JavaScript is disabled in your browser. Please enable JavaScript to view this website.
AB238645

Anti-ETS1 antibody [EPR21909] - BSA and Azide free

Be the first to review this product! Submit a review

|

(2 Publications)

Rabbit Recombinant Monoclonal ETS1 antibody. Carrier free. Suitable for WB, IHC-P and reacts with Mouse, Rat, Human samples. Cited in 2 publications.

View Alternative Names

EWSR2, ETS1, Protein C-ets-1, p54

4 Images
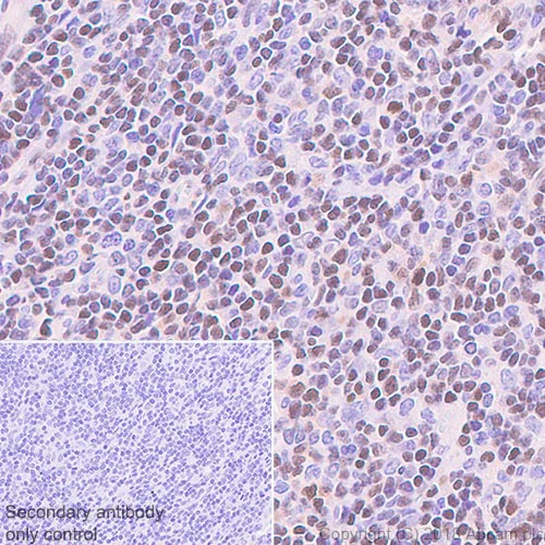
Immunohistochemistry (Formalin/PFA-fixed paraffin-embedded sections) - Anti-ETS1 antibody [EPR21909] - BSA and Azide free (AB238645)
  • IHC-P

Supplier Data

Immunohistochemistry (Formalin/PFA-fixed paraffin-embedded sections) - Anti-ETS1 antibody [EPR21909] - BSA and Azide free (AB238645)

Immunohistochemical analysis of paraffin-embedded human tonsil tissue labeling ETS1 with ab220361 at 1/500 dilution, followed by Goat Anti-Rabbit IgG H&L (HRP) ready to use. Nuclear staining on human tonsil (PMID : 23288305; PMID : 10377039) . Counterstained with hematoxylin.

Secondary antibody only control : Used PBS instead of primary antibody, secondary antibody is Goat Anti-Rabbit IgG H&L (HRP) ready to use.

We recommend that customers optimize their experimental conditions when testing on human spleen and thymus tissues.

This data was developed using the same antibody clone in a different buffer formulation containing PBS, BSA, glycerol, and sodium azide (ab220361).

Heat mediated antigen retrieval was performed with Tris/EDTA buffer pH 9.0 before commencing with IHC staining protocol.

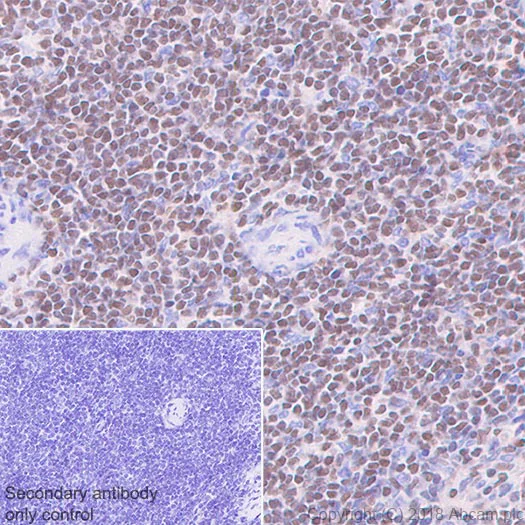
Immunohistochemistry (Formalin/PFA-fixed paraffin-embedded sections) - Anti-ETS1 antibody [EPR21909] - BSA and Azide free (AB238645)
  • IHC-P

Supplier Data

Immunohistochemistry (Formalin/PFA-fixed paraffin-embedded sections) - Anti-ETS1 antibody [EPR21909] - BSA and Azide free (AB238645)

Immunohistochemical analysis of paraffin-embedded mouse thymus tissue labeling ETS1 with ab220361 at 1/500 dilution, followed by Goat Anti-Rabbit IgG H&L (HRP) ready to use. Nuclear staining on mouse thymus (PMID : 22307076; PMID : 3472202). Counterstained with hematoxylin.

