JavaScript is disabled in your browser. Please enable JavaScript to view this website.
AB320842

Anti-Extracellular matrix protein 1 antibody [RM1187] - BSA and Azide free

Be the first to review this product! Submit a review

|

(0 Publication)

Rabbit Recombinant Multiclonal Extracellular matrix protein 1 antibody. Carrier free. Suitable for WB, IHC-P, Flow Cyt (Intra), ICC/IF, IP and reacts with Human, Mouse samples.

View Alternative Names

Extracellular matrix protein 1, Secretory component p85, ECM1

12 Images
Flow Cytometry (Intracellular) - Anti-Extracellular matrix protein 1 antibody [RM1187] - BSA and Azide free (AB320842)
  • Flow Cyt (Intra)

Supplier Data

Flow Cytometry (Intracellular) - Anti-Extracellular matrix protein 1 antibody [RM1187] - BSA and Azide free (AB320842)

This data was developed using ab320841, the same antibody clone in a different buffer formulation.

Flow cytometric analysis of 4% paraformaldehyde fixed 90% methanol permeabilized HCT 116 (human colorectal carcinoma epithelial cell, Left) / A-172 (human brain glioblastoma cell, Right) cells labelling Extracellular matrix protein 1 with ab320841 at 1/50 dilution (1ug) (Red) compared with a Rabbit monoclonal IgG (ab172730) (Black) isotype control and an unlabelled control (cells without incubation with primary antibody and secondary antibody).

Goat Anti-Rabbit IgG (Alexa Fluor® 488, ab150081) at 1/5000 dilution was used as the secondary antibody.

Low expression : HCT 116(PMID : 35574325).

Immunocytochemistry/ Immunofluorescence - Anti-Extracellular matrix protein 1 antibody [RM1187] - BSA and Azide free (AB320842)
  • ICC/IF

Supplier Data

Immunocytochemistry/ Immunofluorescence - Anti-Extracellular matrix protein 1 antibody [RM1187] - BSA and Azide free (AB320842)

This data was developed using ab320841, the same antibody clone in a different buffer formulation.

Immunofluorescent analysis of 4% Paraformaldehyde-fixed, 0.1% TritonX-100 permeabilized Hepa1-6 (mouse hepatoma epithelial cell) cells labelling Extracellular matrix protein 1 with ab320841 at 1/500 (0.982 ug/ml) dilution, followed by ab150081 Goat Anti-Rabbit IgG H&L (Alexa Fluor® 488) preadsorbed antibody at 1/1000 2 ug/ml dilution (Green).

Confocal image showing cytoplasmic staining in Hepa1-6 cell line (shown in green). The counterstain was observed in magenta. Nuclear DNA was labelled with DAPI (shown in blue).
Image was taken with a confocal microscope (Leica-Microsystems, TCS SP8).

ab195889 Anti-alpha Tubulin mouse monoclonal antibody - Microtubule Marker (Alexa Fluor® 594) was used to counterstain tubulin at 1/200 2.5ug/ml dilution (Magenta). The Nuclear counterstain was DAPI (Blue).

Secondary antibody only control : Secondary antibody is ab150081 Goat Anti-Rabbit IgG H&L (Alexa Fluor® 488) preadsorbed at 1/1000 2 ug/ml dilution.

Immunoprecipitation - Anti-Extracellular matrix protein 1 antibody [RM1187] - BSA and Azide free (AB320842)
  • IP

Supplier Data

Immunoprecipitation - Anti-Extracellular matrix protein 1 antibody [RM1187] - BSA and Azide free (AB320842)

This data was developed using ab320841, the same antibody clone in a different buffer formulation.

