JavaScript is disabled in your browser. Please enable JavaScript to view this website.
AB240055

Anti-EWSR1/EWS antibody [EPR4647] - BSA and Azide free

  • BOND RX™ Validated
  • RabMAb
  • Recombinant
  • Advanced Validation
  • What is this?

Be the first to review this product! Submit a review

|

(1 Publication)

Rabbit Recombinant Monoclonal EWSR1/EWS antibody. Carrier free. Suitable for IHC-P, WB, ICC/IF, Flow Cyt (Intra), ChIC/CUT&RUN-seq and reacts with Rat, Human, Mouse samples. Cited in 1 publication.

View Alternative Names

EWS, EWSR1, RNA-binding protein EWS, EWS oncogene, Ewing sarcoma breakpoint region 1 protein

10 Images
Immunocytochemistry/ Immunofluorescence - Anti-EWSR1/EWS antibody [EPR4647] - BSA and Azide free (AB240055)
  • ICC/IF

Unknown

Immunocytochemistry/ Immunofluorescence - Anti-EWSR1/EWS antibody [EPR4647] - BSA and Azide free (AB240055)

Immunocytochemistry/ Immunofluorescence analysis of HeLa (Human cervix adenocarcinoma epithelial cell) cells labeling EWSR1/EWS with purified ab133288 at 1 : 500 dilution (1.79 µg/ml). Cells were fixed in 4% Paraformaldehyde and permeabilized with 0.1% tritonX-100. Cells were counterstained with ab195889 Anti-alpha Tubulin antibody [DM1A] - Microtubule Marker (Alexa Fluor® 594) 1 : 200 (2.5 µg/ml). Goat anti rabbit IgG (Alexa Fluor® 488, ab150077) was used as the secondary antibody at 1 : 1000 (2 µg/ml) dilution. DAPI (blue) was used as nuclear counterstain. PBS instead of the primary antibody was used as the secondary antibody only control.
This data was developed using the same antibody clone in a different buffer formulation containing PBS, BSA, glycerol, and sodium azide (ab133288)

Immunohistochemistry (Formalin/PFA-fixed paraffin-embedded sections) - Anti-EWSR1/EWS antibody [EPR4647] - BSA and Azide free (AB240055)
  • IHC-P

Unknown

Immunohistochemistry (Formalin/PFA-fixed paraffin-embedded sections) - Anti-EWSR1/EWS antibody [EPR4647] - BSA and Azide free (AB240055)

Immunohistochemical analysis of paraffin-embedded Human colonic adenocarcinoma tissue labelling EWSR1/EWS with unpurified ab133288 at 1/250 dilution.

This data was developed using the same antibody clone in a different buffer formulation containing PBS, BSA, glycerol, and sodium azide (ab133288).

Perform heat mediated antigen retrieval before commencing with IHC staining protocol.

Immunohistochemistry (Formalin/PFA-fixed paraffin-embedded sections) - Anti-EWSR1/EWS antibody [EPR4647] - BSA and Azide free (AB240055)
  • IHC-P

Unknown

Immunohistochemistry (Formalin/PFA-fixed paraffin-embedded sections) - Anti-EWSR1/EWS antibody [EPR4647] - BSA and Azide free (AB240055)

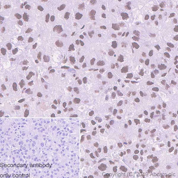
Immunohistochemistry (Formalin/PFA-fixed paraffin-embedded sections) analysis of human liver carcinoma tissue sections labeling EWSR1/EWS with purified ab133288 at 1 : 500 dilution (1.79 µg/ml). Heat mediated antigen retrieval was performed using Bond ™ Epitope Retrieval Solution 2 (pH 9.0). Rabbit specific IHC polymer detection kit HRP/DAB (ab209101) was used as the secondary antibody. Negative control : PBS instead of the primary antibody. Hematoxylin was used as a counterstain.
This data was developed using the same antibody clone in a different buffer formulation containing PBS, BSA, glycerol, and sodium azide (ab133288)

Flow Cytometry (Intracellular) - Anti-EWSR1/EWS antibody [EPR4647] - BSA and Azide free (AB240055)
  • Flow Cyt (Intra)

