JavaScript is disabled in your browser. Please enable JavaScript to view this website.
AB59179

Anti-ETS1 (phospho T38) antibody

2

(1 Review)

|

(12 Publications)

Rabbit Polyclonal ETS1 phospho T38 antibody. Suitable for IHC-P and reacts with Human samples. Cited in 12 publications. Immunogen corresponding to Synthetic Peptide within Human ETS1 phospho T38 aa 1-100.

View Alternative Names

EWSR2, ETS1, Protein C-ets-1, p54

1 Images
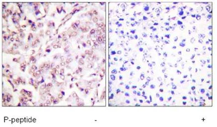
Immunohistochemistry (Formalin/PFA-fixed paraffin-embedded sections) - Anti-ETS1 (phospho T38) antibody (AB59179)
  • IHC-P

Unknown

Immunohistochemistry (Formalin/PFA-fixed paraffin-embedded sections) - Anti-ETS1 (phospho T38) antibody (AB59179)

Immunohistochemical analysis of paraffin embedded human breast carcinoma tissue using ab59179 at 1/50 dilution. Left : untreated. Right : sample treated with immunising peptide.

Key facts

Host species

Rabbit

Clonality

Polyclonal

Isotype

IgG

Carrier free

No

Reacts with

Human

Applications

IHC-P

applications

Immunogen

Synthetic Peptide within Human ETS1 phospho T38 aa 1-100. The exact immunogen used to generate this antibody is proprietary information.

P14921

Reactivity data

{ "title": "Reactivity Data", "filters": { "stats": ["", "Species", "Dilution Info", "Notes"], "tabs": { "all-applications": {"fullname" : "All Applications", "shortname": "All Applications"}, "IHCP" : {"fullname" : "Immunohistochemistry (Formalin/PFA-fixed paraffin-embedded sections)", "shortname":"IHC-P"} }, "product-promise": { "all": "all", "testedAndGuaranteed": "tested", "guaranteed": "expected", "predicted": "predicted", "notRecommended": "not-recommended" } }, "values": { "Human": { "IHCP-species-checked": "testedAndGuaranteed", "IHCP-species-dilution-info": "", "IHCP-species-notes": "<p></p>" } } }

Properties and storage information

Form
Liquid
Purification technique
Affinity purification Immunogen
Purification notes
Affinity purified from rabbit antiserum by affinity chromatography using epitope specific phosphopeptide. The antibody against non phosphopeptide was removed by chromatography using non phosphopeptide corresponding to the phosphorylation site.
Storage buffer
pH: 7.4 Preservative: 0.02% Sodium azide Constituents: PBS, 50% Glycerol (glycerin, glycerine), 0.87% Sodium chloride
Shipped at conditions
Blue Ice
Appropriate short-term storage conditions
+4°C
Appropriate long-term storage conditions
-20°C
Storage information
Stable for 12 months at -20°C

Supplementary information

This supplementary information is collated from multiple sources and compiled automatically.

ETS1 also known as E26 Transformation-Specific 1 is a transcription factor protein weighing approximately 51-53 kDa. It belongs to the ETS family of transcription factors and can be referred to by other names such as ETS-1 ETS 1 or Ets-1. This protein shows expression in numerous tissues including the thymus spleen and brain. Importantly ETS1 binds to specific DNA sequences to regulate the transcription of various target genes.
Biological function summary

The function of this protein involves the regulation of gene expression linked to cell development differentiation and apoptosis. ETS1 does not form stable complexes with other proteins in its resting form but it can interact dynamically with co-factors during activation. Its activity plays a role in immune response modulation and vascular development by controlling downstream target genes connected to these processes.

Pathways

The involvement of this protein spans key signal transduction pathways including the MAPK and PI3K/AKT pathways. In these pathways ETS1 regulates gene expression influenced by external stimuli such as growth factors. It interacts with other pathway-related proteins like ERK1/2 and AKT initiating cellular responses that contribute to cell proliferation and survival mechanisms.

Abnormalities in the function or expression of this protein have been linked to certain cancers such as leukemia and breast cancer. The protein interacts with other oncogenic proteins including BRISA and Palikuqi leading to progression of these malignancies. Additionally involvement in autoimmune disorders like lupus has been observed where deregulation of ETS1 can affect immune cell behavior and promote hyperactivation of immune responses.

Product protocols

For this product, it's our understanding that no specific protocols are required. You can visit:

Target data

Transcription factor (PubMed : 10698492, PubMed : 11909962). Directly controls the expression of cytokine and chemokine genes in a wide variety of different cellular contexts (PubMed : 20378371). May control the differentiation, survival and proliferation of lymphoid cells (PubMed : 20378371). May also regulate angiogenesis through regulation of expression of genes controlling endothelial cell migration and invasion (PubMed : 15247905, PubMed : 15592518).. Isoform Ets-1 p27. Acts as a dominant-negative for isoform c-ETS-1A.
See full target information ETS1 phospho T38

Publications (12)

Recent publications for all applications. Explore the full list and refine your search

International journal of molecular sciences 24: PubMed36614238

2023

Transcriptional Regulation of Siglec-15 by ETS-1 and ETS-2 in Hepatocellular Carcinoma Cells.

