JavaScript is disabled in your browser. Please enable JavaScript to view this website.
AB313393

Anti-EZHIP antibody [EPR28396-50] - BSA and Azide free

Be the first to review this product! Submit a review

|

(0 Publication)

Rabbit Recombinant Monoclonal EZHIP antibody. Carrier free. Suitable for IHC-P, Flow Cyt (Intra), WB, ICC/IF and reacts with Human, Mouse samples.

View Alternative Names

CXorf67, EZHIP, EZH inhibitory protein

8 Images
Immunohistochemistry (Formalin/PFA-fixed paraffin-embedded sections) - Anti-EZHIP antibody [EPR28396-50] - BSA and Azide free (AB313393)
  • IHC-P

Supplier Data

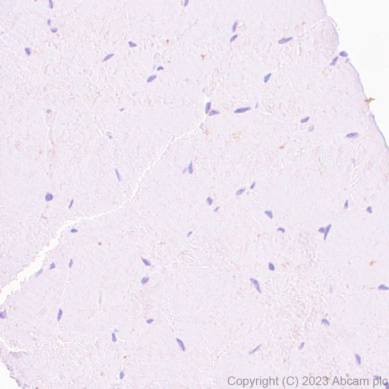
Immunohistochemistry (Formalin/PFA-fixed paraffin-embedded sections) - Anti-EZHIP antibody [EPR28396-50] - BSA and Azide free (AB313393)

This data was developed using ab313392, the same antibody clone in a different buffer formulation. Immunohistochemical analysis of paraffin-embedded Human skeletal muscl tissue labeling CXorf67 with ab313392 at 1/200 (2.555 ug/ml) followed by a ready to use Rabbit specific IHC polymer detection kit HRP/DAB (ab209101). Negative control : No staining on human skeletal muscle.The section was incubated with ab313392 for 30 mins at room temperature.The immunostaining was performed on a Leica Biosystems BOND® RX instrument Counterstained with Hematoxylin. Secondary antibody only control : Secondary antibody is a ready to use Rabbit specific IHC polymer detection kit HRP/DAB (ab209101). Heat mediated antigen retrieval was performed with Tris-EDTA buffer (pH 9.0, Epitope Retrieval Solution2) for 20 mins

Immunohistochemistry (Formalin/PFA-fixed paraffin-embedded sections) - Anti-EZHIP antibody [EPR28396-50] - BSA and Azide free (AB313393)
  • IHC-P

Supplier Data

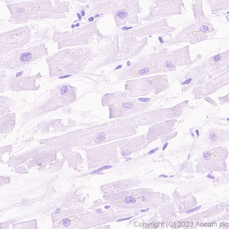
Immunohistochemistry (Formalin/PFA-fixed paraffin-embedded sections) - Anti-EZHIP antibody [EPR28396-50] - BSA and Azide free (AB313393)

This data was developed using ab313392, the same antibody clone in a different buffer formulation. Immunohistochemical analysis of paraffin-embedded Human cardiac muscle tissue labeling CXorf67 with ab313392 at 1/200 (2.555 ug/ml) followed by a ready to use Rabbit specific IHC polymer detection kit HRP/DAB (ab209101). Negative control : No staining on human cardiac muscle.The section was incubated with ab313392 for 30 mins at room temperature.The immunostaining was performed on a Leica Biosystems BOND® RX instrument Counterstained with Hematoxylin. Secondary antibody only control : Secondary antibody is a ready to use Rabbit specific IHC polymer detection kit HRP/DAB (ab209101). Heat mediated antigen retrieval was performed with Tris-EDTA buffer (pH 9.0, Epitope Retrieval Solution2) for 20 mins

Immunohistochemistry (Formalin/PFA-fixed paraffin-embedded sections) - Anti-EZHIP antibody [EPR28396-50] - BSA and Azide free (AB313393)
  • IHC-P

