JavaScript is disabled in your browser. Please enable JavaScript to view this website.
AB264343

Anti-EXOSC10/RRP6 antibody

Be the first to review this product! Submit a review

|

(1 Publication)

Rabbit Polyclonal EXOSC10/RRP6 antibody. Suitable for IP, WB, IHC-P and reacts with Human samples. Cited in 1 publication. Immunogen corresponding to Synthetic Peptide within Human EXOSC10 aa 750-800.

View Alternative Names

PMSCL, PMSCL2, RRP6, EXOSC10, Exosome complex component 10, Autoantigen PM/Scl 2, P100 polymyositis-scleroderma overlap syndrome-associated autoantigen, Polymyositis/scleroderma autoantigen 100 kDa, Polymyositis/scleroderma autoantigen 2, PM/Scl-100

3 Images
Western blot - Anti-EXOSC10/RRP6 antibody (AB264343)
  • WB

Unknown

Western blot - Anti-EXOSC10/RRP6 antibody (AB264343)

All lanes:

Western blot - Anti-EXOSC10/RRP6 antibody (ab264343) at 0.1 µg/mL

Lane 1:

HeLa (human epithelial cell line from cervix adenocarcinoma) whole cell lysate at 50 µg

Lane 2:

HEK-293T (human epithelial cell line from embryonic kidney transformed with large T antigen) whole cell lysate at 50 µg

Lane 3:

Jurkat (human T cell leukemia cell line from peripheral blood) whole cell lysate at 50 µg

Predicted band size: 100 kDa

true

Exposure time: 30s

Immunoprecipitation - Anti-EXOSC10/RRP6 antibody (AB264343)
  • IP

Supplier Data

Immunoprecipitation - Anti-EXOSC10/RRP6 antibody (AB264343)

EXOSC10/RRP6 was immunoprecipitated from HeLa (human epithelial cell line from cervix adenocarcinoma) whole cell lysate (1.0 mg per IP reaction; 20% of IP loaded) using ab264343 at 6 μg per reaction. Western blot was performed on the immunoprecipitates using ab264343 at 1 μg/ml.

Lane 1 : ab264343 IP in HeLa whole cell lysate.

Lane 2 : Control IgG IP in Hela whole cell lysate.

Detection : Chemiluminescence with an exposure time of 30 seconds.

All lanes:

Immunoprecipitation - Anti-EXOSC10/RRP6 antibody (ab264343)

Predicted band size: 100 kDa

false

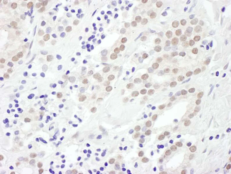
Immunohistochemistry (Formalin/PFA-fixed paraffin-embedded sections) - Anti-EXOSC10/RRP6 antibody (AB264343)
  • IHC-P

Unknown

Immunohistochemistry (Formalin/PFA-fixed paraffin-embedded sections) - Anti-EXOSC10/RRP6 antibody (AB264343)

Formalin-fixed, paraffin-embedded human breast carcinoma tissue stained for EXOSC10/RRP6 using ab264343 at 1/1000 dilution in immunohistochemical analysis. DAB staining.

Epitope retrieval with citrate buffer pH 6.0 is recommended for FFPE tissue sections.

Key facts

Host species

Rabbit

Clonality

Polyclonal

Isotype

IgG

Carrier free

No

Reacts with

Human

Applications

WB, IP, IHC-P

applications

Immunogen

Synthetic Peptide within Human EXOSC10 aa 750-800. The exact immunogen used to generate this antibody is proprietary information.

Q01780

Reactivity data

{ "title": "Reactivity Data", "filters": { "stats": ["", "Species", "Dilution Info", "Notes"], "tabs": { "all-applications": {"fullname" : "All Applications", "shortname": "All Applications"}, "IP" : {"fullname" : "Immunoprecipitation", "shortname":"IP"}, "WB" : {"fullname" : "Western blot", "shortname":"WB"}, "IHCP" : {"fullname" : "Immunohistochemistry (Formalin/PFA-fixed paraffin-embedded sections)", "shortname":"IHC-P"} }, "product-promise": { "all": "all", "testedAndGuaranteed": "tested", "guaranteed": "expected", "predicted": "predicted", "notRecommended": "not-recommended" } }, "values": { "Human": { "IP-species-checked": "testedAndGuaranteed", "IP-species-dilution-info": "2-10 µg/mg of lysate", "IP-species-notes": "<p></p>", "WB-species-checked": "testedAndGuaranteed", "WB-species-dilution-info": "1/2000 - 1/10000", "WB-species-notes": "<p></p>", "IHCP-species-checked": "testedAndGuaranteed", "IHCP-species-dilution-info": "1/500 - 1/2000", "IHCP-species-notes": "<p>Epitope retrieval with citrate buffer pH 6.0 is recommended for FFPE tissue sections.</p>" } } }

Properties and storage information

Form
Liquid
Purification technique
Affinity purification Immunogen
Storage buffer
pH: 7 - 8 Preservative: 0.09% Sodium azide Constituents: Tris citrate/phosphate
Shipped at conditions
Blue Ice
Appropriate short-term storage duration
1-2 weeks
Appropriate short-term storage conditions
+4°C
Appropriate long-term storage conditions
-20°C
Aliquoting information
Upon delivery aliquot
Storage information
Avoid freeze / thaw cycle

Supplementary information

This supplementary information is collated from multiple sources and compiled automatically.

