JavaScript is disabled in your browser. Please enable JavaScript to view this website.
AB270442

Anti-Ezrin antibody [EPR23353-55]

Be the first to review this product! Submit a review

|

(3 Publications)

Rabbit Recombinant Monoclonal Ezrin antibody. Suitable for IP, WB, ICC/IF, Flow Cyt (Intra), IHC-P and reacts with Mouse, Rat, Human samples. Cited in 3 publications.

View Alternative Names

VIL2, EZR, Ezrin, Cytovillin, Villin-2, p81

16 Images
Flow Cytometry (Intracellular) - Anti-Ezrin antibody [EPR23353-55] (AB270442)
  • Flow Cyt (Intra)

Supplier Data

Flow Cytometry (Intracellular) - Anti-Ezrin antibody [EPR23353-55] (AB270442)

Intracellular flow cytometric analysis of 4% paraformaldehyde-fixed, 90% methanol-permeabilized HeLa (Human cervix adenocarcinoma epithelial cell) cells labeling Ezrin with ab270442 at 1/500 dilution (0.1μg) (Red) compared with a Rabbit monoclonal IgG (ab172730) (Black) isotype control and an unlabeled control (cells without incubation with primary antibody and secondary antibody) (Blue). A Goat anti rabbit IgG (Alexa Fluor® 488, ab150077) at 1/2000 dilution was used as the secondary antibody.

Immunocytochemistry/ Immunofluorescence - Anti-Ezrin antibody [EPR23353-55] (AB270442)
  • ICC/IF

Supplier Data

Immunocytochemistry/ Immunofluorescence - Anti-Ezrin antibody [EPR23353-55] (AB270442)

Immunofluorescent analysis of 100% methanol-fixed HeLa cells labeling Ezrin with ab270442 at 1/50 dilution, followed by ab150077 Goat Anti-Rabbit IgG H&L (Alexa Fluor® 488) antibody at 1/1000 dilution (Green). Confocal image showing membranous and weak cytoplasmic staining in HeLa cells. ab195889 Anti-alpha Tubulin antibody [DM1A] - Microtubule Marker (Alexa Fluor® 594) was used to counterstain tubulin at 1/200 dilution (Red). The nuclear counterstain was DAPI (Blue).

100% methanol fixation is recommended.

Secondary antibody only control : Used PBS instead of primary antibody, secondary antibody is ab150077 Goat Anti-Rabbit IgG H&L (Alexa Fluor® 488) at 1/1000 dilution.

Immunoprecipitation - Anti-Ezrin antibody [EPR23353-55] (AB270442)
  • IP

Supplier Data

Immunoprecipitation - Anti-Ezrin antibody [EPR23353-55] (AB270442)

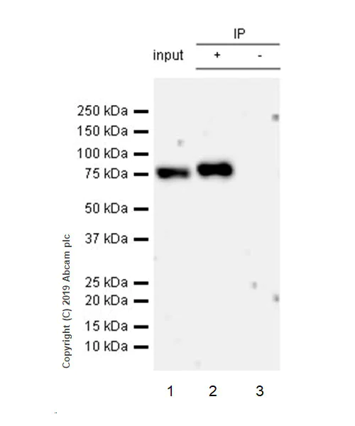
Ezrin was immunoprecipitated from 0.35 mg HeLa (human cervix adenocarcinoma epithelial cell) whole cell lysate with ab270442 at 1/30 dilution (2μg in 0.35mg lysates). Western blot was performed on the immunoprecipitate using ab270442 at 1/1000 dilution (0.549 μg/ml). VeriBlot for IP Detection Reagent (HRP )(ab131366) was used at 1/5000 dilution.

Lane 1 : HeLa whole cell lysate 10 μg.

Lane 2 : ab270442 IP in HeLa whole cell lysate.
Lane 3 : Rabbit monoclonal IgG (ab172730) instead of ab270442 in HeLa whole cell lysate.

Blocking and dilution buffer and concentration : 5% NFDM/TBST.

Exposure time : 32 secs.

