JavaScript is disabled in your browser. Please enable JavaScript to view this website.
AB243290

Anti-ETS2 antibody [EPR22419] - BSA and Azide free

Be the first to review this product! Submit a review

|

(0 Publication)

Rabbit Recombinant Monoclonal ETS2 antibody. Carrier free. Suitable for IP, WB, ICC/IF, IHC-P and reacts with Human, Mouse, Rat samples.

View Alternative Names

Protein C-ets-2, ETS2

6 Images
Immunoprecipitation - Anti-ETS2 antibody [EPR22419] - BSA and Azide free (AB243290)
  • IP

Supplier Data

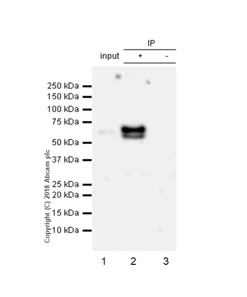
Immunoprecipitation - Anti-ETS2 antibody [EPR22419] - BSA and Azide free (AB243290)

ETS2 was immunoprecipitated from 0.35 mg K562 (human chronic myelogenous leukemia cell line from bone marrow ) whole cell lysate with ab219948 at 1/30 dilution. Western blot was performed from the immunoprecipitate using ab219948 at 1/1000 dilution. VeriBlot for IP Detection Reagent (HRP) (ab131366), was used for detection at 1/5000 dilution.

Lane 1 : K562 whole cell lysate 10 μg (Input).
Lane 2 : ab219948 IP in K562 whole cell lysate.
Lane 3 : Rabbit monoclonal IgG (ab172730) instead of ab219948 in K562 whole cell lysate.

Blocking/Dilution buffer : 5% NFDM/TBST.
Exposure time : 3 minutes.

The two immunoprecipitated bands represent non-phosphorylated and phosphorylated ETS2.

This data was developed using the same antibody clone in a different buffer formulation containing PBS, BSA, glycerol, and sodium azide (ab219948).

All lanes:

Immunoprecipitation - Anti-ETS2 antibody [EPR22419] (<a href='/en-us/products/primary-antibodies/ets2-antibody-epr22419-ab219948'>ab219948</a>)

Predicted band size: 53 kDa

Observed band size: 53 kDa

false

Immunohistochemistry (Formalin/PFA-fixed paraffin-embedded sections) - Anti-ETS2 antibody [EPR22419] - BSA and Azide free (AB243290)
  • IHC-P

Supplier Data

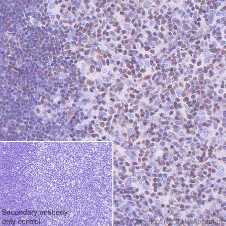
Immunohistochemistry (Formalin/PFA-fixed paraffin-embedded sections) - Anti-ETS2 antibody [EPR22419] - BSA and Azide free (AB243290)

Immunohistochemical analysis of paraffin-embedded rat thymus tissue labeling ETS2 with ab219948 at 1/500 dilution, followed by a ready to use Goat Anti-Rabbit IgG H&L (HRP). Nuclear staining on rat thymus (PMID : 3472202, PMID : 26926107) is observed. Counterstained with hematoxylin.
Secondary antibody only control : Used PBS instead of primary antibody, secondary antibody is a ready to use Goat Anti-Rabbit IgG H&L (HRP).
Perform heat mediated antigen retrieval using ab93684 (Tris/EDTA buffer, pH 9.0).This data was developed using the same antibody clone in a different buffer formulation containing PBS, BSA, glycerol, and sodium azide (ab219948).

Immunohistochemistry (Formalin/PFA-fixed paraffin-embedded sections) - Anti-ETS2 antibody [EPR22419] - BSA and Azide free (AB243290)
  • IHC-P

Supplier Data

Immunohistochemistry (Formalin/PFA-fixed paraffin-embedded sections) - Anti-ETS2 antibody [EPR22419] - BSA and Azide free (AB243290)

