JavaScript is disabled in your browser. Please enable JavaScript to view this website.
AB95876

Anti-EYA3 antibody

2

(1 Review)

|

(4 Publications)

Rabbit Polyclonal EYA3 antibody. Suitable for IHC-P, IP, WB and reacts with Human samples. Cited in 4 publications. Immunogen corresponding to Synthetic Peptide within Human EYA3 aa 1-50.

View Alternative Names

Protein phosphatase EYA3, Eyes absent homolog 3, EYA3

3 Images
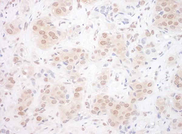
Immunohistochemistry (Formalin/PFA-fixed paraffin-embedded sections) - Anti-EYA3 antibody (AB95876)
  • IHC-P

Unknown

Immunohistochemistry (Formalin/PFA-fixed paraffin-embedded sections) - Anti-EYA3 antibody (AB95876)

Immunohistochemistry (Formalin/PFA-fixed paraffin-embedded sections) analysis of human breast carcinoma tissue labelling EYA3 with ab95876 at 1/200 (1µg/ml). Detection : DAB.

Immunoprecipitation - Anti-EYA3 antibody (AB95876)
  • IP

Unknown

Immunoprecipitation - Anti-EYA3 antibody (AB95876)

Detection of human Eya3 by Western Blot of Immunoprecipitate. ab95876 at 0.04µg/ml staining Eya3 in HeLa cell lysate immunoprecipitated using ab95876 at 3µg/mg (1mg/IP; 20% of IP loaded/lane). Detection : Chemiluminescence with exposure time of 10 seconds.

All lanes:

Immunoprecipitation - Anti-EYA3 antibody (ab95876)

Predicted band size: 63 kDa

false

Western blot - Anti-EYA3 antibody (AB95876)
  • WB

Unknown

Western blot - Anti-EYA3 antibody (AB95876)

All lanes:

Western blot - Anti-EYA3 antibody (ab95876) at 0.04 µg/mL

Lane 1:

HeLa cell lysate at 50 µg

Lane 2:

HeLa cell lysate at 15 µg

Lane 3:

HeLa cell lysate at 5 µg

Lane 4:

293T cell lysate at 50 µg

Predicted band size: 63 kDa

true

Exposure time: 30s

Key facts

Host species

Rabbit

Clonality

Polyclonal

Isotype

IgG

Carrier free

No

Reacts with

Human

Applications

IP, WB, IHC-P

applications

Immunogen

Synthetic Peptide within Human EYA3 aa 1-50. The exact immunogen used to generate this antibody is proprietary information.