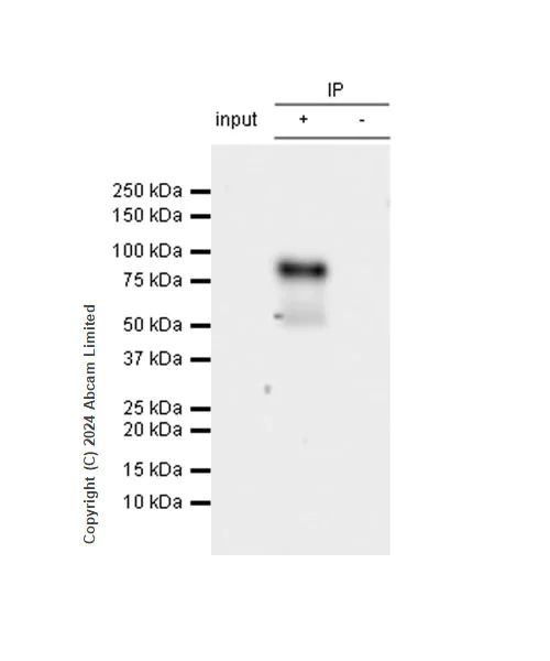
Extracellular matrix protein 1 was immunoprecipitated from 0.35 mg A-172 (human brain glioblastoma cell ) whole cell lysate with ab320841 at 1/30 dilution (2ug in 0.35mg lysates). Western blot was performed on the immunoprecipitate using ab320841 at 1/1000 dilution. VeriBlot for IP secondary antibody(HRP)(ab131366) was used at 1/5000 dilution.

Lane 1 : A-172 (human brain glioblastoma cell ) whole cell lysate
Lane 2 : ab320841 IP in A-172 (human brain glioblastoma cell ) whole cell lysate
Lane 3 : Rabbit monoclonal IgG (ab172730) instead of ab320841 in A-172 whole cell lysate

Blocking and dilution buffer and concentration : 5% NFDM/TBST

All lanes:

Immunoprecipitation - Anti-Extracellular matrix protein 1 antibody [RM1187] (<a href='/en-us/products/primary-antibodies/extracellular-matrix-protein-1-antibody-rm1187-ab320841'>ab320841</a>) at 1/30 dilution

All lanes:

A-172 (human brain glioblastoma cell ) whole cell lysate

Secondary

All lanes:

Immunoprecipitation - VeriBlot for IP Detection Reagent (HRP) (<a href='/en-us/products/reagents/veriblot-for-ip-detection-reagent-hrp-ab131366'>ab131366</a>) at 1/5000 dilution

false

Exposure time: 6s

Immunohistochemistry (Formalin/PFA-fixed paraffin-embedded sections) - Anti-Extracellular matrix protein 1 antibody [RM1187] - BSA and Azide free (AB320842)
  • IHC-P

Supplier Data

Immunohistochemistry (Formalin/PFA-fixed paraffin-embedded sections) - Anti-Extracellular matrix protein 1 antibody [RM1187] - BSA and Azide free (AB320842)

This data was developed using ab320841, the same antibody clone in a different buffer formulation.

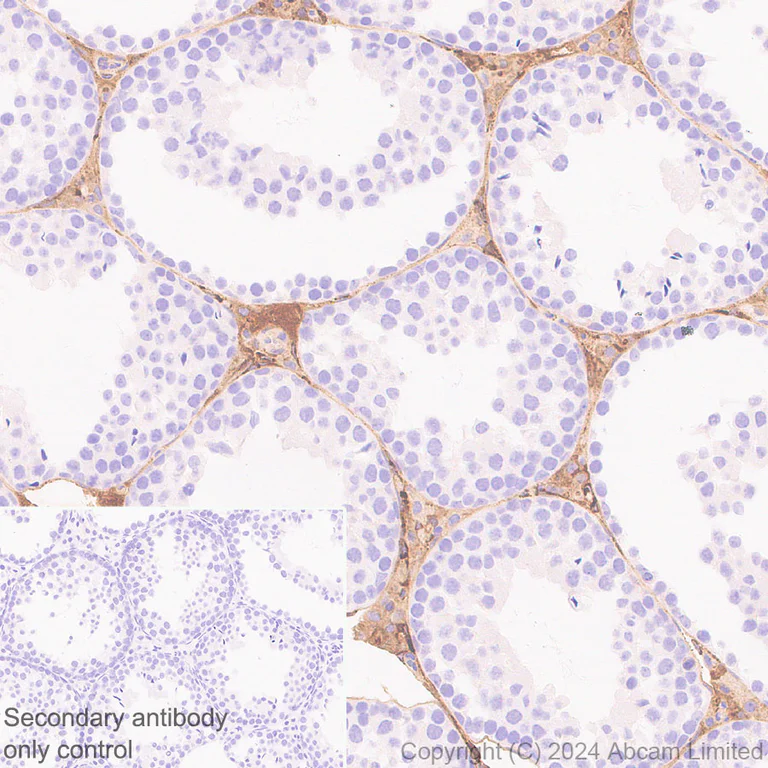
Immunohistochemical analysis of paraffin-embedded Mouse testis tissue labeling Extracellular matrix protein 1 with ab320841 at 1/100 (4.91 ug/ml) dilution, followed by a ready to use LeicaDS9800 (Bond™ Polymer Refine Detection).