All lanes:

Immunoprecipitation - Anti-Ezrin antibody [EPR23353-55] (ab270442)

Predicted band size: 69 kDa

false

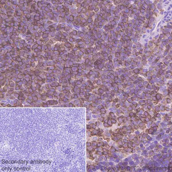
Immunohistochemistry (Formalin/PFA-fixed paraffin-embedded sections) - Anti-Ezrin antibody [EPR23353-55] (AB270442)
  • IHC-P

Supplier Data

Immunohistochemistry (Formalin/PFA-fixed paraffin-embedded sections) - Anti-Ezrin antibody [EPR23353-55] (AB270442)

Immunohistochemical analysis of paraffin-embedded mouse spleen tissue labeling Ezrin with ab270442 at 1/2000 followed by a ready to use Rabbit specific IHC polymer detection kit HRP/DAB (ab209101). Positive staining on mouse spleen. The section was incubated with ab270442 for 30 mins at room temperature. The immunostaining was performed on a Leica Biosystems BOND® RX instrument. Counterstained with hematoxylin. Heat mediated antigen retrieval with Tris-EDTA buffer (pH 9.0, epitope retrieval solution) for 20 mins.

Secondary antibody only control : Used PBS instead of primary antibody, secondary antibody is a ready to use Rabbit specific IHC polymer detection kit HRP/DAB (ab209101).

Immunohistochemistry (Formalin/PFA-fixed paraffin-embedded sections) - Anti-Ezrin antibody [EPR23353-55] (AB270442)
  • IHC-P

Supplier Data

Immunohistochemistry (Formalin/PFA-fixed paraffin-embedded sections) - Anti-Ezrin antibody [EPR23353-55] (AB270442)

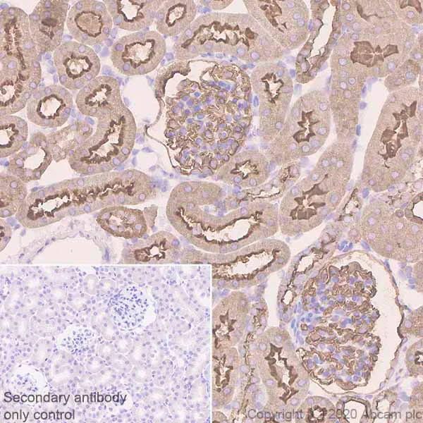
Immunohistochemical analysis of paraffin-embedded mouse kidney tissue labeling Ezrin with ab270442 at 1/2000 followed by a ready to use Rabbit specific IHC polymer detection kit HRP/DAB (ab209101). Positive staining on mouse kidney (PMID : 16522749). The section was incubated with ab270442 for 30 mins at room temperature. The immunostaining was performed on a Leica Biosystems BOND® RX instrument. Counterstained with hematoxylin. Heat mediated antigen retrieval with Tris-EDTA buffer (pH 9.0, epitope retrieval solution2) for 20 mins.

Secondary antibody only control : Used PBS instead of primary antibody, secondary antibody is a ready to use Rabbit specific IHC polymer detection kit HRP/DAB (ab209101).

Immunohistochemistry (Formalin/PFA-fixed paraffin-embedded sections) - Anti-Ezrin antibody [EPR23353-55] (AB270442)
  • IHC-P

Supplier Data

Immunohistochemistry (Formalin/PFA-fixed paraffin-embedded sections) - Anti-Ezrin antibody [EPR23353-55] (AB270442)