Supplier Data

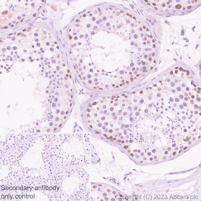
Immunohistochemistry (Formalin/PFA-fixed paraffin-embedded sections) - Anti-EZHIP antibody [EPR28396-50] - BSA and Azide free (AB313393)

This data was developed using ab313392, the same antibody clone in a different buffer formulation. Immunohistochemical analysis of paraffin-embedded Human testis tissue labeling CXorf67 with ab313392 at 1/200 (2.555 ug/ml) followed by a ready to use Rabbit specific IHC polymer detection kit HRP/DAB (ab209101). Positive staining on human testis (PMID : 31451685).The section was incubated with ab313392 for 30 mins at room temperature.The immunostaining was performed on a Leica Biosystems BOND® RX instrument Counterstained with Hematoxylin. Secondary antibody only control : Secondary antibody is a ready to use Rabbit specific IHC polymer detection kit HRP/DAB (ab209101). Heat mediated antigen retrieval was performed with Tris-EDTA buffer (pH 9.0, Epitope Retrieval Solution2) for 20 mins

Immunohistochemistry (Formalin/PFA-fixed paraffin-embedded sections) - Anti-EZHIP antibody [EPR28396-50] - BSA and Azide free (AB313393)
  • IHC-P

Supplier Data

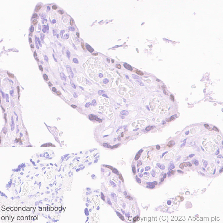
Immunohistochemistry (Formalin/PFA-fixed paraffin-embedded sections) - Anti-EZHIP antibody [EPR28396-50] - BSA and Azide free (AB313393)

This data was developed using ab313392, the same antibody clone in a different buffer formulation. Immunohistochemical analysis of paraffin-embedded Human placenta tissue labeling CXorf67 with ab313392 at 1/200 (2.555 ug/ml) followed by a ready to use Rabbit specific IHC polymer detection kit HRP/DAB (ab209101). Positive staining on human placenta.The section was incubated with ab313392 for 30 mins at room temperature.The immunostaining was performed on a Leica Biosystems BOND® RX instrument Counterstained with Hematoxylin. Secondary antibody only control : Secondary antibody is a ready to use Rabbit specific IHC polymer detection kit HRP/DAB (ab209101). Heat mediated antigen retrieval was performed with Tris-EDTA buffer (pH 9.0, Epitope Retrieval Solution2) for 20 mins

Immunocytochemistry/ Immunofluorescence - Anti-EZHIP antibody [EPR28396-50] - BSA and Azide free (AB313393)
  • ICC/IF

Supplier Data

Immunocytochemistry/ Immunofluorescence - Anti-EZHIP antibody [EPR28396-50] - BSA and Azide free (AB313393)

This data was developed using ab313392, the same antibody clone in a different buffer formulation. Immunofluorescent analysis of 4% Paraformaldehyde-fixed, 0.1% TritonX-100 permeabilized U-2 OS (human bone osteosarcoma epithelial cell) cells labelling CXorf67 with ab313392 at 1/500 (1.022 ug/ml) dilution, followed by ab150081 Goat Anti-Rabbit IgG H&L (Alexa Fluor® 488) preadsorbed antibody at 1/1000 2 ug/ml dilution (Green). Confocal image showing nuclear staining in U-2 OS cell line.Low expression : 293T (PMID : 34880314).Image was taken with a confocal microscope(Leica-Microsystems, TCS SP8). ab195889 Anti-alpha Tubulin mouse monoclonal antibody - Microtubule Marker (Alexa Fluor® 594) was used to counterstain tubulin at 1/200 2.5ug/ml dilution (Red). The Nuclear counterstain was DAPI (Blue). Secondary antibody only control : Secondary antibody is ab150081 Goat Anti-Rabbit IgG H&L (Alexa Fluor® 488) preadsorbed at 1/1000 2 ug/ml dilution.