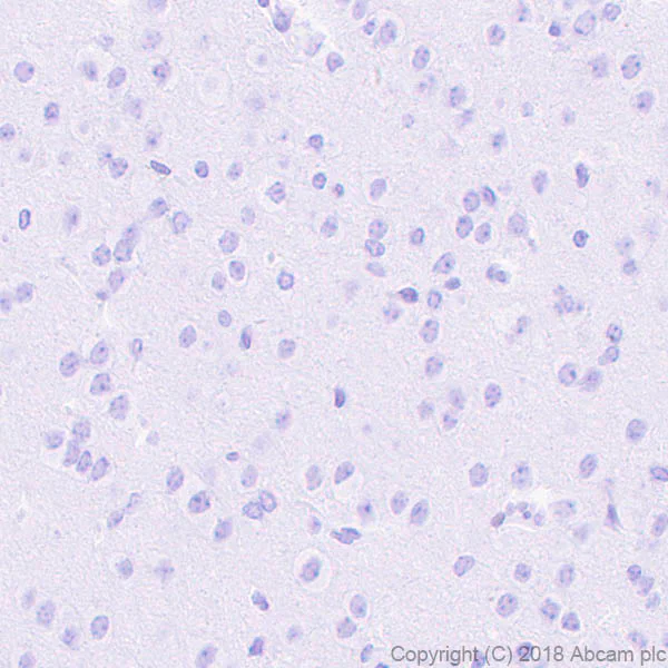
Immunohistochemical analysis of paraffin-embedded rat cerebellum tissue labeling ETS2 with ab219948 at 1/500 dilution, followed by a ready to use Goat Anti-Rabbit IgG H&L (HRP).

Negative control : No staining on rat cerebellum (PMID : 3472202) is observed. Counterstained with hematoxylin.

Perform heat mediated antigen retrieval using ab93684 (Tris/EDTA buffer, pH 9.0).

This data was developed using the same antibody clone in a different buffer formulation containing PBS, BSA, glycerol, and sodium azide (ab219948).

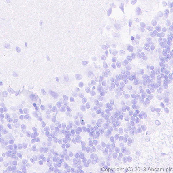
Immunohistochemistry (Formalin/PFA-fixed paraffin-embedded sections) - Anti-ETS2 antibody [EPR22419] - BSA and Azide free (AB243290)
  • IHC-P

Supplier Data

Immunohistochemistry (Formalin/PFA-fixed paraffin-embedded sections) - Anti-ETS2 antibody [EPR22419] - BSA and Azide free (AB243290)

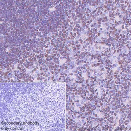
Immunohistochemical analysis of paraffin-embedded mouse thymus tissue labeling ETS2 with ab219948 at 1/500 dilution, followed by a ready to use Goat Anti-Rabbit IgG H&L (HRP). Nuclear staining on mouse thymus (PMID : 3472202, PMID : 26926107) is observed. Counterstained with hematoxylin.
Secondary antibody only control : Used PBS instead of primary antibody, secondary antibody is a ready to use Goat Anti-Rabbit IgG H&L (HRP).
Perform heat mediated antigen retrieval using ab93684 (Tris/EDTA buffer, pH 9.0).This data was developed using the same antibody clone in a different buffer formulation containing PBS, BSA, glycerol, and sodium azide (ab219948).

Immunohistochemistry (Formalin/PFA-fixed paraffin-embedded sections) - Anti-ETS2 antibody [EPR22419] - BSA and Azide free (AB243290)
  • IHC-P

Supplier Data

Immunohistochemistry (Formalin/PFA-fixed paraffin-embedded sections) - Anti-ETS2 antibody [EPR22419] - BSA and Azide free (AB243290)

Immunohistochemical analysis of paraffin-embedded mouse cerebrum tissue labeling ETS2 with ab219948 at 1/500 dilution, followed by a ready to use Goat Anti-Rabbit IgG H&L (HRP).

Negative control : No staining on mouse cerebrum (PMID : 3472202) is observed. Counterstained with hematoxylin.

Perform heat mediated antigen retrieval using ab93684 (Tris/EDTA buffer, pH 9.0).

This data was developed using the same antibody clone in a different buffer formulation containing PBS, BSA, glycerol, and sodium azide (ab219948).