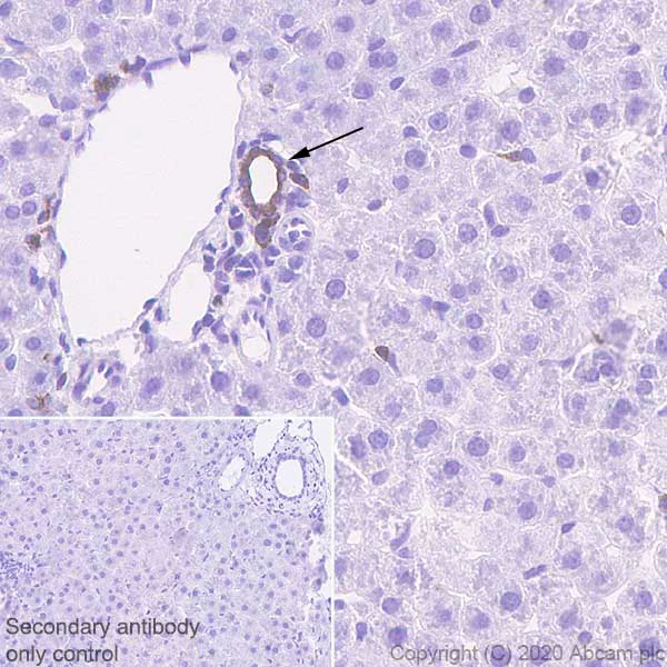
Immunohistochemical analysis of paraffin-embedded rat liver tissue labeling Ezrin with ab270442 at 1/2000 followed by a ready to use Rabbit specific IHC polymer detection kit HRP/DAB (ab209101). Positive staining on biliary epithelial cells in rat liver (PMID : 23507543). The section was incubated with ab270442 for 30 mins at room temperature. The immunostaining was performed on a Leica Biosystems BOND® RX instrument. Counterstained with hematoxylin. Heat mediated antigen retrieval with Tris-EDTA buffer (pH 9.0, epitope retrieval solution2) for 20 mins.

Secondary antibody only control : Used PBS instead of primary antibody, secondary antibody is a ready to use Rabbit specific IHC polymer detection kit HRP/DAB (ab209101).

Flow Cytometry (Intracellular) - Anti-Ezrin antibody [EPR23353-55] (AB270442)
  • Flow Cyt (Intra)

Supplier Data

Flow Cytometry (Intracellular) - Anti-Ezrin antibody [EPR23353-55] (AB270442)

Intracellular flow cytometric analysis of 4% paraformaldehyde-fixed, 90% methanol-permeabilized Neuro-2a (Mouse neuroblastoma neuroblast) cells labeling Ezrin with ab270442 at 1/500 dilution (0.1μg) (Red) compared with a Rabbit monoclonal IgG (ab172730) (Black) isotype control and an unlabeled control (cells without incubation with primary antibody and secondary antibody) (Blue). A Goat anti rabbit IgG (Alexa Fluor® 488, ab150077) at 1/2000 dilution was used as the secondary antibody.

Immunocytochemistry/ Immunofluorescence - Anti-Ezrin antibody [EPR23353-55] (AB270442)
  • ICC/IF

Supplier Data

Immunocytochemistry/ Immunofluorescence - Anti-Ezrin antibody [EPR23353-55] (AB270442)

Immunofluorescent analysis of 100% methanol-fixed Neuro-2a cells labeling Ezrin with ab270442 at 1/50 dilution, followed by ab150077 Goat Anti-Rabbit IgG H&L (Alexa Fluor® 488) antibody at 1/1000 dilution (Green). Confocal image showing membranous and weak cytoplasmic staining in Neuro-2a cells. ab195889 Anti-alpha Tubulin antibody [DM1A] - Microtubule Marker (Alexa Fluor® 594) was used to counterstain tubulin at 1/200 dilution (Red). The nuclear counterstain was DAPI (Blue).

100% methanol fixation is recommended.

Secondary antibody only control : Used PBS instead of primary antibody, secondary antibody is ab150077 Goat Anti-Rabbit IgG H&L (Alexa Fluor® 488) at 1/1000 dilution.

