JavaScript is disabled in your browser. Please enable JavaScript to view this website.
AB220361

Anti-ETS1 antibody [EPR21909]

Be the first to review this product! Submit a review

|

(19 Publications)

Rabbit Recombinant Monoclonal ETS1 antibody. Suitable for WB, IHC-P and reacts with Mouse, Rat, Human samples. Cited in 19 publications.

View Alternative Names

EWSR2, ETS1, Protein C-ets-1, p54

6 Images
Immunohistochemistry (Formalin/PFA-fixed paraffin-embedded sections) - Anti-ETS1 antibody [EPR21909] (AB220361)
  • IHC-P

Supplier Data

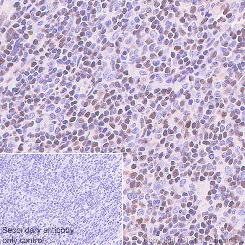
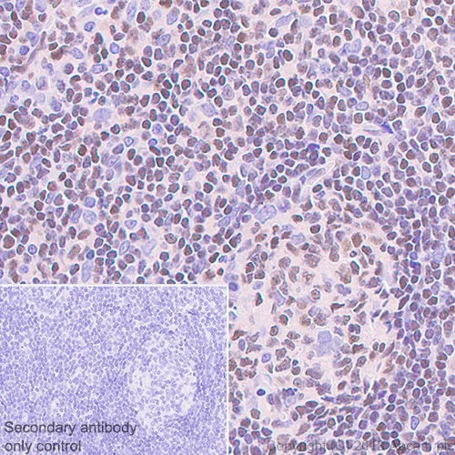
Immunohistochemistry (Formalin/PFA-fixed paraffin-embedded sections) - Anti-ETS1 antibody [EPR21909] (AB220361)

Immunohistochemical analysis of paraffin-embedded human Hodgkin's lymphoma tissue labeling ETS1 with ab220361 at 1/500 dilution, followed by Goat Anti-Rabbit IgG H&L (HRP) ready to use. Nuclear staining on human Hodgkin's lymphoma (PMID : 23288305; PMID : 10377039). Counterstained with hematoxylin.

Secondary antibody only control : Used PBS instead of primary antibody, secondary antibody is Goat Anti-Rabbit IgG H&L (HRP) ready to use.

We recommend that customers optimize their experimental conditions when testing on human spleen and thymus tissues.

Perform heat mediated antigen retrieval with Tris/EDTA buffer pH 9.0 before commencing with IHC staining protocol.

Immunohistochemistry (Formalin/PFA-fixed paraffin-embedded sections) - Anti-ETS1 antibody [EPR21909] (AB220361)
  • IHC-P

Supplier Data

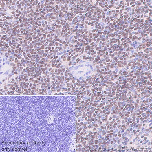
Immunohistochemistry (Formalin/PFA-fixed paraffin-embedded sections) - Anti-ETS1 antibody [EPR21909] (AB220361)

Immunohistochemical analysis of paraffin-embedded human tonsil tissue labeling ETS1 with ab220361 at 1/500 dilution, followed by Goat Anti-Rabbit IgG H&L (HRP) ready to use. Nuclear staining on human tonsil (PMID : 23288305; PMID : 10377039). Counterstained with hematoxylin.

Secondary antibody only control : Used PBS instead of primary antibody, secondary antibody is Goat Anti-Rabbit IgG H&L (HRP) ready to use.

We recommend that customers optimize their experimental conditions when testing on human spleen and thymus tissues.

Perform heat mediated antigen retrieval with Tris/EDTA buffer pH 9.0 before commencing with IHC staining protocol.

Immunohistochemistry (Formalin/PFA-fixed paraffin-embedded sections) - Anti-ETS1 antibody [EPR21909] (AB220361)
  • IHC-P

Supplier Data

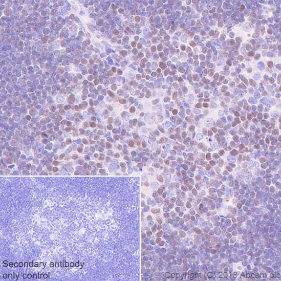
Immunohistochemistry (Formalin/PFA-fixed paraffin-embedded sections) - Anti-ETS1 antibody [EPR21909] (AB220361)

Immunohistochemical analysis of paraffin-embedded mouse thymus tissue labeling ETS1 with ab220361 at 1/500 dilution, followed by Goat Anti-Rabbit IgG H&L (HRP) ready to use. Nuclear staining on mouse thymus (PMID : 22307076; PMID : 3472202). Counterstained with hematoxylin.

Secondary antibody only control : Used PBS instead of primary antibody, secondary antibody is Goat Anti-Rabbit IgG H&L (HRP) ready to use.

