JavaScript is disabled in your browser. Please enable JavaScript to view this website.
AB16911

Anti-F4/80 antibody [BM8]

4

(12 Reviews)

|

(212 Publications)

Anti-F4/80 antibody [BM8] (ab16911) is a rat monoclonal antibody detecting F4/80 in Flow Cytometry, IHC-Fr. Suitable for Human, Mouse.

- Over 150 publications
- Trusted since 2005

View Alternative Names

Emr1, Gpf480, Adgre1, Adhesion G protein-coupled receptor E1, Cell surface glycoprotein F4/80, EGF-like module receptor 1, EGF-like module-containing mucin-like hormone receptor-like 1, EMR1 hormone receptor

6 Images
Flow Cytometry - Anti-F4/80 antibody [BM8] (AB16911)
  • Flow Cyt

Unknown

Flow Cytometry - Anti-F4/80 antibody [BM8] (AB16911)

Overlay histogram showing HeLa cells stained with ab16911 (red line). The cells were fixed with methanol (5 min) and incubated in 1x PBS / 10% normal goat serum / 0.3M glycine to block non-specific protein-protein interactions. The cells were then incubated with the antibody (ab16911, 1/10 dilution) for 30 min at 22°C. The secondary antibody used was DyLight® 488 goat anti-rat IgG (Fc) (ab96971) at 1/250 dilution for 30 min at 22°C. Isotype control antibody (black line) was rat IgG2a [aRTK2758] (ab18450, 2μg/1x106 cells cells) used under the same conditions. Acquisition of >5,000 events was performed. This antibody gave a significantly decreased signal in HeLa cells fixed with 4% paraformaldehyde (10 min) used under the same conditions.

Please note that Abcam does not have data for use of this antibody on non-fixed cells. We welcome any customer feedback.

Immunohistochemistry (Frozen sections) - Anti-F4/80 antibody [BM8] (AB16911)
  • IHC-Fr

AbReview12192****

Immunohistochemistry (Frozen sections) - Anti-F4/80 antibody [BM8] (AB16911)

ab16911 staining mouse spleen tissue sections by immunohistochemistry (frozen sections). Sections were paraformaldehyde fixed without permeabilization and blocked in 1% serum for 10 minutes at 20°C. The primary antibody was used undiluted and incubated with sample for 16 hour at 20°C. A Biotin conjugated goat polyclonal to rat Ig, diluted 1/500 was used as the secondary antibody.

This image is courtesy of an Abreview submitted by Miss Silke Vorwald

Immunocytochemistry - Anti-F4/80 antibody [BM8] (AB16911)
  • ICC

AbReview20372****

Immunocytochemistry - Anti-F4/80 antibody [BM8] (AB16911)

ab16911 staining F4/80 in Mouse brain cells by ICC/IF (Immunocytochemistry/immunofluorescence). Cells were fixed with acetone and blocked with 5% BSA for 1 hour at 20°C. Samples were incubated with primary antibody (1/250) for 16 hours at 4°C. An Alexa Fluor®568-conjugated Goat anti-rat IgG polyclonal (1/1000) was used as the secondary antibody.

This image is courtesy of an anonymous Abreview

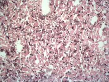
Immunohistochemistry (Frozen sections) - Anti-F4/80 antibody [BM8] (AB16911)
  • IHC-Fr

Unknown

Immunohistochemistry (Frozen sections) - Anti-F4/80 antibody [BM8] (AB16911)

ab16911 staining F4/80 on macrophages in mouse liver tissue by Immunohistochemistry (Frozen sections).

Immunocytochemistry - Anti-F4/80 antibody [BM8] (AB16911)
  • ICC

Lab

Immunocytochemistry - Anti-F4/80 antibody [BM8] (AB16911)

ab16911 stained RAW246.7 cells. The cells were 100% methanol fixed for 5 minutes at -20°C and then incubated in 1%BSA / 10% normal goat serum / 0.3M glycine in 0.1% PBS-Tween for 1hour at room temperature to permeabilise the cells and block non-specific protein-protein interactions. The cells were then incubated with the antibody (ab16911 at 1in50 dilution) overnight at +4°C. The secondary antibody (pseudo-colored green) was Goat Anti-Rat IgG H&L (Alexa Fluor® 488) preadsorbed (ab150165) used at a 1/1000 dilution for 1hour at room temperature. Alexa Fluor® 594 WGA was used to label plasma membranes (pseudo-colored red) at a 1/200 dilution for 1hour at room temperature. DAPI was used to stain the cell nuclei (pseudo-colored blue) at a concentration of 1.43μM for 1hour at room temperature.

