JavaScript is disabled in your browser. Please enable JavaScript to view this website.
AB76247

Anti-Ezrin (pThr567)/ Radixin (pThr564)/ Moesin (pThr558) antibody [EP2122Y]

5

(2 Reviews)

|

(15 Publications)

Rabbit Recombinant Monoclonal Ezrin phospho T567 antibody. Suitable for IHC-P, Dot, WB and reacts with Mouse, Rat, Human, Synthetic peptide samples. Cited in 15 publications.

View Alternative Names

VIL2, EZR, Ezrin, Cytovillin, Villin-2, p81

7 Images
Immunohistochemistry (Formalin/PFA-fixed paraffin-embedded sections) - Anti-Ezrin (pThr567)/ Radixin (pThr564)/ Moesin (pThr558) antibody [EP2122Y] (AB76247)
  • IHC-P

Lab

Immunohistochemistry (Formalin/PFA-fixed paraffin-embedded sections) - Anti-Ezrin (pThr567)/ Radixin (pThr564)/ Moesin (pThr558) antibody [EP2122Y] (AB76247)

Immunohistochemical analysis of paraffin-embedded human breast tissue labeling Ezrin (pThr567)/ Radixin (pThr564)/ Moesin (pThr558) with ab76247 at 1/500 (1.64 μg/ml) dilution followed by ready to use Rabbit specific IHC polymer detection kit HRP/DAB (ab209101).

Membranous staining on human breast.

The section was incubated with ab76247 for 30 mins at room temperature. The immunostaining staining was performed on a Leica Biosystems BOND® RX instrument.

Secondary antibody only control : Rabbit specific IHC polymer detection kit HRP/DAB (ab209101).

Heat mediated antigen retrieval with Tris-EDTA buffer (pH 9.0, epitope retrieval solution 2) for 20 mins.

Counterstained with Hematoxylin.

Immunohistochemistry (Formalin/PFA-fixed paraffin-embedded sections) - Anti-Ezrin (pThr567)/ Radixin (pThr564)/ Moesin (pThr558) antibody [EP2122Y] (AB76247)
  • IHC-P

Lab

Immunohistochemistry (Formalin/PFA-fixed paraffin-embedded sections) - Anti-Ezrin (pThr567)/ Radixin (pThr564)/ Moesin (pThr558) antibody [EP2122Y] (AB76247)

Immunohistochemical analysis of paraffin-embedded rat liver tissue labeling Ezrin (pThr567)/ Radixin (pThr564)/ Moesin (pThr558) with ab76247 at 1/500 (1.64 μg/ml) dilution followed by ready to use Rabbit specific IHC polymer detection kit HRP/DAB (ab209101).

Membranous staining on human breast.

The section was incubated with ab76247 for 30 mins at room temperature. The immunostaining staining was performed on a Leica Biosystems BOND® RX instrument.

Secondary antibody only control : Rabbit specific IHC polymer detection kit HRP/DAB (ab209101).

Heat mediated antigen retrieval with Tris-EDTA buffer (pH 9.0, epitope retrieval solution 2) for 20 mins.

Counterstained with Hematoxylin.

Immunohistochemistry (Formalin/PFA-fixed paraffin-embedded sections) - Anti-Ezrin (pThr567)/ Radixin (pThr564)/ Moesin (pThr558) antibody [EP2122Y] (AB76247)
  • IHC-P

Lab

Immunohistochemistry (Formalin/PFA-fixed paraffin-embedded sections) - Anti-Ezrin (pThr567)/ Radixin (pThr564)/ Moesin (pThr558) antibody [EP2122Y] (AB76247)

Immunohistochemical analysis of paraffin-embedded mouse testis tissue labeling Ezrin (pThr567)/ Radixin (pThr564)/ Moesin (pThr558) with ab76247 at 1/500 (1.64 μg/ml) dilution followed by ready to use Rabbit specific IHC polymer detection kit HRP/DAB (ab209101).

Membranous staining on human breast.

The section was incubated with ab76247 for 30 mins at room temperature. The immunostaining staining was performed on a Leica Biosystems BOND® RX instrument.

Secondary antibody only control : Rabbit specific IHC polymer detection kit HRP/DAB (ab209101).

Heat mediated antigen retrieval with Tris-EDTA buffer (pH 9.0, epitope retrieval solution 2) for 20 mins.

Counterstained with Hematoxylin.

