JavaScript is disabled in your browser. Please enable JavaScript to view this website.
AB133288

Anti-EWSR1/EWS antibody [EPR4647]

  • BOND RX™ Validated
  • RabMAb
  • Recombinant
  • Advanced Validation
  • What is this?

Be the first to review this product! Submit a review

|

(10 Publications)

Rabbit Recombinant Monoclonal EWSR1/EWS antibody. Suitable for IHC-P, WB, ICC/IF, Flow Cyt (Intra), ChIC/CUT&RUN-seq and reacts with Mouse, Rat, Human samples. Cited in 10 publications.

View Alternative Names

EWS, EWSR1, RNA-binding protein EWS, EWS oncogene, Ewing sarcoma breakpoint region 1 protein

13 Images
Flow Cytometry (Intracellular) - Anti-EWSR1/EWS antibody [EPR4647] (AB133288)
  • Flow Cyt (Intra)

Unknown

Flow Cytometry (Intracellular) - Anti-EWSR1/EWS antibody [EPR4647] (AB133288)

Intracellular Flow Cytometry analysis of HeLa (Human cervix adenocarcinoma epithelial cell) cells labeling EWSR1/EWS with purified ab133288 at 1/100 dilution (10 μg/ml) (Red). Cells were fixed with 4% Paraformaldehyde and permeabilised with 90% Methanol. A Goat anti rabbit IgG (Alexa Fluor® 488, ab150077) secondary antibody was used at 1/2000. Isotype control - Rabbit monoclonal IgG (Black). Unlabeled control - Cell without incubation with primary antibody and secondary antibody (Blue).

Immunocytochemistry/ Immunofluorescence - Anti-EWSR1/EWS antibody [EPR4647] (AB133288)
  • ICC/IF

Unknown

Immunocytochemistry/ Immunofluorescence - Anti-EWSR1/EWS antibody [EPR4647] (AB133288)

Immunocytochemistry/ Immunofluorescence analysis of HeLa (Human cervix adenocarcinoma epithelial cell) cells labeling EWSR1/EWS with purified ab133288 at 1 : 500 dilution (1.79 µg/ml). Cells were fixed in 4% Paraformaldehyde and permeabilized with 0.1% tritonX-100. Cells were counterstained with ab195889 Anti-alpha Tubulin antibody [DM1A] - Microtubule Marker (Alexa Fluor® 594) 1 : 200 (2.5 µg/ml). Goat anti rabbit IgG (Alexa Fluor® 488, ab150077) was used as the secondary antibody at 1 : 1000 (2 µg/ml) dilution. DAPI (blue) was used as nuclear counterstain. PBS instead of the primary antibody was used as the secondary antibody only control.

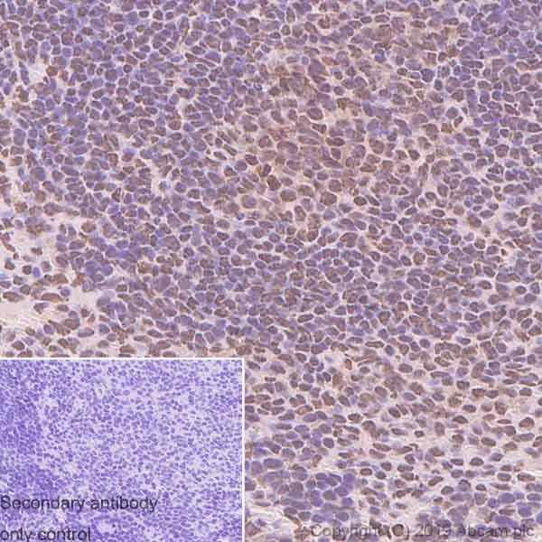
Immunohistochemistry (Formalin/PFA-fixed paraffin-embedded sections) - Anti-EWSR1/EWS antibody [EPR4647] (AB133288)
  • IHC-P

Unknown

Immunohistochemistry (Formalin/PFA-fixed paraffin-embedded sections) - Anti-EWSR1/EWS antibody [EPR4647] (AB133288)

Immunohistochemical analysis of paraffin-embedded Human colonic adenocarcinoma tissue labelling EWSR1/EWS with unpurified ab133288 at 1/250 dilution.