Unknown

Flow Cytometry (Intracellular) - Anti-EWSR1/EWS antibody [EPR4647] - BSA and Azide free (AB240055)

Intracellular Flow Cytometry analysis of HeLa (Human cervix adenocarcinoma epithelial cell) cells labeling EWSR1/EWS with purified ab133288 at 1/100 dilution (10 μg/ml) (Red). Cells were fixed with 4% Paraformaldehyde and permeabilised with 90% Methanol. A Goat anti rabbit IgG (Alexa Fluor® 488, ab150077) secondary antibody was used at 1/2000. Isotype control - Rabbit monoclonal IgG (Black). Unlabeled control - Cell without incubation with primary antibody and secondary antibody (Blue). This data was developed using the same antibody clone in a different buffer formulation containing PBS, BSA, glycerol, and sodium azide (ab133288)

Immunohistochemistry (Formalin/PFA-fixed paraffin-embedded sections) - Anti-EWSR1/EWS antibody [EPR4647] - BSA and Azide free (AB240055)
  • IHC-P

Unknown

Immunohistochemistry (Formalin/PFA-fixed paraffin-embedded sections) - Anti-EWSR1/EWS antibody [EPR4647] - BSA and Azide free (AB240055)

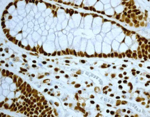
Immunohistochemical analysis of paraffin-embedded Human colon tissue labelling EWSR1/EWS with unpurified ab133288 at 1/250 dilution.

This data was developed using the same antibody clone in a different buffer formulation containing PBS, BSA, glycerol, and sodium azide (ab133288).

Perform heat mediated antigen retrieval before commencing with IHC staining protocol.

Immunohistochemistry (Formalin/PFA-fixed paraffin-embedded sections) - Anti-EWSR1/EWS antibody [EPR4647] - BSA and Azide free (AB240055)
  • IHC-P

Unknown

Immunohistochemistry (Formalin/PFA-fixed paraffin-embedded sections) - Anti-EWSR1/EWS antibody [EPR4647] - BSA and Azide free (AB240055)

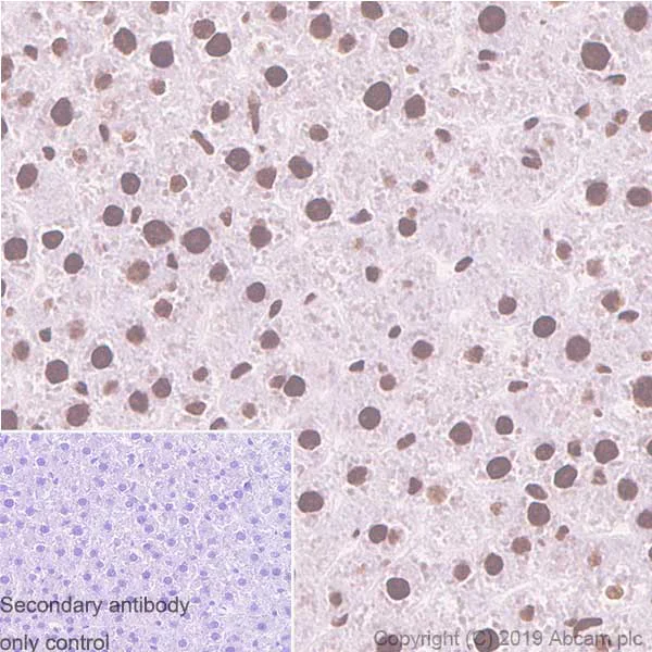
Immunohistochemistry (Formalin/PFA-fixed paraffin-embedded sections) analysis of rat liver tissue sections labeling EWSR1/EWS with purified ab133288 at 1 : 500 dilution (1.79 µg/ml). Heat mediated antigen retrieval was performed using Bond ™ Epitope Retrieval Solution 2 (pH 9.0). Rabbit specific IHC polymer detection kit HRP/DAB (ab209101) was used as the secondary antibody. Negative control : PBS instead of the primary antibody. Hematoxylin was used as a counterstain.
This data was developed using the same antibody clone in a different buffer formulation containing PBS, BSA, glycerol, and sodium azide (ab133288)

