JavaScript is disabled in your browser. Please enable JavaScript to view this website.
AB190689

Anti-EXOSC3 antibody [EPR14841] - C-terminal

Be the first to review this product! Submit a review

|

(2 Publications)

Rabbit Recombinant Monoclonal EXOSC3 antibody. C-terminal. Suitable for IP, WB, ICC/IF, IHC-P and reacts with Human, Mouse, Rat samples. Cited in 2 publications.

View Alternative Names

RRP40, CGI-102, EXOSC3, Exosome complex component RRP40, Exosome component 3, Ribosomal RNA-processing protein 40, p10

7 Images
Immunohistochemistry (Formalin/PFA-fixed paraffin-embedded sections) - Anti-EXOSC3 antibody [EPR14841] - C-terminal (AB190689)
  • IHC-P

Supplier Data

Immunohistochemistry (Formalin/PFA-fixed paraffin-embedded sections) - Anti-EXOSC3 antibody [EPR14841] - C-terminal (AB190689)

Immunohistochemical analysis of paraffin embedded human ovarian carcinoma tissue labeling EXOSC3 with ab190689 at 1/100 followed by prediluted HRP conjugated secondary antibody and counterstained with hematoxylin.

Perform heat mediated antigen retrieval with Tris/EDTA buffer pH 9.0 before commencing with IHC staining protocol.

Immunoprecipitation - Anti-EXOSC3 antibody [EPR14841] - C-terminal (AB190689)
  • IP

Supplier Data

Immunoprecipitation - Anti-EXOSC3 antibody [EPR14841] - C-terminal (AB190689)

Lane 1 : Primary : ab190689, 1/1000 dilution Sample : Lysate of 293T cells immunoprecipated with ab190689 at 1/50 Secondary : Anti-Rabbit IgG (HRP), specific to the non-reduced form of IgG, 1/1500 dilution.

Lane 2 : Primary : ab190689, 1/1000 dilution. Sample : PBS. Secondary : Anti-Rabbit IgG (HRP), specific to the non-reduced form of IgG, 1/1500 dilution.

All lanes:

Immunoprecipitation - Anti-EXOSC3 antibody [EPR14841] - C-terminal (ab190689) at 1/1000 dilution

Lane 1:

Lysate of 293T cells immunoprecipated with ab190689 at 1/50

Lane 2:

PBS

Secondary

All lanes:

Anti-Rabbit IgG (HRP), specific to the non-reduced form of IgG at 1/1500 dilution

Predicted band size: 30 kDa

Observed band size: 30 kDa

false

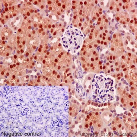
Immunohistochemistry (Formalin/PFA-fixed paraffin-embedded sections) - Anti-EXOSC3 antibody [EPR14841] - C-terminal (AB190689)
  • IHC-P

Supplier Data

Immunohistochemistry (Formalin/PFA-fixed paraffin-embedded sections) - Anti-EXOSC3 antibody [EPR14841] - C-terminal (AB190689)

Immunohistochemical analysis of paraffin embedded mouse kidney tissue labeling EXOSC3 with ab190689 at 1/100 followed by prediluted HRP conjugated secondary antibody and counterstained with hematoxylin.

Perform heat mediated antigen retrieval with Tris/EDTA buffer pH 9.0 before commencing with IHC staining protocol.

Immunocytochemistry/ Immunofluorescence - Anti-EXOSC3 antibody [EPR14841] - C-terminal (AB190689)
  • ICC/IF

Supplier Data

Immunocytochemistry/ Immunofluorescence - Anti-EXOSC3 antibody [EPR14841] - C-terminal (AB190689)

Immunofluorescent analysis of 4% paraformaldehyde fixed RAW264.7 cells labeling EXOSC3 with ab190689 at 1/250 followed by Goat anti rabbit IgG (Alexa Fluor® 555) at 1/200 and counterstained with DAPI.

Western blot - Anti-EXOSC3 antibody [EPR14841] - C-terminal (AB190689)
  • WB

Supplier Data

Western blot - Anti-EXOSC3 antibody [EPR14841] - C-terminal (AB190689)

All lanes:

Western blot - Anti-EXOSC3 antibody [EPR14841] - C-terminal (ab190689) at 1/1000 dilution

Lane 1:

Jurkat cell lysate at 20 µg

Lane 2:

HeLa cell lysate at 20 µg

Secondary

All lanes:

Goat Anti-Rabbit IgG, (H+L), Peroxidase conjugated antibody at 1/1000 dilution

Predicted band size: 30 kDa

Observed band size: 30 kDa

false

Western blot - Anti-EXOSC3 antibody [EPR14841] - C-terminal (AB190689)
  • WB

Supplier Data

Western blot - Anti-EXOSC3 antibody [EPR14841] - C-terminal (AB190689)

All lanes:

