JavaScript is disabled in your browser. Please enable JavaScript to view this website.
AB270525

Anti-Ezrin antibody [EPR23353-55] - BSA and Azide free

Be the first to review this product! Submit a review

|

(0 Publication)

Rabbit Recombinant Monoclonal Ezrin antibody. Carrier free. Suitable for IP, WB, ICC/IF, Flow Cyt (Intra), IHC-P and reacts with Human, Mouse, Rat samples.

View Alternative Names

VIL2, EZR, Ezrin, Cytovillin, Villin-2, p81

13 Images
Flow Cytometry (Intracellular) - Anti-Ezrin antibody [EPR23353-55] - BSA and Azide free (AB270525)
  • Flow Cyt (Intra)

Supplier Data

Flow Cytometry (Intracellular) - Anti-Ezrin antibody [EPR23353-55] - BSA and Azide free (AB270525)

Intracellular flow cytometric analysis of 4% paraformaldehyde-fixed, 90% methanol-permeabilized C6 (Rat glial tumor glial cell) cells labeling Ezrin with ab270442 at 1/500 dilution (0.1μg) (Red) compared with a Rabbit monoclonal IgG (ab172730) (Black) isotype control and an unlabeled control (cells without incubation with primary antibody and secondary antibody) (Blue). A Goat anti rabbit IgG (Alexa Fluor® 488, ab150077) at 1/2000 dilution was used as the secondary antibody.

This data was developed using the same antibody clone in a different buffer formulation containing PBS, BSA, glycerol, and sodium azide (ab270442).

Flow Cytometry (Intracellular) - Anti-Ezrin antibody [EPR23353-55] - BSA and Azide free (AB270525)
  • Flow Cyt (Intra)

Supplier Data

Flow Cytometry (Intracellular) - Anti-Ezrin antibody [EPR23353-55] - BSA and Azide free (AB270525)

Intracellular flow cytometric analysis of 4% paraformaldehyde-fixed, 90% methanol-permeabilized Neuro-2a (Mouse neuroblastoma neuroblast) cells labeling Ezrin with ab270442 at 1/500 dilution (0.1μg) (Red) compared with a Rabbit monoclonal IgG (ab172730) (Black) isotype control and an unlabeled control (cells without incubation with primary antibody and secondary antibody) (Blue). A Goat anti rabbit IgG (Alexa Fluor® 488, ab150077) at 1/2000 dilution was used as the secondary antibody.

This data was developed using the same antibody clone in a different buffer formulation containing PBS, BSA, glycerol, and sodium azide (ab270442).

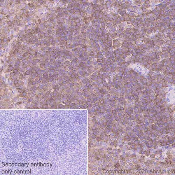
Immunohistochemistry (Formalin/PFA-fixed paraffin-embedded sections) - Anti-Ezrin antibody [EPR23353-55] - BSA and Azide free (AB270525)
  • IHC-P

Supplier Data

Immunohistochemistry (Formalin/PFA-fixed paraffin-embedded sections) - Anti-Ezrin antibody [EPR23353-55] - BSA and Azide free (AB270525)

Immunohistochemical analysis of paraffin-embedded mouse spleen tissue labeling Ezrin with ab270442 at 1/2000 followed by a ready to use Rabbit specific IHC polymer detection kit HRP/DAB (ab209101). Positive staining on mouse spleen. The section was incubated with ab270442 for 30 mins at room temperature. The immunostaining was performed on a Leica Biosystems BOND® RX instrument. Counterstained with hematoxylin. Heat mediated antigen retrieval with Tris-EDTA buffer (pH 9.0, epitope retrieval solution) for 20 mins.

Secondary antibody only control : Used PBS instead of primary antibody, secondary antibody is a ready to use Rabbit specific IHC polymer detection kit HRP/DAB (ab209101).

This data was developed using the same antibody clone in a different buffer formulation containing PBS, BSA, glycerol, and sodium azide (ab270442).