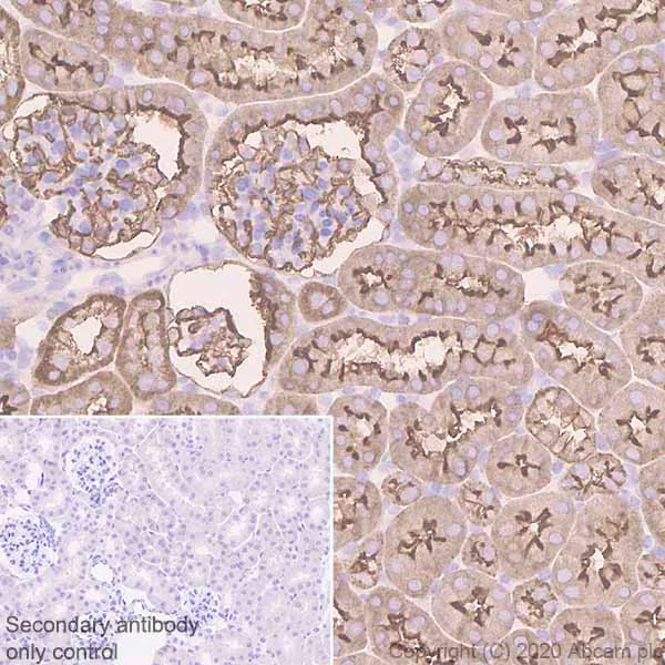
Immunohistochemistry (Formalin/PFA-fixed paraffin-embedded sections) - Anti-Ezrin antibody [EPR23353-55] (AB270442)
  • IHC-P

Supplier Data

Immunohistochemistry (Formalin/PFA-fixed paraffin-embedded sections) - Anti-Ezrin antibody [EPR23353-55] (AB270442)

Immunohistochemical analysis of paraffin-embedded rat kidney tissue labeling Ezrin with ab270442 at 1/2000 followed by a ready to use Rabbit specific IHC polymer detection kit HRP/DAB (ab209101). Positive staining on rat kidney (PMID : 16522749). The section was incubated with ab270442 for 30 mins at room temperature. The immunostaining was performed on a Leica Biosystems BOND® RX instrument. Counterstained with hematoxylin. Heat mediated antigen retrieval with Tris-EDTA buffer (pH 9.0, epitope retrieval solution2) for 20 mins.

Secondary antibody only control : Used PBS instead of primary antibody, secondary antibody is a ready to use Rabbit specific IHC polymer detection kit HRP/DAB (ab209101).

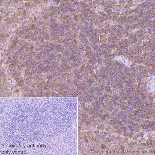
Immunohistochemistry (Formalin/PFA-fixed paraffin-embedded sections) - Anti-Ezrin antibody [EPR23353-55] (AB270442)
  • IHC-P

Supplier Data

Immunohistochemistry (Formalin/PFA-fixed paraffin-embedded sections) - Anti-Ezrin antibody [EPR23353-55] (AB270442)

Immunohistochemical analysis of paraffin-embedded rat spleen tissue labeling Ezrin with ab270442 at 1/2000 followed by a ready to use Rabbit specific IHC polymer detection kit HRP/DAB (ab209101). Positive staining on rat spleen.The section was incubated with ab270442 for 30 mins at room temperature. The immunostaining was performed on a Leica Biosystems BOND® RX instrument. Counterstained with hematoxylin. Heat mediated antigen retrieval with Tris-EDTA buffer (pH 9.0, epitope retrieval solution) for 20 mins.

Secondary antibody only control : Used PBS instead of primary antibody, secondary antibody is a ready to use Rabbit specific IHC polymer detection kit HRP/DAB (ab209101).

Flow Cytometry (Intracellular) - Anti-Ezrin antibody [EPR23353-55] (AB270442)
  • Flow Cyt (Intra)

Supplier Data

Flow Cytometry (Intracellular) - Anti-Ezrin antibody [EPR23353-55] (AB270442)

Intracellular flow cytometric analysis of 4% paraformaldehyde-fixed, 90% methanol-permeabilized C6 (Rat glial tumor glial cell) cells labeling Ezrin with ab270442 at 1/500 dilution (0.1μg) (Red) compared with a Rabbit monoclonal IgG (ab172730) (Black) isotype control and an unlabeled control (cells without incubation with primary antibody and secondary antibody) (Blue). A Goat anti rabbit IgG (Alexa Fluor® 488, ab150077) at 1/2000 dilution was used as the secondary antibody.

