JavaScript is disabled in your browser. Please enable JavaScript to view this website.
AB57491

Anti-Exportin-5 antibody [2C5-1B3]

Be the first to review this product! Submit a review

|

(11 Publications)

Mouse Monoclonal Exportin-5 antibody. Suitable for IHC-P, IP, Flow Cyt, WB, ICC/IF and reacts with Human samples. Cited in 11 publications. Immunogen corresponding to Recombinant Full Length Protein corresponding to Human XPO5.

View Alternative Names

KIAA1291, RANBP21, XPO5, Exportin-5, Exp5, Ran-binding protein 21

5 Images
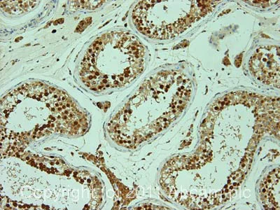
Immunohistochemistry (Formalin/PFA-fixed paraffin-embedded sections) - Anti-Exportin-5 antibody [2C5-1B3] (AB57491)
  • IHC-P

Unknown

Immunohistochemistry (Formalin/PFA-fixed paraffin-embedded sections) - Anti-Exportin-5 antibody [2C5-1B3] (AB57491)

IHC image of ab57491 staining in normal human testis formalin fixed paraffin embedded tissue section, performed on a Leica BondTM system using the standard protocol F. The section was pre-treated using heat mediated antigen retrieval with sodium citrate buffer (pH6, epitope retrieval solution 1) for 20 mins. The section was then incubated with ab57491, 5μg/ml, for 15 mins at room temperature and detected using an HRP conjugated compact polymer system. DAB was used as the chromogen. The section was then counterstained with haematoxylin and mounted with DPX.

For other IHC staining systems (automated and non-automated) customers should optimize variable parameters such as antigen retrieval conditions, primary antibody concentration and antibody incubation times.

This image was generated using the ascites version of the product.

Immunocytochemistry/ Immunofluorescence - Anti-Exportin-5 antibody [2C5-1B3] (AB57491)
  • ICC/IF

Unknown

Immunocytochemistry/ Immunofluorescence - Anti-Exportin-5 antibody [2C5-1B3] (AB57491)

ICC/IF image of ab57491 stained HeLa cells. The cells were 4% formaldehyde (10 min) and then incubated in 1%BSA / 10% normal goat serum / 0.3M glycine in 0.1% PBS-Tween for 1h to permeabilise the cells and block non-specific protein-protein interactions. The cells were then incubated with the antibody (ab57491, 10μg/ml) overnight at +4°C. The secondary antibody (green) was ab96879 Dylight 488 goat anti-mouse IgG (H+L) used at a 1/250 dilution for 1h. Alexa Fluor® 594 WGA was used to label plasma membranes (red) at a 1/200 dilution for 1h. DAPI was used to stain the cell nuclei (blue) at a concentration of 1.43μM.

This image was generated using the ascites version of the product.

Flow Cytometry - Anti-Exportin-5 antibody [2C5-1B3] (AB57491)
  • Flow Cyt

Unknown

Flow Cytometry - Anti-Exportin-5 antibody [2C5-1B3] (AB57491)

Overlay histogram showing HEK293 cells stained with ab57491 (red line). The cells were fixed with 80% methanol (5 min) and then permeabilized with 0.1% PBS-Tween for 20 min. The cells were then incubated in 1x PBS / 10% normal goat serum / 0.3M glycine to block non-specific protein-protein interactions followed by the antibody (ab57491, 1μg/1x106 cells) for 30 min at 22°C. The secondary antibody used was DyLight® 488 goat anti-mouse IgG (H+L) (ab96879) at 1/500 dilution for 30 min at 22°C. Isotype control antibody (black line) was mouse IgG1 [ICIGG1] (ab91353, 2μg/1x106 cells) used under the same conditions. Acquisition of >5,000 events was performed.

This image was generated using the ascites version of the product.

