JavaScript is disabled in your browser. Please enable JavaScript to view this website.
AB249805

Anti-ETHE1 antibody [EPR11697] - BSA and Azide free

Be the first to review this product! Submit a review

|

(1 Publication)

Rabbit Recombinant Monoclonal ETHE1 antibody. Carrier free. Suitable for WB, IHC-P and reacts with Human samples. Cited in 1 publication.

View Alternative Names

HSCO, ETHE1, Ethylmalonic encephalopathy protein 1, Hepatoma subtracted clone one protein, Sulfur dioxygenase ETHE1

3 Images
Immunohistochemistry (Formalin/PFA-fixed paraffin-embedded sections) - Anti-ETHE1 antibody [EPR11697] - BSA and Azide free (AB249805)
  • IHC-P

Supplier Data

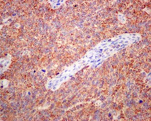
Immunohistochemistry (Formalin/PFA-fixed paraffin-embedded sections) - Anti-ETHE1 antibody [EPR11697] - BSA and Azide free (AB249805)

This data was developed using ab174302, the same antibody clone in a different buffer formulation.

Immunohistochemical analysis of paraffin-embedded cervical carcinoma tissue labeling ETHE1 with ab174302 at 1/100 dilution.

Perform heat mediated antigen retrieval with citrate buffer pH 6 before commencing with IHC staining protocol.

Western blot - Anti-ETHE1 antibody [EPR11697] - BSA and Azide free (AB249805)
  • WB

Supplier Data

Western blot - Anti-ETHE1 antibody [EPR11697] - BSA and Azide free (AB249805)

This data was developed using ab174302, the same antibody clone in a different buffer formulation.

All lanes:

Western blot - Anti-ETHE1 antibody [EPR11697] (<a href='/en-us/products/primary-antibodies/ethe1-antibody-epr11697-ab174302'>ab174302</a>) at 1/1000 dilution

Lane 1:

HepG2 cell lysate at 10 µg

Lane 2:

HeLa cell lysate at 10 µg

Lane 3:

SW480 cell lysate at 10 µg

Lane 4:

Jurkat cell lysate at 10 µg

Predicted band size: 28 kDa

false

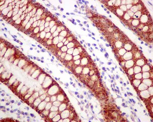
Immunohistochemistry (Formalin/PFA-fixed paraffin-embedded sections) - Anti-ETHE1 antibody [EPR11697] - BSA and Azide free (AB249805)
  • IHC-P

Supplier Data

Immunohistochemistry (Formalin/PFA-fixed paraffin-embedded sections) - Anti-ETHE1 antibody [EPR11697] - BSA and Azide free (AB249805)

This data was developed using ab174302, the same antibody clone in a different buffer formulation.

Immunohistochemical analysis of paraffin-embedded colon tissue labeling ETHE1 with ab174302 at 1/100 dilution.

Perform heat mediated antigen retrieval with citrate buffer pH 6 before commencing with IHC staining protocol.

Key facts

Host species

Rabbit

Clonality

Monoclonal

Clone number

EPR11697

Isotype

IgG

Carrier free

Yes

Reacts with

Human

Applications

WB, IHC-P

applications

Immunogen

The exact immunogen used to generate this antibody is proprietary information.

Reactivity data

{ "title": "Reactivity Data", "filters": { "stats": ["", "Species", "Dilution Info", "Notes"], "tabs": { "all-applications": {"fullname" : "All Applications", "shortname": "All Applications"}, "ICCIF" : {"fullname" : "Immunocytochemistry/ Immunofluorescence", "shortname":"ICC/IF"}, "IP" : {"fullname" : "Immunoprecipitation", "shortname":"IP"}, "FlowCyt" : {"fullname" : "Flow Cytometry", "shortname":"Flow Cyt"}, "WB" : {"fullname" : "Western blot", "shortname":"WB"}, "IHCP" : {"fullname" : "Immunohistochemistry (Formalin/PFA-fixed paraffin-embedded sections)", "shortname":"IHC-P"} }, "product-promise": { "all": "all", "testedAndGuaranteed": "tested", "guaranteed": "expected", "predicted": "predicted", "notRecommended": "not-recommended" } }, "values": { "Human": { "ICCIF-species-checked": "notRecommended", "ICCIF-species-dilution-info": "", "ICCIF-species-notes": "<p></p>", "IP-species-checked": "notRecommended", "IP-species-dilution-info": "", "IP-species-notes": "<p></p>", "FlowCyt-species-checked": "notRecommended", "FlowCyt-species-dilution-info": "", "FlowCyt-species-notes": "<p></p>", "WB-species-checked": "testedAndGuaranteed", "WB-species-dilution-info": "", "WB-species-notes": "<p></p>", "IHCP-species-checked": "testedAndGuaranteed", "IHCP-species-dilution-info": "", "IHCP-species-notes": "<p></p>" }, "Mouse": { "ICCIF-species-checked": "notRecommended", "ICCIF-species-dilution-info": "", "ICCIF-species-notes": "", "IP-species-checked": "notRecommended", "IP-species-dilution-info": "", "IP-species-notes": "", "FlowCyt-species-checked": "notRecommended", "FlowCyt-species-dilution-info": "", "FlowCyt-species-notes": "", "WB-species-checked": "predicted", "WB-species-dilution-info": "", "WB-species-notes": "", "IHCP-species-checked": "predicted", "IHCP-species-dilution-info": "", "IHCP-species-notes": "" }, "Rat": { "ICCIF-species-checked": "notRecommended", "ICCIF-species-dilution-info": "", "ICCIF-species-notes": "", "IP-species-checked": "notRecommended", "IP-species-dilution-info": "", "IP-species-notes": "", "FlowCyt-species-checked": "notRecommended", "FlowCyt-species-dilution-info": "", "FlowCyt-species-notes": "", "WB-species-checked": "predicted", "WB-species-dilution-info": "", "WB-species-notes": "", "IHCP-species-checked": "predicted", "IHCP-species-dilution-info": "", "IHCP-species-notes": "" } } }

Product details

ab249805 is the carrier-free version of ab174302.