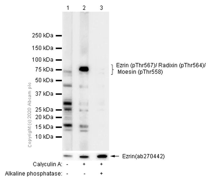
Western blot - Anti-Ezrin (pThr567)/ Radixin (pThr564)/ Moesin (pThr558) antibody [EP2122Y] (AB76247)
  • WB

Lab

Western blot - Anti-Ezrin (pThr567)/ Radixin (pThr564)/ Moesin (pThr558) antibody [EP2122Y] (AB76247)

Blocking and dilution buffer : 5% NFDM/TBST.

All lanes:

Western blot - Anti-Ezrin (pThr567)/ Radixin (pThr564)/ Moesin (pThr558) antibody [EP2122Y] (ab76247) at 1/1000 dilution

Lane 1:

Untreated HeLa (Human cervix adenocarcinoma epithelial cell) whole cell lysate at 15 µg

Lane 2:

HeLa (Human cervix adenocarcinoma epithelial cell) starved overnight, then treated with 100nM Calyculin A for 30 minutes whole cell lysate at 15 µg

Lane 3:

HeLa (Human cervix adenocarcinoma epithelial cell) starved overnight, then treated with 100nM Calyculin A for 30 minutes whole cell lysate, then the membrane treated with Alkaline Phosphatase for 1 hour at 15 µg

Lane 4:

Untreated HEK-293 (Human embryonic kidney epithelial cell) whole cell lysate at 15 µg

Lane 5:

HEK-293 (Human embryonic kidney epithelial cell) starved overnight, then treated with 100nM Calyculin A for 60 minutes whole cell lysate at 15 µg

Lane 6:

HEK-293 (Human embryonic kidney epithelial cell) starved overnight, then treated with 100nM Calyculin A for g0 minutes whole cell lysate, then the membrane treated with Alkaline Phosphatase for 1 hour at 15 µg

Secondary

All lanes:

Western blot - Goat Anti-Rabbit IgG H&L (HRP) (<a href='/en-us/products/secondary-antibodies/goat-rabbit-igg-h-l-hrp-ab97051'>ab97051</a>) at 1/20000 dilution

Predicted band size: 69 kDa

Observed band size: 75-81 kDa

false

Exposure time: 5s

Western blot - Anti-Ezrin (pThr567)/ Radixin (pThr564)/ Moesin (pThr558) antibody [EP2122Y] (AB76247)
  • WB

Lab

Western blot - Anti-Ezrin (pThr567)/ Radixin (pThr564)/ Moesin (pThr558) antibody [EP2122Y] (AB76247)

Blocking and dilution buffer : 5% NFDM/TBST.

All lanes:

Western blot - Anti-Ezrin (pThr567)/ Radixin (pThr564)/ Moesin (pThr558) antibody [EP2122Y] (ab76247) at 1/1000 dilution

Lane 1:

Untreated NIH/3T3 (Mouse embyonic fibroblast) whole cell lysate at 15 µg

Lane 2:

Untreated NIH/3T3 (Mouse embyonic fibroblast) treated with 100nM Calyculin A for 30 minutes whole cell lysate at 15 µg

Lane 3:

Untreated NIH/3T3 (Mouse embyonic fibroblast) treated with 100nM Calyculin A for 30 minutes whole cell lysate, then the membrane treated with Alkaline Phosphatase for 1 hour at 15 µg

Secondary

All lanes:

Western blot - Goat Anti-Rabbit IgG H&L (HRP) (<a href='/en-us/products/secondary-antibodies/goat-rabbit-igg-h-l-hrp-ab97051'>ab97051</a>) at 1/20000 dilution

Predicted band size: 69 kDa

Observed band size: 75-81 kDa

false

Exposure time: 180s

Western blot - Anti-Ezrin (pThr567)/ Radixin (pThr564)/ Moesin (pThr558) antibody [EP2122Y] (AB76247)
  • WB

Lab

Western blot - Anti-Ezrin (pThr567)/ Radixin (pThr564)/ Moesin (pThr558) antibody [EP2122Y] (AB76247)

Blocking and dilution buffer : 5% NFDM/TBST.

