JavaScript is disabled in your browser. Please enable JavaScript to view this website.
AB316856

Anti-EZHIP antibody [EPR28396-24]

  • Advanced Validation
  • BOND RX™ Validated
  • 20ul selling size
  • Recombinant
  • RabMAb
  • What is this?

Be the first to review this product! Submit a review

|

(0 Publication)

Rabbit Recombinant Monoclonal EZHIP antibody. Suitable for IHC-P, ICC/IF, WB, Flow Cyt (Intra), IP, mIHC and reacts with Human samples.

View Alternative Names

CXorf67, EZHIP, EZH inhibitory protein

10 Images
Flow Cytometry (Intracellular) - Anti-EZHIP antibody [EPR28396-24] (AB316856)
  • Flow Cyt (Intra)

Supplier Data

Flow Cytometry (Intracellular) - Anti-EZHIP antibody [EPR28396-24] (AB316856)

Flow cytometric analysis of 4% paraformaldehyde fixed 90% methanol permeabilized 293T (human embryonic kidney epithelial cell, Left) / U-2 OS (human bone osteosarcoma epithelial cell, Right) cells labelling EZHIP with ab316856 at 1/500 dilution (0.1 ug)/Red compared with a Rabbit monoclonal IgG (ab172730) (Black) isotype control and an unlabelled control (cells without incubation with primary antibody and secondary antibody) (Blue).

Goat Anti-Rabbit IgG (Alexa Fluor® 488, ab150081) at 1/5000 dilution was used as the secondary antibody.

Low expression : 293T.

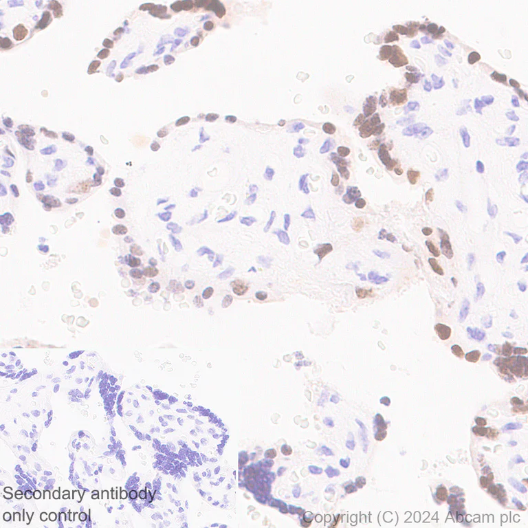
Immunohistochemistry (Formalin/PFA-fixed paraffin-embedded sections) - Anti-EZHIP antibody [EPR28396-24] (AB316856)
  • IHC-P

Supplier Data

Immunohistochemistry (Formalin/PFA-fixed paraffin-embedded sections) - Anti-EZHIP antibody [EPR28396-24] (AB316856)

Immunohistochemical analysis of paraffin-embedded Human placenta tissue labeling EZHIP with ab316856 at 1/500 (0.996 ug/ml) dilution, followed by a ready to use LeicaDS9800 (Bond™ Polymer Refine Detection).

Positive staining on human placenta (PMID : 27699219).
The section was incubated with ab316856 for 30 mins at room temperature.
The immunostaining was performed on a Leica Biosystems BOND® RX instrument

Counterstained with Hematoxylin.

Secondary antibody only control : Secondary antibody is a ready to use LeicaDS9800 (Bond™ Polymer Refine Detection).

Heat mediated antigen retrieval was performed with Tris-EDTA buffer (pH 9.0, Epitope Retrieval Solution2) for 20 mins

Immunocytochemistry/ Immunofluorescence - Anti-EZHIP antibody [EPR28396-24] (AB316856)
  • ICC/IF

Supplier Data

Immunocytochemistry/ Immunofluorescence - Anti-EZHIP antibody [EPR28396-24] (AB316856)

Immunofluorescent analysis of 4% Paraformaldehyde-fixed, 0.1% TritonX-100 permeabilized U-2 OS (human bone osteosarcoma epithelial cell) cells labelling EZHIP with ab316856 at 1/100 (4.98 ug/ml) dilution, followed by ab150081 Goat Anti-Rabbit IgG H&L (Alexa Fluor® 488) preadsorbed antibody at 1/1000 (2 ug/ml) dilution (Green).

