JavaScript is disabled in your browser. Please enable JavaScript to view this website.
AB319993

Anti-EXOSC10/RRP6 antibody [EPR28902-62] - BSA and Azide free

Be the first to review this product! Submit a review

|

(0 Publication)

Rabbit Recombinant Monoclonal EXOSC10/RRP6 antibody. Carrier free. Suitable for IHC-P, WB, ICC/IF and reacts with Mouse, Rat, Human samples.

View Alternative Names

PMSCL, PMSCL2, RRP6, EXOSC10, Exosome complex component 10, Autoantigen PM/Scl 2, P100 polymyositis-scleroderma overlap syndrome-associated autoantigen, Polymyositis/scleroderma autoantigen 100 kDa, Polymyositis/scleroderma autoantigen 2, PM/Scl-100

9 Images
Immunocytochemistry/ Immunofluorescence - Anti-EXOSC10/RRP6 antibody [EPR28902-62] - BSA and Azide free (AB319993)
  • ICC/IF

Supplier Data

Immunocytochemistry/ Immunofluorescence - Anti-EXOSC10/RRP6 antibody [EPR28902-62] - BSA and Azide free (AB319993)

This data was developed using ab319992, the same antibody clone in a different buffer formulation.

Immunofluorescent analysis of 4% Paraformaldehyde-fixed, 0.1% TritonX-100 permeabilized HeLa (human cervical adenocarcinoma epithelial cell) cells labelling EXOSC10/RRP6 with ab319992 at 1/100 (5.18 ug/ml) dilution, followed by ab150081 Goat Anti-Rabbit IgG H&L (Alexa Fluor® 488) preadsorbed antibody at 1/1000 2 ug/ml dilution (Green).

Confocal image showing nuclear staining in Hela cell line (shown in green). The counterstain was observed in magenta. Nuclear DNA was labelled with DAPI (shown in blue). Image was taken with a confocal microscope (Leica-Microsystems, TCS SP8).

ab195889 Anti-alpha Tubulin mouse monoclonal antibody - Microtubule Marker (Alexa Fluor® 594) was used to counterstain tubulin at 1/200 2.5ug/ml dilution (Magenta). The Nuclear counterstain was DAPI (Blue).

Secondary antibody only control : Secondary antibody is ab150081 Goat Anti-Rabbit IgG H&L (Alexa Fluor® 488) preadsorbed at 1/1000 2 ug/ml dilution.

Immunocytochemistry/ Immunofluorescence - Anti-EXOSC10/RRP6 antibody [EPR28902-62] - BSA and Azide free (AB319993)
  • ICC/IF

Supplier Data

Immunocytochemistry/ Immunofluorescence - Anti-EXOSC10/RRP6 antibody [EPR28902-62] - BSA and Azide free (AB319993)

This data was developed using ab319992, the same antibody clone in a different buffer formulation.

Immunofluorescent analysis of 4% Paraformaldehyde-fixed, 0.1% TritonX-100 permeabilized McA-RH7777 (rat liver epithelial cell) cells labelling EXOSC10/RRP6 with ab319992 at 1/100 (5.18 ug/ml) dilution, followed by ab150081 Goat Anti-Rabbit IgG H&L (Alexa Fluor® 488) preadsorbed antibody at 1/1000 2 ug/ml dilution (Green).

Confocal image showing nuclear staining in McA-RH7777 cell line (shown in green). The counterstain was observed in magenta. Nuclear DNA was labelled with DAPI (shown in blue). Image was taken with a confocal microscope (Leica-Microsystems, TCS SP8).

ab195889 Anti-alpha Tubulin mouse monoclonal antibody - Microtubule Marker (Alexa Fluor® 594) was used to counterstain tubulin at 1/200 2.5ug/ml dilution (Magenta). The Nuclear counterstain was DAPI (Blue).

Secondary antibody only control : Secondary antibody is ab150081 Goat Anti-Rabbit IgG H&L (Alexa Fluor® 488) preadsorbed at 1/1000 2 ug/ml dilution.