Perform heat mediated antigen retrieval before commencing with IHC staining protocol.

Immunohistochemistry (Formalin/PFA-fixed paraffin-embedded sections) - Anti-EWSR1/EWS antibody [EPR4647] (AB133288)
  • IHC-P

Unknown

Immunohistochemistry (Formalin/PFA-fixed paraffin-embedded sections) - Anti-EWSR1/EWS antibody [EPR4647] (AB133288)

Immunohistochemical analysis of paraffin-embedded Human colon tissue labelling EWSR1/EWS with unpurified ab133288 at 1/250 dilution.

Perform heat mediated antigen retrieval before commencing with IHC staining protocol.

Immunohistochemistry (Formalin/PFA-fixed paraffin-embedded sections) - Anti-EWSR1/EWS antibody [EPR4647] (AB133288)
  • IHC-P

Unknown

Immunohistochemistry (Formalin/PFA-fixed paraffin-embedded sections) - Anti-EWSR1/EWS antibody [EPR4647] (AB133288)

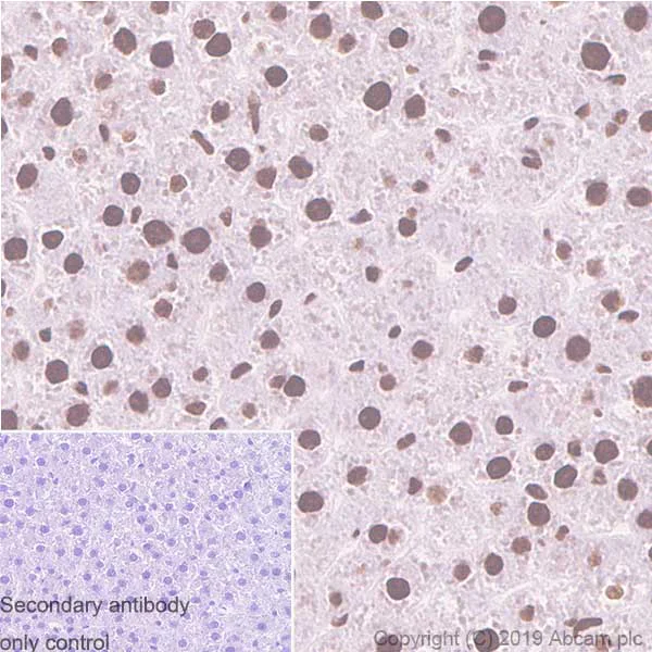
Immunohistochemistry (Formalin/PFA-fixed paraffin-embedded sections) analysis of human liver carcinoma tissue sections labeling EWSR1/EWS with purified ab133288 at 1 : 500 dilution (1.79 µg/ml). Heat mediated antigen retrieval was performed using Bond ™ Epitope Retrieval Solution 2 (pH 9.0). Rabbit specific IHC polymer detection kit HRP/DAB (ab209101) was used as the secondary antibody. Negative control : PBS instead of the primary antibody. Hematoxylin was used as a counterstain.

Immunohistochemistry (Formalin/PFA-fixed paraffin-embedded sections) - Anti-EWSR1/EWS antibody [EPR4647] (AB133288)
  • IHC-P

Unknown

Immunohistochemistry (Formalin/PFA-fixed paraffin-embedded sections) - Anti-EWSR1/EWS antibody [EPR4647] (AB133288)

Immunohistochemistry (Formalin/PFA-fixed paraffin-embedded sections) analysis of mouse spleen tissue sections labeling EWSR1/EWS with purified ab133288 at 1 : 500 dilution (1.79 µg/ml). Heat mediated antigen retrieval was performed using Bond ™ Epitope Retrieval Solution 2 (pH 9.0). Rabbit specific IHC polymer detection kit HRP/DAB (ab209101) was used as the secondary antibody. Negative control : PBS instead of the primary antibody. Hematoxylin was used as a counterstain.

