JavaScript is disabled in your browser. Please enable JavaScript to view this website.
AB95875

Anti-EYA2 antibody

Be the first to review this product! Submit a review

|

(4 Publications)

Rabbit Polyclonal EYA2 antibody. Suitable for IHC-P, IP, WB and reacts with Human samples. Cited in 4 publications. Immunogen corresponding to Synthetic Peptide within Human EYA2 aa 100-150.

View Alternative Names

EAB1, EYA2, Eyes absent homolog 2

3 Images
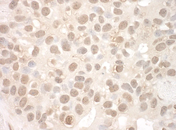
Immunohistochemistry (Formalin/PFA-fixed paraffin-embedded sections) - Anti-EYA2 antibody (AB95875)
  • IHC-P

Unknown

Immunohistochemistry (Formalin/PFA-fixed paraffin-embedded sections) - Anti-EYA2 antibody (AB95875)

Immunohistochemistry (Formalin/PFA-fixed paraffin-embedded sections) analysis of human breast carcinoma tissue labelling EYA2 with ab95875 at 1/1000 (1µg/ml). Detection : DAB.

Immunoprecipitation - Anti-EYA2 antibody (AB95875)
  • IP

Unknown

Immunoprecipitation - Anti-EYA2 antibody (AB95875)

Detection of human Eya2 by Western Blot of Immunoprecipitate. ab95875 at 0.1µg/ml staining Eya2 in 293T cell lysate immunoprecipitated using ab95875 at 3µg/mg (1mg/IP; 20% of IP loaded/lane) Detection : Chemiluminescence with exposure time of 10 seconds..

All lanes:

Immunoprecipitation - Anti-EYA2 antibody (ab95875)

Predicted band size: 59 kDa

false

Western blot - Anti-EYA2 antibody (AB95875)
  • WB

Unknown

Western blot - Anti-EYA2 antibody (AB95875)

All lanes:

Western blot - Anti-EYA2 antibody (ab95875) at 0.2 µg/mL

Lane 1:

293T cell lysate at 50 µg

Lane 2:

293T cell lysate at 15 µg

Lane 3:

293T cell lysate at 5 µg

Predicted band size: 59 kDa

true

Exposure time: 30s

Key facts

Host species

Rabbit

Clonality

Polyclonal

Isotype

IgG

Carrier free

No

Reacts with

Human

Applications

WB, IP, IHC-P

applications

Immunogen

Synthetic Peptide within Human EYA2 aa 100-150. The exact immunogen used to generate this antibody is proprietary information.

O00167

Reactivity data

{ "title": "Reactivity Data", "filters": { "stats": ["", "Species", "Dilution Info", "Notes"], "tabs": { "all-applications": {"fullname" : "All Applications", "shortname": "All Applications"}, "IHCP" : {"fullname" : "Immunohistochemistry (Formalin/PFA-fixed paraffin-embedded sections)", "shortname":"IHC-P"}, "IP" : {"fullname" : "Immunoprecipitation", "shortname":"IP"}, "WB" : {"fullname" : "Western blot", "shortname":"WB"} }, "product-promise": { "all": "all", "testedAndGuaranteed": "tested", "guaranteed": "expected", "predicted": "predicted", "notRecommended": "not-recommended" } }, "values": { "Human": { "IHCP-species-checked": "testedAndGuaranteed", "IHCP-species-dilution-info": "1/500 - 1/2000", "IHCP-species-notes": "<p></p> Perform heat-mediated antigen retrieval with citrate buffer pH 6 before commencing with IHC staining protocol.", "IP-species-checked": "testedAndGuaranteed", "IP-species-dilution-info": "2-5 µg/mg of lysate", "IP-species-notes": "<p></p>", "WB-species-checked": "testedAndGuaranteed", "WB-species-dilution-info": "1/2000 - 1/10000", "WB-species-notes": "<p></p>" }, "Bat": { "IHCP-species-checked": "predicted", "IHCP-species-dilution-info": "", "IHCP-species-notes": "", "IP-species-checked": "predicted", "IP-species-dilution-info": "", "IP-species-notes": "", "WB-species-checked": "predicted", "WB-species-dilution-info": "", "WB-species-notes": "" }, "Chimpanzee": { "IHCP-species-checked": "predicted", "IHCP-species-dilution-info": "", "IHCP-species-notes": "", "IP-species-checked": "predicted", "IP-species-dilution-info": "", "IP-species-notes": "", "WB-species-checked": "predicted", "WB-species-dilution-info": "", "WB-species-notes": "" }, "Cow": { "IHCP-species-checked": "predicted", "IHCP-species-dilution-info": "", "IHCP-species-notes": "", "IP-species-checked": "predicted", "IP-species-dilution-info": "", "IP-species-notes": "", "WB-species-checked": "predicted", "WB-species-dilution-info": "", "WB-species-notes": "" }, "Gorilla": { "IHCP-species-checked": "predicted", "IHCP-species-dilution-info": "", "IHCP-species-notes": "", "IP-species-checked": "predicted", "IP-species-dilution-info": "", "IP-species-notes": "", "WB-species-checked": "predicted", "WB-species-dilution-info": "", "WB-species-notes": "" }, "Horse": { "IHCP-species-checked": "predicted", "IHCP-species-dilution-info": "", "IHCP-species-notes": "", "IP-species-checked": "predicted", "IP-species-dilution-info": "", "IP-species-notes": "", "WB-species-checked": "predicted", "WB-species-dilution-info": "", "WB-species-notes": "" }, "Opossum": { "IHCP-species-checked": "predicted", "IHCP-species-dilution-info": "", "IHCP-species-notes": "", "IP-species-checked": "predicted", "IP-species-dilution-info": "", "IP-species-notes": "", "WB-species-checked": "predicted", "WB-species-dilution-info": "", "WB-species-notes": "" }, "Orangutan": { "IHCP-species-checked": "predicted", "IHCP-species-dilution-info": "", "IHCP-species-notes": "", "IP-species-checked": "predicted", "IP-species-dilution-info": "", "IP-species-notes": "", "WB-species-checked": "predicted", "WB-species-dilution-info": "", "WB-species-notes": "" }, "Rhesus monkey": { "IHCP-species-checked": "predicted", "IHCP-species-dilution-info": "", "IHCP-species-notes": "", "IP-species-checked": "predicted", "IP-species-dilution-info": "", "IP-species-notes": "", "WB-species-checked": "predicted", "WB-species-dilution-info": "", "WB-species-notes": "" } } }