Immunoprecipitation - Anti-Ezrin antibody [EPR23353-55] (AB270442)
  • IP

Supplier Data

Immunoprecipitation - Anti-Ezrin antibody [EPR23353-55] (AB270442)

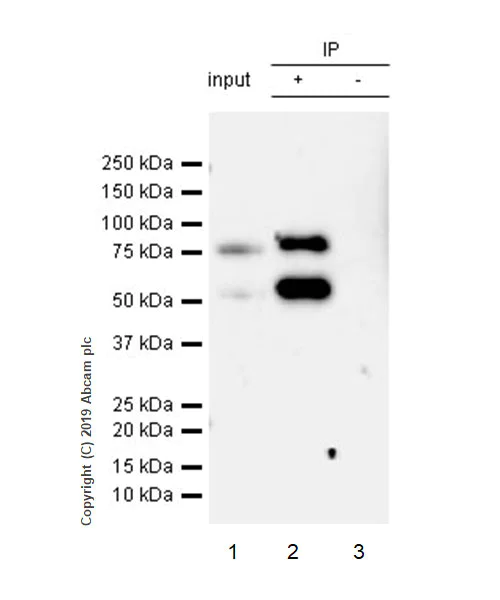
Ezrin was immunoprecipitated from 0.35 mg Neuro-2a (mouse neuroblastoma neuroblast) whole cell lysate with ab270442 at 1/30 dilution (2μg in 0.35mg lysates). Western blot was performed on the immunoprecipitate using ab270442 at 1/1000 dilution (0.549 μg/ml). VeriBlot for IP Detection Reagent (HRP)(ab131366) was used at 1/5000 dilution.

Lane 1 : Neuro-2a whole cell lysate 10 μg.
Lane 2 : ab270442 IP in Neuro-2a whole cell lysate.
Lane 3 : Rabbit monoclonal IgG (ab172730) instead of ab270442 in Neuro-2a whole cell lysate.

Blocking and dilution buffer and concentration : 5% NFDM/TBST.

Exposure time : 3 mins.

All lanes:

Immunoprecipitation - Anti-Ezrin antibody [EPR23353-55] (ab270442)

Predicted band size: 69 kDa

false

Immunoprecipitation - Anti-Ezrin antibody [EPR23353-55] (AB270442)
  • IP

Supplier Data

Immunoprecipitation - Anti-Ezrin antibody [EPR23353-55] (AB270442)

Ezrin was immunoprecipitated from 0.35 mg C6 (rat glial tumor glial cell) whole cell lysate with ab270442 at 1/30 dilution (2μg in 0.35mg lysates). Western blot was performed on the immunoprecipitate using 270442 1/1000 dilution (0.549 μg/ml). VeriBlot for IP Detection Reagent (HRP)(ab131366) was used at 1/5000 dilution.

Lane 1 : C6 whole cell lysate 10 μg.
Lane 2 : ab270442 IP in C6 whole cell lysate.
Lane 3 : Rabbit monoclonal IgG (ab172730) instead of ab270442 in C6 whole cell lysate.

Blocking and dilution buffer and concentration : 5% NFDM/TBST.

Exposure time : 84 secs.

The band of 55kDa is endogenously cleaved N-terminus form.

All lanes:

Immunoprecipitation - Anti-Ezrin antibody [EPR23353-55] (ab270442)

Predicted band size: 69 kDa

false

Western blot - Anti-Ezrin antibody [EPR23353-55] (AB270442)
  • WB

Supplier Data

Western blot - Anti-Ezrin antibody [EPR23353-55] (AB270442)

Blocking/diluting buffer and concentration : 5% NFDM/TBST.

Exposure time : 6 secs.

The band of 55kDa is the endogenously cleaved N-terminal form.
The expression profile/ molecular weight observed is consistent with what has been described in the literature (PMID : 11124833, 17370041, 10388520).

Lower expression cell line : MDA-MB-435S (PMID : 17370041).