Immunocytochemistry/ Immunofluorescence - Anti-Ezrin antibody [EPR23353-55] - BSA and Azide free (AB270525)
  • ICC/IF

Supplier Data

Immunocytochemistry/ Immunofluorescence - Anti-Ezrin antibody [EPR23353-55] - BSA and Azide free (AB270525)

Immunofluorescent analysis of 100% methanol-fixed HeLa cells labeling Ezrin with ab270442 at 1/50 dilution, followed by ab150077 Goat Anti-Rabbit IgG H&L (Alexa Fluor® 488) antibody at 1/1000 dilution (Green). Confocal image showing membranous and weak cytoplasmic staining in HeLa cells. ab195889 Anti-alpha Tubulin antibody [DM1A] - Microtubule Marker (Alexa Fluor® 594) was used to counterstain tubulin at 1/200 dilution (Red). The nuclear counterstain was DAPI (Blue).

100% methanol fixation is recommended.

Secondary antibody only control : Used PBS instead of primary antibody, secondary antibody is ab150077 Goat Anti-Rabbit IgG H&L (Alexa Fluor® 488) at 1/1000 dilution.

This data was developed using the same antibody clone in a different buffer formulation containing PBS, BSA, glycerol, and sodium azide (ab270442).

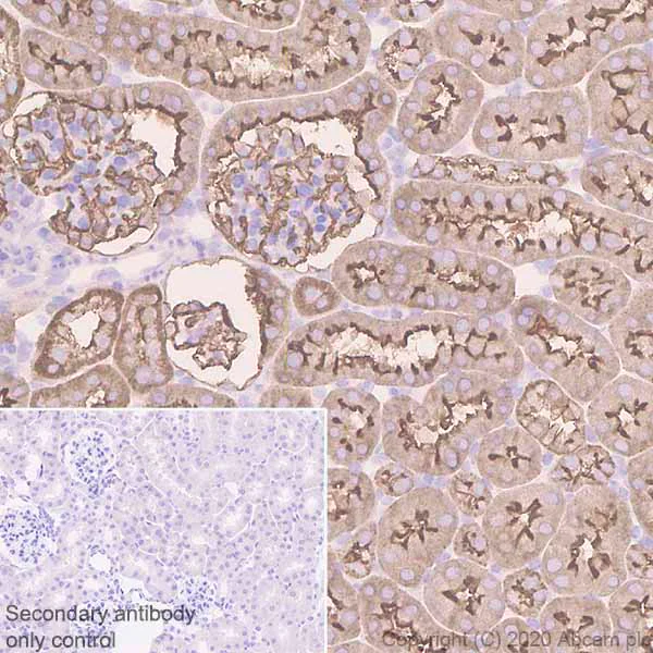
Immunohistochemistry (Formalin/PFA-fixed paraffin-embedded sections) - Anti-Ezrin antibody [EPR23353-55] - BSA and Azide free (AB270525)
  • IHC-P

Supplier Data

Immunohistochemistry (Formalin/PFA-fixed paraffin-embedded sections) - Anti-Ezrin antibody [EPR23353-55] - BSA and Azide free (AB270525)

Immunohistochemical analysis of paraffin-embedded mouse kidney tissue labeling Ezrin with ab270442 at 1/2000 followed by a ready to use Rabbit specific IHC polymer detection kit HRP/DAB (ab209101). Positive staining on mouse kidney (PMID : 16522749). The section was incubated with ab270442 for 30 mins at room temperature. The immunostaining was performed on a Leica Biosystems BOND® RX instrument. Counterstained with hematoxylin. Heat mediated antigen retrieval with Tris-EDTA buffer (pH 9.0, epitope retrieval solution2) for 20 mins.

Secondary antibody only control : Used PBS instead of primary antibody, secondary antibody is a ready to use Rabbit specific IHC polymer detection kit HRP/DAB (ab209101).