Confocal image showing nuclear staining in U-2 OS cell line.
Low expression : 293T (PMID : 34880314).
Image was taken with a confocal microscope(Leica-Microsystems, TCS SP8).

ab195889 Anti-alpha Tubulin mouse monoclonal antibody - Microtubule Marker (Alexa Fluor® 594) was used to counterstain tubulin at 1/200 (2.5ug/ml) dilution (Red). The Nuclear counterstain was DAPI (Blue).

Secondary antibody only control : Secondary antibody is ab150081 Goat Anti-Rabbit IgG H&L (Alexa Fluor® 488) preadsorbed at 1/1000 (2 ug/ml) dilution.

Multiplex immunohistochemistry - Anti-EZHIP antibody [EPR28396-24] (AB316856)
  • mIHC

Lab

Multiplex immunohistochemistry - Anti-EZHIP antibody [EPR28396-24] (AB316856)

Multiplex immunohistochemistry analysis of formalin/PFA-fixed paraffin-embedded human placenta tissue staining GCSF Receptor with ab324569 at a 1/100 dilution, ab316856 anti-EZHIP used at 1/500 dilution and ab324497 anti-CLEC14A used at a 1/1000 dilution.

Panel A : anti-GCSF Receptor (green; Opal™520), anti-EZHIP (magenta; Opal™690) and anti-CLEC14A (gray; Opal™570) on human placenta.

Panel B : anti-GCSF Receptor staining cytoplasm of trophoblast in human placenta.

Panel C : anti-EZHIP staining nucleus in human placenta.

Panel D : anti-CLEC14A staining endothelium in human placenta.

Nuclear DNA was labeled with DAPI (shown in blue).

The section was incubated in three rounds of staining : in the order of ab324569, ab316856 and ab324497 for 30 mins at room temperature. Each round was followed by a separate fluorescent tyramide signal amplification system.

The immunostaining was performed on a Leica Biosystems BOND® RX instrument with an Opal™ 4-color kit. Image acquisition was performed with Leica SP8 confocal microscope.

Heat mediated antigen retrieval was performed with Tris-EDTA buffer (pH 9.0, Epitope Retrieval Solution2) for 20 mins.

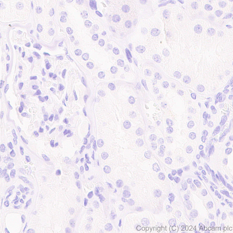
Immunohistochemistry (Formalin/PFA-fixed paraffin-embedded sections) - Anti-EZHIP antibody [EPR28396-24] (AB316856)
  • IHC-P

Supplier Data

Immunohistochemistry (Formalin/PFA-fixed paraffin-embedded sections) - Anti-EZHIP antibody [EPR28396-24] (AB316856)

Immunohistochemical analysis of paraffin-embedded Human kidney tissue labeling EZHIP with ab316856 at 1/500 (0.996 ug/ml) dilution, followed by a ready to use LeicaDS9800 (Bond™ Polymer Refine Detection).

Negative control : No staining on human kidney (PMID : 31451685).
The section was incubated with ab316856 for 30 mins at room temperature.
The immunostaining was performed on a Leica Biosystems BOND® RX instrument

Counterstained with Hematoxylin.

Secondary antibody only control : Secondary antibody is a ready to use LeicaDS9800 (Bond™ Polymer Refine Detection).