Western blot - Anti-EXOSC3 antibody [EPR14841] - C-terminal (ab190689) at 1/1000 dilution

All lanes:

293T cell line lysate at 20 µg

Secondary

All lanes:

Goat Anti-Rabbit IgG, (H+L), Peroxidase conjugated antibody at 1/1000 dilution

Predicted band size: 30 kDa

Observed band size: 30 kDa

false

Western blot - Anti-EXOSC3 antibody [EPR14841] - C-terminal (AB190689)
  • WB

Supplier Data

Western blot - Anti-EXOSC3 antibody [EPR14841] - C-terminal (AB190689)

All lanes:

Western blot - Anti-EXOSC3 antibody [EPR14841] - C-terminal (ab190689) at 1/1000 dilution

Lane 1:

Mouse kidney tissue lysate at 10 µg

Lane 2:

Mouse spleen tissue lysate at 10 µg

Lane 3:

Rat kidney tissue lysate at 10 µg

Lane 4:

Rat spleen tissue lysate at 10 µg

Lane 5:

RAW264.7 cell line lysate at 10 µg

Lane 6:

NIH 3T3 cell line lysate at 10 µg

Secondary

All lanes:

Goat Anti-Rabbit IgG, (H+L), Peroxidase conjugated antibody at 1/1000 dilution

Predicted band size: 30 kDa

Observed band size: 30 kDa

false

  • Carrier free

    Anti-EXOSC3 antibody [EPR14841] - BSA and Azide free

Key facts

Host species

Rabbit

Clonality

Monoclonal

Clone number

EPR14841

Isotype

IgG

Carrier free

No

Reacts with

Mouse, Rat, Human

Applications

IHC-P, ICC/IF, WB, IP

applications

Immunogen

The exact immunogen used to generate this antibody is proprietary information.

Reactivity data

{ "title": "Reactivity Data", "filters": { "stats": ["", "Species", "Dilution Info", "Notes"], "tabs": { "all-applications": {"fullname" : "All Applications", "shortname": "All Applications"}, "IP" : {"fullname" : "Immunoprecipitation", "shortname":"IP"}, "WB" : {"fullname" : "Western blot", "shortname":"WB"}, "ICCIF" : {"fullname" : "Immunocytochemistry/ Immunofluorescence", "shortname":"ICC/IF"}, "IHCP" : {"fullname" : "Immunohistochemistry (Formalin/PFA-fixed paraffin-embedded sections)", "shortname":"IHC-P"} }, "product-promise": { "all": "all", "testedAndGuaranteed": "tested", "guaranteed": "expected", "predicted": "predicted", "notRecommended": "not-recommended" } }, "values": { "Human": { "IP-species-checked": "testedAndGuaranteed", "IP-species-dilution-info": "1/30", "IP-species-notes": "<p></p>", "WB-species-checked": "testedAndGuaranteed", "WB-species-dilution-info": "1/1000 - 1/10000", "WB-species-notes": "<p></p>", "ICCIF-species-checked": "guaranteed", "ICCIF-species-dilution-info": "", "ICCIF-species-notes": "", "IHCP-species-checked": "testedAndGuaranteed", "IHCP-species-dilution-info": "1/50 - 1/100", "IHCP-species-notes": "<p></p>" }, "Mouse": { "IP-species-checked": "guaranteed", "IP-species-dilution-info": "", "IP-species-notes": "", "WB-species-checked": "testedAndGuaranteed", "WB-species-dilution-info": "1/1000 - 1/10000", "WB-species-notes": "<p></p>", "ICCIF-species-checked": "testedAndGuaranteed", "ICCIF-species-dilution-info": "1/100 - 1/250", "ICCIF-species-notes": "<p></p>", "IHCP-species-checked": "testedAndGuaranteed", "IHCP-species-dilution-info": "1/50 - 1/100", "IHCP-species-notes": "<p></p>" }, "Rat": { "IP-species-checked": "guaranteed", "IP-species-dilution-info": "", "IP-species-notes": "", "WB-species-checked": "testedAndGuaranteed", "WB-species-dilution-info": "1/1000 - 1/10000", "WB-species-notes": "<p></p>", "ICCIF-species-checked": "guaranteed", "ICCIF-species-dilution-info": "", "ICCIF-species-notes": "", "IHCP-species-checked": "guaranteed", "IHCP-species-dilution-info": "", "IHCP-species-notes": "" } } }

Product details

Patented technology
Our RabMAb® technology is a patented hybridoma-based technology for making rabbit monoclonal antibodies. For details on our patents, please refer to RabMAb® patents.

What are the advantages of a recombinant monoclonal antibody?
This product is a recombinant monoclonal antibody, which offers several advantages including:

  • - High batch-to-batch consistency and reproducibility
  • - Improved sensitivity and specificity
  • - Long-term security of supply
  • - Animal-free batch production

For more information, read more on recombinant antibodies.