This data was developed using the same antibody clone in a different buffer formulation containing PBS, BSA, glycerol, and sodium azide (ab270442).

Immunocytochemistry/ Immunofluorescence - Anti-Ezrin antibody [EPR23353-55] - BSA and Azide free (AB270525)
  • ICC/IF

Supplier Data

Immunocytochemistry/ Immunofluorescence - Anti-Ezrin antibody [EPR23353-55] - BSA and Azide free (AB270525)

Immunofluorescent analysis of 100% methanol-fixed Neuro-2a cells labeling Ezrin with ab270442 at 1/50 dilution, followed by ab150077 Goat Anti-Rabbit IgG H&L (Alexa Fluor® 488) antibody at 1/1000 dilution (Green). Confocal image showing membranous and weak cytoplasmic staining in Neuro-2a cells. ab195889 Anti-alpha Tubulin antibody [DM1A] - Microtubule Marker (Alexa Fluor® 594) was used to counterstain tubulin at 1/200 dilution (Red). The nuclear counterstain was DAPI (Blue).

100% methanol fixation is recommended.

Secondary antibody only control : Used PBS instead of primary antibody, secondary antibody is ab150077 Goat Anti-Rabbit IgG H&L (Alexa Fluor® 488) at 1/1000 dilution.

This data was developed using the same antibody clone in a different buffer formulation containing PBS, BSA, glycerol, and sodium azide (ab270442).

Immunohistochemistry (Formalin/PFA-fixed paraffin-embedded sections) - Anti-Ezrin antibody [EPR23353-55] - BSA and Azide free (AB270525)
  • IHC-P

Supplier Data

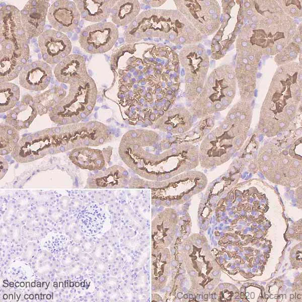
Immunohistochemistry (Formalin/PFA-fixed paraffin-embedded sections) - Anti-Ezrin antibody [EPR23353-55] - BSA and Azide free (AB270525)

Immunohistochemical analysis of paraffin-embedded rat kidney tissue labeling Ezrin with ab270442 at 1/2000 followed by a ready to use Rabbit specific IHC polymer detection kit HRP/DAB (ab209101). Positive staining on rat kidney (PMID : 16522749). The section was incubated with ab270442 for 30 mins at room temperature. The immunostaining was performed on a Leica Biosystems BOND® RX instrument. Counterstained with hematoxylin. Heat mediated antigen retrieval with Tris-EDTA buffer (pH 9.0, epitope retrieval solution2) for 20 mins.

Secondary antibody only control : Used PBS instead of primary antibody, secondary antibody is a ready to use Rabbit specific IHC polymer detection kit HRP/DAB (ab209101).

This data was developed using the same antibody clone in a different buffer formulation containing PBS, BSA, glycerol, and sodium azide (ab270442).

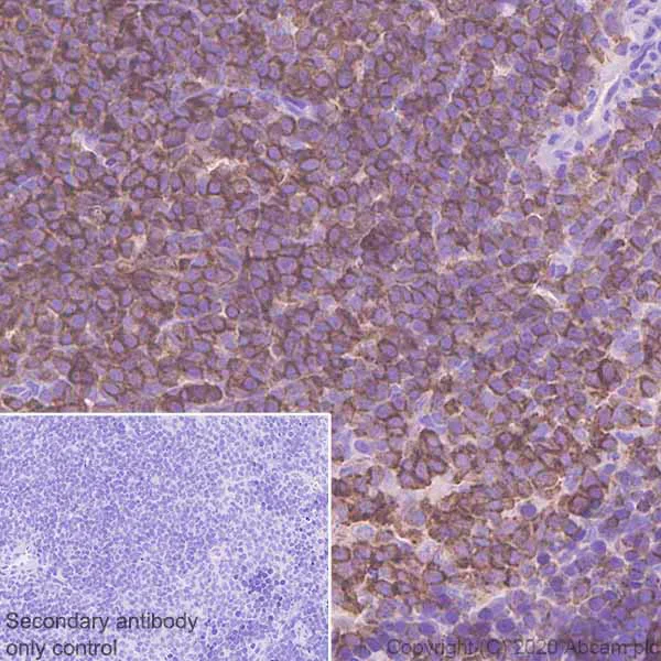
Immunohistochemistry (Formalin/PFA-fixed paraffin-embedded sections) - Anti-Ezrin antibody [EPR23353-55] - BSA and Azide free (AB270525)
  • IHC-P