Perform heat mediated antigen retrieval with Tris/EDTA buffer pH 9.0 before commencing with IHC staining protocol.

Immunohistochemistry (Formalin/PFA-fixed paraffin-embedded sections) - Anti-ETS1 antibody [EPR21909] (AB220361)
  • IHC-P

Supplier Data

Immunohistochemistry (Formalin/PFA-fixed paraffin-embedded sections) - Anti-ETS1 antibody [EPR21909] (AB220361)

Immunohistochemical analysis of paraffin-embedded rat spleen tissue labeling ETS1 with ab220361 at 1/500 dilution, followed by Goat Anti-Rabbit IgG H&L (HRP) ready to use. Nuclear staining on rat spleen (PMID : 23288305; PMID : 10377039). Counterstained with hematoxylin.

Secondary antibody only control : Used PBS instead of primary antibody, secondary antibody is Goat Anti-Rabbit IgG H&L (HRP) ready to use.

Perform heat mediated antigen retrieval with Tris/EDTA buffer pH 9.0 before commencing with IHC staining protocol.

Western blot - Anti-ETS1 antibody [EPR21909] (AB220361)
  • WB

Supplier Data

Western blot - Anti-ETS1 antibody [EPR21909] (AB220361)

Exposure time : Lane 1 : 125 seconds; Lanes 2,3 and 4 : 3 minutes; Lane 5 : 70 seconds.

Blocking/Dilution buffer : 5% NFDM/TBST.

This blot was developed using a higher sensitivity ECL substrate. This antibody has low affinity in WB. We suggest large amount of samples to be loaded or a high sensitive WB experiment, such as super-sensitive ECL substrate, to be used with this antibody.

Lower weak bands below 50 kDa represent other ETS1 isoforms.

All lanes:

Western blot - Anti-ETS1 antibody [EPR21909] (ab220361) at 1/1000 dilution

Lane 1:

KARPAS-299 (human anaplastic large cell lymphoma cell line) whole cell lysate at 20 µg

Lane 2:

Rat lung lysate at 20 µg

Lane 3:

Rat spleen lysate at 20 µg

Lane 4:

C6 (rat glial tumor cell line) whole cell lysate at 10 µg

Lane 5:

Mouse lymph node lysate at 10 µg

Secondary

All lanes:

Western blot - Goat Anti-Rabbit IgG H&L (HRP) (<a href='/en-us/products/secondary-antibodies/goat-rabbit-igg-h-l-hrp-ab97051'>ab97051</a>) at 1/100000 dilution

Predicted band size: 50 kDa

Observed band size: 50 kDa

false

Western blot - Anti-ETS1 antibody [EPR21909] (AB220361)
  • WB

Supplier Data

Western blot - Anti-ETS1 antibody [EPR21909] (AB220361)

Blocking/Dilution buffer : 5% NFDM/TBST.

This blot was developed using a higher sensitivity ECL substrate. This antibody has low affinity in WB. We suggest large amount of samples to be loaded or a high sensitive WB experiment, such as super-sensitive ECL substrate, to be used with this antibody.

All lanes:

Western blot - Anti-ETS1 antibody [EPR21909] (ab220361) at 1/1000 dilution

All lanes:

Human lymph node lysate at 10 µg

Secondary

All lanes:

Western blot - VeriBlot for IP Detection Reagent (HRP) (<a href='/en-us/products/reagents/veriblot-for-ip-detection-reagent-hrp-ab131366'>ab131366</a>) at 1/1000 dilution

Predicted band size: 50 kDa

Observed band size: 50 kDa

false

  • Carrier free

    Anti-ETS1 antibody [EPR21909] - BSA and Azide free

Key facts

Host species

Rabbit

Clonality

Monoclonal

Clone number

EPR21909

Isotype

IgG

Carrier free

No

Reacts with

Mouse, Rat, Human

Applications

WB, IHC-P

applications

Immunogen

The exact immunogen used to generate this antibody is proprietary information.