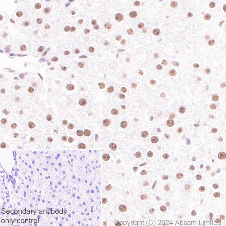
Immunohistochemistry (Formalin/PFA-fixed paraffin-embedded sections) - Anti-EXOSC10/RRP6 antibody [EPR28902-62] - BSA and Azide free (AB319993)
  • IHC-P

Supplier Data

Immunohistochemistry (Formalin/PFA-fixed paraffin-embedded sections) - Anti-EXOSC10/RRP6 antibody [EPR28902-62] - BSA and Azide free (AB319993)

This data was developed using ab319992, the same antibody clone in a different buffer formulation.

Immunohistochemical analysis of paraffin-embedded Rat liver tissue labeling EXOSC10/RRP6 with ab319992 at 1/1000 (0.518 ug/ml) dilution, followed by a ready to use LeicaDS9800 (Bond™ Polymer Refine Detection).

Positive staining in rat liver.
The section was incubated with ab319992 for 30 mins at room temperature.
The immunostaining was performed on a Leica Biosystems BOND® RX instrument

Counterstained with Hematoxylin.

Secondary antibody only control : Secondary antibody is a ready to use LeicaDS9800 (Bond™ Polymer Refine Detection).

Heat mediated antigen retrieval was performed with Tris-EDTA buffer (pH 9.0, Epitope Retrieval Solution2) for 20 mins

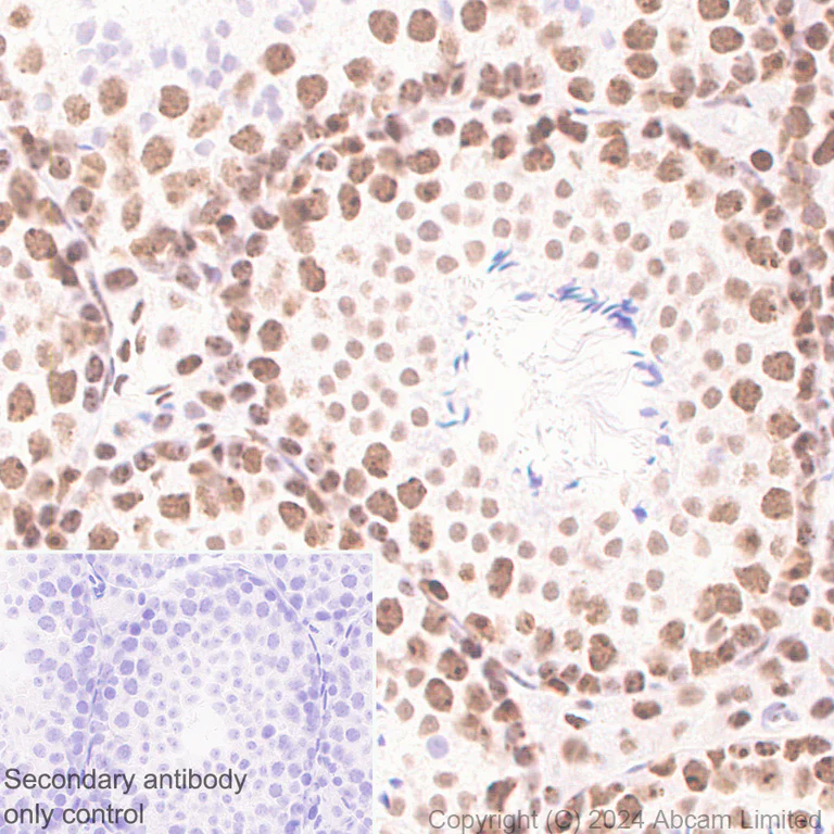
Immunohistochemistry (Formalin/PFA-fixed paraffin-embedded sections) - Anti-EXOSC10/RRP6 antibody [EPR28902-62] - BSA and Azide free (AB319993)
  • IHC-P

Supplier Data

Immunohistochemistry (Formalin/PFA-fixed paraffin-embedded sections) - Anti-EXOSC10/RRP6 antibody [EPR28902-62] - BSA and Azide free (AB319993)

This data was developed using ab319992, the same antibody clone in a different buffer formulation.