Q99504

Reactivity data

{ "title": "Reactivity Data", "filters": { "stats": ["", "Species", "Dilution Info", "Notes"], "tabs": { "all-applications": {"fullname" : "All Applications", "shortname": "All Applications"}, "IHCP" : {"fullname" : "Immunohistochemistry (Formalin/PFA-fixed paraffin-embedded sections)", "shortname":"IHC-P"}, "IP" : {"fullname" : "Immunoprecipitation", "shortname":"IP"}, "WB" : {"fullname" : "Western blot", "shortname":"WB"} }, "product-promise": { "all": "all", "testedAndGuaranteed": "tested", "guaranteed": "expected", "predicted": "predicted", "notRecommended": "not-recommended" } }, "values": { "Human": { "IHCP-species-checked": "testedAndGuaranteed", "IHCP-species-dilution-info": "1/100 - 1/500", "IHCP-species-notes": "<p></p> Perform heat-mediated antigen retrieval with citrate buffer pH 6 before commencing with IHC staining protocol.", "IP-species-checked": "testedAndGuaranteed", "IP-species-dilution-info": "2-5 µg/mg of lysate", "IP-species-notes": "<p></p>", "WB-species-checked": "testedAndGuaranteed", "WB-species-dilution-info": "1/2000 - 1/10000", "WB-species-notes": "<p></p>" }, "Mouse": { "IHCP-species-checked": "predicted", "IHCP-species-dilution-info": "", "IHCP-species-notes": "", "IP-species-checked": "predicted", "IP-species-dilution-info": "", "IP-species-notes": "", "WB-species-checked": "predicted", "WB-species-dilution-info": "", "WB-species-notes": "" }, "Chimpanzee": { "IHCP-species-checked": "predicted", "IHCP-species-dilution-info": "", "IHCP-species-notes": "", "IP-species-checked": "predicted", "IP-species-dilution-info": "", "IP-species-notes": "", "WB-species-checked": "predicted", "WB-species-dilution-info": "", "WB-species-notes": "" }, "Cow": { "IHCP-species-checked": "predicted", "IHCP-species-dilution-info": "", "IHCP-species-notes": "", "IP-species-checked": "predicted", "IP-species-dilution-info": "", "IP-species-notes": "", "WB-species-checked": "predicted", "WB-species-dilution-info": "", "WB-species-notes": "" }, "Dog": { "IHCP-species-checked": "predicted", "IHCP-species-dilution-info": "", "IHCP-species-notes": "", "IP-species-checked": "predicted", "IP-species-dilution-info": "", "IP-species-notes": "", "WB-species-checked": "predicted", "WB-species-dilution-info": "", "WB-species-notes": "" }, "Elephant": { "IHCP-species-checked": "predicted", "IHCP-species-dilution-info": "", "IHCP-species-notes": "", "IP-species-checked": "predicted", "IP-species-dilution-info": "", "IP-species-notes": "", "WB-species-checked": "predicted", "WB-species-dilution-info": "", "WB-species-notes": "" }, "Gorilla": { "IHCP-species-checked": "predicted", "IHCP-species-dilution-info": "", "IHCP-species-notes": "", "IP-species-checked": "predicted", "IP-species-dilution-info": "", "IP-species-notes": "", "WB-species-checked": "predicted", "WB-species-dilution-info": "", "WB-species-notes": "" }, "Guinea pig": { "IHCP-species-checked": "predicted", "IHCP-species-dilution-info": "", "IHCP-species-notes": "", "IP-species-checked": "predicted", "IP-species-dilution-info": "", "IP-species-notes": "", "WB-species-checked": "predicted", "WB-species-dilution-info": "", "WB-species-notes": "" }, "Horse": { "IHCP-species-checked": "predicted", "IHCP-species-dilution-info": "", "IHCP-species-notes": "", "IP-species-checked": "predicted", "IP-species-dilution-info": "", "IP-species-notes": "", "WB-species-checked": "predicted", "WB-species-dilution-info": "", "WB-species-notes": "" }, "Orangutan": { "IHCP-species-checked": "predicted", "IHCP-species-dilution-info": "", "IHCP-species-notes": "", "IP-species-checked": "predicted", "IP-species-dilution-info": "", "IP-species-notes": "", "WB-species-checked": "predicted", "WB-species-dilution-info": "", "WB-species-notes": "" }, "Pig": { "IHCP-species-checked": "predicted", "IHCP-species-dilution-info": "", "IHCP-species-notes": "", "IP-species-checked": "predicted", "IP-species-dilution-info": "", "IP-species-notes": "", "WB-species-checked": "predicted", "WB-species-dilution-info": "", "WB-species-notes": "" }, "Rabbit": { "IHCP-species-checked": "predicted", "IHCP-species-dilution-info": "", "IHCP-species-notes": "", "IP-species-checked": "predicted", "IP-species-dilution-info": "", "IP-species-notes": "", "WB-species-checked": "predicted", "WB-species-dilution-info": "", "WB-species-notes": "" }, "Rhesus monkey": { "IHCP-species-checked": "predicted", "IHCP-species-dilution-info": "", "IHCP-species-notes": "", "IP-species-checked": "predicted", "IP-species-dilution-info": "", "IP-species-notes": "", "WB-species-checked": "predicted", "WB-species-dilution-info": "", "WB-species-notes": "" }, "Sheep": { "IHCP-species-checked": "predicted", "IHCP-species-dilution-info": "", "IHCP-species-notes": "", "IP-species-checked": "predicted", "IP-species-dilution-info": "", "IP-species-notes": "", "WB-species-checked": "predicted", "WB-species-dilution-info": "", "WB-species-notes": "" } } }

Properties and storage information

Form
Liquid
Purification technique
Affinity purification Immunogen
Storage buffer
pH: 6.8 - 7.4 Preservative: 0.09% Sodium azide Constituents: Tris buffered saline, 0.1% BSA
Shipped at conditions
Blue Ice
Appropriate short-term storage conditions
+4°C
Appropriate long-term storage conditions
+4°C
Aliquoting information
Upon delivery aliquot
Storage information
Avoid freeze / thaw cycle

Supplementary information

This supplementary information is collated from multiple sources and compiled automatically.