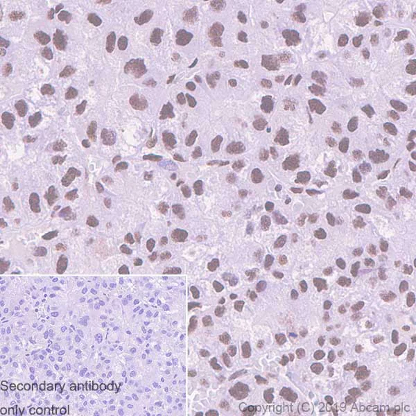
Immunohistochemistry (Formalin/PFA-fixed paraffin-embedded sections) - Anti-EWSR1/EWS antibody [EPR4647] (AB133288)
  • IHC-P

Unknown

Immunohistochemistry (Formalin/PFA-fixed paraffin-embedded sections) - Anti-EWSR1/EWS antibody [EPR4647] (AB133288)

Immunohistochemistry (Formalin/PFA-fixed paraffin-embedded sections) analysis of rat liver tissue sections labeling EWSR1/EWS with purified ab133288 at 1 : 500 dilution (1.79 µg/ml). Heat mediated antigen retrieval was performed using Bond ™ Epitope Retrieval Solution 2 (pH 9.0). Rabbit specific IHC polymer detection kit HRP/DAB (ab209101) was used as the secondary antibody. Negative control : PBS instead of the primary antibody. Hematoxylin was used as a counterstain.

Western blot - Anti-EWSR1/EWS antibody [EPR4647] (AB133288)
  • WB

Unknown

Western blot - Anti-EWSR1/EWS antibody [EPR4647] (AB133288)

All lanes:

Western blot - Anti-EWSR1/EWS antibody [EPR4647] (ab133288) at 1/10000 dilution

Lane 1:

K562 cell lysate at 10 µg

Lane 2:

HeLa cell lysate at 10 µg

Lane 3:

Jurkat cell lysate at 10 µg

Lane 4:

F9 cell lysate at 10 µg

Secondary

All lanes:

Goat Anti-rabbit HRP at 1/2000 dilution

Predicted band size: 68 kDa

false

Western blot - Anti-EWSR1/EWS antibody [EPR4647] (AB133288)
  • WB

Lab

Western blot - Anti-EWSR1/EWS antibody [EPR4647] (AB133288)

The molecular weight observed is consistent with what has been described in PMID : 30354839

All lanes:

Western blot - Anti-EWSR1/EWS antibody [EPR4647] (ab133288) at 1/10000 dilution

All lanes:

HeLa (Human cervix adenocarcinoma epithelial cell) whole cell lysates at 20 µg

Secondary

All lanes:

Goat Anti-Rabbit IgG (HRP) with minimal cross-reactivity with human IgG at 1/2000 dilution

Predicted band size: 68 kDa

Observed band size: 90 kDa

false

ChIC/CUT&RUN sequencing - Anti-EWSR1/EWS antibody [EPR4647] (AB133288)
  • ChIC/CUT&RUN-seq

Lab

ChIC/CUT&RUN sequencing - Anti-EWSR1/EWS antibody [EPR4647] (AB133288)

ChIC/CUT&RUN was performed using a pAG-MNase at a final concentration of 700 ng/mL, 2.5 x 105 A-673 (human muscle Ewings sarcoma cell line) cells and 5 µg of ab133288 [EPR4647]. The resulting DNA was sequenced on the Illumina NovaSeq 6000 to a depth of 10 million reads. The negative IgG control ab172730 is also shown.

The University of Geneva owns patents relevant to ChIC (Chromatin Immuno-Cleavage) methods.

ChIC/CUT&RUN sequencing - Anti-EWSR1/EWS antibody [EPR4647] (AB133288)
  • ChIC/CUT&RUN-seq

Lab

ChIC/CUT&RUN sequencing - Anti-EWSR1/EWS antibody [EPR4647] (AB133288)

ChIC/CUT&RUN was performed using a pAG-MNase at a final concentration of 700 ng/mL, 2.5 x 105 A-673 (human muscle Ewings sarcoma cell line) cells and 5 µg of ab133288 [EPR4647]. The resulting DNA was sequenced on the Illumina NovaSeq 6000 to a depth of 10 million reads. The negative IgG control ab172730 is also shown.

