JavaScript is disabled in your browser. Please enable JavaScript to view this website.
AB242391

Anti-Extracellular matrix protein 1 antibody [EPR6701] - BSA and Azide free

Be the first to review this product! Submit a review

|

(1 Publication)

Rabbit Recombinant Monoclonal Extracellular matrix protein 1 antibody. Carrier free. Suitable for IHC-P, IP, WB, ICC/IF, Flow Cyt (Intra) and reacts with Human, Rat samples. Cited in 1 publication.

View Alternative Names

Extracellular matrix protein 1, Secretory component p85, ECM1

6 Images
Immunocytochemistry/ Immunofluorescence - Anti-Extracellular matrix protein 1 antibody [EPR6701] - BSA and Azide free (AB242391)
  • ICC/IF

Unknown

Immunocytochemistry/ Immunofluorescence - Anti-Extracellular matrix protein 1 antibody [EPR6701] - BSA and Azide free (AB242391)

Immunocytochemistry/ Immunofluorescence analysis of A375 (Human malignant melanoma epithelial cell) cells labeling Extracellular matrix protein 1 with purified ab126629 at 1 : 100 dilution (2.0 µg/ml). Cells were fixed in 4% Paraformaldehyde and permeabilized with 0.1% tritonX-100. Cells were counterstained with ab195889 Anti-alpha Tubulin antibody [DM1A] - Microtubule Marker (Alexa Fluor® 594) 1 : 200 (2.5 µg/ml). Goat anti rabbit IgG (Alexa Fluor® 488, ab150077) was used as the secondary antibody at 1 : 1000 (2 µg/ml) dilution. DAPI nuclear counterstain. PBS instead of the primary antibody was used as the secondary antibody only control.

Immunohistochemistry (Formalin/PFA-fixed paraffin-embedded sections) - Anti-Extracellular matrix protein 1 antibody [EPR6701] - BSA and Azide free (AB242391)
  • IHC-P

Unknown

Immunohistochemistry (Formalin/PFA-fixed paraffin-embedded sections) - Anti-Extracellular matrix protein 1 antibody [EPR6701] - BSA and Azide free (AB242391)

Immunohistochemistry (Formalin/PFA-fixed paraffin-embedded sections) analysis of Human kidney tissue sections labeling Extracellular matrix protein 1 with purified ab126629 at 1 : 100 dilution (2.01 μg/ml). Heat mediated antigen retrieval was performed using ab93684 (Tris/EDTA buffer, pH 9.0). ImmunoHistoProbe one step HRP Polymer (ready to use) was used as the secondary antibody. Negative control : PBS instead of the primary antibody. Hematoxylin was used as a counterstain.

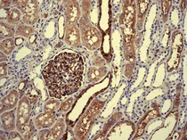
Immunohistochemistry (Formalin/PFA-fixed paraffin-embedded sections) - Anti-Extracellular matrix protein 1 antibody [EPR6701] - BSA and Azide free (AB242391)
  • IHC-P

Unknown

Immunohistochemistry (Formalin/PFA-fixed paraffin-embedded sections) - Anti-Extracellular matrix protein 1 antibody [EPR6701] - BSA and Azide free (AB242391)

ab126629, at 1/100, staining Extracellular matrix protein 1 in formalin fixed, paraffin embedded Human kidney tissue by Immunohistochemistry. This data was developed using the same antibody clone in a different buffer formulation containing PBS, BSA, glycerol, and sodium azide (ab126629). Heat mediated antigen retrieval was performed with citrate buffer pH 6 before commencing with IHC staining protocol.

Flow Cytometry (Intracellular) - Anti-Extracellular matrix protein 1 antibody [EPR6701] - BSA and Azide free (AB242391)
  • Flow Cyt (Intra)

Unknown

Flow Cytometry (Intracellular) - Anti-Extracellular matrix protein 1 antibody [EPR6701] - BSA and Azide free (AB242391)

Intracellular Flow Cytometry analysis of A375 (Human malignant melanoma epithelial cell) cells labeling Extracellular matrix protein 1 with purified ab126629 at 1/20 dilution (10 μg/ml) (red). Cells were fixed with 4% Paraformaldehyde. A Goat anti rabbit IgG (Alexa Fluor® 488, ab150077) secondary antibody was used at 1/2000. Isotype control - Rabbit monoclonal IgG (Black). Unlabeled control - Cell without incubation with primary antibody and secondary antibody (Blue).