Heat mediated antigen retrieval was performed with Tris-EDTA buffer (pH 9.0, Epitope Retrieval Solution2) for 20 mins

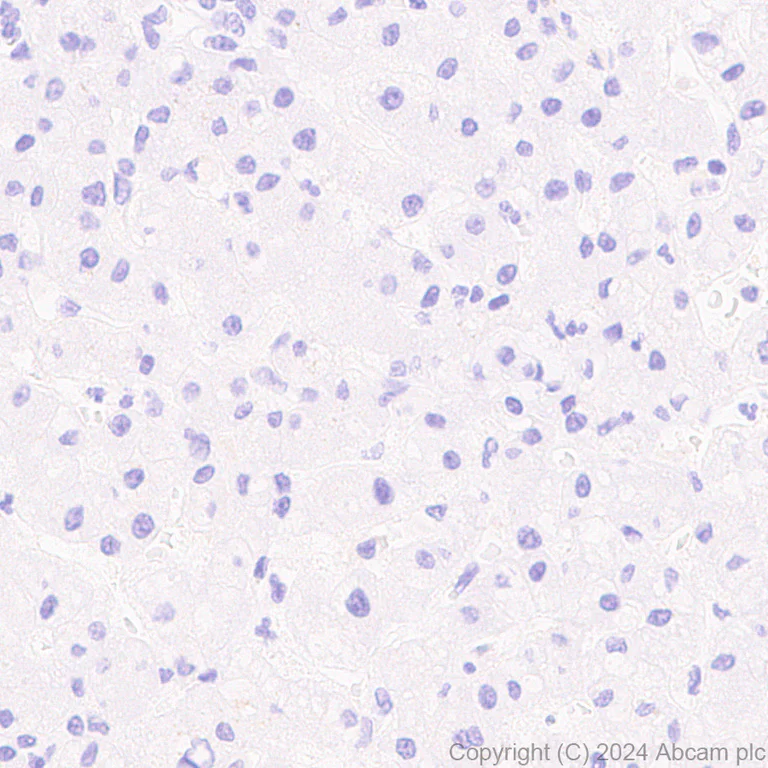
Immunohistochemistry (Formalin/PFA-fixed paraffin-embedded sections) - Anti-EZHIP antibody [EPR28396-24] (AB316856)
  • IHC-P

Supplier Data

Immunohistochemistry (Formalin/PFA-fixed paraffin-embedded sections) - Anti-EZHIP antibody [EPR28396-24] (AB316856)

Immunohistochemical analysis of paraffin-embedded Human liver tissue labeling EZHIP with ab316856 at 1/500 (0.996 ug/ml) dilution, followed by a ready to use LeicaDS9800 (Bond™ Polymer Refine Detection).

Negative control : No staining on human liver.
The section was incubated with ab316856 for 30 mins at room temperature.
The immunostaining was performed on a Leica Biosystems BOND® RX instrument

Counterstained with Hematoxylin.

Secondary antibody only control : Secondary antibody is a ready to use LeicaDS9800 (Bond™ Polymer Refine Detection).

Heat mediated antigen retrieval was performed with Tris-EDTA buffer (pH 9.0, Epitope Retrieval Solution2) for 20 mins

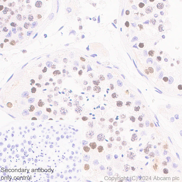
Immunohistochemistry (Formalin/PFA-fixed paraffin-embedded sections) - Anti-EZHIP antibody [EPR28396-24] (AB316856)
  • IHC-P

Supplier Data

Immunohistochemistry (Formalin/PFA-fixed paraffin-embedded sections) - Anti-EZHIP antibody [EPR28396-24] (AB316856)

Immunohistochemical analysis of paraffin-embedded Human testis tissue labeling EZHIP with ab316856 at 1/500 (0.996 ug/ml) dilution, followed by a ready to use LeicaDS9800 (Bond™ Polymer Refine Detection).

Positive staining on human testis (PMID : 31451685).
The section was incubated with ab316856 for 30 mins at room temperature.
The immunostaining was performed on a Leica Biosystems BOND® RX instrument

Counterstained with Hematoxylin.

Secondary antibody only control : Secondary antibody is a ready to use LeicaDS9800 (Bond™ Polymer Refine Detection).