Properties and storage information

Form
Liquid
Purification technique
Affinity purification Protein A
Storage buffer
pH: 7.2 - 7.4 Preservative: 0.01% Sodium azide Constituents: PBS, 40% Glycerol (glycerin, glycerine), 0.05% BSA
Shipped at conditions
Blue Ice
Appropriate short-term storage duration
1-2 weeks
Appropriate short-term storage conditions
+4°C
Appropriate long-term storage conditions
-20°C
Aliquoting information
Upon delivery aliquot
Storage information
Avoid freeze / thaw cycle

Supplementary information

This supplementary information is collated from multiple sources and compiled automatically.

EXOSC3 also known as exosome component 3 is a core part of the RNA exosome complex. This protein weighs approximately 33 kDa and is located in both the nucleus and cytoplasm of eukaryotic cells. EXOSC3 along with other exosome components is highly expressed in tissues with rapid cell division and RNA turnover such as the bone marrow and spleen. These expression patterns are consistent with its function in RNA processing and degradation.
Biological function summary

EXOSC3 plays a critical role in determining RNA stability as part of the exosome complex. This multi-subunit complex degrades various RNA species including mRNA rRNA and snRNA thereby maintaining cellular RNA quality and quantity. EXOSC3 in conjunction with other exosome components executes an important function in RNA surveillance and quality control. Through exosomal complexes EXOSC3 influences many processes that are necessary for cell growth and homeostasis.

Pathways

The exosome component EXOSC3 shows involvement in the RNA processing pathway and the nuclear mRNA catabolic pathway. This protein collaborates with other exosome components like EXOSC10 to perform precise RNA surveillance. The complex carefully regulates RNA processing events within these pathways to ensure cellular homeostasis and proper gene expression regulation.

Mutations or malfunctions in EXOSC3 link to specific conditions notably pontocerebellar hypoplasia type 1B and spinal muscular atrophy. In particular through its role in RNA metabolism alterations in EXOSC3's function can lead to motor neuron dysfunction. EXOSC3's correlation with EXOSC8 another exosome component can exacerbate symptoms associated with these neural disorders shedding light on the importance of precise RNA processing in neurological health.

Product protocols

For this product, it's our understanding that no specific protocols are required. You can visit:

Target data

Non-catalytic component of the RNA exosome complex which has 3'->5' exoribonuclease activity and participates in a multitude of cellular RNA processing and degradation events. In the nucleus, the RNA exosome complex is involved in proper maturation of stable RNA species such as rRNA, snRNA and snoRNA, in the elimination of RNA processing by-products and non-coding 'pervasive' transcripts, such as antisense RNA species and promoter-upstream transcripts (PROMPTs), and of mRNAs with processing defects, thereby limiting or excluding their export to the cytoplasm. The RNA exosome may be involved in Ig class switch recombination (CSR) and/or Ig variable region somatic hypermutation (SHM) by targeting AICDA deamination activity to transcribed dsDNA substrates. In the cytoplasm, the RNA exosome complex is involved in general mRNA turnover and specifically degrades inherently unstable mRNAs containing AU-rich elements (AREs) within their 3' untranslated regions, and in RNA surveillance pathways, preventing translation of aberrant mRNAs. It seems to be involved in degradation of histone mRNA. The catalytic inactive RNA exosome core complex of 9 subunits (Exo-9) is proposed to play a pivotal role in the binding and presentation of RNA for ribonucleolysis, and to serve as a scaffold for the association with catalytic subunits and accessory proteins or complexes. EXOSC3 as peripheral part of the Exo-9 complex stabilizes the hexameric ring of RNase PH-domain subunits through contacts with EXOSC9 and EXOSC5.
See full target information EXOSC3

Publications (2)

Recent publications for all applications. Explore the full list and refine your search

The Journal of cell biology 219: PubMed31757787

2019

Gene expression amplification by nuclear speckle association.

Applications

Unspecified application

Species

Unspecified reactive species

Jiah Kim,Neha Chivukula Venkata,Gabriela Andrea Hernandez Gonzalez,Nimish Khanna,Andrew S Belmont

Cell reports 25:2447-2456.e4 PubMed30485811

2018

Widespread Accumulation of Ribosome-Associated Isolated 3' UTRs in Neuronal Cell Populations of the Aging Brain.

Applications

Unspecified application

Species

Unspecified reactive species

Peter H Sudmant,Hyeseung Lee,Daniel Dominguez,Myriam Heiman,Christopher B Burge
View all publications

Product promise

We are committed to supporting your work with high-quality reagents, and we're here for you every step of the way. In the unlikely event that one of our products does not perform as expected, you're protected by our Product Promise.
For full details, please see our Terms & Conditions

Please note: All products are 'FOR RESEARCH USE ONLY. NOT FOR USE IN DIAGNOSTIC OR THERAPEUTIC PROCEDURES'.

For licensing inquiries, please contact partnerships@abcam.com