Immunohistochemical analysis of paraffin-embedded Mouse testis tissue labeling EXOSC10/RRP6 with ab319992 at 1/1000 (0.518 ug/ml) dilution, followed by a ready to use LeicaDS9800 (Bond™ Polymer Refine Detection).

Positive staining in mouse testis.
The section was incubated with ab319992 for 30 mins at room temperature.
The immunostaining was performed on a Leica Biosystems BOND® RX instrument

Counterstained with Hematoxylin.

Secondary antibody only control : Secondary antibody is a ready to use LeicaDS9800 (Bond™ Polymer Refine Detection).

Heat mediated antigen retrieval was performed with Tris-EDTA buffer (pH 9.0, Epitope Retrieval Solution2) for 20 mins

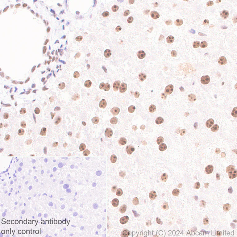
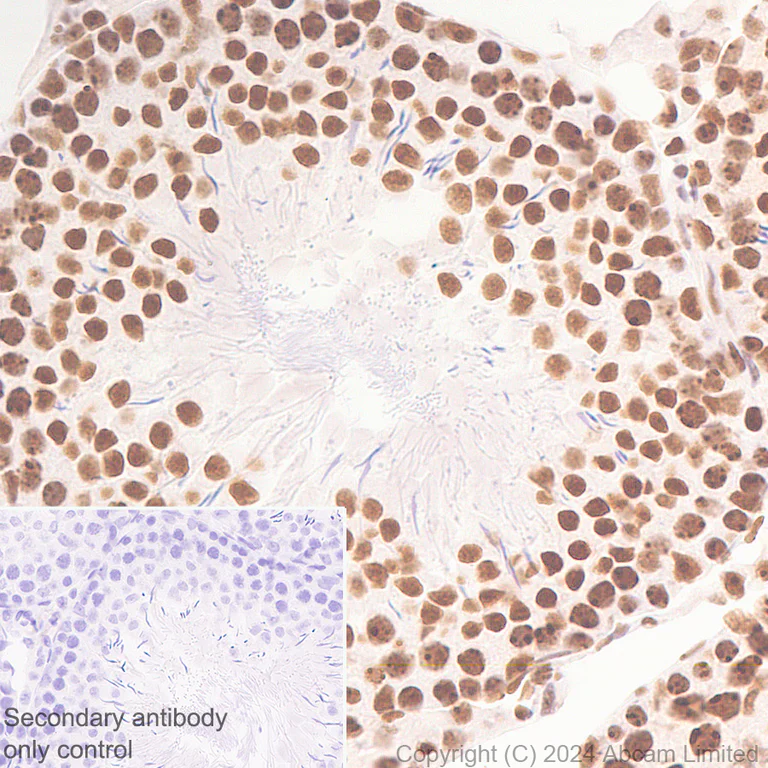
Immunohistochemistry (Formalin/PFA-fixed paraffin-embedded sections) - Anti-EXOSC10/RRP6 antibody [EPR28902-62] - BSA and Azide free (AB319993)
  • IHC-P

Supplier Data

Immunohistochemistry (Formalin/PFA-fixed paraffin-embedded sections) - Anti-EXOSC10/RRP6 antibody [EPR28902-62] - BSA and Azide free (AB319993)

This data was developed using ab319992, the same antibody clone in a different buffer formulation.

Immunohistochemical analysis of paraffin-embedded Rat testis tissue labeling EXOSC10/RRP6 with ab319992 at 1/1000 (0.518 ug/ml) dilution, followed by a ready to use LeicaDS9800 (Bond™ Polymer Refine Detection).

Positive staining in rat testis.
The section was incubated with ab319992 for 30 mins at room temperature.
The immunostaining was performed on a Leica Biosystems BOND® RX instrument

Counterstained with Hematoxylin.

Secondary antibody only control : Secondary antibody is a ready to use LeicaDS9800 (Bond™ Polymer Refine Detection).