All lanes:

Western blot - Anti-Ezrin antibody [EPR23353-55] (ab270442) at 1/1000 dilution

Lane 1:

HeLa (human cervix adenocarcinoma epithelial cell) whole cell lysate at 20 µg

Lane 2:

A549 ( human lung carcinoma epithelial cell) whole cell lysate at 20 µg

Lane 3:

MDA-MB-435S ( human mammary gland ductal carcinoma melanocyte) whole cell lysate at 20 µg

Secondary

All lanes:

Western blot - Goat Anti-Rabbit IgG H&L (HRP) (<a href='/en-us/products/secondary-antibodies/goat-rabbit-igg-h-l-hrp-ab97051'>ab97051</a>) at 1/100000 dilution

Predicted band size: 69 kDa

false

Western blot - Anti-Ezrin antibody [EPR23353-55] (AB270442)
  • WB

Supplier Data

Western blot - Anti-Ezrin antibody [EPR23353-55] (AB270442)

Blocking/diluting buffer and concentration : 5% NFDM/TBST.

Exposure time : 6 secs.

The band of 55kDa is the endogenously cleaved N-terminal form.
The expression profile/ molecular weight observed is consistent with what has been described in the literature (PMID : 11124833, 17370041, 10388520).
Negative control : Human liver (PMID : 11124833).

All lanes:

Western blot - Anti-Ezrin antibody [EPR23353-55] (ab270442) at 1/1000 dilution

Lane 1:

Human liver tissue lysate at 20 µg

Lane 2:

Human kidney tissue lysate at 20 µg

Secondary

All lanes:

Western blot - VeriBlot for IP Detection Reagent (HRP) (<a href='/en-us/products/reagents/veriblot-for-ip-detection-reagent-hrp-ab131366'>ab131366</a>) at 1/1000 dilution

Predicted band size: 69 kDa

false

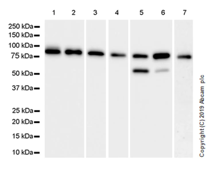
Western blot - Anti-Ezrin antibody [EPR23353-55] (AB270442)
  • WB

Supplier Data

Western blot - Anti-Ezrin antibody [EPR23353-55] (AB270442)

Blocking/diluting buffer and concentration : 5% NFDM/TBST.

Exposure times : Lanes 1-6 : 15 secs; Lane 7 : 3 mins.

The band of 55kDa is the endogenously cleaved N-terminal form.
The expression profile/ molecular weight observed is consistent with what has been described in the literature (PMID : 11124833, 17370041, 10388520).

All lanes:

Western blot - Anti-Ezrin antibody [EPR23353-55] (ab270442) at 1/1000 dilution

Lane 1:

Mouse hippocampus tissue lysate at 20 µg

Lane 2:

Mouse fetal brain tissue lysate at 20 µg

Lane 3:

Rat brain tissue lysate at 20 µg

Lane 4:

Neuro-2a ( mouse neuroblastoma neuroblast) whole cell lysate at 20 µg

Lane 5:

C6 (rat glial tumor glial cell) whole cell lysate at 20 µg

Lane 6:

PC-12 (rat adrenal gland pheochromocytoma) whole cell lysate at 20 µg

Lane 7:

NIH/3T3 (mouse embryonic fibroblast) whole cell lysate at 20 µg

Secondary

All lanes:

Western blot - Goat Anti-Rabbit IgG H&L (HRP) (<a href='/en-us/products/secondary-antibodies/goat-rabbit-igg-h-l-hrp-ab97051'>ab97051</a>) at 1/100000 dilution

Predicted band size: 69 kDa

false

  • Carrier free

    Anti-Ezrin antibody [EPR23353-55] - BSA and Azide free

Key facts

Host species

Rabbit

Clonality

Monoclonal

Clone number

EPR23353-55

Isotype

IgG

Carrier free

No

Reacts with

Mouse, Rat, Human

Applications

IHC-P, WB, ICC/IF, IP, Flow Cyt (Intra)

applications

Immunogen

The exact immunogen used to generate this antibody is proprietary information.