Immunoprecipitation - Anti-Exportin-5 antibody [2C5-1B3] (AB57491)
  • IP

Unknown

Immunoprecipitation - Anti-Exportin-5 antibody [2C5-1B3] (AB57491)

Exportin-5 was immunoprecipitated using 0.5mg Hek293 whole cell extract, 10μg of Mouse monoclonal to Exportin-5 and 50μl of protein G magnetic beads (+). No antibody was added to the control (-).
The antibody was incubated under agitation with Protein G beads for 10min, Hek293 whole cell extract lysate diluted in RIPA buffer was added to each sample and incubated for a further 10min under agitation.
Proteins were eluted by addition of 40μl SDS loading buffer and incubated for 10min at 70oC; 10μl of each sample was separated on a SDS PAGE gel, transferred to a nitrocellulose membrane, blocked with 5% BSA and probed with ab57491.
Secondary : Goat polyclonal to mouse IgG light chain specific (HRP) at 1/5000 dilution.
Band : 140kDa : Exportin-5; non specific - 65kDa : We are unsure as to the identity of this extra band.

This image was generated using the ascites version of the product.

All lanes:

Immunoprecipitation - Anti-Exportin-5 antibody [2C5-1B3] (ab57491)

Predicted band size: 136 kDa

false

Western blot - Anti-Exportin-5 antibody [2C5-1B3] (AB57491)
  • WB

Unknown

Western blot - Anti-Exportin-5 antibody [2C5-1B3] (AB57491)

Exportin-5 antibody (ab57491) at 1ug/lane + HeLa cell lysate at 25ug/lane.

This image was generated using the ascites version of the product.

All lanes:

Western blot - Anti-Exportin-5 antibody [2C5-1B3] (ab57491)

Predicted band size: 136 kDa

false

Key facts

Host species

Mouse

Clonality

Monoclonal

Clone number

2C5-1B3

Isotype

IgG1

Light chain type

kappa

Carrier free

No

Reacts with

Human

Applications

IHC-P, IP, WB, Flow Cyt, ICC/IF

applications

Immunogen

Recombinant Full Length Protein corresponding to Human XPO5.

Q9HAV4

Reactivity data

{ "title": "Reactivity Data", "filters": { "stats": ["", "Species", "Dilution Info", "Notes"], "tabs": { "all-applications": {"fullname" : "All Applications", "shortname": "All Applications"}, "IHCP" : {"fullname" : "Immunohistochemistry (Formalin/PFA-fixed paraffin-embedded sections)", "shortname":"IHC-P"}, "IP" : {"fullname" : "Immunoprecipitation", "shortname":"IP"}, "FlowCyt" : {"fullname" : "Flow Cytometry", "shortname":"Flow Cyt"}, "WB" : {"fullname" : "Western blot", "shortname":"WB"}, "ICCIF" : {"fullname" : "Immunocytochemistry/ Immunofluorescence", "shortname":"ICC/IF"} }, "product-promise": { "all": "all", "testedAndGuaranteed": "tested", "guaranteed": "expected", "predicted": "predicted", "notRecommended": "not-recommended" } }, "values": { "Human": { "IHCP-species-checked": "testedAndGuaranteed", "IHCP-species-dilution-info": "", "IHCP-species-notes": "<p></p>", "IP-species-checked": "testedAndGuaranteed", "IP-species-dilution-info": "", "IP-species-notes": "<p></p>", "FlowCyt-species-checked": "testedAndGuaranteed", "FlowCyt-species-dilution-info": "", "FlowCyt-species-notes": "<p><a href='/en-us/products/primary-antibodies/mouse-igg1-kappa-monoclonal-15-6e10a7-isotype-control-ab170190'>ab170190</a> - Mouse monoclonal IgG1, is suitable for use as an isotype control with this antibody.</p>", "WB-species-checked": "testedAndGuaranteed", "WB-species-dilution-info": "", "WB-species-notes": "<p></p>", "ICCIF-species-checked": "testedAndGuaranteed", "ICCIF-species-dilution-info": "", "ICCIF-species-notes": "<p></p>" } } }

Product details

This product was changed from ascites to tissue culture supernatant on 15 May 2019. Please note that the dilutions may need to be adjusted accordingly. If you have any questions, please do not hesitate to contact our scientific support team.

Properties and storage information

Form
Liquid
Purity
Tissue culture supernatant
Purification notes
Purified from TCS.
Storage buffer
pH: 7.4
Shipped at conditions
Blue Ice
Appropriate short-term storage conditions
+4°C
Appropriate long-term storage conditions
-20°C
Aliquoting information
Upon delivery aliquot
Storage information
Avoid freeze / thaw cycle

Supplementary information

This supplementary information is collated from multiple sources and compiled automatically.