Flow Cytometry - Anti-F4/80 antibody [BM8] (AB16911)
  • Flow Cyt

Supplier Data

Flow Cytometry - Anti-F4/80 antibody [BM8] (AB16911)

Detection of F4/80 in RAW cells. Red, black and blue line represent the isotype control, cells only and ab16911 at 10 μg/ml, respectively.

  • 519 FITC

    FITC Anti-F4/80 antibody [BM8]

  • Biotin

    Biotin Anti-F4/80 antibody [BM8]

Key facts

Host species

Rat

Clonality

Monoclonal

Clone number

BM8

Isotype

IgG2a

Carrier free

No

Reacts with

Mouse, Human

Applications

ICC, Flow Cyt, IHC-Fr

applications

Immunogen

Cell preparation containing Adgre1 protein. The exact immunogen used to generate this antibody is proprietary information.

Q61549

Specificity

The monoclonal antibody BM8 recognizes a 125 kDa extracellular macrophage membrane molecule, highly restricted to mature macrophage subpopulations residing in tissue. This antibody does not cross react with any of the following cell types from Mouse: granulocytes, mast cells, platelets, lymphocytes, fibroblasts or endothelial cells.

Reactivity data

{ "title": "Reactivity Data", "filters": { "stats": ["", "Species", "Dilution Info", "Notes"], "tabs": { "all-applications": {"fullname" : "All Applications", "shortname": "All Applications"}, "ICC" : {"fullname" : "Immunocytochemistry", "shortname":"ICC"}, "FlowCyt" : {"fullname" : "Flow Cytometry", "shortname":"Flow Cyt"}, "IHCFr" : {"fullname" : "Immunohistochemistry (Frozen sections)", "shortname":"IHC-Fr"} }, "product-promise": { "all": "all", "testedAndGuaranteed": "tested", "guaranteed": "expected", "predicted": "predicted", "notRecommended": "not-recommended" } }, "values": { "Human": { "ICC-species-checked": "guaranteed", "ICC-species-dilution-info": "", "ICC-species-notes": "", "FlowCyt-species-checked": "testedAndGuaranteed", "FlowCyt-species-dilution-info": "1/50", "FlowCyt-species-notes": "<p>(Methanol fixed cells)</p><p><a href='/en-us/products/primary-antibodies/rat-igg2a-kappa-monoclonal-rtk2758-isotype-control-ab18450'>ab18450</a> - Rat monoclonal IgG2a, is suitable for use as an isotype control with this antibody.</p>", "IHCFr-species-checked": "guaranteed", "IHCFr-species-dilution-info": "", "IHCFr-species-notes": "" }, "Mouse": { "ICC-species-checked": "testedAndGuaranteed", "ICC-species-dilution-info": "", "ICC-species-notes": "<p></p>", "FlowCyt-species-checked": "testedAndGuaranteed", "FlowCyt-species-dilution-info": "1/50", "FlowCyt-species-notes": "<p>(Methanol fixed cells)</p><p><a href='/en-us/products/primary-antibodies/rat-igg2a-kappa-monoclonal-rtk2758-isotype-control-ab18450'>ab18450</a> - Rat monoclonal IgG2a, is suitable for use as an isotype control with this antibody.</p>", "IHCFr-species-checked": "testedAndGuaranteed", "IHCFr-species-dilution-info": "1/50", "IHCFr-species-notes": "<p>See Schaller et al.</p><p>Fixation with acetone for 10 min at RT is recommended as is an incubation with 0.02 M sodium azide in PBS containing 0.1 % H2O2 for 10 min at RT to destroy endogenous peroxidase</p>" } } }

Product details

Anti-F4/80 antibody [BM8] (ab16911) is a rat monoclonal antibody and is validated for use in Flow Cyt, ICC, IHC in mouse samples.

Anti-F4/80 antibody [BM8] (ab16911) has been cited over 152 times in peer reviewed journals and is trusted by the scientific community.

Abcam's high quality validation processes ensure Anti-F4/80 antibody [BM8] (ab16911) has high sensitivity and specificity.