Reactivity data

{ "title": "Reactivity Data", "filters": { "stats": ["", "Species", "Dilution Info", "Notes"], "tabs": { "all-applications": {"fullname" : "All Applications", "shortname": "All Applications"}, "IP" : {"fullname" : "Immunoprecipitation", "shortname":"IP"}, "WB" : {"fullname" : "Western blot", "shortname":"WB"}, "ICCIF" : {"fullname" : "Immunocytochemistry/ Immunofluorescence", "shortname":"ICC/IF"}, "FlowCytIntra" : {"fullname" : "Flow Cytometry (Intracellular)", "shortname":"Flow Cyt (Intra)"}, "IHCP" : {"fullname" : "Immunohistochemistry (Formalin/PFA-fixed paraffin-embedded sections)", "shortname":"IHC-P"} }, "product-promise": { "all": "all", "testedAndGuaranteed": "tested", "guaranteed": "expected", "predicted": "predicted", "notRecommended": "not-recommended" } }, "values": { "Human": { "IP-species-checked": "testedAndGuaranteed", "IP-species-dilution-info": "1/30", "IP-species-notes": "<p></p>", "WB-species-checked": "testedAndGuaranteed", "WB-species-dilution-info": "1/1000", "WB-species-notes": "<p></p>", "ICCIF-species-checked": "testedAndGuaranteed", "ICCIF-species-dilution-info": "1/50", "ICCIF-species-notes": "<p>100% methanol fixation is recommended.</p>", "FlowCytIntra-species-checked": "testedAndGuaranteed", "FlowCytIntra-species-dilution-info": "1/500", "FlowCytIntra-species-notes": "<p></p>", "IHCP-species-checked": "notRecommended", "IHCP-species-dilution-info": "1/2000", "IHCP-species-notes": "<p></p>" }, "Mouse": { "IP-species-checked": "testedAndGuaranteed", "IP-species-dilution-info": "1/30", "IP-species-notes": "<p></p>", "WB-species-checked": "testedAndGuaranteed", "WB-species-dilution-info": "1/1000", "WB-species-notes": "<p></p>", "ICCIF-species-checked": "testedAndGuaranteed", "ICCIF-species-dilution-info": "1/50", "ICCIF-species-notes": "<p>100% methanol fixation is recommended.</p>", "FlowCytIntra-species-checked": "testedAndGuaranteed", "FlowCytIntra-species-dilution-info": "1/500", "FlowCytIntra-species-notes": "<p></p>", "IHCP-species-checked": "testedAndGuaranteed", "IHCP-species-dilution-info": "1/2000", "IHCP-species-notes": "<p></p>" }, "Rat": { "IP-species-checked": "testedAndGuaranteed", "IP-species-dilution-info": "1/30", "IP-species-notes": "<p></p>", "WB-species-checked": "testedAndGuaranteed", "WB-species-dilution-info": "1/1000", "WB-species-notes": "<p></p>", "ICCIF-species-checked": "notRecommended", "ICCIF-species-dilution-info": "1/50", "ICCIF-species-notes": "<p>100% methanol fixation is recommended.</p>", "FlowCytIntra-species-checked": "testedAndGuaranteed", "FlowCytIntra-species-dilution-info": "1/500", "FlowCytIntra-species-notes": "<p></p>", "IHCP-species-checked": "testedAndGuaranteed", "IHCP-species-dilution-info": "1/2000", "IHCP-species-notes": "<p></p>" } } }

Product details

Patented technology
Our RabMAb® technology is a patented hybridoma-based technology for making rabbit monoclonal antibodies. For details on our patents, please refer to RabMAb® patents.

What are the advantages of a recombinant monoclonal antibody?
This product is a recombinant monoclonal antibody, which offers several advantages including:

  • - High batch-to-batch consistency and reproducibility
  • - Improved sensitivity and specificity
  • - Long-term security of supply
  • - Animal-free batch production

For more information, read more on recombinant antibodies.

Properties and storage information

Form
Liquid
Purification technique
Affinity purification Protein A
Storage buffer
pH: 7.2 - 7.4 Preservative: 0.01% Sodium azide Constituents: PBS, 40% Glycerol (glycerin, glycerine), 0.05% BSA
Shipped at conditions
Blue Ice
Appropriate short-term storage duration
1-2 weeks
Appropriate short-term storage conditions
+4°C
Appropriate long-term storage conditions
-20°C
Aliquoting information
Upon delivery aliquot
Storage information
Avoid freeze / thaw cycle

Supplementary information

This supplementary information is collated from multiple sources and compiled automatically.