Secondary antibody only control : Used PBS instead of primary antibody, secondary antibody is Goat Anti-Rabbit IgG H&L (HRP) ready to use.

This data was developed using the same antibody clone in a different buffer formulation containing PBS, BSA, glycerol, and sodium azide (ab220361).

Heat mediated antigen retrieval was performed with Tris/EDTA buffer pH 9.0 before commencing with IHC staining protocol.

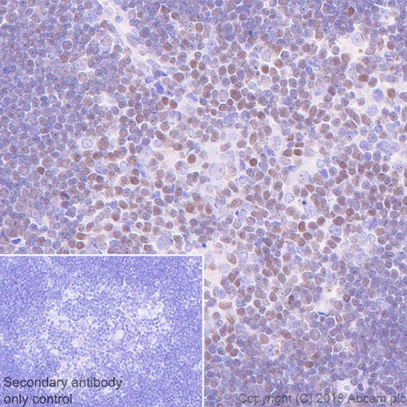
Immunohistochemistry (Formalin/PFA-fixed paraffin-embedded sections) - Anti-ETS1 antibody [EPR21909] - BSA and Azide free (AB238645)
  • IHC-P

Supplier Data

Immunohistochemistry (Formalin/PFA-fixed paraffin-embedded sections) - Anti-ETS1 antibody [EPR21909] - BSA and Azide free (AB238645)

Immunohistochemical analysis of paraffin-embedded rat spleen tissue labeling ETS1 with ab220361 at 1/500 dilution, followed by Goat Anti-Rabbit IgG H&L (HRP) ready to use. Nuclear staining on rat spleen (PMID : 23288305; PMID : 10377039). Counterstained with hematoxylin.

Secondary antibody only control : Used PBS instead of primary antibody, secondary antibody is Goat Anti-Rabbit IgG H&L (HRP) ready to use.

This data was developed using the same antibody clone in a different buffer formulation containing PBS, BSA, glycerol, and sodium azide (ab220361).

Heat mediated antigen retrieval was performed with Tris/EDTA buffer pH 9.0 before commencing with IHC staining protocol.

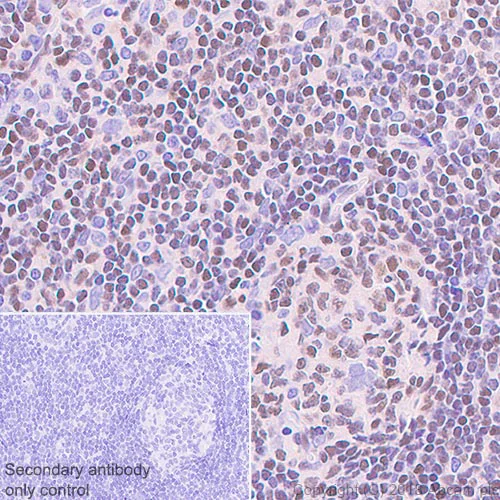
Immunohistochemistry (Formalin/PFA-fixed paraffin-embedded sections) - Anti-ETS1 antibody [EPR21909] - BSA and Azide free (AB238645)
  • IHC-P

Supplier Data

Immunohistochemistry (Formalin/PFA-fixed paraffin-embedded sections) - Anti-ETS1 antibody [EPR21909] - BSA and Azide free (AB238645)

Immunohistochemical analysis of paraffin-embedded human Hodgkin's lymphoma tissue labeling ETS1 with ab220361 at 1/500 dilution, followed by Goat Anti-Rabbit IgG H&L (HRP) ready to use. Nuclear staining on human Hodgkin's lymphoma (PMID : 23288305; PMID : 10377039). Counterstained with hematoxylin.