Flow Cytometry (Intracellular) - Anti-EZHIP antibody [EPR28396-50] - BSA and Azide free (AB313393)
  • Flow Cyt (Intra)

Supplier Data

Flow Cytometry (Intracellular) - Anti-EZHIP antibody [EPR28396-50] - BSA and Azide free (AB313393)

This data was developed using ab313392, the same antibody clone in a different buffer formulation. Flow cytometric analysis of 4% paraformaldehyde fixed 90% methanol permeabilized 293T (human embryonic kidney epithelial cell, Left) / U-2 OS (human bone osteosarcoma epithelial cell, Right) cells labelling EZHIP with ab313392 at 1/500 dilution (0.1 ug)/Red (Red) compared with a Rabbit monoclonal IgG (ab172730) (Black) isotype control and an unlabelled control (cells without incubation with primary antibody and secondary antibody) (Blue). A Goat Anti-Rabbit IgG (Alexa Fluor® 488, ab150081) at 1/5000 dilution was used as the secondary antibody. Low expression : 293T (PMID : 34880314).

Western blot - Anti-EZHIP antibody [EPR28396-50] - BSA and Azide free (AB313393)
  • WB

Supplier Data

Western blot - Anti-EZHIP antibody [EPR28396-50] - BSA and Azide free (AB313393)

This data was developed using ab313392, the same antibody clone in a different buffer formulation.

Blocking and diluting buffer and concentration : 5% NFDM/TBST.

Low expression : 293T (PMID : 34880314).

The molecular weight observed is consistent with what has been described in the literature (PMID : 34880314).

Lysates were freshly made and used for Western blotting immediately to minimize protein degradation.

In Western blot, anti-GAPDH antibody (ab181602) loading control staining at 1/200000 dilution.

All lanes:

Western blot - Anti-EZHIP antibody [EPR28396-50] (<a href='/en-us/products/primary-antibodies/ezhip-antibody-epr28396-50-ab313392'>ab313392</a>) at 1/1000 dilution

Lane 1:

U-2OS (human bone osteosarcoma epithelial cell) whole cell lysate at 50 µg

Lane 2:

293T (human embryonic kidney epithelial cell) whole cell lysate at 50 µg

Secondary

All lanes:

Western blot - Goat Anti-Rabbit IgG H&L (HRP) (<a href='/en-us/products/secondary-antibodies/goat-rabbit-igg-h-l-hrp-ab97051'>ab97051</a>) at 1/100000 dilution

Observed band size: 50 kDa,75 kDa

false

Exposure time: 92s

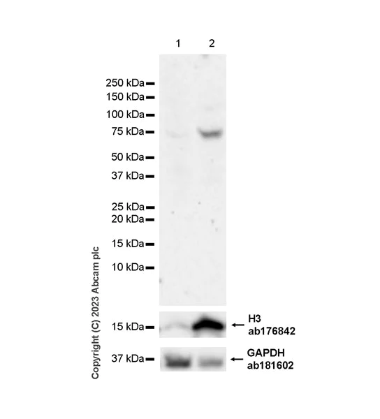
Western blot - Anti-EZHIP antibody [EPR28396-50] - BSA and Azide free (AB313393)
  • WB

Supplier Data

Western blot - Anti-EZHIP antibody [EPR28396-50] - BSA and Azide free (AB313393)

This data was developed using ab313392, the same antibody clone in a different buffer formulation. Blocking and diluting buffer and concentration : 5% NFDM/TBST.

This blot was developed using a high sensitivity ECL substrate. The high-sensitivity ECL substrate used allows for the detection of proteins in the mid-femtogram range.

In Western blot, anti- H3 antibody (ab176842) loading control staining at 1/100000 dilution.

In Western blot, anti-GAPDH antibody (ab181602) loading control staining at 1/200000 dilution.

