JavaScript is disabled in your browser. Please enable JavaScript to view this website.
AB219948

Anti-ETS2 antibody [EPR22419]

0

(1 Review)

|

(7 Publications)

Rabbit Recombinant Monoclonal ETS2 antibody. Suitable for IP, WB, ICC/IF, IHC-P and reacts with Human, Mouse, Rat samples. Cited in 7 publications.

View Alternative Names

Protein C-ets-2, ETS2

8 Images
Immunoprecipitation - Anti-ETS2 antibody [EPR22419] (AB219948)
  • IP

Supplier Data

Immunoprecipitation - Anti-ETS2 antibody [EPR22419] (AB219948)

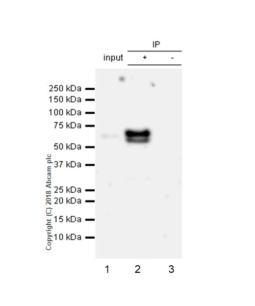
ETS2 was immunoprecipitated from 0.35 mg K562 (human chronic myelogenous leukemia cell line from bone marrow ) whole cell lysate with ab219948 at 1/30 dilution. Western blot was performed from the immunoprecipitate using ab219948 at 1/1000 dilution. VeriBlot for IP Detection Reagent (HRP) (ab131366), was used for detection at 1/5000 dilution.

Lane 1 : K562 whole cell lysate 10 μg (Input).
Lane 2 : ab219948 IP in K562 whole cell lysate.
Lane 3 : Rabbit monoclonal IgG (ab172730) instead of ab219948 in K562 whole cell lysate.

Blocking/Dilution buffer : 5% NFDM/TBST.
Exposure time : 3 minutes.

The two immunoprecipitated bands represent non-phosphorylated and phosphorylated ETS2.

All lanes:

Immunoprecipitation - Anti-ETS2 antibody [EPR22419] (ab219948)

Predicted band size: 53 kDa

Observed band size: 53 kDa

false

Immunocytochemistry/ Immunofluorescence - Anti-ETS2 antibody [EPR22419] (AB219948)
  • ICC/IF

Supplier Data

Immunocytochemistry/ Immunofluorescence - Anti-ETS2 antibody [EPR22419] (AB219948)

Immunofluorescent analysis of 4% paraformaldehyde-fixed, 0.1% Triton X-100 permeabilized RAW 264.7 (mouse macrophage cell line transformed with Abelson murine leukemia virus) cells labeling ETS2 with ab219948 at 1/500 dilution, followed by Goat Anti-Rabbit IgG H&L (Alexa Fluor® 488) (ab150077) secondary antibody at 1/1000 dilution (green). Confocal image showing nuclear staining in RAW 264.7 cells treated with lipopolysaccharide (500 ng/ml) for 6 hours. The nuclear counterstain is DAPI (blue).
Counterstained with ab195889 Anti-alpha Tubulin antibody [DM1A] - Microtubule Marker (Alexa Fluor® 594) at a 1/200 dilution (red).
Secondary antibody contril : Used PBS instead of primary antibody, followed by Goat Anti-Rabbit IgG H&L (Alexa Fluor® 488) (ab150077) secondary antibody at 1/1000 dilution.

Immunohistochemistry (Formalin/PFA-fixed paraffin-embedded sections) - Anti-ETS2 antibody [EPR22419] (AB219948)
  • IHC-P

Supplier Data

Immunohistochemistry (Formalin/PFA-fixed paraffin-embedded sections) - Anti-ETS2 antibody [EPR22419] (AB219948)

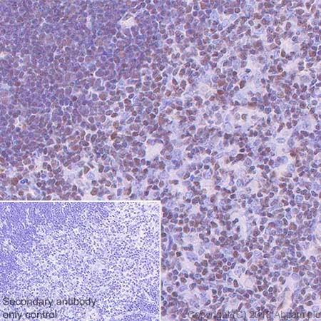
Immunohistochemical analysis of paraffin-embedded mouse thymus tissue labeling ETS2 with ab219948 at 1/500 dilution, followed by a ready to use Goat Anti-Rabbit IgG H&L (HRP). Nuclear staining on mouse thymus (PMID : 3472202, PMID : 26926107) is observed. Counterstained with hematoxylin.
Secondary antibody only control : Used PBS instead of primary antibody, secondary antibody is a ready to use Goat Anti-Rabbit IgG H&L (HRP).
Perform heat mediated antigen retrieval using ab93684 (Tris/EDTA buffer, pH 9.0).