EYA3 also known as Eyes Absent Homolog 3 is a protein with a mass of approximately 65 kDa. It performs a dual function serving as both a phosphatase and a transcriptional co-activator. EYA3 exhibits expression in various tissues including the brain kidney and muscle. This protein plays an important mechanical role in the complex regulation of developmental and cellular processes influencing critical activities inside cells.
Biological function summary

EYA3 functions in conjunction with other members of the EYA protein family. It associates with the SIX family of transcription factors acting as part of a protein complex. This complex significantly impacts the regulation of gene expression during development especially in organogenesis. The protein's role becomes particularly apparent during the development of organs such as the eyes where it influences cellular differentiation and morphogenesis.

Pathways

The activity of EYA3 integrates into two significant signaling cascades: the Wnt signaling pathway and the Hedgehog signaling pathway. EYA3 interacts with relevant proteins within these pathways such as beta-catenin in the Wnt pathway and Gli proteins in the Hedgehog pathway. These interactions allow EYA3 to participate actively in cellular proliferation differentiation and apoptosis.

EYA3 expression links to several significant conditions including cancer and specifically breast cancer. Altered expression levels of EYA3 have been observed in tumor cells where they may affect the behavior of cancer cells. Additionally its relationship with proteins such as p53 a tumor suppressor highlights its potential impact on cancer development and progression. Understanding EYA3's role could provide insights into therapeutic strategies for targeting such diseases.

Product protocols

For this product, it's our understanding that no specific protocols are required. You can visit:

Target data

Tyrosine phosphatase that specifically dephosphorylates 'Tyr-142' of histone H2AX (H2AXY142ph). 'Tyr-142' phosphorylation of histone H2AX plays a central role in DNA repair and acts as a mark that distinguishes between apoptotic and repair responses to genotoxic stress. Promotes efficient DNA repair by dephosphorylating H2AX, promoting the recruitment of DNA repair complexes containing MDC1 (PubMed : 19234442, PubMed : 19351884). Its function as histone phosphatase probably explains its role in transcription regulation during organogenesis. Coactivates SIX1, and seems to coactivate SIX2, SIX4 and SIX5. The repression of precursor cell proliferation in myoblasts by SIX1 is switched to activation through recruitment of EYA3 to the SIX1-DACH1 complex and seems to be dependent on EYA3 phosphatase activity (By similarity). May be involved in development of the eye.
See full target information EYA3

Publications (4)

Recent publications for all applications. Explore the full list and refine your search

Journal of cellular and molecular medicine 25:3735-3743 PubMed33710774

2021

Up-regulation of circRNA_0068481 promotes right ventricular hypertrophy in PAH patients via regulating miR-646/miR-570/miR-885.

Applications

Unspecified application

Species

Unspecified reactive species

Hong-Mei Guo,Zi-Peng Liu

Molecular cancer therapeutics 20:803-815 PubMed33649104

2021

Targeting EYA3 in Ewing Sarcoma Retards Tumor Growth and Angiogenesis.

Applications

Unspecified application

Species

Unspecified reactive species

Yuhua Wang,Ram Naresh Pandey,Kaushik Roychoudhury,David Milewski,Tanya V Kalin,Sara Szabo,Joseph G Pressey,Rashmi S Hegde

Nature communications 10:4143 PubMed31515519

2019

The EYA3 tyrosine phosphatase activity promotes pulmonary vascular remodeling in pulmonary arterial hypertension.

Applications

Unspecified application

Species

Unspecified reactive species

Yuhua Wang,Ram Naresh Pandey,Allen J York,Jaya Mallela,William C Nichols,Yueh-Chiang Hu,Jeffery D Molkentin,Kathryn A Wikenheiser-Brokamp,Rashmi S Hegde

Molecular therapy : the journal of the American So 26:1299-1312 PubMed29628305

2018

miR-223-3p Inhibits Human Osteosarcoma Metastasis and Progression by Directly Targeting CDH6.

Applications

Unspecified application

Species

Unspecified reactive species

Quanbo Ji,Xiaojie Xu,Qi Song,Yameng Xu,Yanhong Tai,Stuart B Goodman,Wenzhi Bi,Meng Xu,Shunchang Jiao,William J Maloney,Yan Wang
View all publications

Product promise

We are committed to supporting your work with high-quality reagents, and we're here for you every step of the way. In the unlikely event that one of our products does not perform as expected, you're protected by our Product Promise.
For full details, please see our Terms & Conditions

Please note: All products are 'FOR RESEARCH USE ONLY. NOT FOR USE IN DIAGNOSTIC OR THERAPEUTIC PROCEDURES'.

For licensing inquiries, please contact partnerships@abcam.com