Secondary antibody only control : Used PBS instead of primary antibody, secondary antibody is Goat Anti-Rabbit IgG H&L (HRP) ready to use.

We recommend that customers optimize their experimental conditions when testing on human spleen and thymus tissues.

This data was developed using the same antibody clone in a different buffer formulation containing PBS, BSA, glycerol, and sodium azide (ab220361).

Heat mediated antigen retrieval was performed with Tris/EDTA buffer pH 9.0 before commencing with IHC staining protocol.

Key facts

Host species

Rabbit

Clonality

Monoclonal

Clone number

EPR21909

Isotype

IgG

Carrier free

Yes

Reacts with

Mouse, Rat, Human

Applications

WB, IHC-P

applications

Immunogen

The exact immunogen used to generate this antibody is proprietary information.

Reactivity data

{ "title": "Reactivity Data", "filters": { "stats": ["", "Species", "Dilution Info", "Notes"], "tabs": { "all-applications": {"fullname" : "All Applications", "shortname": "All Applications"}, "WB" : {"fullname" : "Western blot", "shortname":"WB"}, "IHCP" : {"fullname" : "Immunohistochemistry (Formalin/PFA-fixed paraffin-embedded sections)", "shortname":"IHC-P"} }, "product-promise": { "all": "all", "testedAndGuaranteed": "tested", "guaranteed": "expected", "predicted": "predicted", "notRecommended": "not-recommended" } }, "values": { "Human": { "WB-species-checked": "guaranteed", "WB-species-dilution-info": "", "WB-species-notes": "<p>This antibody has low affinity in WB. We suggest large amount of samples to be loaded or a high sensitive WB experiment, such as super-sensitive ECL substrate, to be used with this antibody.</p>", "IHCP-species-checked": "predicted", "IHCP-species-dilution-info": "", "IHCP-species-notes": "" }, "Mouse": { "WB-species-checked": "guaranteed", "WB-species-dilution-info": "", "WB-species-notes": "<p>This antibody has low affinity in WB. We suggest large amount of samples to be loaded or a high sensitive WB experiment, such as super-sensitive ECL substrate, to be used with this antibody.</p>", "IHCP-species-checked": "predicted", "IHCP-species-dilution-info": "", "IHCP-species-notes": "" }, "Rat": { "WB-species-checked": "guaranteed", "WB-species-dilution-info": "", "WB-species-notes": "<p>This antibody has low affinity in WB. We suggest large amount of samples to be loaded or a high sensitive WB experiment, such as super-sensitive ECL substrate, to be used with this antibody.</p>", "IHCP-species-checked": "testedAndGuaranteed", "IHCP-species-dilution-info": "", "IHCP-species-notes": "<p></p>" } } }

Product details

ab238645 is the carrier-free version of ab220361.

Patented technology
Our RabMAb® technology is a patented hybridoma-based technology for making rabbit monoclonal antibodies. For details on our patents, please refer to RabMAb® patents.

What are the advantages of a recombinant monoclonal antibody?
This product is a recombinant monoclonal antibody, which offers several advantages including:

  • - High batch-to-batch consistency and reproducibility
  • - Improved sensitivity and specificity
  • - Long-term security of supply
  • - Animal-free batch production

For more information, read more on recombinant antibodies.

Conjugation ready
Our carrier-free antibodies are typically supplied in a PBS-only formulation, purified and free of BSA, sodium azide and glycerol. This conjugation-ready format is designed for use with fluorochromes, metal isotopes, oligonucleotides, and enzymes, which makes them ideal for antibody labelling, functional and cell-based assays, flow-based assays (e.g. mass cytometry) and Multiplex Imaging applications.

Use our conjugation kits for antibody conjugates that are ready-to-use in as little as 20 minutes with 1 minute hands-on-time and 100% antibody recovery: available for fluorescent dyes, HRP, biotin and gold.