Properties and storage information

Form
Liquid
Purification technique
Affinity purification Immunogen
Storage buffer
pH: 7 - 8 Preservative: 0.09% Sodium azide Constituents: Tris citrate/phosphate
Shipped at conditions
Blue Ice
Appropriate short-term storage conditions
+4°C
Appropriate long-term storage conditions
-20°C
Aliquoting information
Upon delivery aliquot
Storage information
Avoid freeze / thaw cycle

Supplementary information

This supplementary information is collated from multiple sources and compiled automatically.

The EYA2 protein also known as Eyes Absent Homolog 2 is part of the EYA family of proteins. It has a mass of around 67 kDa. EYA2 functions as a transcriptional coactivator and phosphatase contributing to gene expression regulation. The protein is typically expressed in tissues including the brain kidney and ovaries. EYA2’s phosphatase activity is important in dephosphorylating tyrosine residues on target proteins influencing their function and stability.
Biological function summary

EYA2 engages in critical developmental processes and cellular stress responses. It functions as part of a phosphatase complex with the SIX family of proteins where it plays a role in the regulation of eye development and other organogenesis processes. EYA2's involvement extends to DNA repair as it modulates the activity of proteins engaged in maintaining genomic integrity. This role is essential for normal cellular function and response to environmental stressors.

Pathways

EYA2 participates in the hippo signaling pathway and the DNA damage repair pathway. Through the hippo signaling pathway EYA2 interacts with several other proteins including YAP and TAZ influencing cell proliferation and apoptosis. In the DNA damage repair pathway it associates with proteins such as ATR and ATM ensuring effective repair of DNA lesions and maintenance of genomic stability.

EYA2 is connected to various cancers including breast and ovarian cancer. Alterations in EYA2 expression or activity can lead to unchecked cell proliferation and tumor development. Cancer metastasis often shows increased levels of EYA2 suggesting a role in cancer progression. Furthermore EYA2's interaction with proteins like SIX1 contributes to oncogenic processes highlighting potential therapeutic targets for these conditions.

Product protocols

For this product, it's our understanding that no specific protocols are required. You can visit:

Target data

Functions both as protein phosphatase and as transcriptional coactivator for SIX1, and probably also for SIX2, SIX4 and SIX5 (PubMed : 12500905, PubMed : 23435380). Tyrosine phosphatase that dephosphorylates 'Tyr-142' of histone H2AX (H2AXY142ph) and promotes efficient DNA repair via the recruitment of DNA repair complexes containing MDC1. 'Tyr-142' phosphorylation of histone H2AX plays a central role in DNA repair and acts as a mark that distinguishes between apoptotic and repair responses to genotoxic stress (PubMed : 19351884). Its function as histone phosphatase may contribute to its function in transcription regulation during organogenesis. Plays an important role in hypaxial muscle development together with SIX1 and DACH2; in this it is functionally redundant with EYA1 (PubMed : 12500905).
See full target information EYA2

Publications (4)

Recent publications for all applications. Explore the full list and refine your search

Carcinogenesis : PubMed33449106

2021

EYA2 upregulates miR-93 to promote tumorigenesis of breast cancer by targeting and inhibiting the STING signaling pathway.

Applications

Unspecified application

Species

Unspecified reactive species

Lishen Ren,Dongrui Guo,Xiaohui Wan,Rongfeng Qu

Neoplasia (New York, N.Y.) 21:571-581 PubMed31048097

2019

Gene Expression Profiling Reveals Distinct Molecular Subtypes of Esophageal Squamous Cell Carcinoma in Asian Populations.

Applications

Unspecified application

Species

Unspecified reactive species

Fengling Wang,Zhongyi Yan,Jiajia Lv,Junfang Xin,Yifang Dang,Xiaoxiao Sun,Yang An,Yijun Qi,Qiying Jiang,Wan Zhu,Yongqiang Li,Ao Li,Xiangqian Guo

Frontiers in oncology 9:26 PubMed30761270

2019

EYA2 Correlates With Clinico-Pathological Features of Breast Cancer, Promotes Tumor Proliferation, and Predicts Poor Survival.

Applications

Unspecified application

Species

Unspecified reactive species

Hanxiao Xu,Ying Jiao,Ming Yi,Weiheng Zhao,Kongming Wu

Oncotarget 8:110837-110848 PubMed29340020

2017

EYA2 promotes lung cancer cell proliferation by downregulating the expression of PTEN.

Applications

Unspecified application

Species

Unspecified reactive species

Zhaoming Li,Ran Qiu,Xia Qiu,Tian Tian
View all publications

Product promise

We are committed to supporting your work with high-quality reagents, and we're here for you every step of the way. In the unlikely event that one of our products does not perform as expected, you're protected by our Product Promise.
For full details, please see our Terms & Conditions

Please note: All products are 'FOR RESEARCH USE ONLY. NOT FOR USE IN DIAGNOSTIC OR THERAPEUTIC PROCEDURES'.

For licensing inquiries, please contact partnerships@abcam.com