Supplier Data

Immunohistochemistry (Formalin/PFA-fixed paraffin-embedded sections) - Anti-Ezrin antibody [EPR23353-55] - BSA and Azide free (AB270525)

Immunohistochemical analysis of paraffin-embedded rat spleen tissue labeling Ezrin with ab270442 at 1/2000 followed by a ready to use Rabbit specific IHC polymer detection kit HRP/DAB (ab209101). Positive staining on rat spleen.The section was incubated with ab270442 for 30 mins at room temperature. The immunostaining was performed on a Leica Biosystems BOND® RX instrument. Counterstained with hematoxylin. Heat mediated antigen retrieval with Tris-EDTA buffer (pH 9.0, epitope retrieval solution) for 20 mins.

Secondary antibody only control : Used PBS instead of primary antibody, secondary antibody is a ready to use Rabbit specific IHC polymer detection kit HRP/DAB (ab209101).

This data was developed using the same antibody clone in a different buffer formulation containing PBS, BSA, glycerol, and sodium azide (ab270442).

Immunohistochemistry (Formalin/PFA-fixed paraffin-embedded sections) - Anti-Ezrin antibody [EPR23353-55] - BSA and Azide free (AB270525)
  • IHC-P

Supplier Data

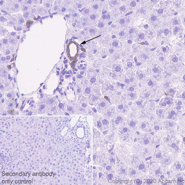
Immunohistochemistry (Formalin/PFA-fixed paraffin-embedded sections) - Anti-Ezrin antibody [EPR23353-55] - BSA and Azide free (AB270525)

Immunohistochemical analysis of paraffin-embedded rat liver tissue labeling Ezrin with ab270442 at 1/2000 followed by a ready to use Rabbit specific IHC polymer detection kit HRP/DAB (ab209101). Positive staining on biliary epithelial cells in rat liver (PMID : 23507543). The section was incubated with ab270442 for 30 mins at room temperature. The immunostaining was performed on a Leica Biosystems BOND® RX instrument. Counterstained with hematoxylin. Heat mediated antigen retrieval with Tris-EDTA buffer (pH 9.0, epitope retrieval solution2) for 20 mins.

Secondary antibody only control : Used PBS instead of primary antibody, secondary antibody is a ready to use Rabbit specific IHC polymer detection kit HRP/DAB (ab209101).

This data was developed using the same antibody clone in a different buffer formulation containing PBS, BSA, glycerol, and sodium azide (ab270442).

Flow Cytometry (Intracellular) - Anti-Ezrin antibody [EPR23353-55] - BSA and Azide free (AB270525)
  • Flow Cyt (Intra)

Supplier Data

Flow Cytometry (Intracellular) - Anti-Ezrin antibody [EPR23353-55] - BSA and Azide free (AB270525)

Intracellular flow cytometric analysis of 4% paraformaldehyde-fixed, 90% methanol-permeabilized HeLa (Human cervix adenocarcinoma epithelial cell) cells labeling Ezrin with ab270442 at 1/500 dilution (0.1μg) (Red) compared with a Rabbit monoclonal IgG (ab172730) (Black) isotype control and an unlabeled control (cells without incubation with primary antibody and secondary antibody) (Blue). A Goat anti rabbit IgG (Alexa Fluor® 488, ab150077) at 1/2000 dilution was used as the secondary antibody.