Heat mediated antigen retrieval was performed with Tris-EDTA buffer (pH 9.0, Epitope Retrieval Solution2) for 20 mins

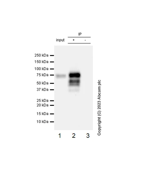
Immunoprecipitation - Anti-EZHIP antibody [EPR28396-24] (AB316856)
  • IP

Supplier Data

Immunoprecipitation - Anti-EZHIP antibody [EPR28396-24] (AB316856)

EZHIP was immunoprecipitated from 0.35 mg U-2 OS (human bone osteosarcoma epithelial cell) whole cell lysate with ab316856 at 1/30 dilution (2ug in 0.35mg lysates). Western blot was performed on the immunoprecipitate using ab316856 at 1/1000 dilution. VeriBlot for IP secondary antibody(HRP)(ab131366) was used at 1/5000 dilution.

Lane 1 : U-2 OS (human bone osteosarcoma epithelial cell) whole cell lysate
Lane 2 : ab316856 IP in U-2 OS (human bone osteosarcoma epithelial cell) whole cell lysate
Lane 3 : Rabbit monoclonal IgG (ab172730) instead of ab316856 in U-2 OS whole cell lysate

Lysate was freshly made and used for Western blotting immediately to minimize protein degradation.

All lanes:

Immunoprecipitation - Anti-EZHIP antibody [EPR28396-24] (ab316856) at 1/30 dilution

All lanes:

U-2 OS (human bone osteosarcoma epithelial cell) whole cell lysate

Secondary

All lanes:

Immunoprecipitation - VeriBlot for IP Detection Reagent (HRP) (<a href='/en-us/products/reagents/veriblot-for-ip-detection-reagent-hrp-ab131366'>ab131366</a>) at 1/5000 dilution

false

Exposure time: 10s

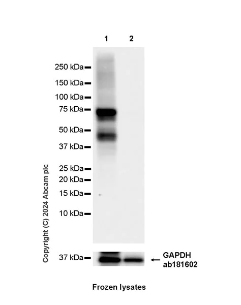
Western blot - Anti-EZHIP antibody [EPR28396-24] (AB316856)
  • WB

Supplier Data

Western blot - Anti-EZHIP antibody [EPR28396-24] (AB316856)

Low expression : 293T (PMID : 34880314).

The molecular weight observed is consistent with what has been described in the literature (PMID : 34880314).

In Western blot, Anti-GAPDH antibody [EPR16891] - Loading Control (ab181602) staining at 1/200000 dilution.

All lanes:

Western blot - Anti-EZHIP antibody [EPR28396-24] (ab316856) at 1/1000 dilution

Lane 1:

U-2OS (human bone osteosarcoma epithelial cell) whole cell lysate at 50 µg

Lane 2:

293T (human embryonic kidney epithelial cell) whole cell lysate at 50 µg

Secondary

All lanes:

Goat Anti-Rabbit IgG (HRP) with minimal cross-reactivity with human IgG at 1/2000 dilution

Observed band size: 40 kDa,75 kDa,36 kDa

false

Exposure time: 6s

Western blot - Anti-EZHIP antibody [EPR28396-24] (AB316856)
  • WB

Supplier Data

Western blot - Anti-EZHIP antibody [EPR28396-24] (AB316856)

Negative control : A204.

The molecular weight observed is consistent with what has been described in the literature (PMID : 34880314).

Lysates were freshly made and used for Western blotting immediately to minimize protein degradation.

In Western blot, Anti-GAPDH antibody [EPR16891] - Loading Control (ab181602) staining at 1/200000 dilution.

All lanes:

Western blot - Anti-EZHIP antibody [EPR28396-24] (ab316856) at 1/1000 dilution

Lane 1:

U-2OS (human bone osteosarcoma epithelial cell) whole cell lysate at 50 µg

Lane 2:

A-204 (human muscle rhabdomyosarcoma cell) whole cell lysate at 50 µg

Secondary

All lanes:

Western blot - Goat Anti-Rabbit IgG H&L (HRP) (<a href='/en-us/products/secondary-antibodies/goat-rabbit-igg-h-l-hrp-ab97051'>ab97051</a>) at 1/20000 dilution

Observed band size: 40 kDa,75 kDa,36 kDa

false

Exposure time: 10s

  • Carrier free

    Anti-EZHIP antibody [EPR28396-24] - BSA and Azide free

Key facts

Host species

Rabbit

Clonality

Monoclonal

Clone number

EPR28396-24

Isotype

IgG

Carrier free

No

Reacts with

Human

Applications

IP, IHC-P, Flow Cyt (Intra), WB, mIHC, ICC/IF

applications

Immunogen

The exact immunogen used to generate this antibody is proprietary information.