Applications

Unspecified application

Species

Unspecified reactive species

Kaiqin Sheng,Yuecheng Wu,Hanbin Lin,Menghan Fang,Chaorong Xue,Xu Lin,Xinjian Lin

Cell death & disease 13:719 PubMed35982038

2022

FMRP modulates the Wnt signalling pathway in glioblastoma.

Applications

Unspecified application

Species

Unspecified reactive species

Giorgia Pedini,Mariachiara Buccarelli,Fabrizio Bianchi,Laura Pacini,Giulia Cencelli,Quintino Giorgio D'Alessandris,Maurizio Martini,Stefano Giannetti,Franceschina Sasso,Valentina Melocchi,Maria Giulia Farace,Tilmann Achsel,Luigi M Larocca,Lucia Ricci-Vitiani,Roberto Pallini,Claudia Bagni

FEBS open bio 12:1353-1364 PubMed35451213

2022

Ets family proteins regulate the EMT transcription factors Snail and ZEB in cancer cells.

Applications

Unspecified application

Species

Unspecified reactive species

Mai Koizumi Ichikawa,Kaori Endo,Yuka Itoh,Asami Hotta Osada,Yujiro Kimura,Koichiro Ueki,Kunio Yoshizawa,Keiji Miyazawa,Masao Saitoh

PLoS biology 18:e3000778 PubMed32678845

2020

FCHSD2 controls oncogenic ERK1/2 signaling outcome by regulating endocytic trafficking.

Applications

Unspecified application

Species

Unspecified reactive species

Guan-Yu Xiao,Sandra L Schmid

Cancers 12: PubMed32679859

2020

Role of ETS1 in the Transcriptional Network of Diffuse Large B Cell Lymphoma of the Activated B Cell-Like Type.

Applications

Unspecified application

Species

Unspecified reactive species

Valdemar Priebe,Giulio Sartori,Sara Napoli,Elaine Yee Lin Chung,Luciano Cascione,Ivo Kwee,Alberto Jesus Arribas,Afua Adjeiwaa Mensah,Andrea Rinaldi,Maurilio Ponzoni,Emanuele Zucca,Davide Rossi,Dimitar Efremov,Georg Lenz,Margot Thome,Francesco Bertoni

The Journal of biological chemistry 294:18698-18713 PubMed31659122

2019

The transcription factor ETS1 promotes apoptosis resistance of senescent cholangiocytes by epigenetically up-regulating the apoptosis suppressor BCL2L1.

Applications

Unspecified application

Species

Unspecified reactive species

Steven P O'Hara,Patrick L Splinter,Christy E Trussoni,Maria Eugenia Guicciardi,Noah P Splinter,Mohammed S Al Suraih,Navine Nasser-Ghodsi,Deborah Stollenwerk,Gregory J Gores,Nicholas F LaRusso

BMC cancer 19:485 PubMed31118072

2019

Regulation of cisplatin-resistant head and neck squamous cell carcinoma by the SRC/ETS-1 signaling pathway.

Applications

Unspecified application

Species

Unspecified reactive species

Zejia Yang,Jipei Liao,Brandon A Carter-Cooper,Rena G Lapidus,Kevin J Cullen,Hancai Dan

Nature communications 8:383 PubMed28851877

2017

VEGF amplifies transcription through ETS1 acetylation to enable angiogenesis.

Applications

Unspecified application

Species

Unspecified reactive species

Jiahuan Chen,Yi Fu,Daniel S Day,Ye Sun,Shiyan Wang,Xiaodong Liang,Fei Gu,Fang Zhang,Sean M Stevens,Pingzhu Zhou,Kai Li,Yan Zhang,Ruei-Zeng Lin,Lois E H Smith,Jin Zhang,Kun Sun,Juan M Melero-Martin,Zeguang Han,Peter J Park,Bing Zhang,William T Pu

Cancer science 108:952-960 PubMed28247944

2017

Ets1 and ESE1 reciprocally regulate expression of ZEB1/ZEB2, dependent on ERK1/2 activity, in breast cancer cells.

Applications

Unspecified application

Species

Unspecified reactive species

Nguyen Duy Sinh,Kaori Endo,Keiji Miyazawa,Masao Saitoh

The Journal of biological chemistry 292:4833-4846 PubMed28184004

2017

ETS Proto-oncogene 1 Transcriptionally Up-regulates the Cholangiocyte Senescence-associated Protein Cyclin-dependent Kinase Inhibitor 2A.

Applications

Unspecified application

Species

Unspecified reactive species

Steven P O'Hara,Patrick L Splinter,Christy E Trussoni,Maria J Lorenzo Pisarello,Lorena Loarca,Noah S Splinter,Bryce F Schutte,Nicholas F LaRusso
View all publications

Product promise

We are committed to supporting your work with high-quality reagents, and we're here for you every step of the way. In the unlikely event that one of our products does not perform as expected, you're protected by our Product Promise.
For full details, please see our Terms & Conditions

Please note: All products are 'FOR RESEARCH USE ONLY. NOT FOR USE IN DIAGNOSTIC OR THERAPEUTIC PROCEDURES'.

For licensing inquiries, please contact partnerships@abcam.com