Immunohistochemistry (Formalin/PFA-fixed paraffin-embedded sections) - Anti-ETS2 antibody [EPR22419] (AB219948)
  • IHC-P

Supplier Data

Immunohistochemistry (Formalin/PFA-fixed paraffin-embedded sections) - Anti-ETS2 antibody [EPR22419] (AB219948)

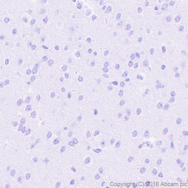
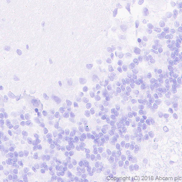
Immunohistochemical analysis of paraffin-embedded mouse cerebrum tissue labeling ETS2 with ab219948 at 1/500 dilution, followed by a ready to use Goat Anti-Rabbit IgG H&L (HRP).

Negative control : No staining on mouse cerebrum (PMID : 3472202) is observed. Counterstained with hematoxylin.

Perform heat mediated antigen retrieval using ab93684 (Tris/EDTA buffer, pH 9.0).

Immunohistochemistry (Formalin/PFA-fixed paraffin-embedded sections) - Anti-ETS2 antibody [EPR22419] (AB219948)
  • IHC-P

Supplier Data

Immunohistochemistry (Formalin/PFA-fixed paraffin-embedded sections) - Anti-ETS2 antibody [EPR22419] (AB219948)

Immunohistochemical analysis of paraffin-embedded rat thymus tissue labeling ETS2 with ab219948 at 1/500 dilution, followed by a ready to use Goat Anti-Rabbit IgG H&L (HRP). Nuclear staining on rat thymus (PMID : 3472202, PMID : 26926107) is observed. Counterstained with hematoxylin.
Secondary antibody only control : Used PBS instead of primary antibody, secondary antibody is a ready to use Goat Anti-Rabbit IgG H&L (HRP).
Perform heat mediated antigen retrieval using ab93684 (Tris/EDTA buffer, pH 9.0).

Immunohistochemistry (Formalin/PFA-fixed paraffin-embedded sections) - Anti-ETS2 antibody [EPR22419] (AB219948)
  • IHC-P

Supplier Data

Immunohistochemistry (Formalin/PFA-fixed paraffin-embedded sections) - Anti-ETS2 antibody [EPR22419] (AB219948)

Immunohistochemical analysis of paraffin-embedded rat cerebellum tissue labeling ETS2 with ab219948 at 1/500 dilution, followed by a ready to use Goat Anti-Rabbit IgG H&L (HRP).

Negative control : No staining on rat cerebellum (PMID : 3472202) is observed. Counterstained with hematoxylin.

Perform heat mediated antigen retrieval using ab93684 (Tris/EDTA buffer, pH 9.0).

Western blot - Anti-ETS2 antibody [EPR22419] (AB219948)
  • WB

Supplier Data

Western blot - Anti-ETS2 antibody [EPR22419] (AB219948)

Blocking/Dilution buffer : 5% NFDM/TBST.

Exposure times : Lane 1 : 26 seconds, Lane 2 : 3 minutes.

Lane 1 was developed using a higher sensitivity ECL substrate.