Compatibility
This product is compatible with the Maxpar® Antibody Labeling Kit from Fluidigm, without the need for antibody preparation. Maxpar® is a trademark of Fluidigm Canada Inc.

Properties and storage information

Form
Liquid
Purification technique
Affinity purification Protein A
Storage buffer
pH: 7.2 - 7.4 Constituents: PBS
Shipped at conditions
Blue Ice
Appropriate short-term storage conditions
+4°C
Appropriate long-term storage conditions
+4°C
Storage information
Do Not Freeze

Supplementary information

This supplementary information is collated from multiple sources and compiled automatically.

ETS1 also known as E26 Transformation-Specific 1 is a transcription factor protein weighing approximately 51-53 kDa. It belongs to the ETS family of transcription factors and can be referred to by other names such as ETS-1 ETS 1 or Ets-1. This protein shows expression in numerous tissues including the thymus spleen and brain. Importantly ETS1 binds to specific DNA sequences to regulate the transcription of various target genes.
Biological function summary

The function of this protein involves the regulation of gene expression linked to cell development differentiation and apoptosis. ETS1 does not form stable complexes with other proteins in its resting form but it can interact dynamically with co-factors during activation. Its activity plays a role in immune response modulation and vascular development by controlling downstream target genes connected to these processes.

Pathways

The involvement of this protein spans key signal transduction pathways including the MAPK and PI3K/AKT pathways. In these pathways ETS1 regulates gene expression influenced by external stimuli such as growth factors. It interacts with other pathway-related proteins like ERK1/2 and AKT initiating cellular responses that contribute to cell proliferation and survival mechanisms.

Abnormalities in the function or expression of this protein have been linked to certain cancers such as leukemia and breast cancer. The protein interacts with other oncogenic proteins including BRISA and Palikuqi leading to progression of these malignancies. Additionally involvement in autoimmune disorders like lupus has been observed where deregulation of ETS1 can affect immune cell behavior and promote hyperactivation of immune responses.

Product protocols

For this product, it's our understanding that no specific protocols are required. You can visit:

Target data

Transcription factor (PubMed : 10698492, PubMed : 11909962). Directly controls the expression of cytokine and chemokine genes in a wide variety of different cellular contexts (PubMed : 20378371). May control the differentiation, survival and proliferation of lymphoid cells (PubMed : 20378371). May also regulate angiogenesis through regulation of expression of genes controlling endothelial cell migration and invasion (PubMed : 15247905, PubMed : 15592518).. Isoform Ets-1 p27. Acts as a dominant-negative for isoform c-ETS-1A.
See full target information ETS1

Publications (2)

Recent publications for all applications. Explore the full list and refine your search

Journal of translational medicine 21:882 PubMed38057853

2023

GATA6-AS1 suppresses epithelial-mesenchymal transition of pancreatic cancer under hypoxia through regulating SNAI1 mRNA stability.

Applications

Unspecified application

Species

Unspecified reactive species

Yunhui Zhou,Xinyi Zhou,Qiwen Ben,Ningning Liu,Jiahui Wang,Yongpeng Zhai,Yichen Bao,Lin Zhou

Experimental and therapeutic medicine 21:549 PubMed33850521

2021

MicroRNA-363-3p inhibits tumor cell proliferation and invasion in oral squamous cell carcinoma cell lines by targeting SSFA2.

Applications

Unspecified application

Species

Unspecified reactive species

Liangming Zhu,Lei Zhang,Ying Tang,Fang Zhang,Chao Wan,Liang Xu,Ping Guo
View all publications

Product promise

We are committed to supporting your work with high-quality reagents, and we're here for you every step of the way. In the unlikely event that one of our products does not perform as expected, you're protected by our Product Promise.
For full details, please see our Terms & Conditions

Please note: All products are 'FOR RESEARCH USE ONLY. NOT FOR USE IN DIAGNOSTIC OR THERAPEUTIC PROCEDURES'.

For licensing inquiries, please contact partnerships@abcam.com