All lanes:

Western blot - Anti-EZHIP antibody [EPR28396-50] (<a href='/en-us/products/primary-antibodies/ezhip-antibody-epr28396-50-ab313392'>ab313392</a>) at 1/1000 dilution

Lane 1:

Mouse testis cytoplasmic fraction at 50 µg

Lane 2:

Mouse testis nuclear fraction at 50 µg

Secondary

All lanes:

Goat Anti-Rabbit IgG (HRP) with minimal cross-reactivity with human IgG at 1/2000 dilution

Observed band size: 75 kDa

true

Exposure time: 180s

Key facts

Host species

Rabbit

Clonality

Monoclonal

Clone number

EPR28396-50

Isotype

IgG

Carrier free

Yes

Reacts with

Human, Mouse

Applications

Flow Cyt (Intra), WB, ICC/IF, IHC-P

applications

Immunogen

The exact immunogen used to generate this antibody is proprietary information.

Specificity

Unsuitable for mouse IHC-P.

Reactivity data

{ "title": "Reactivity Data", "filters": { "stats": ["", "Species", "Dilution Info", "Notes"], "tabs": { "all-applications": {"fullname" : "All Applications", "shortname": "All Applications"}, "IHCP" : {"fullname" : "Immunohistochemistry (Formalin/PFA-fixed paraffin-embedded sections)", "shortname":"IHC-P"}, "FlowCytIntra" : {"fullname" : "Flow Cytometry (Intracellular)", "shortname":"Flow Cyt (Intra)"}, "WB" : {"fullname" : "Western blot", "shortname":"WB"}, "ICCIF" : {"fullname" : "Immunocytochemistry/ Immunofluorescence", "shortname":"ICC/IF"}, "IP" : {"fullname" : "Immunoprecipitation", "shortname":"IP"} }, "product-promise": { "all": "all", "testedAndGuaranteed": "tested", "guaranteed": "expected", "predicted": "predicted", "notRecommended": "not-recommended" } }, "values": { "Human": { "IHCP-species-checked": "testedAndGuaranteed", "IHCP-species-dilution-info": "", "IHCP-species-notes": "<p></p>", "FlowCytIntra-species-checked": "testedAndGuaranteed", "FlowCytIntra-species-dilution-info": "", "FlowCytIntra-species-notes": "<p></p>", "WB-species-checked": "testedAndGuaranteed", "WB-species-dilution-info": "", "WB-species-notes": "<p></p>", "ICCIF-species-checked": "testedAndGuaranteed", "ICCIF-species-dilution-info": "", "ICCIF-species-notes": "<p></p>", "IP-species-checked": "notRecommended", "IP-species-dilution-info": "", "IP-species-notes": "<p></p>" }, "Mouse": { "IHCP-species-checked": "notRecommended", "IHCP-species-dilution-info": "", "IHCP-species-notes": "<p></p>", "FlowCytIntra-species-checked": "guaranteed", "FlowCytIntra-species-dilution-info": "", "FlowCytIntra-species-notes": "", "WB-species-checked": "testedAndGuaranteed", "WB-species-dilution-info": "", "WB-species-notes": "<p></p>", "ICCIF-species-checked": "guaranteed", "ICCIF-species-dilution-info": "", "ICCIF-species-notes": "", "IP-species-checked": "notRecommended", "IP-species-dilution-info": "", "IP-species-notes": "" }, "Rat": { "IHCP-species-checked": "notRecommended", "IHCP-species-dilution-info": "", "IHCP-species-notes": "<p></p>", "FlowCytIntra-species-checked": "notRecommended", "FlowCytIntra-species-dilution-info": "", "FlowCytIntra-species-notes": "", "WB-species-checked": "notRecommended", "WB-species-dilution-info": "", "WB-species-notes": "<p></p>", "ICCIF-species-checked": "notRecommended", "ICCIF-species-dilution-info": "", "ICCIF-species-notes": "", "IP-species-checked": "notRecommended", "IP-species-dilution-info": "", "IP-species-notes": "" } } }

Product details

Patented technology
Our RabMAb® technology is a patented hybridoma-based technology for making rabbit monoclonal antibodies. For details on our patents, please refer to RabMAb® patents.

What are the advantages of a recombinant monoclonal antibody?
This product is a recombinant monoclonal antibody, which offers several advantages including:

  • - High batch-to-batch consistency and reproducibility
  • - Improved sensitivity and specificity
  • - Long-term security of supply
  • - Animal-free batch production

For more information, read more on recombinant antibodies.