All lanes:

Western blot - Anti-Ezrin (pThr567)/ Radixin (pThr564)/ Moesin (pThr558) antibody [EP2122Y] (ab76247) at 1/1000 dilution

Lane 1:

Untreated C6 (Rat glial tumor glial cell) whole cell lysate at 15 µg

Lane 2:

Untreated C6 (Rat glial tumor glial cell) treated with 100ng/ml Calyculin A for 60 minutes whole cell lysate at 15 µg

Lane 3:

Untreated C6 (Rat glial tumor glial cell) treated with 100ng/ml Calyculin A for 60 minutes whole cell lysate, then the membrane treated with Alkaline Phosphatase for 1 hour at 15 µg

Secondary

All lanes:

Western blot - Goat Anti-Rabbit IgG H&L (HRP) (<a href='/en-us/products/secondary-antibodies/goat-rabbit-igg-h-l-hrp-ab97051'>ab97051</a>) at 1/20000 dilution

Predicted band size: 69 kDa

Observed band size: 75-81 kDa

false

Exposure time: 5s

Dot Blot - Anti-Ezrin (pThr567)/ Radixin (pThr564)/ Moesin (pThr558) antibody [EP2122Y] (AB76247)
  • Dot

Lab

Dot Blot - Anti-Ezrin (pThr567)/ Radixin (pThr564)/ Moesin (pThr558) antibody [EP2122Y] (AB76247)

Dot blot analysis of Ezrin (pThr567)/ Radixin (pThr564)/ Moesin (pThr558) phospho peptide (Lane 1), Non-phospho peptide (Lane 2), labelling Ezrin (phospho Thr567)/ Radixin (phospho Thr564)/ Moesin (phospho Thr558) with ab76247 at a dilution of 1/1000. Peroxidase conjugated goat anti-rabbit IgG (H+L) was used as the secondary antibody at a dilution of 1/2500.

Blocking and diluting buffer : 5% NFDM/TBST.

Exposure time : 3 minutes.

The sequence of non-phospho peptide : CGRDKYKTLRQIR.
The sequence of phospho peptide : CGRDKYK-pT-LRQIR.

  • Carrier free

    Anti-Ezrin (pThr567)/ Radixin (pThr564)/ Moesin (pThr558) antibody [EP2122Y] - BSA and Azide free

Key facts

Host species

Rabbit

Clonality

Monoclonal

Clone number

EP2122Y

Isotype

IgG

Carrier free

No

Reacts with

Human, Mouse, Rat

Applications

IHC-P, WB, Dot

applications

Immunogen

The exact immunogen used to generate this antibody is proprietary information.

Specificity

ab76247 will detect Ezrin, Radixin and Moesin. This antibody detects the phosphorylated target and not the non-phosphorylated epitope.

Reactivity data

{ "title": "Reactivity Data", "filters": { "stats": ["", "Species", "Dilution Info", "Notes"], "tabs": { "all-applications": {"fullname" : "All Applications", "shortname": "All Applications"}, "FlowCyt" : {"fullname" : "Flow Cytometry", "shortname":"Flow Cyt"}, "IHCP" : {"fullname" : "Immunohistochemistry (Formalin/PFA-fixed paraffin-embedded sections)", "shortname":"IHC-P"}, "Dot" : {"fullname" : "Dot Blot", "shortname":"Dot"}, "WB" : {"fullname" : "Western blot", "shortname":"WB"} }, "product-promise": { "all": "all", "testedAndGuaranteed": "tested", "guaranteed": "expected", "predicted": "predicted", "notRecommended": "not-recommended" } }, "values": { "Human": { "FlowCyt-species-checked": "notRecommended", "FlowCyt-species-dilution-info": "", "FlowCyt-species-notes": "<p></p>", "IHCP-species-checked": "testedAndGuaranteed", "IHCP-species-dilution-info": "1/100 - 1/250", "IHCP-species-notes": "<p></p> Perform heat-mediated antigen retrieval before commencing with IHC staining protocol.", "Dot-species-checked": "guaranteed", "Dot-species-dilution-info": "", "Dot-species-notes": "", "WB-species-checked": "testedAndGuaranteed", "WB-species-dilution-info": "1/1000", "WB-species-notes": "<p></p>" }, "Mouse": { "FlowCyt-species-checked": "notRecommended", "FlowCyt-species-dilution-info": "", "FlowCyt-species-notes": "<p></p>", "IHCP-species-checked": "testedAndGuaranteed", "IHCP-species-dilution-info": "1/100 - 1/250", "IHCP-species-notes": "<p></p> Perform heat-mediated antigen retrieval before commencing with IHC staining protocol.", "Dot-species-checked": "guaranteed", "Dot-species-dilution-info": "", "Dot-species-notes": "", "WB-species-checked": "testedAndGuaranteed", "WB-species-dilution-info": "1/1000", "WB-species-notes": "<p></p>" }, "Rat": { "FlowCyt-species-checked": "notRecommended", "FlowCyt-species-dilution-info": "", "FlowCyt-species-notes": "<p></p>", "IHCP-species-checked": "testedAndGuaranteed", "IHCP-species-dilution-info": "1/100 - 1/250", "IHCP-species-notes": "<p></p> Perform heat-mediated antigen retrieval before commencing with IHC staining protocol.", "Dot-species-checked": "guaranteed", "Dot-species-dilution-info": "", "Dot-species-notes": "", "WB-species-checked": "testedAndGuaranteed", "WB-species-dilution-info": "1/1000", "WB-species-notes": "<p></p>" }, "Synthetic peptide": { "FlowCyt-species-checked": "notRecommended", "FlowCyt-species-dilution-info": "", "FlowCyt-species-notes": "", "IHCP-species-checked": "notRecommended", "IHCP-species-dilution-info": "", "IHCP-species-notes": "", "Dot-species-checked": "testedAndGuaranteed", "Dot-species-dilution-info": "1/1000", "Dot-species-notes": "<p></p>", "WB-species-checked": "notRecommended", "WB-species-dilution-info": "", "WB-species-notes": "" } } }