Immunohistochemistry (Formalin/PFA-fixed paraffin-embedded sections) - Anti-EWSR1/EWS antibody [EPR4647] - BSA and Azide free (AB240055)
  • IHC-P

Unknown

Immunohistochemistry (Formalin/PFA-fixed paraffin-embedded sections) - Anti-EWSR1/EWS antibody [EPR4647] - BSA and Azide free (AB240055)

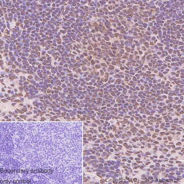
Immunohistochemistry (Formalin/PFA-fixed paraffin-embedded sections) analysis of mouse spleen tissue sections labeling EWSR1/EWS with purified ab133288 at 1 : 500 dilution (1.79 µg/ml). Heat mediated antigen retrieval was performed using Bond ™ Epitope Retrieval Solution 2 (pH 9.0). Rabbit specific IHC polymer detection kit HRP/DAB (ab209101) was used as the secondary antibody. Negative control : PBS instead of the primary antibody. Hematoxylin was used as a counterstain.
This data was developed using the same antibody clone in a different buffer formulation containing PBS, BSA, glycerol, and sodium azide (ab133288)

ChIC/CUT&RUN sequencing - Anti-EWSR1/EWS antibody [EPR4647] - BSA and Azide free (AB240055)
  • ChIC/CUT&RUN-seq

Lab

ChIC/CUT&RUN sequencing - Anti-EWSR1/EWS antibody [EPR4647] - BSA and Azide free (AB240055)

This data was developed using the same antibody clone in a different buffer formulation (ab133288).

ChIC/CUT&RUN was performed using a pAG-MNase at a final concentration of 700 ng/mL, 2.5 x 105 A-673 (human muscle Ewings sarcoma cell line) cells and 5 µg of ab133288 [EPR4647]. The resulting DNA was sequenced on the Illumina NovaSeq 6000 to a depth of 10 million reads. The negative IgG control ab172730 is also shown.

The University of Geneva owns patents relevant to ChIC (Chromatin Immuno-Cleavage) methods.

ChIC/CUT&RUN sequencing - Anti-EWSR1/EWS antibody [EPR4647] - BSA and Azide free (AB240055)
  • ChIC/CUT&RUN-seq

Lab

ChIC/CUT&RUN sequencing - Anti-EWSR1/EWS antibody [EPR4647] - BSA and Azide free (AB240055)

This data was developed using the same antibody clone in a different buffer formulation (ab133288).

ChIC/CUT&RUN was performed using a pAG-MNase at a final concentration of 700 ng/mL, 2.5 x 105 A-673 (human muscle Ewings sarcoma cell line) cells and 5 µg of ab133288 [EPR4647]. The resulting DNA was sequenced on the Illumina NovaSeq 6000 to a depth of 10 million reads. The negative IgG control ab172730 is also shown.

The University of Geneva owns patents relevant to ChIC (Chromatin Immuno-Cleavage) methods.

ChIC/CUT&RUN sequencing - Anti-EWSR1/EWS antibody [EPR4647] - BSA and Azide free (AB240055)
  • ChIC/CUT&RUN-seq

Lab

ChIC/CUT&RUN sequencing - Anti-EWSR1/EWS antibody [EPR4647] - BSA and Azide free (AB240055)

This data was developed using the same antibody clone in a different buffer formulation (ab133288).

ChIC/CUT&RUN was performed using a pAG-MNase at a final concentration of 700 ng/mL, 2.5 x 105 A-673 (human muscle Ewings sarcoma cell line) cells and 5 µg of ab133288 [EPR4647]. The resulting DNA was sequenced on the Illumina NovaSeq 6000 to a depth of 10 million reads. The negative IgG control ab172730 is also shown.

The University of Geneva owns patents relevant to ChIC (Chromatin Immuno-Cleavage) methods.

Key facts

Host species

Rabbit

Clonality

Monoclonal

Clone number

EPR4647

Isotype

IgG

Carrier free

Yes

Reacts with

Mouse, Rat, Human

Applications

ChIC/CUT&RUN-seq, IHC-P, WB, ICC/IF, Flow Cyt (Intra)

applications

Immunogen

The exact immunogen used to generate this antibody is proprietary information.