All lanes:

Western blot - Anti-ETS2 antibody [EPR22419] (ab219948) at 1/1000 dilution

Lane 1:

K-562 (human chronic myelogenous leukemia lymphoblast), whole cell lysate at 20 µg

Lane 2:

Human thymus at 10 µg

Secondary

Lane 1:

Western blot - Goat Anti-Rabbit IgG H&L (HRP) (<a href='/en-us/products/secondary-antibodies/goat-rabbit-igg-h-l-hrp-ab97051'>ab97051</a>) at 1/100000 dilution

Lane 2:

Western blot - VeriBlot for IP Detection Reagent (HRP) (<a href='/en-us/products/reagents/veriblot-for-ip-detection-reagent-hrp-ab131366'>ab131366</a>) at 1/1000 dilution

Predicted band size: 53 kDa

Observed band size: 53 kDa

false

Western blot - Anti-ETS2 antibody [EPR22419] (AB219948)
  • WB

Supplier Data

Western blot - Anti-ETS2 antibody [EPR22419] (AB219948)

Blocking/Dilution buffer : 5% NFDM/TBST.

The expression profile observed is consistent with what has been described in the literature (PMID : 15590657). The doublets represent ETS2 and its phosphorylated form.

This blot was developed using a higher sensitivity ECL substrate.

All lanes:

Western blot - Anti-ETS2 antibody [EPR22419] (ab219948) at 1/1000 dilution

Lane 1:

Untreated RAW 264.7 (mouse Abelson murine leukemia virus-induced tumor macrophage), whole cell lysate at 20 µg

Lane 2:

RAW 264.7 treated with 500ng/ml lipopolysaccharides(LPS) for 6 hours at 20 µg

Secondary

All lanes:

Western blot - Goat Anti-Rabbit IgG H&L (HRP) (<a href='/en-us/products/secondary-antibodies/goat-rabbit-igg-h-l-hrp-ab97051'>ab97051</a>) at 1/50000 dilution

Predicted band size: 53 kDa

Observed band size: 50-55 kDa

false

Exposure time: 5s

Key facts

Host species

Rabbit

Clonality

Monoclonal

Clone number

EPR22419

Isotype

IgG

Carrier free

No

Reacts with

Mouse, Rat, Human

Applications

IHC-P, IP, WB, ICC/IF

applications

Immunogen

The exact immunogen used to generate this antibody is proprietary information.

Specificity

This antibody is not recommended for human in IHC.

Reactivity data

{ "title": "Reactivity Data", "filters": { "stats": ["", "Species", "Dilution Info", "Notes"], "tabs": { "all-applications": {"fullname" : "All Applications", "shortname": "All Applications"}, "IP" : {"fullname" : "Immunoprecipitation", "shortname":"IP"}, "FlowCyt" : {"fullname" : "Flow Cytometry", "shortname":"Flow Cyt"}, "WB" : {"fullname" : "Western blot", "shortname":"WB"}, "ICCIF" : {"fullname" : "Immunocytochemistry/ Immunofluorescence", "shortname":"ICC/IF"}, "IHCP" : {"fullname" : "Immunohistochemistry (Formalin/PFA-fixed paraffin-embedded sections)", "shortname":"IHC-P"}, "ICC" : {"fullname" : "Immunocytochemistry", "shortname":"ICC"} }, "product-promise": { "all": "all", "testedAndGuaranteed": "tested", "guaranteed": "expected", "predicted": "predicted", "notRecommended": "not-recommended" } }, "values": { "Human": { "IP-species-checked": "testedAndGuaranteed", "IP-species-dilution-info": "1/30", "IP-species-notes": "<p></p>", "FlowCyt-species-checked": "notRecommended", "FlowCyt-species-dilution-info": "", "FlowCyt-species-notes": "<p></p>", "WB-species-checked": "testedAndGuaranteed", "WB-species-dilution-info": "1/1000", "WB-species-notes": "<p></p>", "ICCIF-species-checked": "guaranteed", "ICCIF-species-dilution-info": "", "ICCIF-species-notes": "", "IHCP-species-checked": "notRecommended", "IHCP-species-dilution-info": "", "IHCP-species-notes": "<p></p>", "ICC-species-checked": "notRecommended", "ICC-species-dilution-info": "", "ICC-species-notes": "<p></p>" }, "Mouse": { "IP-species-checked": "guaranteed", "IP-species-dilution-info": "", "IP-species-notes": "", "FlowCyt-species-checked": "notRecommended", "FlowCyt-species-dilution-info": "", "FlowCyt-species-notes": "<p></p>", "WB-species-checked": "testedAndGuaranteed", "WB-species-dilution-info": "1/1000", "WB-species-notes": "<p></p>", "ICCIF-species-checked": "testedAndGuaranteed", "ICCIF-species-dilution-info": "1/500", "ICCIF-species-notes": "<p></p>", "IHCP-species-checked": "testedAndGuaranteed", "IHCP-species-dilution-info": "1/500", "IHCP-species-notes": "<p></p> Perform heat-mediated antigen retrieval with Tris/EDTA buffer pH 9.0 before commencing with IHC staining protocol.", "ICC-species-checked": "notRecommended", "ICC-species-dilution-info": "", "ICC-species-notes": "" }, "Rat": { "IP-species-checked": "guaranteed", "IP-species-dilution-info": "", "IP-species-notes": "", "FlowCyt-species-checked": "notRecommended", "FlowCyt-species-dilution-info": "", "FlowCyt-species-notes": "<p></p>", "WB-species-checked": "guaranteed", "WB-species-dilution-info": "", "WB-species-notes": "", "ICCIF-species-checked": "guaranteed", "ICCIF-species-dilution-info": "", "ICCIF-species-notes": "", "IHCP-species-checked": "testedAndGuaranteed", "IHCP-species-dilution-info": "1/500", "IHCP-species-notes": "<p></p> Perform heat-mediated antigen retrieval with Tris/EDTA buffer pH 9.0 before commencing with IHC staining protocol.", "ICC-species-checked": "notRecommended", "ICC-species-dilution-info": "", "ICC-species-notes": "" } } }