Product details

Patented technology
Our RabMAb® technology is a patented hybridoma-based technology for making rabbit monoclonal antibodies. For details on our patents, please refer to RabMAb® patents.

What are the advantages of a recombinant monoclonal antibody?
This product is a recombinant monoclonal antibody, which offers several advantages including:

  • - High batch-to-batch consistency and reproducibility
  • - Improved sensitivity and specificity
  • - Long-term security of supply
  • - Animal-free batch production

For more information, read more on recombinant antibodies.

Properties and storage information

Form
Liquid
Purification technique
Affinity purification Protein A
Storage buffer
pH: 7.2 - 7.4 Preservative: 0.01% Sodium azide Constituents: PBS, 40% Glycerol (glycerin, glycerine), 0.05% BSA
Shipped at conditions
Blue Ice
Appropriate short-term storage conditions
+4°C
Appropriate long-term storage conditions
-20°C
Storage information
Stable for 12 months at -20°C

Supplementary information

This supplementary information is collated from multiple sources and compiled automatically.

Ezrin radixin and moesin are referred to collectively as the ERM proteins. These proteins mechanically link the actin cytoskeleton to the plasma membrane helping to maintain cell shape and surface structure. Ezrin is often identified with a mass of approximately 82 kDa. ERM proteins are expressed in various tissues such as epithelial cells where they influence cellular morphology and dynamics.
Biological function summary

ERM proteins play a role in signal transduction maintaining cellular architecture and modulating membrane dynamics. As a part of the ERM complex they regulate cytoskeletal rearrangements which are necessary during cellular processes like migration and adhesion. These functions are critical for maintaining cell stability and interaction with the extracellular environment.

Pathways

ERM proteins influence a number of signaling cascades including the PI3K/Akt pathway and the Rho GTPase signaling pathway. These pathways are integral to cell survival proliferation and movement. Through these pathways ERM proteins interact with related proteins such as RhoA and PTEN thereby influencing cellular responses to external stimuli.

ERM proteins have connections to cancer metastasis and neurodegenerative diseases. In cancer altered ERM expression levels can affect tumor progression and metastasis with interactions involving proteins like CD44. In neurodegenerative conditions changes in the regulation of ERM proteins might impact cell survival and tissue integrity. Understanding these relationships helps in developing targeted therapies for managing these diseases.

Product protocols

For this product, it's our understanding that no specific protocols are required. You can visit:

Target data

Probably involved in connections of major cytoskeletal structures to the plasma membrane. In epithelial cells, required for the formation of microvilli and membrane ruffles on the apical pole. Along with PLEKHG6, required for normal macropinocytosis.
See full target information EZR phospho T567

Additional targets

Moesin phospho T558,Radixin phospho T564

Publications (15)

Recent publications for all applications. Explore the full list and refine your search

CNS neuroscience & therapeutics 30:e70098 PubMed39491498

2024

Fasudil Alleviates Postoperative Neurocognitive Disorders in Mice by Downregulating the Surface Expression of α5GABAAR in Hippocampus.

Applications

Unspecified application

Species

Unspecified reactive species

Jinpeng Dong,Zhun Wang,Lixuan Li,Mengxue Zhang,Sixuan Wang,Yuan Luo,Ying Dong,Xiaokun Wang,Yongan Wang,Kaiyuan Wang,Yiqing Yin

Nature communications 15:4180 PubMed38755148

2024

Zero-shot learning enables instant denoising and super-resolution in optical fluorescence microscopy.