This data was developed using the same antibody clone in a different buffer formulation containing PBS, BSA, glycerol, and sodium azide (ab270442).

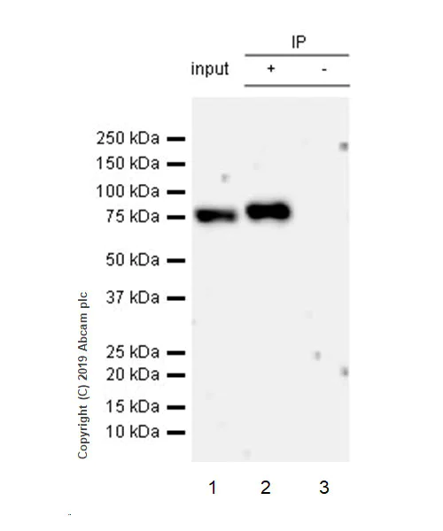
Immunoprecipitation - Anti-Ezrin antibody [EPR23353-55] - BSA and Azide free (AB270525)
  • IP

Supplier Data

Immunoprecipitation - Anti-Ezrin antibody [EPR23353-55] - BSA and Azide free (AB270525)

Ezrin was immunoprecipitated from 0.35 mg HeLa (human cervix adenocarcinoma epithelial cell) whole cell lysate with ab270442 at 1/30 dilution (2μg in 0.35mg lysates). Western blot was performed on the immunoprecipitate using ab270442 at 1/1000 dilution (0.549 μg/ml). VeriBlot for IP Detection Reagent (HRP )(ab131366) was used at 1/5000 dilution.

Lane 1 : HeLa whole cell lysate 10 μg.

Lane 2 : ab270442 IP in HeLa whole cell lysate.
Lane 3 : Rabbit monoclonal IgG (ab172730) instead of ab270442 in HeLa whole cell lysate.

Blocking and dilution buffer and concentration : 5% NFDM/TBST.

Exposure time : 32 secs.

This data was developed using the same antibody clone in a different buffer formulation containing PBS, BSA, glycerol, and sodium azide (ab270442).

All lanes:

Immunoprecipitation - Anti-Ezrin antibody [EPR23353-55] (<a href='/en-us/products/primary-antibodies/ezrin-antibody-epr23353-55-ab270442'>ab270442</a>)

Predicted band size: 69 kDa

false

Immunoprecipitation - Anti-Ezrin antibody [EPR23353-55] - BSA and Azide free (AB270525)
  • IP

Supplier Data

Immunoprecipitation - Anti-Ezrin antibody [EPR23353-55] - BSA and Azide free (AB270525)

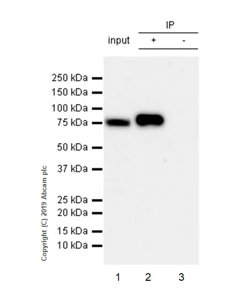
Ezrin was immunoprecipitated from 0.35 mg Neuro-2a (mouse neuroblastoma neuroblast) whole cell lysate with ab270442 at 1/30 dilution (2μg in 0.35mg lysates). Western blot was performed on the immunoprecipitate using ab270442 at 1/1000 dilution (0.549 μg/ml). VeriBlot for IP Detection Reagent (HRP)(ab131366) was used at 1/5000 dilution.

Lane 1 : Neuro-2a whole cell lysate 10 μg.
Lane 2 : ab270442 IP in Neuro-2a whole cell lysate.
Lane 3 : Rabbit monoclonal IgG (ab172730) instead of ab270442 in Neuro-2a whole cell lysate.

Blocking and dilution buffer and concentration : 5% NFDM/TBST.

Exposure time : 3 mins.

This data was developed using the same antibody clone in a different buffer formulation containing PBS, BSA, glycerol, and sodium azide (ab270442).