Product details

Patented technology
Our RabMAb® technology is a patented hybridoma-based technology for making rabbit monoclonal antibodies. For details on our patents, please refer to RabMAb® patents.

What are the advantages of a recombinant monoclonal antibody?
This product is a recombinant monoclonal antibody, which offers several advantages including:

  • - High batch-to-batch consistency and reproducibility
  • - Improved sensitivity and specificity
  • - Long-term security of supply
  • - Animal-free batch production

For more information, read more on recombinant antibodies.

Properties and storage information

Form
Liquid
Purification technique
Affinity purification Protein A
Storage buffer
pH: 7.2 - 7.4 Preservative: 0.01% Sodium azide Constituents: PBS, 40% Glycerol (glycerin, glycerine), 0.05% BSA
Shipped at conditions
Blue Ice
Appropriate short-term storage duration
1-2 weeks
Appropriate short-term storage conditions
+4°C
Appropriate long-term storage conditions
-20°C
Aliquoting information
Upon delivery aliquot
Storage information
Avoid freeze / thaw cycle

Supplementary information

This supplementary information is collated from multiple sources and compiled automatically.

ETS2 protein or E26 transformation-specific sequence 2 is a transcription factor that is part of the ETS family. This protein is about 56 kDa in mass. It regulates gene expression by binding to specific DNA sequences. ETS2 is widely expressed in various tissues including the heart brain and liver. It influences multiple cellular processes like development proliferation and apoptosis.
Biological function summary

ETS2 protein functions in the regulation of genes that control critical cellular activities. The protein can form complexes with other transcription factors to modulate gene expression. It can interact with other proteins to influence cellular responses to external signals. As a transcription factor ETS2 also has a role in cellular differentiation and morphogenesis contributing to the development of multicellular organisms.

Pathways

ETS2 protein is involved in key signaling pathways such as the MAPK/ERK pathway and PI3K/AKT pathway. These pathways play essential roles in cell cycle regulation apoptosis and cell growth. ETS2 interacts with proteins like MAPK and AKT to transmit signals from the cell membrane to the nucleus. These interactions help coordinate responses to growth factors and stress signals influencing cellular outcomes.