Patented technology
Our RabMAb® technology is a patented hybridoma-based technology for making rabbit monoclonal antibodies. For details on our patents, please refer to RabMAb® patents.

What are the advantages of a recombinant monoclonal antibody?
This product is a recombinant monoclonal antibody, which offers several advantages including:

  • - High batch-to-batch consistency and reproducibility
  • - Improved sensitivity and specificity
  • - Long-term security of supply
  • - Animal-free batch production

For more information, read more on recombinant antibodies.

Conjugation ready
Our carrier-free antibodies are typically supplied in a PBS-only formulation, purified and free of BSA, sodium azide and glycerol. This conjugation-ready format is designed for use with fluorochromes, metal isotopes, oligonucleotides, and enzymes, which makes them ideal for antibody labelling, functional and cell-based assays, flow-based assays (e.g. mass cytometry) and Multiplex Imaging applications.

Use our conjugation kits for antibody conjugates that are ready-to-use in as little as 20 minutes with 1 minute hands-on-time and 100% antibody recovery: available for fluorescent dyes, HRP, biotin and gold.

Compatibility
This product is compatible with the Maxpar® Antibody Labeling Kit from Fluidigm, without the need for antibody preparation. Maxpar® is a trademark of Fluidigm Canada Inc.

Properties and storage information

Form
Liquid
Purification technique
Affinity purification
Storage buffer
pH: 7.2 - 7.4 Constituents: PBS
Shipped at conditions
Blue Ice
Appropriate short-term storage conditions
+4°C
Appropriate long-term storage conditions
+4°C
Storage information
Do Not Freeze

Supplementary information

This supplementary information is collated from multiple sources and compiled automatically.

ETHE1 also known as persulfide dioxygenase plays an important role in the breakdown of sulfur-containing compounds. It catalyzes the conversion of persulfides to sulfite in the mitochondrial matrix. The protein has an approximate mass of 26 kDa and is strongly expressed in tissues with high metabolic activity such as the liver kidney and muscle. It plays an important role in maintaining cellular function and energy balance by efficiently processing by-products of cysteine metabolism.
Biological function summary

ETHE1 assists in detoxifying potentially harmful sulfur compounds. It forms a part of a complex with sulfide:quinone oxidoreductase (SQR) and thiosulfate sulfurtransferase (TST) to facilitate efficient sulfur metabolism. The importance of ETHE1 lies in its ability to prevent the accumulation of toxic sulfide levels which can impair cellular respiration and energy production. The protein's role as a persulfide dioxygenase places it in a unique position as one of the body's defenses against sulfide toxicity.

Pathways

ETHE1 has significant relevance in the sulfide oxidation pathway and cellular respiration processes. Particularly it interacts with SQR in the mitochondrial matrix to convert hydrogen sulfide to thiosulfate and sulfite which then enter the citric acid cycle. This critical pathway is associated with energy production and efficient cellular function. The cooperation between ETHE1 and SQR ensures that toxic sulfide levels do not rise protecting mitochondrial integrity.

Defects in ETHE1 result in ethylmalonic encephalopathy a severe metabolic disorder. The lack of functional ETHE1 leads to the accumulation of toxic levels of hydrogen sulfide which may disrupt mitochondrial function and energy production. This disorder highlights the interconnectedness of ETHE1 with SQR as impairments in this protein complex can exacerbate the pathological condition. Understanding the role of ETHE1 in this disease helps target therapies aimed at reducing sulfide toxicity.

Product protocols

For this product, it's our understanding that no specific protocols are required. You can visit:

Target data

Sulfur dioxygenase that plays an essential role in hydrogen sulfide catabolism in the mitochondrial matrix. Hydrogen sulfide (H(2)S) is first oxidized by SQRDL, giving rise to cysteine persulfide residues. ETHE1 consumes molecular oxygen to catalyze the oxidation of the persulfide, once it has been transferred to a thiophilic acceptor, such as glutathione (R-SSH). Plays an important role in metabolic homeostasis in mitochondria by metabolizing hydrogen sulfide and preventing the accumulation of supraphysiological H(2)S levels that have toxic effects, due to the inhibition of cytochrome c oxidase. First described as a protein that can shuttle between the nucleus and the cytoplasm and suppress p53-induced apoptosis by sequestering the transcription factor RELA/NFKB3 in the cytoplasm and preventing its accumulation in the nucleus (PubMed : 12398897).
See full target information ETHE1

Publications (1)

Recent publications for all applications. Explore the full list and refine your search

Frontiers in cell and developmental biology 9:775642 PubMed35004677

2021

HIF-1α Induces HECTD2 Up-Regulation and Aggravates the Malignant Progression of Renal Cell Cancer Repressing miR-320a.

Applications

Unspecified application

Species

Unspecified reactive species

Dong Lv,Taimin Shen,Juncheng Yao,Qi Yang,Ying Xiang,Zhiwei Ma
View all publications

Product promise

We are committed to supporting your work with high-quality reagents, and we're here for you every step of the way. In the unlikely event that one of our products does not perform as expected, you're protected by our Product Promise.
For full details, please see our Terms & Conditions

Please note: All products are 'FOR RESEARCH USE ONLY. NOT FOR USE IN DIAGNOSTIC OR THERAPEUTIC PROCEDURES'.

For licensing inquiries, please contact partnerships@abcam.com