Reactivity data

{ "title": "Reactivity Data", "filters": { "stats": ["", "Species", "Dilution Info", "Notes"], "tabs": { "all-applications": {"fullname" : "All Applications", "shortname": "All Applications"}, "IHCP" : {"fullname" : "Immunohistochemistry (Formalin/PFA-fixed paraffin-embedded sections)", "shortname":"IHC-P"}, "ICCIF" : {"fullname" : "Immunocytochemistry/ Immunofluorescence", "shortname":"ICC/IF"}, "WB" : {"fullname" : "Western blot", "shortname":"WB"}, "FlowCytIntra" : {"fullname" : "Flow Cytometry (Intracellular)", "shortname":"Flow Cyt (Intra)"}, "IP" : {"fullname" : "Immunoprecipitation", "shortname":"IP"}, "mIHC" : {"fullname" : "Multiplex immunohistochemistry", "shortname":"mIHC"} }, "product-promise": { "all": "all", "testedAndGuaranteed": "tested", "guaranteed": "expected", "predicted": "predicted", "notRecommended": "not-recommended" } }, "values": { "Human": { "IHCP-species-checked": "testedAndGuaranteed", "IHCP-species-dilution-info": "1/500", "IHCP-species-notes": "<p></p> Perform heat-mediated antigen retrieval with Tris/EDTA buffer pH 9.0 before commencing with IHC staining protocol.", "ICCIF-species-checked": "testedAndGuaranteed", "ICCIF-species-dilution-info": "1/100", "ICCIF-species-notes": "<p></p>", "WB-species-checked": "testedAndGuaranteed", "WB-species-dilution-info": "1/1000", "WB-species-notes": "<p></p>", "FlowCytIntra-species-checked": "testedAndGuaranteed", "FlowCytIntra-species-dilution-info": "1/500", "FlowCytIntra-species-notes": "<p></p>", "IP-species-checked": "testedAndGuaranteed", "IP-species-dilution-info": "1/30", "IP-species-notes": "<p></p>", "mIHC-species-checked": "testedAndGuaranteed", "mIHC-species-dilution-info": "1/500", "mIHC-species-notes": "<p></p> Perform heat-mediated antigen retrieval with Tris/EDTA buffer pH 9.0 before commencing with IHC staining protocol." }, "Mouse": { "IHCP-species-checked": "notRecommended", "IHCP-species-dilution-info": "", "IHCP-species-notes": "<p></p>", "ICCIF-species-checked": "notRecommended", "ICCIF-species-dilution-info": "", "ICCIF-species-notes": "", "WB-species-checked": "notRecommended", "WB-species-dilution-info": "", "WB-species-notes": "<p></p>", "FlowCytIntra-species-checked": "notRecommended", "FlowCytIntra-species-dilution-info": "", "FlowCytIntra-species-notes": "", "IP-species-checked": "notRecommended", "IP-species-dilution-info": "", "IP-species-notes": "", "mIHC-species-checked": "notRecommended", "mIHC-species-dilution-info": "", "mIHC-species-notes": "" }, "Rat": { "IHCP-species-checked": "notRecommended", "IHCP-species-dilution-info": "", "IHCP-species-notes": "<p></p>", "ICCIF-species-checked": "notRecommended", "ICCIF-species-dilution-info": "", "ICCIF-species-notes": "", "WB-species-checked": "notRecommended", "WB-species-dilution-info": "", "WB-species-notes": "<p></p>", "FlowCytIntra-species-checked": "notRecommended", "FlowCytIntra-species-dilution-info": "", "FlowCytIntra-species-notes": "", "IP-species-checked": "notRecommended", "IP-species-dilution-info": "", "IP-species-notes": "", "mIHC-species-checked": "notRecommended", "mIHC-species-dilution-info": "", "mIHC-species-notes": "" } } }

Product details

Patented technology
Our RabMAb® technology is a patented hybridoma-based technology for making rabbit monoclonal antibodies. For details on our patents, please refer to RabMAb® patents.