Exportin-5 also known as Exp5 and eXportin-5 serves a mechanical role in the cellular export of specific RNA molecules from the nucleus to the cytoplasm. This protein belongs to the karyopherin family and has an approximate molecular mass of about 130 kDa. Exportin-5 primarily expresses in cell types where RNA processing and regulation are actively important though specific distribution patterns vary across different tissues.
Biological function summary

Exportin-5 functions by specifically recognizing and binding to pre-microRNA and small nuclear RNA facilitating their transport out of the nucleus. It operates as a part of a complex with RanGTP which ensures that the RNA cargo is correctly recognized and loaded for transport. This export process is essential for the subsequent RNA maturation and ultimately influences gene expression regulation.

Pathways

While Exportin-5 plays a pivotal role in the RNA transport pathway it is also intricately linked to the microRNA biogenesis pathway. Within these pathways Exportin-5 works closely with RanGTP to mediate the nuclear export of pre-microRNAs setting the stage for their maturation into functional microRNAs in the cytoplasm. It also relates to proteins involved in the RNA-induced silencing complex (RISC) assembly as mature microRNAs are integral parts of RISC.

Exportin-5 appears to be linked to tumorigenesis and certain viral infections. Abnormalities in its function may disrupt microRNA export which can lead to dysregulation of gene expression and contribute to cancer development. Furthermore associations with proteins such as Dicer and RISC-related factors highlight its role in antiviral responses where the microRNA pathway can be modulated by viral mechanisms to evade host defenses.

Product protocols

For this product, it's our understanding that no specific protocols are required. You can visit:

Target data

Mediates the nuclear export of proteins bearing a double-stranded RNA binding domain (dsRBD) and double-stranded RNAs (cargos). XPO5 in the nucleus binds cooperatively to the RNA and to the GTPase Ran in its active GTP-bound form. Proteins containing dsRBDs can associate with this trimeric complex through the RNA. Docking of this complex to the nuclear pore complex (NPC) is mediated through binding to nucleoporins. Upon transit of a nuclear export complex into the cytoplasm, hydrolysis of Ran-GTP to Ran-GDP (induced by RANBP1 and RANGAP1, respectively) cause disassembly of the complex and release of the cargo from the export receptor. XPO5 then returns to the nuclear compartment by diffusion through the nuclear pore complex, to mediate another round of transport. The directionality of nuclear export is thought to be conferred by an asymmetric distribution of the GTP- and GDP-bound forms of Ran between the cytoplasm and nucleus. Overexpression may in some circumstances enhance RNA-mediated gene silencing (RNAi). Mediates nuclear export of isoform 5 of ADAR/ADAR1 in a RanGTP-dependent manner.. Mediates the nuclear export of micro-RNA precursors, which form short hairpins (PubMed : 14631048, PubMed : 14681208, PubMed : 15613540). Also mediates the nuclear export of synthetic short hairpin RNAs used for RNA interference. In some circumstances can also mediate the nuclear export of deacylated and aminoacylated tRNAs. Specifically recognizes dsRNAs that lack a 5'-overhang in a sequence-independent manner, have only a short 3'-overhang, and that have a double-stranded length of at least 15 base-pairs (PubMed : 19965479). Binding is dependent on Ran-GTP (PubMed : 19965479).. (Microbial infection) Mediates the nuclear export of adenovirus VA1 dsRNA.
See full target information XPO5

Publications (11)

Recent publications for all applications. Explore the full list and refine your search

iScience 26:105965 PubMed36824274

2023

Transcriptome, proteome, and protein synthesis within the intracellular cytomatrix.

Applications

Unspecified application

Species

Unspecified reactive species

Tattym E Shaiken,Sandra L Grimm,Mohamad Siam,Amanda Williams,Abdol-Hossein Rezaeian,Daniel Kraushaar,Emily Ricco,Matthew J Robertson,Cristian Coarfa,Antrix Jain,Anna Malovannaya,Fabio Stossi,Antone R Opekun,Alyssa P Price,Julien Dubrulle

Cancer science 113:1601-1612 PubMed35253323

2022

Transcriptional suppression of Dicer by HOXB-AS3/EZH2 complex dictates sorafenib resistance and cancer stemness.