Positive staining on stroma cells of mouse testis. The section was incubated with ab320841 for 30 mins at room temperature.
The immunostaining was performed on a Leica Biosystems BOND® RX instrument

Counterstained with Hematoxylin.

Secondary antibody only control : Secondary antibody is a ready to use LeicaDS9800 (Bond™ Polymer Refine Detection).

Heat mediated antigen retrieval was performed with Tris-EDTA buffer (pH 9.0, Epitope Retrieval Solution2) for 20 mins

Flow Cytometry (Intracellular) - Anti-Extracellular matrix protein 1 antibody [RM1187] - BSA and Azide free (AB320842)
  • Flow Cyt (Intra)

Supplier Data

Flow Cytometry (Intracellular) - Anti-Extracellular matrix protein 1 antibody [RM1187] - BSA and Azide free (AB320842)

This data was developed using ab320841, the same antibody clone in a different buffer formulation.

Flow cytometric analysis of 4% paraformaldehyde fixed 90% methanol permeabilized Hepa1-6 (mouse hepatoma epithelial cell) cells labelling Extracellular matrix protein 1 with ab320841 at 1/50 dilution (1ug) (Red) compared with a Rabbit monoclonal IgG (ab172730) (Black) isotype control and an unlabelled control (cells without incubation with primary antibody and secondary antibody).

Goat Anti-Rabbit IgG (Alexa Fluor® 488, ab150081) at 1/5000 dilution was used as the secondary antibody.

Immunohistochemistry (Formalin/PFA-fixed paraffin-embedded sections) - Anti-Extracellular matrix protein 1 antibody [RM1187] - BSA and Azide free (AB320842)
  • IHC-P

Supplier Data

Immunohistochemistry (Formalin/PFA-fixed paraffin-embedded sections) - Anti-Extracellular matrix protein 1 antibody [RM1187] - BSA and Azide free (AB320842)

This data was developed using ab320841, the same antibody clone in a different buffer formulation.

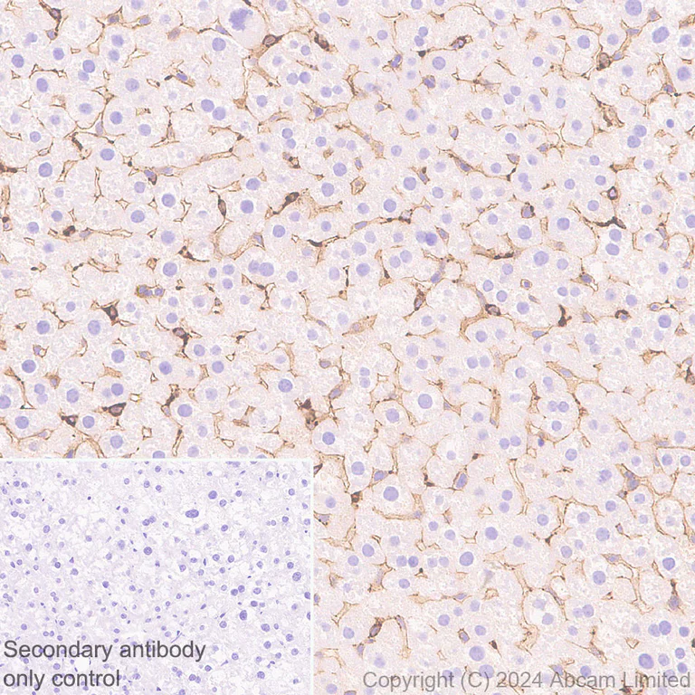
Immunohistochemical analysis of paraffin-embedded Mouse liver tissue labeling Extracellular matrix protein 1 with ab320841 at 1/100 (4.91 ug/ml) dilution, followed by a ready to use LeicaDS9800 (Bond™ Polymer Refine Detection).