Immunoprecipitation - Anti-Extracellular matrix protein 1 antibody [EPR6701] - BSA and Azide free (AB242391)
  • IP

Unknown

Immunoprecipitation - Anti-Extracellular matrix protein 1 antibody [EPR6701] - BSA and Azide free (AB242391)

ab126629 (purified) at 1 : 20 dilution (2μg) immunoprecipitating Extracellular matrix protein 1 in A375 whole cell lysate.
Lane 1 (input) : A375 (Human malignant melanoma epithelial cell) whole cell lysate 10μg
Lane 2 (+) : ab126629 & A375 whole cell lysate
Lane 3 (-) : Rabbit monoclonal IgG (ab172730) instead of ab126629 in A375 whole cell lysate
For western blotting, VeriBlot for IP Detection Reagent (HRP) (ab131366) was used for detection at 1 : 1000 dilution.
Blocking and diluting buffer : 5% NFDM/TBST.

All lanes:

Immunoprecipitation - Anti-Extracellular matrix protein 1 antibody [EPR6701] (<a href='/en-us/products/primary-antibodies/extracellular-matrix-protein-1-antibody-epr6701-ab126629'>ab126629</a>)

Predicted band size: 61 kDa,78 kDa

Observed band size: 60 kDa

false

OI-RD Scanning - Anti-Extracellular matrix protein 1 antibody [EPR6701] - BSA and Azide free (AB242391)
  • OI-RD Scanning

Unknown

OI-RD Scanning - Anti-Extracellular matrix protein 1 antibody [EPR6701] - BSA and Azide free (AB242391)

We have systematically measured KD (the equilibrium dissociation constant between the antibody and its antigen), of more than 840 recombinant antibodies to assess not only their individual KD values but also to see the average affinity of antibody. Based on the comparison with published literature values for mouse monoclonal antibodies, Recombinant antibodies appear to be on average 1-2 order of magnitude higher affinity.

  • Unconjugated

    Anti-Extracellular matrix protein 1 antibody [EPR6701]

  • 775 Alexa Fluor® 750

    Alexa Fluor® 750 Anti-Extracellular matrix protein 1 antibody [EPR6701]

Key facts

Host species

Rabbit

Clonality

Monoclonal

Clone number

EPR6701

Isotype

IgG

Carrier free

Yes

Reacts with

Rat, Human

Applications

WB, Flow Cyt (Intra), IP, ICC/IF, IHC-P

applications

Immunogen

The exact immunogen used to generate this antibody is proprietary information.

Specificity

The rat recommendation is based on the WB results. We do not guarantee IHC-P for rat.

Reactivity data

{ "title": "Reactivity Data", "filters": { "stats": ["", "Species", "Dilution Info", "Notes"], "tabs": { "all-applications": {"fullname" : "All Applications", "shortname": "All Applications"}, "IHCP" : {"fullname" : "Immunohistochemistry (Formalin/PFA-fixed paraffin-embedded sections)", "shortname":"IHC-P"}, "IP" : {"fullname" : "Immunoprecipitation", "shortname":"IP"}, "WB" : {"fullname" : "Western blot", "shortname":"WB"}, "ICCIF" : {"fullname" : "Immunocytochemistry/ Immunofluorescence", "shortname":"ICC/IF"}, "FlowCytIntra" : {"fullname" : "Flow Cytometry (Intracellular)", "shortname":"Flow Cyt (Intra)"} }, "product-promise": { "all": "all", "testedAndGuaranteed": "tested", "guaranteed": "expected", "predicted": "predicted", "notRecommended": "not-recommended" } }, "values": { "Human": { "IHCP-species-checked": "testedAndGuaranteed", "IHCP-species-dilution-info": "", "IHCP-species-notes": "<p>The rat recommendation is based on the WB results. We do not guarantee IHC-P for rat.</p>", "IP-species-checked": "testedAndGuaranteed", "IP-species-dilution-info": "", "IP-species-notes": "<p></p>", "WB-species-checked": "guaranteed", "WB-species-dilution-info": "", "WB-species-notes": "<p></p>", "ICCIF-species-checked": "testedAndGuaranteed", "ICCIF-species-dilution-info": "", "ICCIF-species-notes": "<p></p>", "FlowCytIntra-species-checked": "testedAndGuaranteed", "FlowCytIntra-species-dilution-info": "", "FlowCytIntra-species-notes": "<p></p>" }, "Rat": { "IHCP-species-checked": "predicted", "IHCP-species-dilution-info": "", "IHCP-species-notes": "", "IP-species-checked": "predicted", "IP-species-dilution-info": "", "IP-species-notes": "", "WB-species-checked": "guaranteed", "WB-species-dilution-info": "", "WB-species-notes": "<p></p>", "ICCIF-species-checked": "predicted", "ICCIF-species-dilution-info": "", "ICCIF-species-notes": "", "FlowCytIntra-species-checked": "predicted", "FlowCytIntra-species-dilution-info": "", "FlowCytIntra-species-notes": "" } } }

Product details

ab242391 is the carrier-free version of ab126629.