Reactivity data

{ "title": "Reactivity Data", "filters": { "stats": ["", "Species", "Dilution Info", "Notes"], "tabs": { "all-applications": {"fullname" : "All Applications", "shortname": "All Applications"}, "IHCP" : {"fullname" : "Immunohistochemistry (Formalin/PFA-fixed paraffin-embedded sections)", "shortname":"IHC-P"}, "IP" : {"fullname" : "Immunoprecipitation", "shortname":"IP"}, "WB" : {"fullname" : "Western blot", "shortname":"WB"}, "ICCIF" : {"fullname" : "Immunocytochemistry/ Immunofluorescence", "shortname":"ICC/IF"}, "FlowCytIntra" : {"fullname" : "Flow Cytometry (Intracellular)", "shortname":"Flow Cyt (Intra)"}, "ChICCUTRUNseq" : {"fullname" : "ChIC/CUT&RUN sequencing", "shortname":"ChIC/CUT&RUN-seq"} }, "product-promise": { "all": "all", "testedAndGuaranteed": "tested", "guaranteed": "expected", "predicted": "predicted", "notRecommended": "not-recommended" } }, "values": { "Human": { "IHCP-species-checked": "testedAndGuaranteed", "IHCP-species-dilution-info": "", "IHCP-species-notes": "<p></p>", "IP-species-checked": "notRecommended", "IP-species-dilution-info": "", "IP-species-notes": "<p></p>", "WB-species-checked": "testedAndGuaranteed", "WB-species-dilution-info": "", "WB-species-notes": "<p></p>", "ICCIF-species-checked": "testedAndGuaranteed", "ICCIF-species-dilution-info": "1/500", "ICCIF-species-notes": "<p></p>", "FlowCytIntra-species-checked": "testedAndGuaranteed", "FlowCytIntra-species-dilution-info": "", "FlowCytIntra-species-notes": "<p></p>", "ChICCUTRUNseq-species-checked": "testedAndGuaranteed", "ChICCUTRUNseq-species-dilution-info": "", "ChICCUTRUNseq-species-notes": "<p></p>" }, "Mouse": { "IHCP-species-checked": "testedAndGuaranteed", "IHCP-species-dilution-info": "", "IHCP-species-notes": "<p></p>", "IP-species-checked": "notRecommended", "IP-species-dilution-info": "", "IP-species-notes": "<p></p>", "WB-species-checked": "testedAndGuaranteed", "WB-species-dilution-info": "", "WB-species-notes": "<p></p>", "ICCIF-species-checked": "guaranteed", "ICCIF-species-dilution-info": "", "ICCIF-species-notes": "", "FlowCytIntra-species-checked": "guaranteed", "FlowCytIntra-species-dilution-info": "", "FlowCytIntra-species-notes": "", "ChICCUTRUNseq-species-checked": "guaranteed", "ChICCUTRUNseq-species-dilution-info": "", "ChICCUTRUNseq-species-notes": "" }, "Rat": { "IHCP-species-checked": "testedAndGuaranteed", "IHCP-species-dilution-info": "", "IHCP-species-notes": "<p></p>", "IP-species-checked": "notRecommended", "IP-species-dilution-info": "", "IP-species-notes": "<p></p>", "WB-species-checked": "guaranteed", "WB-species-dilution-info": "", "WB-species-notes": "", "ICCIF-species-checked": "guaranteed", "ICCIF-species-dilution-info": "", "ICCIF-species-notes": "", "FlowCytIntra-species-checked": "guaranteed", "FlowCytIntra-species-dilution-info": "", "FlowCytIntra-species-notes": "", "ChICCUTRUNseq-species-checked": "guaranteed", "ChICCUTRUNseq-species-dilution-info": "", "ChICCUTRUNseq-species-notes": "" } } }

Product details

ab240055 is the carrier-free version of ab133288.

Patented technology
Our RabMAb® technology is a patented hybridoma-based technology for making rabbit monoclonal antibodies. For details on our patents, please refer to RabMAb® patents.