Reactivity data

{ "title": "Reactivity Data", "filters": { "stats": ["", "Species", "Dilution Info", "Notes"], "tabs": { "all-applications": {"fullname" : "All Applications", "shortname": "All Applications"}, "WB" : {"fullname" : "Western blot", "shortname":"WB"}, "IHCP" : {"fullname" : "Immunohistochemistry (Formalin/PFA-fixed paraffin-embedded sections)", "shortname":"IHC-P"} }, "product-promise": { "all": "all", "testedAndGuaranteed": "tested", "guaranteed": "expected", "predicted": "predicted", "notRecommended": "not-recommended" } }, "values": { "Human": { "WB-species-checked": "testedAndGuaranteed", "WB-species-dilution-info": "1/1000", "WB-species-notes": "<p>This antibody has low affinity in WB. We suggest large amount of samples to be loaded or a high sensitive WB experiment, such as super-sensitive ECL substrate, to be used with this antibody.</p>", "IHCP-species-checked": "testedAndGuaranteed", "IHCP-species-dilution-info": "1/500", "IHCP-species-notes": "<p></p>" }, "Mouse": { "WB-species-checked": "testedAndGuaranteed", "WB-species-dilution-info": "1/1000", "WB-species-notes": "<p>This antibody has low affinity in WB. We suggest large amount of samples to be loaded or a high sensitive WB experiment, such as super-sensitive ECL substrate, to be used with this antibody.</p>", "IHCP-species-checked": "testedAndGuaranteed", "IHCP-species-dilution-info": "1/500", "IHCP-species-notes": "<p></p>" }, "Rat": { "WB-species-checked": "testedAndGuaranteed", "WB-species-dilution-info": "1/1000", "WB-species-notes": "<p>This antibody has low affinity in WB. We suggest large amount of samples to be loaded or a high sensitive WB experiment, such as super-sensitive ECL substrate, to be used with this antibody.</p>", "IHCP-species-checked": "testedAndGuaranteed", "IHCP-species-dilution-info": "1/500", "IHCP-species-notes": "<p></p>" } } }

Product details

Patented technology
Our RabMAb® technology is a patented hybridoma-based technology for making rabbit monoclonal antibodies. For details on our patents, please refer to RabMAb® patents.

What are the advantages of a recombinant monoclonal antibody?
This product is a recombinant monoclonal antibody, which offers several advantages including:

  • - High batch-to-batch consistency and reproducibility
  • - Improved sensitivity and specificity
  • - Long-term security of supply
  • - Animal-free batch production

For more information, read more on recombinant antibodies.

Properties and storage information

Form
Liquid
Purification technique
Affinity purification Protein A
Storage buffer
pH: 7.2 - 7.4 Preservative: 0.01% Sodium azide Constituents: PBS, 50% Glycerol (glycerin, glycerine), 0.05% BSA
Shipped at conditions
Blue Ice
Appropriate short-term storage duration
1-2 weeks
Appropriate short-term storage conditions
+4°C
Appropriate long-term storage conditions
-20°C
Aliquoting information
Upon delivery aliquot
Storage information
Avoid freeze / thaw cycle

Supplementary information

This supplementary information is collated from multiple sources and compiled automatically.

ETS1 also known as E26 Transformation-Specific 1 is a transcription factor protein weighing approximately 51-53 kDa. It belongs to the ETS family of transcription factors and can be referred to by other names such as ETS-1 ETS 1 or Ets-1. This protein shows expression in numerous tissues including the thymus spleen and brain. Importantly ETS1 binds to specific DNA sequences to regulate the transcription of various target genes.
Biological function summary

The function of this protein involves the regulation of gene expression linked to cell development differentiation and apoptosis. ETS1 does not form stable complexes with other proteins in its resting form but it can interact dynamically with co-factors during activation. Its activity plays a role in immune response modulation and vascular development by controlling downstream target genes connected to these processes.

Pathways

The involvement of this protein spans key signal transduction pathways including the MAPK and PI3K/AKT pathways. In these pathways ETS1 regulates gene expression influenced by external stimuli such as growth factors. It interacts with other pathway-related proteins like ERK1/2 and AKT initiating cellular responses that contribute to cell proliferation and survival mechanisms.

Abnormalities in the function or expression of this protein have been linked to certain cancers such as leukemia and breast cancer. The protein interacts with other oncogenic proteins including BRISA and Palikuqi leading to progression of these malignancies. Additionally involvement in autoimmune disorders like lupus has been observed where deregulation of ETS1 can affect immune cell behavior and promote hyperactivation of immune responses.

Product protocols

For this product, it's our understanding that no specific protocols are required. You can visit:

Target data

Transcription factor (PubMed : 10698492, PubMed : 11909962). Directly controls the expression of cytokine and chemokine genes in a wide variety of different cellular contexts (PubMed : 20378371). May control the differentiation, survival and proliferation of lymphoid cells (PubMed : 20378371). May also regulate angiogenesis through regulation of expression of genes controlling endothelial cell migration and invasion (PubMed : 15247905, PubMed : 15592518).. Isoform Ets-1 p27. Acts as a dominant-negative for isoform c-ETS-1A.
See full target information ETS1

Publications (19)

Recent publications for all applications. Explore the full list and refine your search

Oncology letters 30:456 PubMed40762017

2025

Acute myeloid leukemia with plasmacytoid dendritic cell proliferation: A case report and literature review.

