JavaScript is disabled in your browser. Please enable JavaScript to view this website.
AB198930

Anti-EVC2 antibody

Be the first to review this product! Submit a review

|

(2 Publications)

Rabbit Polyclonal EVC2 antibody. Suitable for IHC-P, WB and reacts with Human samples. Cited in 2 publications. Immunogen corresponding to Synthetic Peptide within Human EVC2.

View Alternative Names

LBN, EVC2, Limbin, Ellis-van Creveld syndrome protein 2

2 Images
Western blot - Anti-EVC2 antibody (AB198930)
  • WB

Supplier Data

Western blot - Anti-EVC2 antibody (AB198930)

Gel : 6% SDS-PAGE

All lanes:

Western blot - Anti-EVC2 antibody (ab198930) at 1/450 dilution

All lanes:

human placenta tissue lysate at 40 µg

Predicted band size: 148 kDa

false

Exposure time: 7min

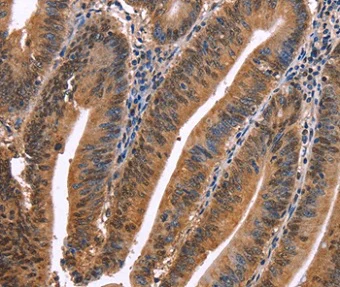
Immunohistochemistry (Formalin/PFA-fixed paraffin-embedded sections) - Anti-EVC2 antibody (AB198930)
  • IHC-P

Supplier Data

Immunohistochemistry (Formalin/PFA-fixed paraffin-embedded sections) - Anti-EVC2 antibody (AB198930)

Immunohistochemical analysis of paraffin-embedded human colon cancer tissue labeling EVC2 with ab198930 at a 1/40 dilution.

Key facts

Host species

Rabbit

Clonality

Polyclonal

Isotype

IgG

Carrier free

No

Reacts with

Human

Applications

IHC-P, WB

applications

Immunogen

Synthetic Peptide within Human EVC2. The exact immunogen used to generate this antibody is proprietary information.

Q86UK5

Reactivity data

{ "title": "Reactivity Data", "filters": { "stats": ["", "Species", "Dilution Info", "Notes"], "tabs": { "all-applications": {"fullname" : "All Applications", "shortname": "All Applications"}, "IHCP" : {"fullname" : "Immunohistochemistry (Formalin/PFA-fixed paraffin-embedded sections)", "shortname":"IHC-P"}, "WB" : {"fullname" : "Western blot", "shortname":"WB"} }, "product-promise": { "all": "all", "testedAndGuaranteed": "tested", "guaranteed": "expected", "predicted": "predicted", "notRecommended": "not-recommended" } }, "values": { "Human": { "IHCP-species-checked": "testedAndGuaranteed", "IHCP-species-dilution-info": "1/50 - 1/200", "IHCP-species-notes": "<p></p> Perform heat-mediated antigen retrieval before commencing with IHC staining protocol.", "WB-species-checked": "testedAndGuaranteed", "WB-species-dilution-info": "1/200 - 1/1000", "WB-species-notes": "<p></p>" }, "Mouse": { "IHCP-species-checked": "predicted", "IHCP-species-dilution-info": "", "IHCP-species-notes": "", "WB-species-checked": "predicted", "WB-species-dilution-info": "", "WB-species-notes": "" } } }

Properties and storage information

Form
Liquid
Purification technique
Affinity purification Immunogen
Storage buffer
pH: 7.4 Preservative: 0.05% Sodium azide Constituents: 50% Glycerol (glycerin, glycerine), 49% PBS
Shipped at conditions
Blue Ice
Appropriate short-term storage duration
1-2 weeks
Appropriate short-term storage conditions
+4°C
Appropriate long-term storage conditions
-20°C
Aliquoting information
Upon delivery aliquot
Storage information
Avoid freeze / thaw cycle

Supplementary information

This supplementary information is collated from multiple sources and compiled automatically.

EVC2 also known as Ellis Van Creveld protein 2 or Yentin protein plays a critical role in cellular mechanics by serving as a protein component involved in ciliary functions. The protein has an approximate molecular mass of 140 kDa. EVC2 is mainly expressed in tissues with motile and non-motile cilia such as lung kidney and trachea. It localizes to the base of primary cilia a cell surface protrusion important for cell signaling.
Biological function summary

EVC2 contributes to essential processes in ciliogenesis and the maintenance of ciliary function. It forms a complex with EVC another protein necessary for the correct positioning and operation of cilia. Together EVC2 and EVC organize ciliary structures affecting signal transduction pathways important for embryonic development. The protein-complex targets signals through the Hedgehog signaling pathway influencing developmental patterning.

Pathways

EVC2's role extends to integration within the Hedgehog signaling pathway an important regulatory pathway that governs cell growth differentiation and tissue patterning during embryogenesis. Within this pathway EVC2 associates with proteins such as Gli transcription factors that mediate the cellular response to Hedgehog signals. EVC2's modulation within this pathway is essential for the transduction of Hedgehog signals affecting fundamental developmental processes.

EVC2 mutations contribute to Ellis-van Creveld syndrome a rare skeletal dysplasia that leads to disproportionate dwarfism and polydactyly. Aberrant EVC2 expression also associates with neurological disorders where disruptions in ciliary function are evident. In Ellis-van Creveld syndrome defects in EVC2's interaction with the EVC protein undermine the Hedgehog pathway resulting in developmental anomalies.

Product protocols

For this product, it's our understanding that no specific protocols are required. You can visit:

Target data

Component of the EvC complex that positively regulates ciliary Hedgehog (Hh) signaling. Plays a critical role in bone formation and skeletal development. May be involved in early embryonic morphogenesis.
See full target information EVC2

Publications (2)

Recent publications for all applications. Explore the full list and refine your search

Archives of gynecology and obstetrics 306:1197-1210 PubMed35298675

2022

Protein kinase C targeting of luminal (T-47D), luminal/HER2-positive (BT474), and triple negative (HCC1806) breast cancer cells in-vitro with AEB071 (Sotrastaurin) is efficient but mediated by subtype specific molecular effects.

Applications

Unspecified application

Species

Unspecified reactive species

Veruschka Albert,Gerhard Piendl,Dali Yousseff,Hedwig Lammert,Michael Hummel,Olaf Ortmann,Wolfgang Jagla,Andreas Gaumann,Anja K Wege,Gero Brockhoff

Human mutation 41:240-254 PubMed31549751

2019

Novel IQCE variations confirm its role in postaxial polydactyly and cause ciliary defect phenotype in zebrafish.

Applications

Unspecified application

Species

Unspecified reactive species

Alejandro Estrada-Cuzcano,Christelle Etard,Clarisse Delvallée,Corinne Stoetzel,Elise Schaefer,Sophie Scheidecker,Véronique Geoffroy,Aline Schneider,Fouzia Studer,Francesca Mattioli,Kirsley Chennen,Sabine Sigaudy,Damien Plassard,Olivier Poch,Amélie Piton,Uwe Strahle,Jean Muller,Hélène Dollfus
View all publications

Product promise

We are committed to supporting your work with high-quality reagents, and we're here for you every step of the way. In the unlikely event that one of our products does not perform as expected, you're protected by our Product Promise.
For full details, please see our Terms & Conditions

Please note: All products are 'FOR RESEARCH USE ONLY. NOT FOR USE IN DIAGNOSTIC OR THERAPEUTIC PROCEDURES'.

For licensing inquiries, please contact partnerships@abcam.com