Ezrin also known as cytovillin or villin-2 is a protein belonging to the ezrin-radixin-moesin (ERM) family. It is approximately 81 kDa in molecular weight. Ezrin plays a critical role in linking the actin cytoskeleton to the plasma membrane. This interaction occurs through its ability to bind to membrane proteins and phospholipids facilitating structural support and signal transduction. Ezrin is widely expressed in epithelial tissues but it also occurs in other cell types such as lymphocytes and osteoclasts.
Biological function summary

Ezrin functions as a membrane-microfilament linker and is essential for maintaining cell shape adhesion and motility. It is an integral component of many cellular structures including microvilli and ruffles. Ezrin’s activity often involves forming complexes with other proteins such as EBP50 and F-actin which are fundamental for its role in cellular morphogenesis. These interactions allow ezrin to regulate membrane surface structure and cell surface organization.

Pathways

Ezrin participates in various signaling pathways that are essential for cell migration and invasion. One key pathway is the Rho family of GTPases which regulates actin cytoskeleton dynamics. Ezrin interacts with proteins like Rho-associated kinase (ROCK) that influence cell contraction and motility. Additionally ezrin is involved in the MAPK/ERK pathway which influences cell growth and survival by interacting with other signaling molecules.

Ezrin shows significant relevance to cancer progression and metastasis particularly in conditions like osteosarcoma. Ezrin overexpression correlates with increased metastatic potential and poor clinical outcomes. It also has implications in allergic diseases due to its role in immune cell function. In these contexts ezrin interacts with SRC family kinases which are important for transmitting signals from cell-surface receptors to downstream pathways influencing disease development and progression.

Product protocols

For this product, it's our understanding that no specific protocols are required. You can visit:

Target data

Probably involved in connections of major cytoskeletal structures to the plasma membrane. In epithelial cells, required for the formation of microvilli and membrane ruffles on the apical pole. Along with PLEKHG6, required for normal macropinocytosis.
See full target information EZR

Publications (3)

Recent publications for all applications. Explore the full list and refine your search

Advanced science (Weinheim, Baden-Wurttemberg, Germany) 12:e05340 PubMed40470686

2025

Large-Scale Bioprinting of Human Epiblast-Like Models Featuring Disc-Shaped Morphogenesis and Gastrulation Events.

Applications

Unspecified application

Species

Unspecified reactive species

Yixue Luo,Liheng Luo,Ling Wang,Shanshan Yang,Hongan Ren,Shaojun Liang,Xiaoyu Wang,Yijun Su,Leqian Yu,Xiaoyue Wang,Mingen Xu,Rui Yao

Cellular and molecular life sciences : CMLS 80:31 PubMed36609875

2023

Thiopurines impair the apical plasma membrane expression of CFTR in pancreatic ductal cells via RAC1 inhibition.

Applications

Unspecified application

Species

Unspecified reactive species

Bálint Tél,Noémi Papp,Árpád Varga,Viktória Szabó,Marietta Görög,Petra Susánszki,Tim Crul,Aletta Kis,Ingrid H Sendstad,Mária Bagyánszki,Nikolett Bódi,Péter Hegyi,József Maléth,Petra Pallagi

The Journal of cell biology 221: PubMed35575798

2022

DPYSL2 interacts with JAK1 to mediate breast cancer cell migration.

Applications

Unspecified application

Species

Unspecified reactive species

Areej Abu Rmaileh,Balakrishnan Solaimuthu,Anees Khatib,Shirel Lavi,Mayur Tanna,Arata Hayashi,Michal Ben Yosef,Michal Lichtenstein,Nir Pillar,Yoav D Shaul
View all publications

Product promise

We are committed to supporting your work with high-quality reagents, and we're here for you every step of the way. In the unlikely event that one of our products does not perform as expected, you're protected by our Product Promise.
For full details, please see our Terms & Conditions

Please note: All products are 'FOR RESEARCH USE ONLY. NOT FOR USE IN DIAGNOSTIC OR THERAPEUTIC PROCEDURES'.

For licensing inquiries, please contact partnerships@abcam.com