The University of Geneva owns patents relevant to ChIC (Chromatin Immuno-Cleavage) methods.

ChIC/CUT&RUN sequencing - Anti-EWSR1/EWS antibody [EPR4647] (AB133288)
  • ChIC/CUT&RUN-seq

Lab

ChIC/CUT&RUN sequencing - Anti-EWSR1/EWS antibody [EPR4647] (AB133288)

ChIC/CUT&RUN was performed using a pAG-MNase at a final concentration of 700 ng/mL, 2.5 x 105 A-673 (human muscle Ewings sarcoma cell line) cells and 5 µg of ab133288 [EPR4647]. The resulting DNA was sequenced on the Illumina NovaSeq 6000 to a depth of 10 million reads. The negative IgG control ab172730 is also shown.

The University of Geneva owns patents relevant to ChIC (Chromatin Immuno-Cleavage) methods.

Western blot - Anti-EWSR1/EWS antibody [EPR4647] (AB133288)
  • WB

Lab

Western blot - Anti-EWSR1/EWS antibody [EPR4647] (AB133288)

The molecular weight observed is consistent with what has been described in PMID : 30354839

All lanes:

Western blot - Anti-EWSR1/EWS antibody [EPR4647] (ab133288) at 1/5000 dilution

Lane 1:

Mouse brain lysates at 15 µg

Lane 2:

Rat brain lysates at 15 µg

Secondary

All lanes:

Western blot - Goat Anti-Rabbit IgG H&L (HRP) (<a href='/en-us/products/secondary-antibodies/goat-rabbit-igg-h-l-hrp-ab97051'>ab97051</a>) at 1/20000 dilution

Predicted band size: 68 kDa

false

  • Carrier free

    Anti-EWSR1/EWS antibody [EPR4647] - BSA and Azide free

  • 578 PE

    PE Anti-EWSR1 antibody [EPR4647]

  • 660 APC

    APC Anti-EWSR1 antibody [EPR4647]

  • 617 Alexa Fluor® 594

    Alexa Fluor® 594 Anti-EWSR1 antibody [EPR4647]

  • 519 Alexa Fluor® 488

    Alexa Fluor® 488 Anti-EWSR1 antibody [EPR4647]

  • 603 Alexa Fluor® 568

    Alexa Fluor® 568 Anti-EWSR1/EWS antibody [EPR4647]

  • HRP

    HRP Anti-EWSR1 antibody [EPR4647]

  • 665 Alexa Fluor® 647

    Alexa Fluor® 647 Anti-EWSR1 antibody [EPR4647]

  • 565 Alexa Fluor® 555

    Alexa Fluor® 555 Anti-EWSR1 antibody [EPR4647]

  • 775 Alexa Fluor® 750

    Alexa Fluor® 750 Anti-EWSR1/EWS antibody [EPR4647]

Key facts

Host species

Rabbit

Clonality

Monoclonal

Clone number

EPR4647

Isotype

IgG

Carrier free

No

Reacts with

Mouse, Rat, Human

Applications

ChIC/CUT&RUN-seq, Flow Cyt (Intra), IHC-P, WB, ICC/IF

applications

Immunogen

The exact immunogen used to generate this antibody is proprietary information.