What are the advantages of a recombinant monoclonal antibody?
This product is a recombinant monoclonal antibody, which offers several advantages including:

  • - High batch-to-batch consistency and reproducibility
  • - Improved sensitivity and specificity
  • - Long-term security of supply
  • - Animal-free batch production

For more information, read more on recombinant antibodies.

Conjugation ready
Our carrier-free antibodies are typically supplied in a PBS-only formulation, purified and free of BSA, sodium azide and glycerol. This conjugation-ready format is designed for use with fluorochromes, metal isotopes, oligonucleotides, and enzymes, which makes them ideal for antibody labelling, functional and cell-based assays, flow-based assays (e.g. mass cytometry) and Multiplex Imaging applications.

Use our conjugation kits for antibody conjugates that are ready-to-use in as little as 20 minutes with 1 minute hands-on-time and 100% antibody recovery: available for fluorescent dyes, HRP, biotin and gold.

Compatibility
This product is compatible with the Maxpar® Antibody Labeling Kit from Fluidigm, without the need for antibody preparation. Maxpar® is a trademark of Fluidigm Canada Inc.

Properties and storage information

Form
Liquid
Purification technique
Affinity purification Protein A
Storage buffer
pH: 7.2 - 7.4 Constituents: PBS
Shipped at conditions
Blue Ice
Appropriate short-term storage conditions
+4°C
Appropriate long-term storage conditions
+4°C
Storage information
Do Not Freeze

Supplementary information

This supplementary information is collated from multiple sources and compiled automatically.

The EWS protein also known as EWSR1 or 2'1b1' comes from the EWSR1 gene. It is a part of the TET family of proteins and has a molecular weight of about 68 kDa. EWS is expressed widely in human tissues with high levels in the brain gonads and skeletal muscle. The protein contains an RNA-binding domain and amino acid repeats which allow it to interact with other proteins and RNA molecules.
Biological function summary

The EWS protein plays roles in various cellular processes such as transcription and RNA splicing. It can participate in forming different protein complexes which influence its function. EWS serves as a cofactor for several transcription factors and it is important in regulating the expression of genes involved in cell cycle progression and differentiation. The protein’s interaction with RNA and other molecules highlights its multifunctional nature within cellular environments.

Pathways

EWS engages in pathways like the regulation of transcription and RNA processing. It closely associates with proteins involved in gene expression surveillance such as the RNA polymerase II which is significant for transcription activities. EWS partners with proteins such as FUS and TAF15 which are essential parts of transcription regulation networks. These interactions place EWS in a central role in cellular regulatory machinery.

EWS is notably linked to Ewing sarcoma and neurodegenerative diseases. In Ewing sarcoma EWS forms fusion proteins like EWS-FLI1 by translocation events which lead to tumor formation. This fusion protein acts abnormally in transcription regulation driving oncogenic pathways. EWS's interaction with proteins like FUS and TAF15 also relate it to certain neurodegenerative conditions indicating its importance in both cancer and neurobiology.

Product protocols

For this product, it's our understanding that no specific protocols are required. You can visit:

Target data

Might normally function as a transcriptional repressor. EWS-fusion-proteins (EFPS) may play a role in the tumorigenic process. They may disturb gene expression by mimicking, or interfering with the normal function of CTD-POLII within the transcription initiation complex. They may also contribute to an aberrant activation of the fusion protein target genes.
See full target information EWSR1

Publications (1)

Recent publications for all applications. Explore the full list and refine your search

Frontiers in molecular biosciences 9:1055356 PubMed36518851

2022

The copper transporter CTR1 and cisplatin accumulation at the single-cell level by LA-ICP-TOFMS.

Applications

Unspecified application

Species

Unspecified reactive species

Anna Schoeberl,Michael Gutmann,Sarah Theiner,Mario Corte-Rodríguez,Gabriel Braun,Petra Vician,Walter Berger,Gunda Koellensperger
View all publications

Product promise

We are committed to supporting your work with high-quality reagents, and we're here for you every step of the way. In the unlikely event that one of our products does not perform as expected, you're protected by our Product Promise.
For full details, please see our Terms & Conditions

Please note: All products are 'FOR RESEARCH USE ONLY. NOT FOR USE IN DIAGNOSTIC OR THERAPEUTIC PROCEDURES'.

For licensing inquiries, please contact partnerships@abcam.com