Immunocytochemistry/ Immunofluorescence - Anti-ETS2 antibody [EPR22419] - BSA and Azide free (AB243290)
  • ICC/IF

Supplier Data

Immunocytochemistry/ Immunofluorescence - Anti-ETS2 antibody [EPR22419] - BSA and Azide free (AB243290)

Immunofluorescent analysis of 4% paraformaldehyde-fixed, 0.1% Triton X-100 permeabilized RAW 264.7 (mouse macrophage cell line transformed with Abelson murine leukemia virus) cells labeling ETS2 with ab219948 at 1/500 dilution, followed by Goat Anti-Rabbit IgG H&L (Alexa Fluor® 488) (ab150077) secondary antibody at 1/1000 dilution (green). Confocal image showing nuclear staining in RAW 264.7 cells treated with lipopolysaccharide (500 ng/ml) for 6 hours. The nuclear counterstain is DAPI (blue).
Counterstained with ab195889 Anti-alpha Tubulin antibody [DM1A] - Microtubule Marker (Alexa Fluor® 594) at a 1/200 dilution (red).
Secondary antibody contril : Used PBS instead of primary antibody, followed by Goat Anti-Rabbit IgG H&L (Alexa Fluor® 488) (ab150077) secondary antibody at 1/1000 dilution.

This data was developed using the same antibody clone in a different buffer formulation containing PBS, BSA, glycerol, and sodium azide (ab219948).

Key facts

Host species

Rabbit

Clonality

Monoclonal

Clone number

EPR22419

Isotype

IgG

Carrier free

Yes

Reacts with

Mouse, Rat, Human

Applications

IHC-P, WB, ICC/IF, IP

applications

Immunogen

The exact immunogen used to generate this antibody is proprietary information.

Specificity

This antibody is not recommended for human in IHC.

Reactivity data

{ "title": "Reactivity Data", "filters": { "stats": ["", "Species", "Dilution Info", "Notes"], "tabs": { "all-applications": {"fullname" : "All Applications", "shortname": "All Applications"}, "IP" : {"fullname" : "Immunoprecipitation", "shortname":"IP"}, "FlowCyt" : {"fullname" : "Flow Cytometry", "shortname":"Flow Cyt"}, "WB" : {"fullname" : "Western blot", "shortname":"WB"}, "ICCIF" : {"fullname" : "Immunocytochemistry/ Immunofluorescence", "shortname":"ICC/IF"}, "IHCP" : {"fullname" : "Immunohistochemistry (Formalin/PFA-fixed paraffin-embedded sections)", "shortname":"IHC-P"} }, "product-promise": { "all": "all", "testedAndGuaranteed": "tested", "guaranteed": "expected", "predicted": "predicted", "notRecommended": "not-recommended" } }, "values": { "Human": { "IP-species-checked": "testedAndGuaranteed", "IP-species-dilution-info": "", "IP-species-notes": "<p></p>", "FlowCyt-species-checked": "notRecommended", "FlowCyt-species-dilution-info": "", "FlowCyt-species-notes": "<p></p>", "WB-species-checked": "guaranteed", "WB-species-dilution-info": "", "WB-species-notes": "<p></p>", "ICCIF-species-checked": "guaranteed", "ICCIF-species-dilution-info": "", "ICCIF-species-notes": "", "IHCP-species-checked": "guaranteed", "IHCP-species-dilution-info": "", "IHCP-species-notes": "" }, "Mouse": { "IP-species-checked": "guaranteed", "IP-species-dilution-info": "", "IP-species-notes": "", "FlowCyt-species-checked": "notRecommended", "FlowCyt-species-dilution-info": "", "FlowCyt-species-notes": "<p></p>", "WB-species-checked": "guaranteed", "WB-species-dilution-info": "", "WB-species-notes": "<p></p>", "ICCIF-species-checked": "testedAndGuaranteed", "ICCIF-species-dilution-info": "", "ICCIF-species-notes": "<p></p>", "IHCP-species-checked": "testedAndGuaranteed", "IHCP-species-dilution-info": "", "IHCP-species-notes": "<p></p> Perform heat-mediated antigen retrieval with Tris/EDTA buffer pH 9.0 before commencing with IHC staining protocol." }, "Rat": { "IP-species-checked": "predicted", "IP-species-dilution-info": "", "IP-species-notes": "", "FlowCyt-species-checked": "notRecommended", "FlowCyt-species-dilution-info": "", "FlowCyt-species-notes": "<p></p>", "WB-species-checked": "guaranteed", "WB-species-dilution-info": "", "WB-species-notes": "<p></p>", "ICCIF-species-checked": "predicted", "ICCIF-species-dilution-info": "", "ICCIF-species-notes": "", "IHCP-species-checked": "predicted", "IHCP-species-dilution-info": "", "IHCP-species-notes": "" } } }

Product details

ab243290 is the carrier-free version of ab219948.