Species reactivity
Mouse: We have preliminary internal testing data to indicate this antibody may not react with this species.
Please contact us for more information.

Patented technology
Our RabMAb® technology is a patented hybridoma-based technology for making rabbit monoclonal antibodies. For details on our patents, please refer to RabMAb® patents.

What are the advantages of a recombinant monoclonal antibody?
This product is a recombinant monoclonal antibody, which offers several advantages including:

  • - High batch-to-batch consistency and reproducibility
  • - Improved sensitivity and specificity
  • - Long-term security of supply
  • - Animal-free batch production

For more information, read more on recombinant antibodies.

Conjugation ready
Our carrier-free antibodies are typically supplied in a PBS-only formulation, purified and free of BSA, sodium azide and glycerol. This conjugation-ready format is designed for use with fluorochromes, metal isotopes, oligonucleotides, and enzymes, which makes them ideal for antibody labelling, functional and cell-based assays, flow-based assays (e.g. mass cytometry) and Multiplex Imaging applications.

Use our conjugation kits for antibody conjugates that are ready-to-use in as little as 20 minutes with 1 minute hands-on-time and 100% antibody recovery: available for fluorescent dyes, HRP, biotin and gold.

Compatibility
This product is compatible with the Maxpar® Antibody Labeling Kit from Fluidigm, without the need for antibody preparation. Maxpar® is a trademark of Fluidigm Canada Inc.

Properties and storage information

Form
Liquid
Purification technique
Affinity purification Protein A
Storage buffer
pH: 7.2 - 7.4 Constituents: PBS
Shipped at conditions
Blue Ice
Appropriate short-term storage conditions
+4°C
Appropriate long-term storage conditions
+4°C
Storage information
Do Not Freeze

Supplementary information

This supplementary information is collated from multiple sources and compiled automatically.

Extracellular matrix protein 1 often called ECM1 is a matrix protein involved in various mechanical functions in the body. This protein weighs approximately 61 kDa and is widely expressed in human tissues including skin bone lung and brain. ECM1 also goes by the name H3300 vector used in some experimental contexts. Being an extracellular matrix (ECM) component ECM1 plays roles in tissue organization influencing matrix proteins' structural integrity.
Biological function summary

ECM1 contributes to cell-matrix interactions and regulates various cell behaviors such as adhesion proliferation and differentiation. It does this by binding to other ECM proteins and is known not to be part of a specific complex. ECM1 facilitates communication between the cellular environment and matrix thereby supporting the architecture and dynamics of tissues. It modulates angiogenesis linking it with processes like wound healing and vascular development.

Pathways

ECM1 functions within the context of key signaling routes such as the PI3K/AKT pathway known for roles in cell growth and survival. ECM1 interacts with other proteins including matrix metalloproteinases contributing to matrix remodeling activities important for cellular migration and invasion. Cumulatively these interactions highlight ECM1’s place in connective tissue organization and regenerative processes.

ECM1’s dysregulation links it with lipoid proteinosis and skin conditions like Atopic Dermatitis. Imbalances in ECM1 expression or function can lead to abnormal ECM assembly influencing these diseases' development. Moreover abnormalities in ECM1 can alter the behavior of related proteins such as collagen impacting skin integrity and permeability. Understanding ECM1’s role could provide insights into therapeutic strategies for these conditions.

Product protocols

For this product, it's our understanding that no specific protocols are required. You can visit:

Target data

Involved in endochondral bone formation as negative regulator of bone mineralization. Stimulates the proliferation of endothelial cells and promotes angiogenesis. Inhibits MMP9 proteolytic activity.
See full target information Extracellular matrix protein 1

Publications (1)

Recent publications for all applications. Explore the full list and refine your search

Frontiers in cardiovascular medicine 11:1360364 PubMed38576426

2024

SARS-CoV-2 infection of endothelial cells, dependent on flow-induced ACE2 expression, drives hypercytokinemia in a vascularized microphysiological system.

Applications

Unspecified application

Species

Unspecified reactive species

Christopher J Hatch,Sebastian D Piombo,Jennifer S Fang,Johannes S Gach,Makena L Ewald,William K Van Trigt,Brian G Coon,Jay M Tong,Donald N Forthal,Christopher C W Hughes
View all publications

Product promise

We are committed to supporting your work with high-quality reagents, and we're here for you every step of the way. In the unlikely event that one of our products does not perform as expected, you're protected by our Product Promise.
For full details, please see our Terms & Conditions

Please note: All products are 'FOR RESEARCH USE ONLY. NOT FOR USE IN DIAGNOSTIC OR THERAPEUTIC PROCEDURES'.

For licensing inquiries, please contact partnerships@abcam.com