All lanes:

Immunoprecipitation - Anti-Ezrin antibody [EPR23353-55] (<a href='/en-us/products/primary-antibodies/ezrin-antibody-epr23353-55-ab270442'>ab270442</a>)

Predicted band size: 69 kDa

false

Immunoprecipitation - Anti-Ezrin antibody [EPR23353-55] - BSA and Azide free (AB270525)
  • IP

Supplier Data

Immunoprecipitation - Anti-Ezrin antibody [EPR23353-55] - BSA and Azide free (AB270525)

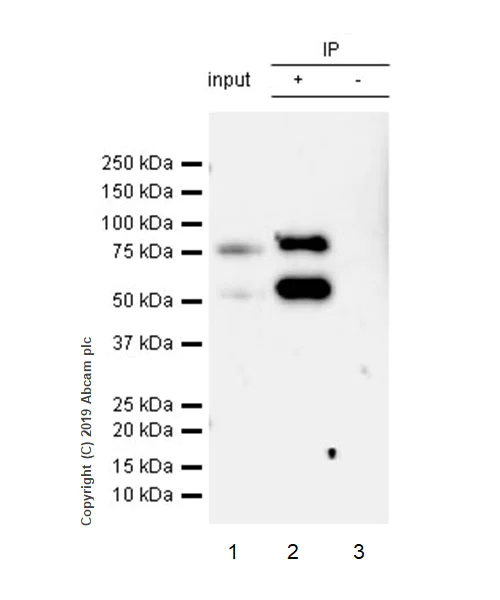
Ezrin was immunoprecipitated from 0.35 mg C6 (rat glial tumor glial cell) whole cell lysate with ab270442 at 1/30 dilution (2μg in 0.35mg lysates). Western blot was performed on the immunoprecipitate using 270442 1/1000 dilution (0.549 μg/ml). VeriBlot for IP Detection Reagent (HRP)(ab131366) was used at 1/5000 dilution.

Lane 1 : C6 whole cell lysate 10 μg.
Lane 2 : ab270442 IP in C6 whole cell lysate.
Lane 3 : Rabbit monoclonal IgG (ab172730) instead of ab270442 in C6 whole cell lysate.

Blocking and dilution buffer and concentration : 5% NFDM/TBST.

Exposure time : 84 secs.

The band of 55kDa is endogenously cleaved N-terminus form.

This data was developed using the same antibody clone in a different buffer formulation containing PBS, BSA, glycerol, and sodium azide (ab270442).

All lanes:

Immunoprecipitation - Anti-Ezrin antibody [EPR23353-55] (<a href='/en-us/products/primary-antibodies/ezrin-antibody-epr23353-55-ab270442'>ab270442</a>)

Predicted band size: 69 kDa

false

Key facts

Host species

Rabbit

Clonality

Monoclonal

Clone number

EPR23353-55

Isotype

IgG

Carrier free

Yes

Reacts with

Mouse, Rat, Human

Applications

Flow Cyt (Intra), IP, IHC-P, ICC/IF, WB

applications

Immunogen

The exact immunogen used to generate this antibody is proprietary information.