What are the advantages of a recombinant monoclonal antibody?
This product is a recombinant monoclonal antibody, which offers several advantages including:

  • - High batch-to-batch consistency and reproducibility
  • - Improved sensitivity and specificity
  • - Long-term security of supply
  • - Animal-free batch production

For more information, read more on recombinant antibodies.

Properties and storage information

Form
Liquid
Purification technique
Affinity purification Protein A
Storage buffer
pH: 7.2 - 7.4 Preservative: 0.01% Sodium azide Constituents: PBS, 40% Glycerol (glycerin, glycerine), 0.05% BSA
Shipped at conditions
Blue Ice
Appropriate short-term storage duration
1-2 weeks
Appropriate short-term storage conditions
+4°C
Appropriate long-term storage conditions
-20°C
Aliquoting information
Upon delivery aliquot
Storage information
Avoid freeze / thaw cycle

Supplementary information

This supplementary information is collated from multiple sources and compiled automatically.

The EZHIP (EZH Inhibitory Protein) also known as CATACOMB is a protein that inhibits the activity of EZH2 an important enzyme in the PRC2 (Polycomb Repressive Complex 2). EZHIP is a protein with a molecular mass of approximately 90 kDa. It expresses in various tissues with notable presence in the male and female reproductive tracts as well as in several cancer cell lines. The protein's role involves modulating chromatin structure by interfering with methyltransferase activity affecting gene silencing.
Biological function summary

EZHIP interacts with the Polycomb Repressive Complex 2 (PRC2) altering its methylation activity on histone H3 at lysine 27 (H3K27me3) an important mark for epigenetic gene silencing. By engaging the complex EZHIP hinders the catalytic efficiency of EZH2 reducing the repression of target genes. This interaction significantly impacts epigenetic regulation as alterations to methylation patterns influence cellular functions and differentiation processes.

Pathways

EZHIP's function affects pathways related to chromatin modification and epigenetic regulation. It is central to the regulation of the JAK-STAT signaling pathway and interacts closely with EZH2 and possibly other members of the Polycomb group proteins. EZHIP shapes the chromatin landscape influencing the transcriptional output by collaborating or competing with other transcription factors and modifiers within these pathways.

EZHIP's aberrant expression is linked to cancers including gliomas and germ cell tumors. The relationship between EZHIP and EZH2 becomes important as alterations in EZH2 activity lead to abnormal gene silencing associated with oncogenesis. Additionally research indicates that dysregulation involving EZHIP might contribute to developmental disorders through improper epigenetic marks. Further study about its interactions could provide insights into therapeutic approaches for conditions linked to epigenetic misregulation.

Product protocols

For this product, it's our understanding that no specific protocols are required. You can visit:

Target data

Inhibits PRC2/EED-EZH1 and PRC2/EED-EZH2 complex function by inhibiting EZH1/EZH2 methyltransferase activity, thereby causing down-regulation of histone H3 trimethylation on 'Lys-27' (H3K27me3) (PubMed : 29909548, PubMed : 30923826, PubMed : 31086175, PubMed : 31451685). Probably inhibits methyltransferase activity by limiting the stimulatory effect of cofactors such as AEBP2 and JARID2 (PubMed : 30923826). Inhibits H3K27me3 deposition during spermatogenesis and oogenesis (By similarity).
See full target information EZHIP

Product promise

We are committed to supporting your work with high-quality reagents, and we're here for you every step of the way. In the unlikely event that one of our products does not perform as expected, you're protected by our Product Promise.
For full details, please see our Terms & Conditions

Please note: All products are 'FOR RESEARCH USE ONLY. NOT FOR USE IN DIAGNOSTIC OR THERAPEUTIC PROCEDURES'.

For licensing inquiries, please contact partnerships@abcam.com