Patented technology
Our RabMAb® technology is a patented hybridoma-based technology for making rabbit monoclonal antibodies. For details on our patents, please refer to RabMAb® patents.

What are the advantages of a recombinant monoclonal antibody?
This product is a recombinant monoclonal antibody, which offers several advantages including:

  • - High batch-to-batch consistency and reproducibility
  • - Improved sensitivity and specificity
  • - Long-term security of supply
  • - Animal-free batch production

For more information, read more on recombinant antibodies.

Conjugation ready
Our carrier-free antibodies are typically supplied in a PBS-only formulation, purified and free of BSA, sodium azide and glycerol. This conjugation-ready format is designed for use with fluorochromes, metal isotopes, oligonucleotides, and enzymes, which makes them ideal for antibody labelling, functional and cell-based assays, flow-based assays (e.g. mass cytometry) and Multiplex Imaging applications.

Use our conjugation kits for antibody conjugates that are ready-to-use in as little as 20 minutes with 1 minute hands-on-time and 100% antibody recovery: available for fluorescent dyes, HRP, biotin and gold.

Compatibility
This product is compatible with the Maxpar® Antibody Labeling Kit from Fluidigm, without the need for antibody preparation. Maxpar® is a trademark of Fluidigm Canada Inc.

Properties and storage information

Form
Liquid
Purification technique
Affinity purification Protein A
Storage buffer
pH: 7.2 - 7.4 Constituents: PBS
Shipped at conditions
Blue Ice
Appropriate short-term storage conditions
+4°C
Appropriate long-term storage conditions
+4°C
Storage information
Do Not Freeze

Supplementary information

This supplementary information is collated from multiple sources and compiled automatically.

ETS2 protein or E26 transformation-specific sequence 2 is a transcription factor that is part of the ETS family. This protein is about 56 kDa in mass. It regulates gene expression by binding to specific DNA sequences. ETS2 is widely expressed in various tissues including the heart brain and liver. It influences multiple cellular processes like development proliferation and apoptosis.
Biological function summary

ETS2 protein functions in the regulation of genes that control critical cellular activities. The protein can form complexes with other transcription factors to modulate gene expression. It can interact with other proteins to influence cellular responses to external signals. As a transcription factor ETS2 also has a role in cellular differentiation and morphogenesis contributing to the development of multicellular organisms.

Pathways

ETS2 protein is involved in key signaling pathways such as the MAPK/ERK pathway and PI3K/AKT pathway. These pathways play essential roles in cell cycle regulation apoptosis and cell growth. ETS2 interacts with proteins like MAPK and AKT to transmit signals from the cell membrane to the nucleus. These interactions help coordinate responses to growth factors and stress signals influencing cellular outcomes.

The ETS2 protein has been linked to cancer and Down syndrome. In cancer dysregulation of ETS2 can lead to abnormal cell proliferation and resistance to apoptosis contributing to tumor development. In Down syndrome an extra copy of the ETS2 gene on chromosome 21 may affect normal development and contribute to associated phenotypes. ETS2's interaction with proteins like MYC and RAS can exacerbate these conditions influencing disease progression and outcomes.

Product protocols

For this product, it's our understanding that no specific protocols are required. You can visit:

Target data

Transcription factor activating transcription. Binds specifically the DNA GGAA/T core motif (Ets-binding site or EBS) in gene promoters and stimulates transcription.
See full target information Protein C-ets-2

Product promise

We are committed to supporting your work with high-quality reagents, and we're here for you every step of the way. In the unlikely event that one of our products does not perform as expected, you're protected by our Product Promise.
For full details, please see our Terms & Conditions

Please note: All products are 'FOR RESEARCH USE ONLY. NOT FOR USE IN DIAGNOSTIC OR THERAPEUTIC PROCEDURES'.

For licensing inquiries, please contact partnerships@abcam.com