": "predicted", "notRecommended": "not-recommended" } }, "values": { "Human": { "WB-species-checked": "testedAndGuaranteed", "WB-species-dilution-info": "1/500 - 1/2000", "WB-species-notes": "<p></p>", "IHCP-species-checked": "testedAndGuaranteed", "IHCP-species-dilution-info": "1/20 - 1/200", "IHCP-species-notes": "<p></p>", "ICCIF-species-checked": "testedAndGuaranteed", "ICCIF-species-dilution-info": "1/50 - 1/200", "ICCIF-species-notes": "<p></p>" } } }

Properties and storage information

Form
Liquid
Purification technique
Affinity purification Protein G
Purification notes
Purity >95%.
Storage buffer
pH: 7.4 Preservative: 0.03% Proclin 300 Constituents: PBS, 50% Glycerol (glycerin, glycerine)
Shipped at conditions
Blue Ice
Appropriate short-term storage duration
1-2 weeks
Appropriate short-term storage conditions
+4°C
Appropriate long-term storage conditions
-20°C
Aliquoting information
Upon delivery aliquot
Storage information
Avoid freeze / thaw cycle

Supplementary information

This supplementary information is collated from multiple sources and compiled automatically.

Ethanolamine kinase often referred to as ETNK1 is an enzyme known for its role in phospholipid metabolism. It catalyzes the phosphorylation of ethanolamine to produce phosphoethanolamine. This enzyme has a molecular weight of approximately 45 kDa. Ethanolamine kinase is expressed in various tissues including liver and brain indicating its importance in systemic metabolic processes.
Biological function summary

The enzyme is involved in the Kennedy pathway which is responsible for the biosynthesis of phosphatidylethanolamine an important membrane lipid. Ethanolamine kinase operates independently and is not part of any larger protein complex. It supports cellular functions including membrane formation and repair which are critical for proper cell function and signaling.

Pathways

Ethanolamine kinase plays a significant role in the phospholipid biosynthesis pathway and the related glycerophospholipid metabolism pathway. In these pathways it interacts with other enzymes like CTP:phosphoethanolamine cytidylyltransferase shaping the production and regulation of membrane phospholipids. These pathways are essential for maintaining cellular membrane integrity and fluidity.

Ethanolamine kinase has been linked to neurological disorders. Abnormalities in its function can lead to issues in brain phospholipid metabolism potentially contributing to conditions like Alzheimer's disease. Additionally alterations in ethanolamine kinase expression or activity might impact proteins involved in neurodegenerative processes further influencing disease progression.

Product protocols

For this product, it's our understanding that no specific protocols are required. You can visit:

Target data

Highly specific for ethanolamine phosphorylation. May be a rate-controlling step in phosphatidylethanolamine biosynthesis.
See full target information ETNK1

Publications (3)

Recent publications for all applications. Explore the full list and refine your search

Iranian journal of public health 53:208-218 PubMed38694857

2024

MiR-103a-3p Promotes Tumorigenesis of Breast Cancer by Targeting ETNK1.

Applications

Unspecified application

Species

Unspecified reactive species

Lei Li,Aifeng Qiu,Yuhua Shi

BMC cancer 24:534 PubMed38671413

2024

Association of DOK3 and infiltrated tumor-associated macrophages with risk for the prognosis of Porphyromonas gingivalis-infected oral cancer: a 12-year data analysis of 200 patients from a tertiary teaching hospital, Urumqi, China.

Applications

Unspecified application

Species

Unspecified reactive species

Chenxi Li,Muqiu Li,Wei Wei,Zhengye Wang,Jingwen Yu,Zhongcheng Gong

Nature 595:724-729 PubMed34234346

2021

Metabolic control of T cells and humoral immunity by phosphatidylethanolamine.

Applications

Unspecified application

Species

Unspecified reactive species

Guotong Fu,Clifford S Guy,Nicole M Chapman,Gustavo Palacios,Jun Wei,Peipei Zhou,Lingyun Long,Yong-Dong Wang,Chenxi Qian,Yogesh Dhungana,Hongling Huang,Anil Kc,Hao Shi,Sherri Rankin,Scott A Brown,Amanda Johnson,Randall Wakefield,Camenzind G Robinson,Xueyan Liu,Anthony Sheyn,Jiyang Yu,Suzanne Jackowski,Hongbo Chi
View all publications

Product promise

We are committed to supporting your work with high-quality reagents, and we're here for you every step of the way. In the unlikely event that one of our products does not perform as expected, you're protected by our Product Promise.
For full details, please see our Terms & Conditions

Please note: All products are 'FOR RESEARCH USE ONLY. NOT FOR USE IN DIAGNOSTIC OR THERAPEUTIC PROCEDURES'.

For licensing inquiries, please contact partnerships@abcam.com