Reactivity data

{ "title": "Reactivity Data", "filters": { "stats": ["", "Species", "Dilution Info", "Notes"], "tabs": { "all-applications": {"fullname" : "All Applications", "shortname": "All Applications"}, "IHCP" : {"fullname" : "Immunohistochemistry (Formalin/PFA-fixed paraffin-embedded sections)", "shortname":"IHC-P"}, "IP" : {"fullname" : "Immunoprecipitation", "shortname":"IP"}, "WB" : {"fullname" : "Western blot", "shortname":"WB"}, "ICCIF" : {"fullname" : "Immunocytochemistry/ Immunofluorescence", "shortname":"ICC/IF"}, "FlowCytIntra" : {"fullname" : "Flow Cytometry (Intracellular)", "shortname":"Flow Cyt (Intra)"}, "ChICCUTRUNseq" : {"fullname" : "ChIC/CUT&RUN sequencing", "shortname":"ChIC/CUT&RUN-seq"} }, "product-promise": { "all": "all", "testedAndGuaranteed": "tested", "guaranteed": "expected", "predicted": "predicted", "notRecommended": "not-recommended" } }, "values": { "Human": { "IHCP-species-checked": "testedAndGuaranteed", "IHCP-species-dilution-info": "1/250 - 1/500", "IHCP-species-notes": "<p></p>", "IP-species-checked": "notRecommended", "IP-species-dilution-info": "", "IP-species-notes": "<p></p>", "WB-species-checked": "testedAndGuaranteed", "WB-species-dilution-info": "1/10000 - 1/50000", "WB-species-notes": "<p></p>", "ICCIF-species-checked": "testedAndGuaranteed", "ICCIF-species-dilution-info": "1/500 - 1/1000", "ICCIF-species-notes": "<p></p>", "FlowCytIntra-species-checked": "testedAndGuaranteed", "FlowCytIntra-species-dilution-info": "1/100", "FlowCytIntra-species-notes": "<p></p>", "ChICCUTRUNseq-species-checked": "testedAndGuaranteed", "ChICCUTRUNseq-species-dilution-info": "5 µg", "ChICCUTRUNseq-species-notes": "<p></p>" }, "Mouse": { "IHCP-species-checked": "testedAndGuaranteed", "IHCP-species-dilution-info": "1/250 - 1/500", "IHCP-species-notes": "<p></p>", "IP-species-checked": "notRecommended", "IP-species-dilution-info": "", "IP-species-notes": "<p></p>", "WB-species-checked": "testedAndGuaranteed", "WB-species-dilution-info": "1/10000 - 1/50000", "WB-species-notes": "<p></p>", "ICCIF-species-checked": "guaranteed", "ICCIF-species-dilution-info": "", "ICCIF-species-notes": "", "FlowCytIntra-species-checked": "guaranteed", "FlowCytIntra-species-dilution-info": "", "FlowCytIntra-species-notes": "", "ChICCUTRUNseq-species-checked": "guaranteed", "ChICCUTRUNseq-species-dilution-info": "", "ChICCUTRUNseq-species-notes": "" }, "Rat": { "IHCP-species-checked": "testedAndGuaranteed", "IHCP-species-dilution-info": "1/250 - 1/500", "IHCP-species-notes": "<p></p>", "IP-species-checked": "notRecommended", "IP-species-dilution-info": "", "IP-species-notes": "<p></p>", "WB-species-checked": "guaranteed", "WB-species-dilution-info": "", "WB-species-notes": "", "ICCIF-species-checked": "guaranteed", "ICCIF-species-dilution-info": "", "ICCIF-species-notes": "", "FlowCytIntra-species-checked": "guaranteed", "FlowCytIntra-species-dilution-info": "", "FlowCytIntra-species-notes": "", "ChICCUTRUNseq-species-checked": "guaranteed", "ChICCUTRUNseq-species-dilution-info": "", "ChICCUTRUNseq-species-notes": "" } } }

Product details

Patented technology
Our RabMAb® technology is a patented hybridoma-based technology for making rabbit monoclonal antibodies. For details on our patents, please refer to RabMAb® patents.

What are the advantages of a recombinant monoclonal antibody?
This product is a recombinant monoclonal antibody, which offers several advantages including:

  • - High batch-to-batch consistency and reproducibility
  • - Improved sensitivity and specificity
  • - Long-term security of supply
  • - Animal-free batch production

For more information, read more on recombinant antibodies.