The ETS2 protein has been linked to cancer and Down syndrome. In cancer dysregulation of ETS2 can lead to abnormal cell proliferation and resistance to apoptosis contributing to tumor development. In Down syndrome an extra copy of the ETS2 gene on chromosome 21 may affect normal development and contribute to associated phenotypes. ETS2's interaction with proteins like MYC and RAS can exacerbate these conditions influencing disease progression and outcomes.

Product protocols

For this product, it's our understanding that no specific protocols are required. You can visit:

Target data

Transcription factor activating transcription. Binds specifically the DNA GGAA/T core motif (Ets-binding site or EBS) in gene promoters and stimulates transcription.
See full target information Protein C-ets-2

Publications (7)

Recent publications for all applications. Explore the full list and refine your search

European journal of medical research 30:668 PubMed40708063

2025

TLR4/NF-κB-mediated M1 macrophage polarization contributes to the promotive effects of ETS2 on ulcerative colitis.

Applications

Unspecified application

Species

Unspecified reactive species

Binbin Liu,Jianshun Yu,Jie Zhang,Wei Ye,Jiaming Yao

Cell death & disease 16:471 PubMed40593466

2025

Impact of N-acetyltransferase 10 on macrophage activation and inflammation-induced cardiac dysfunction.

Applications

Unspecified application

Species

Unspecified reactive species

Zilong Xiao,Xiang Wei,Peng Li,Ruizhen Chen,Ziqing Yu,Yixiu Liang,Yangang Su,Junbo Ge

Respiratory research 26:159 PubMed40275330

2025

ETS2 aggravate allergic airway inflammation by regulating ANT2-mediated cytosolic mitochondrial DsRNA levels.

Applications

Unspecified application

Species

Unspecified reactive species

Hui Jiang,Yaona Jiang,Ran Dong,Chang-Yong Fu

FASEB journal : official publication of the Federation of American Societies for Experimental Biology 37:e22937 PubMed37171262

2023

ETS2 promotes cardiomyocyte apoptosis and autophagy in heart failure by regulating lncRNA TUG1/miR-129-5p/ATG7 axis.

Applications

Unspecified application

Species

Unspecified reactive species

Li Tan,Di Xiong,Hui Zhang,Sirou Xiao,Ruilan Yi,Jian Wu

Nature communications 13:5554 PubMed36138028

2022

Chromatin organizer SATB1 controls the cell identity of CD4 CD8 double-positive thymocytes by regulating the activity of super-enhancers.

Applications

Unspecified application

Species

Unspecified reactive species

Delong Feng,Yanhong Chen,Ranran Dai,Shasha Bian,Wei Xue,Yongchang Zhu,Zhaoqiang Li,Yiting Yang,Yan Zhang,Jiarui Zhang,Jie Bai,Litao Qin,Yoshinori Kohwi,Weili Shi,Terumi Kohwi-Shigematsu,Jing Ma,Shixiu Liao,Bingtao Hao

Cell proliferation 55:e13181 PubMed35088922

2022

TLR13 contributes to skeletal muscle atrophy by increasing insulin resistance in chronic kidney disease.

Applications

Unspecified application

Species

Unspecified reactive species

Lijie Gu,Zhifang Wang,Yueyue Zhang,Nan Zhu,Jiayong Li,Man Yang,Ling Wang,Shu Rong

Disease markers 2019:2407067 PubMed31275443

2019

ELL2 Is Downregulated and Associated with Galactose-Deficient IgA1 in IgA Nephropathy.

Applications

Unspecified application

Species

Unspecified reactive species

Youxia Liu,Jie Zheng,Na Zhao,Junya Jia,Tiekun Yan
View all publications

Product promise

We are committed to supporting your work with high-quality reagents, and we're here for you every step of the way. In the unlikely event that one of our products does not perform as expected, you're protected by our Product Promise.
For full details, please see our Terms & Conditions

Please note: All products are 'FOR RESEARCH USE ONLY. NOT FOR USE IN DIAGNOSTIC OR THERAPEUTIC PROCEDURES'.

For licensing inquiries, please contact partnerships@abcam.com