Positive staining on stroma cells of mouse liver. The section was incubated with ab320841 for 30 mins at room temperature.
The immunostaining was performed on a Leica Biosystems BOND® RX instrument

Counterstained with Hematoxylin.

Secondary antibody only control : Secondary antibody is a ready to use LeicaDS9800 (Bond™ Polymer Refine Detection).

Heat mediated antigen retrieval was performed with Tris-EDTA buffer (pH 9.0, Epitope Retrieval Solution2) for 20 mins

Immunohistochemistry (Formalin/PFA-fixed paraffin-embedded sections) - Anti-Extracellular matrix protein 1 antibody [RM1187] - BSA and Azide free (AB320842)
  • IHC-P

Supplier Data

Immunohistochemistry (Formalin/PFA-fixed paraffin-embedded sections) - Anti-Extracellular matrix protein 1 antibody [RM1187] - BSA and Azide free (AB320842)

This data was developed using ab320841, the same antibody clone in a different buffer formulation.

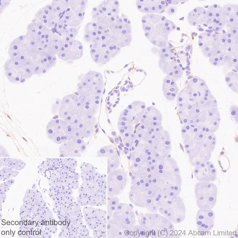
Immunohistochemical analysis of paraffin-embedded Mouse pancreas tissue labeling Extracellular matrix protein 1 with ab320841 at 1/100 (4.91 ug/ml) dilution, followed by a ready to use LeicaDS9800 (Bond™ Polymer Refine Detection).

Low expression : weak staining on stroma cells of mouse pancreas. The section was incubated with ab320841 for 30 mins at room temperature.
The immunostaining was performed on a Leica Biosystems BOND® RX instrument

Counterstained with Hematoxylin.

Secondary antibody only control : Secondary antibody is a ready to use LeicaDS9800 (Bond™ Polymer Refine Detection).

Heat mediated antigen retrieval was performed with Tris-EDTA buffer (pH 9.0, Epitope Retrieval Solution2) for 20 mins

Immunohistochemistry (Formalin/PFA-fixed paraffin-embedded sections) - Anti-Extracellular matrix protein 1 antibody [RM1187] - BSA and Azide free (AB320842)
  • IHC-P

Supplier Data

Immunohistochemistry (Formalin/PFA-fixed paraffin-embedded sections) - Anti-Extracellular matrix protein 1 antibody [RM1187] - BSA and Azide free (AB320842)

This data was developed using ab320841, the same antibody clone in a different buffer formulation.

Immunohistochemical analysis of paraffin-embedded Mouse cerebrum tissue labeling Extracellular matrix protein 1 with ab320841 at 1/100 (4.91 ug/ml) dilution, followed by a ready to use LeicaDS9800 (Bond™ Polymer Refine Detection).

Low expression : weak staining on mouse cerebrum. The section was incubated with ab320841 for 30 mins at room temperature.
The immunostaining was performed on a Leica Biosystems BOND® RX instrument

Counterstained with Hematoxylin.

Secondary antibody only control : Secondary antibody is a ready to use LeicaDS9800 (Bond™ Polymer Refine Detection).