Conjugation ready
Our carrier-free antibodies are typically supplied in a PBS-only formulation, purified and free of BSA, sodium azide and glycerol. This conjugation-ready format is designed for use with fluorochromes, metal isotopes, oligonucleotides, and enzymes, which makes them ideal for antibody labelling, functional and cell-based assays, flow-based assays (e.g. mass cytometry) and Multiplex Imaging applications.

Use our conjugation kits for antibody conjugates that are ready-to-use in as little as 20 minutes with 1 minute hands-on-time and 100% antibody recovery: available for fluorescent dyes, HRP, biotin and gold.

Compatibility
This product is compatible with the Maxpar® Antibody Labeling Kit from Fluidigm, without the need for antibody preparation. Maxpar® is a trademark of Fluidigm Canada Inc.

Properties and storage information

Form
Liquid
Purification technique
Affinity purification Protein A
Storage buffer
pH: 7.2 - 7.4 Constituents: PBS
Shipped at conditions
Blue Ice
Appropriate short-term storage conditions
+4°C
Appropriate long-term storage conditions
+4°C

Supplementary information

This supplementary information is collated from multiple sources and compiled automatically.

The EZHIP (EZH Inhibitory Protein) also known as CATACOMB is a protein that inhibits the activity of EZH2 an important enzyme in the PRC2 (Polycomb Repressive Complex 2). EZHIP is a protein with a molecular mass of approximately 90 kDa. It expresses in various tissues with notable presence in the male and female reproductive tracts as well as in several cancer cell lines. The protein's role involves modulating chromatin structure by interfering with methyltransferase activity affecting gene silencing.
Biological function summary

EZHIP interacts with the Polycomb Repressive Complex 2 (PRC2) altering its methylation activity on histone H3 at lysine 27 (H3K27me3) an important mark for epigenetic gene silencing. By engaging the complex EZHIP hinders the catalytic efficiency of EZH2 reducing the repression of target genes. This interaction significantly impacts epigenetic regulation as alterations to methylation patterns influence cellular functions and differentiation processes.

Pathways

EZHIP's function affects pathways related to chromatin modification and epigenetic regulation. It is central to the regulation of the JAK-STAT signaling pathway and interacts closely with EZH2 and possibly other members of the Polycomb group proteins. EZHIP shapes the chromatin landscape influencing the transcriptional output by collaborating or competing with other transcription factors and modifiers within these pathways.

EZHIP's aberrant expression is linked to cancers including gliomas and germ cell tumors. The relationship between EZHIP and EZH2 becomes important as alterations in EZH2 activity lead to abnormal gene silencing associated with oncogenesis. Additionally research indicates that dysregulation involving EZHIP might contribute to developmental disorders through improper epigenetic marks. Further study about its interactions could provide insights into therapeutic approaches for conditions linked to epigenetic misregulation.

Product protocols

For this product, it's our understanding that no specific protocols are required. You can visit:

Target data

Inhibits PRC2/EED-EZH1 and PRC2/EED-EZH2 complex function by inhibiting EZH1/EZH2 methyltransferase activity, thereby causing down-regulation of histone H3 trimethylation on 'Lys-27' (H3K27me3) (PubMed : 29909548, PubMed : 30923826, PubMed : 31086175, PubMed : 31451685). Probably inhibits methyltransferase activity by limiting the stimulatory effect of cofactors such as AEBP2 and JARID2 (PubMed : 30923826). Inhibits H3K27me3 deposition during spermatogenesis and oogenesis (By similarity).
See full target information EZHIP

Product promise

We are committed to supporting your work with high-quality reagents, and we're here for you every step of the way. In the unlikely event that one of our products does not perform as expected, you're protected by our Product Promise.
For full details, please see our Terms & Conditions

Please note: All products are 'FOR RESEARCH USE ONLY. NOT FOR USE IN DIAGNOSTIC OR THERAPEUTIC PROCEDURES'.

For licensing inquiries, please contact partnerships@abcam.com