Applications

Unspecified application

Species

Unspecified reactive species

Chang Qiao,Yunmin Zeng,Quan Meng,Xingye Chen,Haoyu Chen,Tao Jiang,Rongfei Wei,Jiabao Guo,Wenfeng Fu,Huaide Lu,Di Li,Yuwang Wang,Hui Qiao,Jiamin Wu,Dong Li,Qionghai Dai

Cell death & disease 14:379 PubMed37369706

2023

Inhibition of TRPV4 remodels single cell polarity and suppresses the metastasis of hepatocellular carcinoma.

Applications

Unspecified application

Species

Unspecified reactive species

Jian Liu,Yongjian Guo,Ruitian Zhang,Ye Xu,Chengju Luo,Rui Wang,Shu Xu,Libin Wei

Journal of cellular and molecular medicine 26:2089-2103 PubMed35146909

2022

CD44/ERM/F-actin complex mediates targeted nuclear degranulation and excessive neutrophil extracellular trap formation during sepsis.

Applications

Unspecified application

Species

Unspecified reactive species

Yiming Shao,Linbin Li,Lu Liu,Yunxi Yang,Jiamin Huang,Dongdong Ji,Yuying Zhou,Yi Chen,Zhechen Zhu,Bingwei Sun

Journal of thoracic disease 13:5973-5985 PubMed34795945

2021

Autophagic tumor-associated macrophages promote the endothelial mesenchymal transition in lung adenocarcinomas through the FUT4/p-ezrin pathway.

Applications

Unspecified application

Species

Unspecified reactive species

Kangwu Wang,Xiao Chen

Frontiers in cell and developmental biology 9:663207 PubMed34540823

2021

CircGLIS3 Promotes High-Grade Glioma Invasion via Modulating Ezrin Phosphorylation.

Applications

Unspecified application

Species

Unspecified reactive species

Yan Li,Jiansheng Chen,Zetao Chen,Xiangdong Xu,Jun Weng,Yuxuan Zhang,Yunzhao Mo,Yang Liu,Jihui Wang,Yiquan Ke

Experimental and therapeutic medicine 22:851 PubMed34149897

2021

STK10 knockout inhibits cell migration and promotes cell proliferation via modulating the activity of ERM and p38 MAPK in prostate cancer cells.

Applications

Unspecified application

Species

Unspecified reactive species

Lu Zhang,Shun-Yuan Lu,Rui Guo,Jin-Xia Ma,Ling-Yun Tang,Jin-Jin Wang,Chun-Ling Shen,Li-Ming Lu,Jie Liu,Zhu-Gang Wang,Hong-Xin Zhang

Cell research 31:526-541 PubMed33608671

2021

Formative pluripotent stem cells show features of epiblast cells poised for gastrulation.

Applications

Unspecified application

Species

Unspecified reactive species

Xiaoxiao Wang,Yunlong Xiang,Yang Yu,Ran Wang,Yu Zhang,Qianhua Xu,Hao Sun,Zhen-Ao Zhao,Xiangxiang Jiang,Xiaoqing Wang,Xukun Lu,Dandan Qin,Yujun Quan,Jiaqi Zhang,Ng Shyh-Chang,Hongmei Wang,Naihe Jing,Wei Xie,Lei Li

Translational cancer research 9:7079-7090 PubMed35117313

2020

Knockout of promotes the migration and invasion of cervical cancer cells.

Applications

Unspecified application

Species

Unspecified reactive species

Lu Zhang,Shun-Yuan Lu,Rui Guo,Jin-Xia Ma,Ling-Yun Tang,Yan Shen,Chun-Ling Shen,Li-Ming Lu,Zhu-Gang Wang,Jie Liu,Hong-Xin Zhang

Biochemical and biophysical research communication 526:1077-1084 PubMed32312522

2020

Bilobalide reversibly modulates blood-brain barrier permeability through promoting adenosine A1 receptor-mediated phosphorylation of actin-binding proteins.

Applications

Unspecified application

Species

Unspecified reactive species

Caijuan Guo,Hong Wang,Wenyi Liang,Wei Xu,Yuping Li,Lixia Song,Dongxing Zhang,Yinming Hu,Bin Han,Weixuan Wang,Yiqi Yang,Weijian Bei,Jiao Guo
View all publications

Product promise

We are committed to supporting your work with high-quality reagents, and we're here for you every step of the way. In the unlikely event that one of our products does not perform as expected, you're protected by our Product Promise.
For full details, please see our Terms & Conditions

Please note: All products are 'FOR RESEARCH USE ONLY. NOT FOR USE IN DIAGNOSTIC OR THERAPEUTIC PROCEDURES'.

For licensing inquiries, please contact partnerships@abcam.com