Heat mediated antigen retrieval was performed with Tris-EDTA buffer (pH 9.0, Epitope Retrieval Solution2) for 20 mins

Immunocytochemistry/ Immunofluorescence - Anti-EXOSC10/RRP6 antibody [EPR28902-62] - BSA and Azide free (AB319993)
  • ICC/IF

Supplier Data

Immunocytochemistry/ Immunofluorescence - Anti-EXOSC10/RRP6 antibody [EPR28902-62] - BSA and Azide free (AB319993)

This data was developed using ab319992, the same antibody clone in a different buffer formulation.

Immunofluorescent analysis of 4% Paraformaldehyde-fixed, 0.1% TritonX-100 permeabilized WEHI-231 (mouse B cell lymphoma B lymphocyte) cells labelling EXOSC10/RRP6 with ab319992 at 1/100 (5.18 ug/ml) dilution, followed by ab150081 Goat Anti-Rabbit IgG H&L (Alexa Fluor® 488) preadsorbed antibody at 1/1000 2 ug/ml dilution (Green).

Confocal image showing nuclear staining in WEHI-231 cell line (shown in green). The counterstain was observed in magenta. Nuclear DNA was labelled with DAPI (shown in blue). Image was taken with a confocal microscope (Leica-Microsystems, TCS SP8).

ab195889 Anti-alpha Tubulin mouse monoclonal antibody - Microtubule Marker (Alexa Fluor® 594) was used to counterstain tubulin at 1/200 2.5ug/ml dilution (Magenta). The Nuclear counterstain was DAPI (Blue).

Secondary antibody only control : Secondary antibody is ab150081 Goat Anti-Rabbit IgG H&L (Alexa Fluor® 488) preadsorbed at 1/1000 2 ug/ml dilution.

Immunohistochemistry (Formalin/PFA-fixed paraffin-embedded sections) - Anti-EXOSC10/RRP6 antibody [EPR28902-62] - BSA and Azide free (AB319993)
  • IHC-P

Supplier Data

Immunohistochemistry (Formalin/PFA-fixed paraffin-embedded sections) - Anti-EXOSC10/RRP6 antibody [EPR28902-62] - BSA and Azide free (AB319993)

This data was developed using ab319992, the same antibody clone in a different buffer formulation.

Immunohistochemical analysis of paraffin-embedded Mouse liver tissue labeling EXOSC10/RRP6 with ab319992 at 1/1000 (0.518 ug/ml) dilution, followed by a ready to use LeicaDS9800 (Bond™ Polymer Refine Detection).

Positive staining in mouse liver.
The section was incubated with ab319992 for 30 mins at room temperature.
The immunostaining was performed on a Leica Biosystems BOND® RX instrument

Counterstained with Hematoxylin.

Secondary antibody only control : Secondary antibody is a ready to use LeicaDS9800 (Bond™ Polymer Refine Detection).

Heat mediated antigen retrieval was performed with Tris-EDTA buffer (pH 9.0, Epitope Retrieval Solution2) for 20 mins

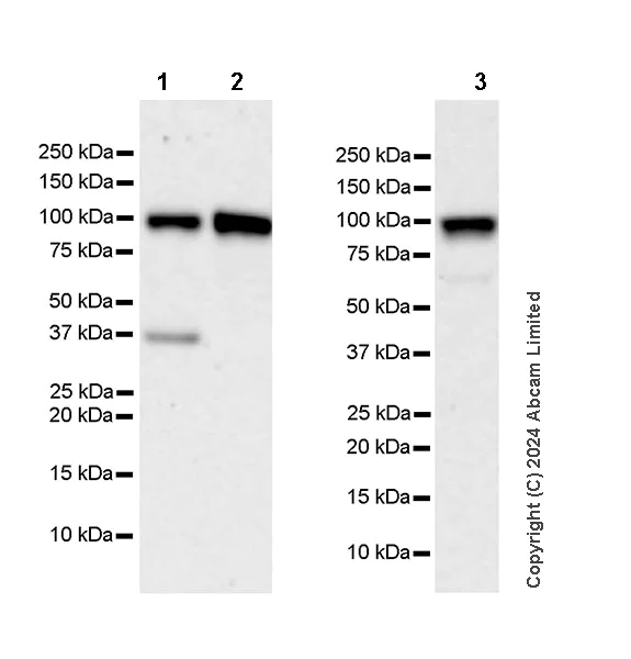
Western blot - Anti-EXOSC10/RRP6 antibody [EPR28902-62] - BSA and Azide free (AB319993)
  • WB

Supplier Data

Western blot - Anti-EXOSC10/RRP6 antibody [EPR28902-62] - BSA and Azide free (AB319993)

This data was developed using ab319992, the same antibody clone in a different buffer formulation.