Heat mediated antigen retrieval was performed with Tris-EDTA buffer (pH 9.0, Epitope Retrieval Solution2) for 20 mins

Immunoprecipitation - Anti-Extracellular matrix protein 1 antibody [RM1187] - BSA and Azide free (AB320842)
  • IP

Supplier Data

Immunoprecipitation - Anti-Extracellular matrix protein 1 antibody [RM1187] - BSA and Azide free (AB320842)

This data was developed using ab320841, the same antibody clone in a different buffer formulation.

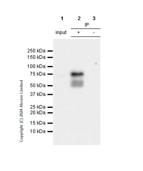
Extracellular matrix protein 1 was immunoprecipitated from 0.35 mg Hepa1-6 (mouse hepatoma epithelial cell) whole cell lysate with ab320841 at 1/30 dilution (2ug in 0.35mg lysates). Western blot was performed on the immunoprecipitate using ab320841 at 1/1000 dilution. VeriBlot for IP secondary antibody(HRP)(ab131366) was used at 1/5000 dilution.

Lane 1 : Hepa1-6 (mouse hepatoma epithelial cell) whole cell lysate
Lane 2 : ab320841 IP in Hepa1-6 (mouse hepatoma epithelial cell) whole cell lysate
Lane 3 : Rabbit monoclonal IgG (ab172730) instead of ab320841 in Hepa1-6 whole cell lysate

Blocking and dilution buffer and concentration : 5% NFDM/TBST

All lanes:

Immunoprecipitation - Anti-Extracellular matrix protein 1 antibody [RM1187] (<a href='/en-us/products/primary-antibodies/extracellular-matrix-protein-1-antibody-rm1187-ab320841'>ab320841</a>) at 1/30 dilution

All lanes:

Hepa1-6 (mouse hepatoma epithelial cell) whole cell lysate

Secondary

All lanes:

Immunoprecipitation - VeriBlot for IP Detection Reagent (HRP) (<a href='/en-us/products/reagents/veriblot-for-ip-detection-reagent-hrp-ab131366'>ab131366</a>) at 1/5000 dilution

false

Exposure time: 24s

Western blot - Anti-Extracellular matrix protein 1 antibody [RM1187] - BSA and Azide free (AB320842)
  • WB

Supplier Data

Western blot - Anti-Extracellular matrix protein 1 antibody [RM1187] - BSA and Azide free (AB320842)

This data was developed using ab320841, the same antibody clone in a different buffer formulation.

Blocking and diluting buffer and concentration : 5% NFDM/TBST.

Low expression : pancreas.

The expression profile/ molecular weight observed is consistent with what has been described in the literature (PMID : 25379385, PMID : 12604605, PMID : 23202415, PMID : 7608209).

In Western blot, Anti-GAPDH antibody [EPR16891] - Loading Control (ab181602) staining at 1/200000 dilution.

Exposure time : Lane 1-4 : 48 seconds Lane 5 : 26 seconds

All lanes:

Western blot - Anti-Extracellular matrix protein 1 antibody [RM1187] (<a href='/en-us/products/primary-antibodies/extracellular-matrix-protein-1-antibody-rm1187-ab320841'>ab320841</a>) at 1/1000 dilution

Lane 1:

Human uterus tissue lysate at 40 µg

Lane 2:

Human pancreas tissue lysate at 40 µg

Lane 3:

Mouse uterus tissue lysate at 40 µg

Lane 4:

Mouse pancreas tissue lysate at 40 µg

Lane 5:

Human lung cancer tissue lysate at 40 µg

Secondary

All lanes:

Western blot - Goat Anti-Rabbit IgG H&L (HRP) (<a href='/en-us/products/secondary-antibodies/goat-rabbit-igg-h-l-hrp-ab97051'>ab97051</a>) at 1/20000 dilution