Properties and storage information

Form
Liquid
Purification technique
Affinity purification Protein A
Storage buffer
pH: 7.2 - 7.4 Preservative: 0.01% Sodium azide Constituents: PBS, 40% Glycerol (glycerin, glycerine), 0.05% BSA
Shipped at conditions
Blue Ice
Appropriate short-term storage conditions
+4°C
Appropriate long-term storage conditions
-20°C
Storage information
Stable for 12 months at -20°C

Supplementary information

This supplementary information is collated from multiple sources and compiled automatically.

The EWS protein also known as EWSR1 or 2'1b1' comes from the EWSR1 gene. It is a part of the TET family of proteins and has a molecular weight of about 68 kDa. EWS is expressed widely in human tissues with high levels in the brain gonads and skeletal muscle. The protein contains an RNA-binding domain and amino acid repeats which allow it to interact with other proteins and RNA molecules.
Biological function summary

The EWS protein plays roles in various cellular processes such as transcription and RNA splicing. It can participate in forming different protein complexes which influence its function. EWS serves as a cofactor for several transcription factors and it is important in regulating the expression of genes involved in cell cycle progression and differentiation. The protein’s interaction with RNA and other molecules highlights its multifunctional nature within cellular environments.

Pathways

EWS engages in pathways like the regulation of transcription and RNA processing. It closely associates with proteins involved in gene expression surveillance such as the RNA polymerase II which is significant for transcription activities. EWS partners with proteins such as FUS and TAF15 which are essential parts of transcription regulation networks. These interactions place EWS in a central role in cellular regulatory machinery.

EWS is notably linked to Ewing sarcoma and neurodegenerative diseases. In Ewing sarcoma EWS forms fusion proteins like EWS-FLI1 by translocation events which lead to tumor formation. This fusion protein acts abnormally in transcription regulation driving oncogenic pathways. EWS's interaction with proteins like FUS and TAF15 also relate it to certain neurodegenerative conditions indicating its importance in both cancer and neurobiology.

Product protocols

For this product, it's our understanding that no specific protocols are required. You can visit:

Target data

Might normally function as a transcriptional repressor. EWS-fusion-proteins (EFPS) may play a role in the tumorigenic process. They may disturb gene expression by mimicking, or interfering with the normal function of CTD-POLII within the transcription initiation complex. They may also contribute to an aberrant activation of the fusion protein target genes.
See full target information EWSR1

Publications (10)

Recent publications for all applications. Explore the full list and refine your search

iScience 28:111769 PubMed39949960

2025

Oxidative stress induced protein aggregation via GGCT produced pyroglutamic acid in drug resistant glioblastoma.

Applications

Unspecified application

Species

Unspecified reactive species

Deanna Tiek,Xiao Song,Xiaozhou Yu,Runxin Wu,Rebeca Iglesia,Alicia Catezone,Katy McCortney,Jordain Walshon,Craig Horbinski,Pouya Jamshidi,Rudolph Castellani,Robert Vassar,Jason Miska,Bo Hu,Shi-Yuan Cheng

Advanced science (Weinheim, Baden-Wurttemberg, Germany) 11:e2400676 PubMed38460179

2024

Hepatocellular Carcinoma LINC01116 Outcompetes T Cells for Linoleic Acid and Accelerates Tumor Progression.

Applications

Unspecified application

Species

Unspecified reactive species

Kun Ma,Junhui Chu,Yufeng Liu,Linmao Sun,Shuo Zhou,Xianying Li,Changyong Ji,Ning Zhang,Xinyu Guo,Shuhang Liang,Tianming Cui,Qingsong Hu,Jiabei Wang,Yao Liu,Lianxin Liu

Proceedings of the National Academy of Sciences of the United States of America 119:e2123362119 PubMed35921433

2022

Gammaherpesvirus-mediated repression reveals EWSR1 to be a negative regulator of B cell responses.

Applications

Unspecified application

Species

Unspecified reactive species

Yiping Wang,April Feswick,Vasiliki Apostolou,Petko M Petkov,Emily K Moser,Scott A Tibbetts

Science advances 8:eabn3471 PubMed35731869

2022

Temozolomide-induced guanine mutations create exploitable vulnerabilities of guanine-rich DNA and RNA regions in drug-resistant gliomas.