Reactivity data

{ "title": "Reactivity Data", "filters": { "stats": ["", "Species", "Dilution Info", "Notes"], "tabs": { "all-applications": {"fullname" : "All Applications", "shortname": "All Applications"}, "IP" : {"fullname" : "Immunoprecipitation", "shortname":"IP"}, "WB" : {"fullname" : "Western blot", "shortname":"WB"}, "ICCIF" : {"fullname" : "Immunocytochemistry/ Immunofluorescence", "shortname":"ICC/IF"}, "FlowCytIntra" : {"fullname" : "Flow Cytometry (Intracellular)", "shortname":"Flow Cyt (Intra)"}, "IHCP" : {"fullname" : "Immunohistochemistry (Formalin/PFA-fixed paraffin-embedded sections)", "shortname":"IHC-P"} }, "product-promise": { "all": "all", "testedAndGuaranteed": "tested", "guaranteed": "expected", "predicted": "predicted", "notRecommended": "not-recommended" } }, "values": { "Human": { "IP-species-checked": "testedAndGuaranteed", "IP-species-dilution-info": "", "IP-species-notes": "<p></p>", "WB-species-checked": "testedAndGuaranteed", "WB-species-dilution-info": "", "WB-species-notes": "<p></p>", "ICCIF-species-checked": "testedAndGuaranteed", "ICCIF-species-dilution-info": "", "ICCIF-species-notes": "<p>100% methanol fixation is recommended.</p>", "FlowCytIntra-species-checked": "testedAndGuaranteed", "FlowCytIntra-species-dilution-info": "", "FlowCytIntra-species-notes": "<p></p>", "IHCP-species-checked": "notRecommended", "IHCP-species-dilution-info": "", "IHCP-species-notes": "<p></p>" }, "Mouse": { "IP-species-checked": "testedAndGuaranteed", "IP-species-dilution-info": "", "IP-species-notes": "<p></p>", "WB-species-checked": "testedAndGuaranteed", "WB-species-dilution-info": "", "WB-species-notes": "<p></p>", "ICCIF-species-checked": "testedAndGuaranteed", "ICCIF-species-dilution-info": "", "ICCIF-species-notes": "<p>100% methanol fixation is recommended.</p>", "FlowCytIntra-species-checked": "testedAndGuaranteed", "FlowCytIntra-species-dilution-info": "", "FlowCytIntra-species-notes": "<p></p>", "IHCP-species-checked": "testedAndGuaranteed", "IHCP-species-dilution-info": "", "IHCP-species-notes": "<p></p>" }, "Rat": { "IP-species-checked": "testedAndGuaranteed", "IP-species-dilution-info": "", "IP-species-notes": "<p></p>", "WB-species-checked": "testedAndGuaranteed", "WB-species-dilution-info": "", "WB-species-notes": "<p></p>", "ICCIF-species-checked": "notRecommended", "ICCIF-species-dilution-info": "", "ICCIF-species-notes": "<p>100% methanol fixation is recommended.</p>", "FlowCytIntra-species-checked": "testedAndGuaranteed", "FlowCytIntra-species-dilution-info": "", "FlowCytIntra-species-notes": "<p></p>", "IHCP-species-checked": "testedAndGuaranteed", "IHCP-species-dilution-info": "", "IHCP-species-notes": "<p></p>" } } }

You may be interested in:

AB278116

Human Ezrin ELISA Kit

0

0 Reviews

View product

We recommend this product because it’s often used in the same experiment or related research.

We advise that you always check the datasheet to ensure it fits your experiments, or contact ourtechnical teamfor help.

Product details

ab270525 is the carrier-free version of ab270442.

Patented technology
Our RabMAb® technology is a patented hybridoma-based technology for making rabbit monoclonal antibodies. For details on our patents, please refer to RabMAb® patents.

What are the advantages of a recombinant monoclonal antibody?
This product is a recombinant monoclonal antibody, which offers several advantages including:

  • - High batch-to-batch consistency and reproducibility
  • - Improved sensitivity and specificity
  • - Long-term security of supply
  • - Animal-free batch production

For more information, read more on recombinant antibodies.

Conjugation ready
Our carrier-free antibodies are typically supplied in a PBS-only formulation, purified and free of BSA, sodium azide and glycerol. This conjugation-ready format is designed for use with fluorochromes, metal isotopes, oligonucleotides, and enzymes, which makes them ideal for antibody labelling, functional and cell-based assays, flow-based assays (e.g. mass cytometry) and Multiplex Imaging applications.

Use our conjugation kits for antibody conjugates that are ready-to-use in as little as 20 minutes with 1 minute hands-on-time and 100% antibody recovery: available for fluorescent dyes, HRP, biotin and gold.