Observed band size: 48-85 kDa,36 kDa

false

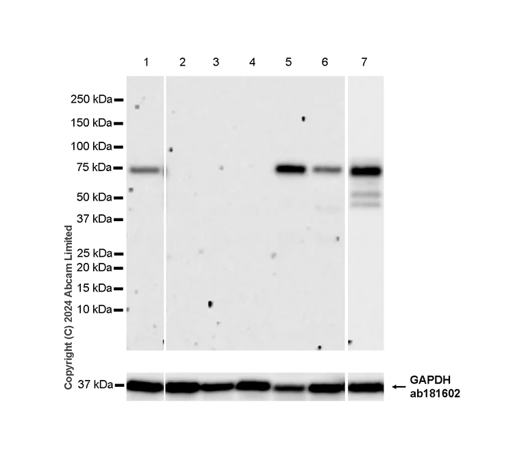
Western blot - Anti-Extracellular matrix protein 1 antibody [RM1187] - BSA and Azide free (AB320842)
  • WB

Supplier Data

Western blot - Anti-Extracellular matrix protein 1 antibody [RM1187] - BSA and Azide free (AB320842)

This data was developed using ab320841, the same antibody clone in a different buffer formulation.

Blocking and diluting buffer and concentration : 5% NFDM/TBST.

Low expression : HCT 116 (PMID : 35574325), Jurkat and 293T.

The expression profile/ molecular weight observed is consistent with what has been described in the literature (PMID : 25379385, PMID : 12604605, PMID : 23202415, PMID : 7608209).

In Western blot, Anti-GAPDH antibody [EPR16891] - Loading Control (ab181602) staining at 1/200000 dilution.

Exposure time : Lane 1-6 : 180 seconds Lane 7 : 48 seconds

All lanes:

Western blot - Anti-Extracellular matrix protein 1 antibody [RM1187] (<a href='/en-us/products/primary-antibodies/extracellular-matrix-protein-1-antibody-rm1187-ab320841'>ab320841</a>) at 1/1000 dilution

Lane 1:

A375 (human malignant melanoma epithelial cell) whole cell lysate at 20 µg

Lanes 2 - 3:

Jurkat (human T cell leukemia T lymphocyte from peripheral blood) whole cell lysate at 20 µg

Lane 4:

HCT 116 (human colorectal carcinoma epithelial cell) whole cell lysate at 20 µg

Lane 5:

Hepa1-6 (mouse hepatoma epithelial cell) whole cell lysate at 20 µg

Lane 6:

C2C12 (mouse myoblast) whole cell lysate at 20 µg

Lane 7:

A-172 (human brain glioblastoma cell ) whole cell lysate at 20 µg

Secondary

All lanes:

Western blot - Goat Anti-Rabbit IgG H&L (HRP) (<a href='/en-us/products/secondary-antibodies/goat-rabbit-igg-h-l-hrp-ab97051'>ab97051</a>) at 1/100000 dilution

Observed band size: 48-85 kDa,36 kDa

false

Western blot - Anti-Extracellular matrix protein 1 antibody [RM1187] - BSA and Azide free (AB320842)
  • WB

Supplier Data

Western blot - Anti-Extracellular matrix protein 1 antibody [RM1187] - BSA and Azide free (AB320842)

This data was developed using ab320841, the same antibody clone in a different buffer formulation.

Blocking and diluting buffer and concentration : 5% NFDM/TBST.

Low expression : brain (PMID : 7608209).

In Western blot, Anti-GAPDH antibody [EPR16891] - Loading Control (ab181602) staining at 1/200000 dilution.

All lanes:

Western blot - Anti-Extracellular matrix protein 1 antibody [RM1187] (<a href='/en-us/products/primary-antibodies/extracellular-matrix-protein-1-antibody-rm1187-ab320841'>ab320841</a>) at 1/1000 dilution

Lane 1:

Mouse brain tissue lysate at 20 µg

Lane 2:

Mouse testis tissue lysate at 20 µg

Lane 3:

Mouse spleen tissue lysate at 20 µg

Secondary

All lanes:

Western blot - Goat Anti-Rabbit IgG H&L (HRP) (<a href='/en-us/products/secondary-antibodies/goat-rabbit-igg-h-l-hrp-ab97051'>ab97051</a>) at 1/20000 dilution

Observed band size: 48-85 kDa,36 kDa

false

Exposure time: 81s

Key facts

Host species

Rabbit

Clonality

Multiclonal

Clone number

RM1187

Isotype

IgG

Carrier free

Yes

Reacts with

Human, Mouse

Applications

IP, WB, Flow Cyt (Intra), IHC-P, ICC/IF

applications

Immunogen

The exact immunogen used to generate this antibody is proprietary information.