Applications

Unspecified application

Species

Unspecified reactive species

Deanna M Tiek,Beril Erdogdu,Roham Razaghi,Lu Jin,Norah Sadowski,Carla Alamillo-Ferrer,J Robert Hogg,Bassem R Haddad,David H Drewry,Carrow I Wells,Julie E Pickett,Xiao Song,Anshika Goenka,Bo Hu,Samuel A Goldlust,William J Zuercher,Mihaela Pertea,Winston Timp,Shi-Yuan Cheng,Rebecca B Riggins

The journal of histochemistry and cytochemistry : official journal of the Histochemistry Society 69:495-509 PubMed34261344

2021

Expression of Transcription Factor in Human Tissues.

Applications

Unspecified application

Species

Unspecified reactive species

Heidi Kaprio,Vanina D Heuser,Katri Orte,Mikko Tukiainen,Ilmo Leivo,Maria Gardberg

International journal of molecular medicine 47: PubMed33655338

2021

Downregulation of miR‑146a inhibits osteoporosis in the jaws of ovariectomized rats by regulating the Wnt/β‑catenin signaling pathway.

Applications

Unspecified application

Species

Unspecified reactive species

Hua Liu,Xianhu Yue,Gang Zhang

PLoS pathogens 15:e1007843 PubMed31393953

2019

Identification of murine gammaherpesvirus 68 miRNA-mRNA hybrids reveals miRNA target conservation among gammaherpesviruses including host translation and protein modification machinery.

Applications

Unspecified application

Species

Unspecified reactive species

Whitney L Bullard,Mehmet Kara,Lauren A Gay,Sunantha Sethuraman,Yiping Wang,Shreya Nirmalan,Alim Esemenli,April Feswick,Brett A Hoffman,Rolf Renne,Scott A Tibbetts

mBio 10: PubMed31363027

2019

A Gammaherpesvirus MicroRNA Targets EWSR1 (Ewing Sarcoma Breakpoint Region 1) To Promote Latent Infection of Germinal Center B Cells.

Applications

Unspecified application

Species

Unspecified reactive species

Yiping Wang,Emily R Feldman,Whitney L Bullard,Scott A Tibbetts

Nature 555:387-391 PubMed29513652

2018

EWS-FLI1 increases transcription to cause R-loops and block BRCA1 repair in Ewing sarcoma.

Applications

Unspecified application

Species

Unspecified reactive species

Aparna Gorthi,July Carolina Romero,Eva Loranc,Lin Cao,Liesl A Lawrence,Elicia Goodale,Amanda Balboni Iniguez,Xavier Bernard,V Pragathi Masamsetti,Sydney Roston,Elizabeth R Lawlor,Jeffrey A Toretsky,Kimberly Stegmaier,Stephen L Lessnick,Yidong Chen,Alexander J R Bishop

Brain : a journal of neurology 134:2595-609 PubMed21856723

2011

FET proteins TAF15 and EWS are selective markers that distinguish FTLD with FUS pathology from amyotrophic lateral sclerosis with FUS mutations.

Applications

IHC-P

Species

Human

Manuela Neumann,Eva Bentmann,Dorothee Dormann,Ali Jawaid,Mariely DeJesus-Hernandez,Olaf Ansorge,Sigrun Roeber,Hans A Kretzschmar,David G Munoz,Hirofumi Kusaka,Osamu Yokota,Lee-Cyn Ang,Juan Bilbao,Rosa Rademakers,Christian Haass,Ian R A Mackenzie
View all publications

Product promise

We are committed to supporting your work with high-quality reagents, and we're here for you every step of the way. In the unlikely event that one of our products does not perform as expected, you're protected by our Product Promise.
For full details, please see our Terms & Conditions

Please note: All products are 'FOR RESEARCH USE ONLY. NOT FOR USE IN DIAGNOSTIC OR THERAPEUTIC PROCEDURES'.

For licensing inquiries, please contact partnerships@abcam.com