Applications

Unspecified application

Species

Unspecified reactive species

Chi-Feng Tseng,Li-Tzong Chen,Horng-Dar Wang,Yi-Hong Liu,Shine-Gwo Shiah

Journal of cellular physiology 236:4420-4434 PubMed33184874

2020

ERK-mediated transcriptional activation of Dicer is involved in gemcitabine resistance of pancreatic cancer.

Applications

Unspecified application

Species

Unspecified reactive species

Yen-Hao Su,Tung-Wei Hsu,Hsin-An Chen,Chih-Ming Su,Ming-Te Huang,Ta-Hsien Chuang,J Leo Su,Chia-Ling Hsieh,Ching-Feng Chiu

Animal reproduction science 207:21-35 PubMed31266599

2019

Do G-protein coupled estrogen receptor and bisphenol A analogs influence on Leydig cell epigenetic regulation in immature boar testis ex vivo?

Applications

Unspecified application

Species

Unspecified reactive species

P Pawlicki,M Duliban,R Tuz,A Ptak,A Milon,E Gorowska-Wojtowicz,W Tworzydlo,B J Płachno,B Bilinska,K Knapczyk-Stwora,M Kotula-Balak

Nucleic acids research 46:5737-5752 PubMed29746670

2018

Dicer cleaves 5'-extended microRNA precursors originating from RNA polymerase II transcription start sites.

Applications

Unspecified application

Species

Unspecified reactive species

Peike Sheng,Christopher Fields,Kelsey Aadland,Tianqi Wei,Oralia Kolaczkowski,Tongjun Gu,Bryan Kolaczkowski,Mingyi Xie

Scientific reports 8:7084 PubMed29728564

2018

Nuclear egress of TDP-43 and FUS occurs independently of Exportin-1/CRM1.

Applications

Unspecified application

Species

Unspecified reactive species

Helena Ederle,Christina Funk,Claudia Abou-Ajram,Saskia Hutten,Eva B E Funk,Ralph H Kehlenbach,Susanne M Bailer,Dorothee Dormann

Cell cycle (Georgetown, Tex.) 15:1591-601 PubMed27104882

2016

Unraveling molecular effects of ADAR1 overexpression in HEK293T cells by label-free quantitative proteomics.

Applications

Unspecified application

Species

Unspecified reactive species

Jisheng Guo,Xiaoyue Wang,Xin Lü,Ruirui Jing,Junqiang Li,CuiLing Li,Daoguang Wang,Baibin Bi,Xinjun Chen,Fengqin Wang,Shengnan Sun,Jing Gong,Kazem M Azadzoi,Jing-Hua Yang

Nucleic acids research 43:1834-47 PubMed25628358

2015

Human regulator of telomere elongation helicase 1 (RTEL1) is required for the nuclear and cytoplasmic trafficking of pre-U2 RNA.

Applications

Unspecified application

Species

Human

Michael Schertzer,Karina Jouravleva,Mylene Perderiset,Florent Dingli,Damarys Loew,Tangui Le Guen,Barbara Bardoni,Jean-Pierre de Villartay,Patrick Revy,Arturo Londoño-Vallejo

Cell 155:1568-80 PubMed24360278

2013

Mammalian 5'-capped microRNA precursors that generate a single microRNA.

Applications

Unspecified application

Species

Unspecified reactive species

Mingyi Xie,Mingfeng Li,Anna Vilborg,Nara Lee,Mei-Di Shu,Valeria Yartseva,Nenad Šestan,Joan A Steitz

Journal of virology 84:6880-5 PubMed20392843

2010

Enhanced gene silencing in cells cured of persistent virus infection by RNA interference.

Applications

WB

Species

Unspecified reactive species

Isabelle Pelletier,Aure Saulnier,Cynthia Brisac,Sophie Jegouic,Nicolas Vabret,Frédéric Tangy,Bruno Blondel,Florence Colbère-Garapin
View all publications

Product promise

We are committed to supporting your work with high-quality reagents, and we're here for you every step of the way. In the unlikely event that one of our products does not perform as expected, you're protected by our Product Promise.
For full details, please see our Terms & Conditions

Please note: All products are 'FOR RESEARCH USE ONLY. NOT FOR USE IN DIAGNOSTIC OR THERAPEUTIC PROCEDURES'.

For licensing inquiries, please contact partnerships@abcam.com