Compatibility
This product is compatible with the Maxpar® Antibody Labeling Kit from Fluidigm, without the need for antibody preparation. Maxpar® is a trademark of Fluidigm Canada Inc.

Properties and storage information

Form
Liquid
Purification technique
Affinity purification Protein A
Storage buffer
pH: 7.2 - 7.4 Constituents: PBS
Shipped at conditions
Blue Ice
Appropriate short-term storage conditions
+4°C
Appropriate long-term storage conditions
+4°C
Storage information
Do Not Freeze

Supplementary information

This supplementary information is collated from multiple sources and compiled automatically.

Ezrin also known as cytovillin or villin-2 is a protein belonging to the ezrin-radixin-moesin (ERM) family. It is approximately 81 kDa in molecular weight. Ezrin plays a critical role in linking the actin cytoskeleton to the plasma membrane. This interaction occurs through its ability to bind to membrane proteins and phospholipids facilitating structural support and signal transduction. Ezrin is widely expressed in epithelial tissues but it also occurs in other cell types such as lymphocytes and osteoclasts.
Biological function summary

Ezrin functions as a membrane-microfilament linker and is essential for maintaining cell shape adhesion and motility. It is an integral component of many cellular structures including microvilli and ruffles. Ezrin’s activity often involves forming complexes with other proteins such as EBP50 and F-actin which are fundamental for its role in cellular morphogenesis. These interactions allow ezrin to regulate membrane surface structure and cell surface organization.

Pathways

Ezrin participates in various signaling pathways that are essential for cell migration and invasion. One key pathway is the Rho family of GTPases which regulates actin cytoskeleton dynamics. Ezrin interacts with proteins like Rho-associated kinase (ROCK) that influence cell contraction and motility. Additionally ezrin is involved in the MAPK/ERK pathway which influences cell growth and survival by interacting with other signaling molecules.

Ezrin shows significant relevance to cancer progression and metastasis particularly in conditions like osteosarcoma. Ezrin overexpression correlates with increased metastatic potential and poor clinical outcomes. It also has implications in allergic diseases due to its role in immune cell function. In these contexts ezrin interacts with SRC family kinases which are important for transmitting signals from cell-surface receptors to downstream pathways influencing disease development and progression.

Product protocols

For this product, it's our understanding that no specific protocols are required. You can visit:

Target data

Probably involved in connections of major cytoskeletal structures to the plasma membrane. In epithelial cells, required for the formation of microvilli and membrane ruffles on the apical pole. Along with PLEKHG6, required for normal macropinocytosis.
See full target information EZR

Product promise

We are committed to supporting your work with high-quality reagents, and we're here for you every step of the way. In the unlikely event that one of our products does not perform as expected, you're protected by our Product Promise.
For full details, please see our Terms & Conditions

Associated Products

Select an associated product type
Alternative Product
Primary Antibodies

AB198522

HRP Anti-Ezrin antibody [EP886Y]

primary-antibodies

hrp-ezrin-antibody-ep886y-ab198522

0

(0 reviews)

Alternative Product
Primary Antibodies

AB40839

Anti-Ezrin antibody [EP886Y] - Plasma Membrane Marker

primary-antibodies

ezrin-antibody-ep886y-plasma-membrane-marker-ab40839

5

(5 reviews)

Alternative Product
Primary Antibodies

AB198520

Alexa Fluor® 488 Anti-Ezrin antibody [EP886Y]

primary-antibodies

alexa-fluor-488-ezrin-antibody-ep886y-ab198520

0

(0 reviews)

Alternative Product
Primary Antibodies

AB239832

Anti-Ezrin antibody [EP886Y] - BSA and Azide free

primary-antibodies

ezrin-antibody-ep886y-bsa-and-azide-free-ab239832

0

(0 reviews)

Please note: All products are 'FOR RESEARCH USE ONLY. NOT FOR USE IN DIAGNOSTIC OR THERAPEUTIC PROCEDURES'.

For licensing inquiries, please contact partnerships@abcam.com