Blocking and diluting buffer and concentration : 5% NFDM/TBST.

In Western blot, Anti-GAPDH antibody [EPR16891] - Loading Control (ab181602) staining at 1/200000 dilution.

All lanes:

Western blot - Anti-EXOSC10/RRP6 antibody [EPR28902-62] (<a href='/en-us/products/primary-antibodies/exosc10-rrp6-antibody-epr28902-62-ab319992'>ab319992</a>) at 1/1000 dilution

Lane 1:

HeLa (human cervical adenocarcinoma epithelial cell) transfected with scrambled siRNA control whole cell lysate at 20 µg

Lane 2:

Hela transfected with siRNA specifically targeting EXOSC10/RRP6 whole cell lysate at 20 µg

Secondary

All lanes:

Western blot - Goat Anti-Rabbit IgG H&L (HRP) (<a href='/en-us/products/secondary-antibodies/goat-rabbit-igg-h-l-hrp-ab97051'>ab97051</a>) at 1/100000 dilution

Observed band size: 100 kDa,36 kDa

false

Exposure time: 48s

Western blot - Anti-EXOSC10/RRP6 antibody [EPR28902-62] - BSA and Azide free (AB319993)
  • WB

Supplier Data

Western blot - Anti-EXOSC10/RRP6 antibody [EPR28902-62] - BSA and Azide free (AB319993)

This data was developed using ab319992, the same antibody clone in a different buffer formulation.

Blocking and diluting buffer and concentration : 5% NFDM/TBST.

The lanes 1-2 were developed using a high sensitivity ECL substrate.

The high-sensitivity ECL substrate allows for the detection of proteins in the mid-femtogram range.

The identity of the lower MW band at approximately 37 kDa in lane 1 is unknown.

Lysates were freshly made and used for Western blotting immediately to minimize protein degradation.

All lanes:

Western blot - Anti-EXOSC10/RRP6 antibody [EPR28902-62] (<a href='/en-us/products/primary-antibodies/exosc10-rrp6-antibody-epr28902-62-ab319992'>ab319992</a>) at 1/1000 dilution

Lane 1:

Mouse liver tissue lysate at 20 µg

Lane 2:

Mouse testis tissue lysate at 20 µg

Lane 3:

Rat testis tissue lysate at 20 µg

Secondary

All lanes:

Western blot - Goat Anti-Rabbit IgG H&L (HRP) (<a href='/en-us/products/secondary-antibodies/goat-rabbit-igg-h-l-hrp-ab97051'>ab97051</a>) at 1/100000 dilution

Observed band size: 100 kDa

false

Exposure time: 180s

Key facts

Host species

Rabbit

Clonality

Monoclonal

Clone number

EPR28902-62

Isotype

IgG

Carrier free

Yes

Reacts with

Mouse, Rat, Human

Applications

WB, IHC-P, ICC/IF

applications

Immunogen

The exact immunogen used to generate this antibody is proprietary information.