Specificity

Unsuitable for human IHC-P and ICC.

Reactivity data

{ "title": "Reactivity Data", "filters": { "stats": ["", "Species", "Dilution Info", "Notes"], "tabs": { "all-applications": {"fullname" : "All Applications", "shortname": "All Applications"}, "WB" : {"fullname" : "Western blot", "shortname":"WB"}, "IHCP" : {"fullname" : "Immunohistochemistry (Formalin/PFA-fixed paraffin-embedded sections)", "shortname":"IHC-P"}, "FlowCytIntra" : {"fullname" : "Flow Cytometry (Intracellular)", "shortname":"Flow Cyt (Intra)"}, "ICCIF" : {"fullname" : "Immunocytochemistry/ Immunofluorescence", "shortname":"ICC/IF"}, "IP" : {"fullname" : "Immunoprecipitation", "shortname":"IP"} }, "product-promise": { "all": "all", "testedAndGuaranteed": "tested", "guaranteed": "expected", "predicted": "predicted", "notRecommended": "not-recommended" } }, "values": { "Human": { "WB-species-checked": "testedAndGuaranteed", "WB-species-dilution-info": "", "WB-species-notes": "<p></p>", "IHCP-species-checked": "notRecommended", "IHCP-species-dilution-info": "", "IHCP-species-notes": "<p></p>", "FlowCytIntra-species-checked": "testedAndGuaranteed", "FlowCytIntra-species-dilution-info": "", "FlowCytIntra-species-notes": "<p></p>", "ICCIF-species-checked": "notRecommended", "ICCIF-species-dilution-info": "", "ICCIF-species-notes": "<p></p>", "IP-species-checked": "testedAndGuaranteed", "IP-species-dilution-info": "", "IP-species-notes": "<p></p>" }, "Mouse": { "WB-species-checked": "testedAndGuaranteed", "WB-species-dilution-info": "", "WB-species-notes": "<p></p>", "IHCP-species-checked": "testedAndGuaranteed", "IHCP-species-dilution-info": "", "IHCP-species-notes": "<p></p> Perform heat-mediated antigen retrieval with Tris/EDTA buffer pH 9.0 before commencing with IHC staining protocol.", "FlowCytIntra-species-checked": "testedAndGuaranteed", "FlowCytIntra-species-dilution-info": "", "FlowCytIntra-species-notes": "<p></p>", "ICCIF-species-checked": "testedAndGuaranteed", "ICCIF-species-dilution-info": "", "ICCIF-species-notes": "<p></p>", "IP-species-checked": "testedAndGuaranteed", "IP-species-dilution-info": "", "IP-species-notes": "<p></p>" }, "Rat": { "WB-species-checked": "notRecommended", "WB-species-dilution-info": "", "WB-species-notes": "", "IHCP-species-checked": "notRecommended", "IHCP-species-dilution-info": "", "IHCP-species-notes": "<p></p>", "FlowCytIntra-species-checked": "notRecommended", "FlowCytIntra-species-dilution-info": "", "FlowCytIntra-species-notes": "", "ICCIF-species-checked": "notRecommended", "ICCIF-species-dilution-info": "", "ICCIF-species-notes": "", "IP-species-checked": "notRecommended", "IP-species-dilution-info": "", "IP-species-notes": "" } } }

Product details

ab320842 is the carrier-free version of ab320841.