EXOSC10 also known as RRP6 is an important component of the RNA exosome complex which plays a role in RNA processing and degradation. This protein is approximately 97 kDa in mass. It is localized mainly in the nucleus with a high expression level in nucleoli. The EXOSC10 protein contributes to the catalytic core of the exosome allowing it to perform 3’ to 5’ exonuclease activity on a variety of RNA substrates.
Biological function summary

Beyond its activity as an exonuclease EXOSC10 participates in the degradation of aberrant RNA molecules and the maturation of stable RNA species like rRNA. As a member of the RNA exosome complex it functions alongside other core exosome components to maintain RNA homeostasis. This assembly is essential for the surveillance and decay of faulty RNA regulatory RNA and the normal turnover of cellular RNA. The process ensures fidelity in gene expression and the prevention of toxic RNA accumulation.

Pathways

EXOSC10 plays a significant role in RNA processing pathways that involve RNA surveillance and degradation mechanisms. It acts in coordination with other proteins such as DIS3 and EXOSC5 in these pathways to ensure the correct maturation and quality control of RNA. The RNA exosome including EXOSC10 intersects with the nonsense-mediated decay pathway a cellular mechanism that identifies and degrades mRNAs containing premature stop codons therefore preventing potential truncated protein production.

Defects in EXOSC10 have been linked to diseases such as various forms of cancer and autoimmunity. The malfunction of EXOSC10 can disrupt RNA processing and degradation leading to the accumulation of defective RNAs and misregulated gene expression contributing to oncogenesis. In autoimmune conditions abnormal RNA processing by EXOSC10 may lead to altered immune responses. Associations with RPL5 and other ribosomal proteins have also been noted in the context of these disorders highlighting the importance of EXOSC10 in maintaining cellular RNA balance and integrity.

Product protocols

For this product, it's our understanding that no specific protocols are required. You can visit:

Target data

Catalytic component of the RNA exosome complex which has 3'->5' exoribonuclease activity and participates in a multitude of cellular RNA processing and degradation events. In the nucleus, the RNA exosome complex is involved in proper maturation of stable RNA species such as rRNA, snRNA and snoRNA, in the elimination of RNA processing by-products and non-coding 'pervasive' transcripts, such as antisense RNA species and promoter-upstream transcripts (PROMPTs), and of mRNAs with processing defects, thereby limiting or excluding their export to the cytoplasm. Part of the small subunit (SSU) processome, first precursor of the small eukaryotic ribosomal subunit. During the assembly of the SSU processome in the nucleolus, many ribosome biogenesis factors, an RNA chaperone and ribosomal proteins associate with the nascent pre-rRNA and work in concert to generate RNA folding, modifications, rearrangements and cleavage as well as targeted degradation of pre-ribosomal RNA by the RNA exosome (PubMed : 34516797). The RNA exosome may be involved in Ig class switch recombination (CSR) and/or Ig variable region somatic hypermutation (SHM) by targeting AICDA deamination activity to transcribed dsDNA substrates. In the cytoplasm, the RNA exosome complex is involved in general mRNA turnover and specifically degrades inherently unstable mRNAs containing AU-rich elements (AREs) within their 3' untranslated regions, and in RNA surveillance pathways, preventing translation of aberrant mRNAs. It seems to be involved in degradation of histone mRNA. EXOSC10 is required for nucleolar localization of C1D and probably mediates the association of MTREX, C1D and MPHOSPH6 with the RNA exosome involved in the maturation of 5.8S rRNA. Plays a role in the recruitment of replication protein A complex (RPA) and RAD51 to DNA double-strand breaks caused by irradiation, contributing to DNA repair by homologous recombination (PubMed : 25632158, PubMed : 31086179). Regulates levels of damage-induced RNAs in order to prevent DNA-RNA hybrid formation at DNA double-strand breaks and limit DNA end resection after damage (PubMed : 31086179). Plays a role in oocyte development, maturation and survival (By similarity). Required for normal testis development and mitotic division of spermatogonia (By similarity). Plays a role in proper embryo development (By similarity). Required for global protein translation (PubMed : 26857222, PubMed : 36912080). Required for cell proliferation (PubMed : 36912080). Regulates metabolism of C9orf72-derived repeat RNA that can be translated into toxic dipeptide repeat proteins (PubMed : 32830871).
See full target information EXOSC10

Publications (1)

Recent publications for all applications. Explore the full list and refine your search

Cell reports 38:110349 PubMed35139382

2022

PD-L1 promotes myofibroblastic activation of hepatic stellate cells by distinct mechanisms selective for TGF-β receptor I versus II.

Applications

Unspecified application

Species

Unspecified reactive species

Liankang Sun,Yuanguo Wang,Xianghu Wang,Amaia Navarro-Corcuera,Sumera Ilyas,Nidhi Jalan-Sakrikar,Can Gan,Xinyi Tu,Yu Shi,Kangsheng Tu,Qingguang Liu,Zhenkun Lou,Haidong Dong,Arlene H Sharpe,Vijay H Shah,Ningling Kang
View all publications

Product promise

We are committed to supporting your work with high-quality reagents, and we're here for you every step of the way. In the unlikely event that one of our products does not perform as expected, you're protected by our Product Promise.
For full details, please see our Terms & Conditions

Associated Products

Select an associated product type
Alternative Product
Primary Antibodies

AB154239

Anti-EXOSC10/RRP6 antibody

primary-antibodies

exosc10-rrp6-antibody-ab154239

0

(0 reviews)

Alternative Product
Primary Antibodies

AB94981

Anti-EXOSC10/RRP6 antibody

primary-antibodies

exosc10-rrp6-antibody-ab94981

0

(0 reviews)

Alternative Product
Primary Antibodies

AB50558

Anti-EXOSC10/RRP6 antibody

primary-antibodies

exosc10-rrp6-antibody-ab50558

5

(2 reviews)

Please note: All products are 'FOR RESEARCH USE ONLY. NOT FOR USE IN DIAGNOSTIC OR THERAPEUTIC PROCEDURES'.

For licensing inquiries, please contact partnerships@abcam.com