Reactivity data

{ "title": "Reactivity Data", "filters": { "stats": ["", "Species", "Dilution Info", "Notes"], "tabs": { "all-applications": {"fullname" : "All Applications", "shortname": "All Applications"}, "IHCP" : {"fullname" : "Immunohistochemistry (Formalin/PFA-fixed paraffin-embedded sections)", "shortname":"IHC-P"}, "WB" : {"fullname" : "Western blot", "shortname":"WB"}, "ICCIF" : {"fullname" : "Immunocytochemistry/ Immunofluorescence", "shortname":"ICC/IF"}, "IP" : {"fullname" : "Immunoprecipitation", "shortname":"IP"} }, "product-promise": { "all": "all", "testedAndGuaranteed": "tested", "guaranteed": "expected", "predicted": "predicted", "notRecommended": "not-recommended" } }, "values": { "Human": { "IHCP-species-checked": "guaranteed", "IHCP-species-dilution-info": "", "IHCP-species-notes": "", "WB-species-checked": "testedAndGuaranteed", "WB-species-dilution-info": "", "WB-species-notes": "<p></p>", "ICCIF-species-checked": "testedAndGuaranteed", "ICCIF-species-dilution-info": "", "ICCIF-species-notes": "<p></p>", "IP-species-checked": "notRecommended", "IP-species-dilution-info": "", "IP-species-notes": "<p></p>" }, "Mouse": { "IHCP-species-checked": "testedAndGuaranteed", "IHCP-species-dilution-info": "", "IHCP-species-notes": "<p></p> Perform heat-mediated antigen retrieval with Tris/EDTA buffer pH 9.0 before commencing with IHC staining protocol.", "WB-species-checked": "testedAndGuaranteed", "WB-species-dilution-info": "", "WB-species-notes": "<p></p>", "ICCIF-species-checked": "testedAndGuaranteed", "ICCIF-species-dilution-info": "", "ICCIF-species-notes": "<p></p>", "IP-species-checked": "notRecommended", "IP-species-dilution-info": "", "IP-species-notes": "<p></p>" }, "Rat": { "IHCP-species-checked": "testedAndGuaranteed", "IHCP-species-dilution-info": "", "IHCP-species-notes": "<p></p> Perform heat-mediated antigen retrieval with Tris/EDTA buffer pH 9.0 before commencing with IHC staining protocol.", "WB-species-checked": "testedAndGuaranteed", "WB-species-dilution-info": "", "WB-species-notes": "<p></p>", "ICCIF-species-checked": "testedAndGuaranteed", "ICCIF-species-dilution-info": "", "ICCIF-species-notes": "<p></p>", "IP-species-checked": "notRecommended", "IP-species-dilution-info": "", "IP-species-notes": "<p></p>" } } }

Product details

ab319993 is the carrier-free version of ab319992.

Patented technology
Our RabMAb® technology is a patented hybridoma-based technology for making rabbit monoclonal antibodies. For details on our patents, please refer to RabMAb® patents.

What are the advantages of a recombinant monoclonal antibody?
This product is a recombinant monoclonal antibody, which offers several advantages including:

  • - High batch-to-batch consistency and reproducibility
  • - Improved sensitivity and specificity
  • - Long-term security of supply
  • - Animal-free batch production

For more information, read more on recombinant antibodies.

Conjugation ready
Our carrier-free antibodies are typically supplied in a PBS-only formulation, purified and free of BSA, sodium azide and glycerol. This conjugation-ready format is designed for use with fluorochromes, metal isotopes, oligonucleotides, and enzymes, which makes them ideal for antibody labelling, functional and cell-based assays, flow-based assays (e.g. mass cytometry) and Multiplex Imaging applications.

Use our conjugation kits for antibody conjugates that are ready-to-use in as little as 20 minutes with 1 minute hands-on-time and 100% antibody recovery: available for fluorescent dyes, HRP, biotin and gold.

Compatibility
This product is compatible with the Maxpar® Antibody Labeling Kit from Fluidigm, without the need for antibody preparation. Maxpar® is a trademark of Fluidigm Canada Inc.

Properties and storage information

Form
Liquid
Purification technique
Affinity purification Protein A
Storage buffer
pH: 7.2 - 7.4 Constituents: PBS
Shipped at conditions
Blue Ice
Appropriate short-term storage conditions
+4°C
Appropriate long-term storage conditions
+4°C

Supplementary information

This supplementary information is collated from multiple sources and compiled automatically.

EXOSC10 also known as RRP6 is an important component of the RNA exosome complex which plays a role in RNA processing and degradation. This protein is approximately 97 kDa in mass. It is localized mainly in the nucleus with a high expression level in nucleoli. The EXOSC10 protein contributes to the catalytic core of the exosome allowing it to perform 3’ to 5’ exonuclease activity on a variety of RNA substrates.
Biological function summary

Beyond its activity as an exonuclease EXOSC10 participates in the degradation of aberrant RNA molecules and the maturation of stable RNA species like rRNA. As a member of the RNA exosome complex it functions alongside other core exosome components to maintain RNA homeostasis. This assembly is essential for the surveillance and decay of faulty RNA regulatory RNA and the normal turnover of cellular RNA. The process ensures fidelity in gene expression and the prevention of toxic RNA accumulation.