What are recombinant multiclonals?
Recombinant multiclonals are a mixture of recombinant antibodies co-expressed from a library of heavy and light chains. They offer several advantages including:

  • - The sensitivity of polyclonal antibodies by recognising multiple epitopes
  • - High batch-to-batch consistency and reproducibility
  • - Improved sensitivity and specificity
  • - Long-term security of supply
  • - Animal-free batch production

View our range of recombinant multiclonal antibodies.

Patented technology
Our RabMAb® technology is a patented hybridoma-based technology for making rabbit monoclonal antibodies. For details on our patents, please refer to RabMAb® patents.

Conjugation ready
Our carrier-free antibodies are typically supplied in a PBS-only formulation, purified and free of BSA, sodium azide and glycerol. This conjugation-ready format is designed for use with fluorochromes, metal isotopes, oligonucleotides, and enzymes, which makes them ideal for antibody labelling, functional and cell-based assays, flow-based assays (e.g. mass cytometry) and Multiplex Imaging applications.

Use our conjugation kits for antibody conjugates that are ready-to-use in as little as 20 minutes with 1 minute hands-on-time and 100% antibody recovery: available for fluorescent dyes, HRP, biotin and gold.

Compatibility
This product is compatible with the Maxpar® Antibody Labeling Kit from Fluidigm, without the need for antibody preparation. Maxpar® is a trademark of Fluidigm Canada Inc.

Properties and storage information

Form
Liquid
Purification technique
Affinity purification Protein A
Storage buffer
pH: 7.2 - 7.4 Constituents: PBS
Shipped at conditions
Blue Ice
Appropriate short-term storage conditions
+4°C
Appropriate long-term storage conditions
+4°C

Supplementary information

This supplementary information is collated from multiple sources and compiled automatically.

Extracellular matrix protein 1 often called ECM1 is a matrix protein involved in various mechanical functions in the body. This protein weighs approximately 61 kDa and is widely expressed in human tissues including skin bone lung and brain. ECM1 also goes by the name H3300 vector used in some experimental contexts. Being an extracellular matrix (ECM) component ECM1 plays roles in tissue organization influencing matrix proteins' structural integrity.
Biological function summary

ECM1 contributes to cell-matrix interactions and regulates various cell behaviors such as adhesion proliferation and differentiation. It does this by binding to other ECM proteins and is known not to be part of a specific complex. ECM1 facilitates communication between the cellular environment and matrix thereby supporting the architecture and dynamics of tissues. It modulates angiogenesis linking it with processes like wound healing and vascular development.

Pathways

ECM1 functions within the context of key signaling routes such as the PI3K/AKT pathway known for roles in cell growth and survival. ECM1 interacts with other proteins including matrix metalloproteinases contributing to matrix remodeling activities important for cellular migration and invasion. Cumulatively these interactions highlight ECM1’s place in connective tissue organization and regenerative processes.

ECM1’s dysregulation links it with lipoid proteinosis and skin conditions like Atopic Dermatitis. Imbalances in ECM1 expression or function can lead to abnormal ECM assembly influencing these diseases' development. Moreover abnormalities in ECM1 can alter the behavior of related proteins such as collagen impacting skin integrity and permeability. Understanding ECM1’s role could provide insights into therapeutic strategies for these conditions.

Product protocols

For this product, it's our understanding that no specific protocols are required. You can visit:

Target data

Involved in endochondral bone formation as negative regulator of bone mineralization. Stimulates the proliferation of endothelial cells and promotes angiogenesis. Inhibits MMP9 proteolytic activity.
See full target information Extracellular matrix protein 1

Additional targets

Ecm1

Product promise

We are committed to supporting your work with high-quality reagents, and we're here for you every step of the way. In the unlikely event that one of our products does not perform as expected, you're protected by our Product Promise.
For full details, please see our Terms & Conditions

Please note: All products are 'FOR RESEARCH USE ONLY. NOT FOR USE IN DIAGNOSTIC OR THERAPEUTIC PROCEDURES'.

For licensing inquiries, please contact partnerships@abcam.com