Applications

Unspecified application

Species

Unspecified reactive species

Zhixin Pei,Yi Zhang,Han Xu,Pei Pei,Zhengyang Zhang,Hongxia Wang,Bei Zhang,Junjun Bai,Yingxin Zhao,Jingjing Gu,Zhiyu Fang,Miaomiao Liu,Qinglin Song

EMBO molecular medicine 16:1755-1790 PubMed39030302

2024

LILRB1-HLA-G axis defines a checkpoint driving natural killer cell exhaustion in tuberculosis.

Applications

Unspecified application

Species

Unspecified reactive species

Jing Wang,Qiyao Chai,Zehui Lei,Yiru Wang,Jiehua He,Pupu Ge,Zhe Lu,Lihua Qiang,Dongdong Zhao,Shanshan Yu,Changgen Qiu,Yanzhao Zhong,Bing-Xi Li,Lingqiang Zhang,Yu Pang,George Fu Gao,Cui Hua Liu

RNA biology 21:1-13 PubMed38131611

2023

LncRNA USP2-AS1 facilitates the osteogenic differentiation of bone marrow mesenchymal stem cells by targeting KDM3A/ETS1/USP2 to activate the Wnt/β-catenin signaling pathway.

Applications

Unspecified application

Species

Unspecified reactive species

Wanxin Luo,Na Zhang,Ziping Wang,Hao Chen,Jie Sun,Chen Yao,Yafeng Zhang

Heliyon 9:e19503 PubMed37810031

2023

LncRNA MALAT1 knockdown inhibits the development of choroidal neovascularization.

Applications

Unspecified application

Species

Unspecified reactive species

Xiaoli Zhang,Shu Du,Defeng Yang,Xuemei Jin,Yuan Zhang,Diya Wang,Huixia Wang,Yan Zhang,Manhui Zhu

International archives of allergy and immunology 184:727-735 PubMed37231959

2023

MiR-193b-3p Regulates TLR4 Expression to Inhibit Inflammation by Targeting ETS1 in Allergic Rhinitis.

Applications

Unspecified application

Species

Unspecified reactive species

Yunlong Jing,Jiang Xie,Min Huang,Weiliang Zhao,Songliang Long,Sijun Zhao

Experimental and therapeutic medicine 26:316 PubMed37273760

2023

Circular RNA DHTKD1 targets miR‑338‑3p/ETS1 axis to regulate the inflammatory response in human bronchial epithelial cells.

Applications

Unspecified application

Species

Unspecified reactive species

Fenhong Qian,Shanchuan He,Xianmiao Yang,Xingxing Chen,Siting Zhao,Jingzhi Wang

Laboratory investigation; a journal of technical methods and pathology 102:782-793 PubMed35149775

2022

DNA methyltransferase 1 (DNMT1) suppresses mitophagy and aggravates heart failure via the microRNA-152-3p/ETS1/RhoH axis.

Applications

Unspecified application

Species

Unspecified reactive species

Zhuojun Deng,Jiaqi Yao,Na Xiao,Yu Han,Xuan Wu,Caizhe Ci,Ke Chen,Xiaoyong Geng

Cancer science 113:986-1001 PubMed35092121

2022

Exosomes from M1-polarized macrophages promote apoptosis in lung adenocarcinoma via the miR-181a-5p/ETS1/STK16 axis.

Applications

Unspecified application

Species

Unspecified reactive species

Xuan Wang,Renhong Huang,Zhouyi Lu,Zheng Wang,Xiaofeng Chen,Dayu Huang

Bioengineered 13:1346-1358 PubMed34983308

2022

ETS Proto-Oncogene 1-activated muskelin 1 antisense RNA drives the malignant progression of hepatocellular carcinoma by targeting miR-22-3p to upregulate ETS Proto-Oncogene 1.

Applications

Unspecified application

Species

Unspecified reactive species

Guozheng Pan,Jian Zhang,Faping You,Tao Cui,Peng Luo,Shuling Wang,Xiaomei Li,Qingzhong Yuan

Bioengineered 12:11410-11422 PubMed34889689

2021

Circular RNA_0000326 promotes bladder cancer progression via microRNA-338-3p/ETS Proto-Oncogene 1/phosphoinositide-3 kinase/Akt pathway.

Applications

Unspecified application

Species

Unspecified reactive species

Yong Chen,Dong Wang,Tao Shu,Kangwei Sun,Jianbo Zhao,Min Wang,Yi Huang,Ping Wang,Hang Zheng,Zhixuan Cai,Zengyue Yang
View all publications

Product promise

We are committed to supporting your work with high-quality reagents, and we're here for you every step of the way. In the unlikely event that one of our products does not perform as expected, you're protected by our Product Promise.
For full details, please see our Terms & Conditions

Please note: All products are 'FOR RESEARCH USE ONLY. NOT FOR USE IN DIAGNOSTIC OR THERAPEUTIC PROCEDURES'.

For licensing inquiries, please contact partnerships@abcam.com