Pathways

EXOSC10 plays a significant role in RNA processing pathways that involve RNA surveillance and degradation mechanisms. It acts in coordination with other proteins such as DIS3 and EXOSC5 in these pathways to ensure the correct maturation and quality control of RNA. The RNA exosome including EXOSC10 intersects with the nonsense-mediated decay pathway a cellular mechanism that identifies and degrades mRNAs containing premature stop codons therefore preventing potential truncated protein production.

Defects in EXOSC10 have been linked to diseases such as various forms of cancer and autoimmunity. The malfunction of EXOSC10 can disrupt RNA processing and degradation leading to the accumulation of defective RNAs and misregulated gene expression contributing to oncogenesis. In autoimmune conditions abnormal RNA processing by EXOSC10 may lead to altered immune responses. Associations with RPL5 and other ribosomal proteins have also been noted in the context of these disorders highlighting the importance of EXOSC10 in maintaining cellular RNA balance and integrity.

Product protocols

For this product, it's our understanding that no specific protocols are required. You can visit:

Target data

Catalytic component of the RNA exosome complex which has 3'->5' exoribonuclease activity and participates in a multitude of cellular RNA processing and degradation events. In the nucleus, the RNA exosome complex is involved in proper maturation of stable RNA species such as rRNA, snRNA and snoRNA, in the elimination of RNA processing by-products and non-coding 'pervasive' transcripts, such as antisense RNA species and promoter-upstream transcripts (PROMPTs), and of mRNAs with processing defects, thereby limiting or excluding their export to the cytoplasm. Part of the small subunit (SSU) processome, first precursor of the small eukaryotic ribosomal subunit. During the assembly of the SSU processome in the nucleolus, many ribosome biogenesis factors, an RNA chaperone and ribosomal proteins associate with the nascent pre-rRNA and work in concert to generate RNA folding, modifications, rearrangements and cleavage as well as targeted degradation of pre-ribosomal RNA by the RNA exosome (PubMed : 34516797). The RNA exosome may be involved in Ig class switch recombination (CSR) and/or Ig variable region somatic hypermutation (SHM) by targeting AICDA deamination activity to transcribed dsDNA substrates. In the cytoplasm, the RNA exosome complex is involved in general mRNA turnover and specifically degrades inherently unstable mRNAs containing AU-rich elements (AREs) within their 3' untranslated regions, and in RNA surveillance pathways, preventing translation of aberrant mRNAs. It seems to be involved in degradation of histone mRNA. EXOSC10 is required for nucleolar localization of C1D and probably mediates the association of MTREX, C1D and MPHOSPH6 with the RNA exosome involved in the maturation of 5.8S rRNA. Plays a role in the recruitment of replication protein A complex (RPA) and RAD51 to DNA double-strand breaks caused by irradiation, contributing to DNA repair by homologous recombination (PubMed : 25632158, PubMed : 31086179). Regulates levels of damage-induced RNAs in order to prevent DNA-RNA hybrid formation at DNA double-strand breaks and limit DNA end resection after damage (PubMed : 31086179). Plays a role in oocyte development, maturation and survival (By similarity). Required for normal testis development and mitotic division of spermatogonia (By similarity). Plays a role in proper embryo development (By similarity). Required for global protein translation (PubMed : 26857222, PubMed : 36912080). Required for cell proliferation (PubMed : 36912080). Regulates metabolism of C9orf72-derived repeat RNA that can be translated into toxic dipeptide repeat proteins (PubMed : 32830871).
See full target information EXOSC10

Product promise

We are committed to supporting your work with high-quality reagents, and we're here for you every step of the way. In the unlikely event that one of our products does not perform as expected, you're protected by our Product Promise.
For full details, please see our Terms & Conditions

Please note: All products are 'FOR RESEARCH USE ONLY. NOT FOR USE IN DIAGNOSTIC OR THERAPEUTIC PROCEDURES'.

For licensing inquiries, please contact partnerships@abcam.com