Anti-F4/80 antibody [BM8] (ab16911) has 12 independent reviews from customers.

Anti-F4/80 antibody [BM8] (ab16911) specifically detects F4/80 (UniProt ID: Q14246; Molecular weight: 95kDa) and is sold in 100 µg selling sizes.

Antibody clone BM8 is also available pre-conjugated to a variety of labels for your convenience - Biotin, FITC, PE (ab15694, ab60343, ab125148).

F4/80 is a well-established marker for murine macrophages, playing a significant role in the immune system. It is involved in various immunological processes, including tissue homeostasis, inflammation, and immune responses. F4/80 is expressed on different macrophage subtypes, which can influence the progression of diseases such as autoimmune disorders, infections, and cancer. Its expression helps in identifying and isolating macrophages for research, aiding in the understanding of their roles in health and disease. It has been recently implicated as a key biomarker in some autoimmune diseases like IBD.

ab16911 is the only macrophage marker that is able to distinguish non-destructive from destructive inflammation prcoesses in the pancreas. Furthermore it is a unique histological marker of the progression from peri-insulitis to beta-cell and diabetes in a mouse diabetes model.

Properties and storage information

Form
Liquid
Purification technique
Affinity purification Protein G
Purification notes
Provided as a 0.2µm filtered antibody solution.
Storage buffer
Preservative: 0.02% Sodium azide Constituents: PBS, 0.1% BSA
Shipped at conditions
Blue Ice
Appropriate short-term storage conditions
+4°C
Appropriate long-term storage conditions
-20°C
Aliquoting information
Upon delivery aliquot
Storage information
Avoid freeze / thaw cycle

Supplementary information

This supplementary information is collated from multiple sources and compiled automatically.

F4/80 also known as Emr1 (Epidermal growth factor module-containing mucin-like hormone receptor 1) is a well-characterized surface protein with a mass of approximately 160 kDa. This protein is recognized as a marker for murine macrophages. F4/80 is heavily expressed on cells of the monocyte and macrophage lineage particularly in tissue-resident macrophages found in organs like the liver spleen and lung. Its expression is vital for identifying macrophages in various types of immunological studies including F4/80 staining and macrophage marker analysis.
Biological function summary

F4/80 plays a role in modulating the immune response by interacting with other cell surface molecules. While not part of a larger protein complex F4/80 influences macrophage functions such as phagocytosis and cytokine production. Its expression contributes to the regulation of tissue homeostasis and inflammation. The protein is critical in maintaining the macrophage population required for reliable immune surveillance and response to pathogens.

Pathways

F4/80 is an integral part of the immunological and inflammatory signaling pathways. It interacts with TLRs (Toll-like receptors) and other cell surface molecules that sense microbial components therefore helping in the initiation of innate immune responses. F4/80 is connected to proteins like cytokine receptors which play roles in mediating and resolving inflammatory signals important for maintaining balanced immune activity.

F4/80 is associated with conditions like chronic inflammation and autoimmune disorders. Its expression levels can often correlate with disease state impacting diseases such as rheumatoid arthritis and liver fibrosis. In these conditions F4/80 interacts with proteins like TNF-alpha and IL-1beta which are involved in inflammatory processes. Understanding F4/80's role can help uncover therapeutic targets aimed at modulating macrophage functions to treat these disorders effectively.

Product protocols

For this product, it's our understanding that no specific protocols are required. You can visit:

Target data

Orphan receptor involved in cell adhesion and probably in cell-cell interactions specifically involving cells of the immune system. May play a role in regulatory T-cells (Treg) development.
See full target information Adgre1

Publications (212)

Recent publications for all applications. Explore the full list and refine your search

Journal of inflammation research 18:12105-12121 PubMed40933752

2025

Combination of Polydatin and Hawthorn Leave Flavonoids Ameliorate Atherosclerotic Plaque Vulnerability in ApoE Mice by Regulating Ferroptosis via the Nrf2/HO-1/GPX4 Axis.

Applications

Unspecified application

Species

Unspecified reactive species

Jiye Chen,Xiaonan Zhang,Changxin Sun,Zeping Wang,Xiaoya Li,Lanqing Hu,Yongfang Yuan,Min Wu,Longtao Liu

Chinese medicine 20:111 PubMed40660309

2025

Ganoderma lucidum spore oil alleviates psychological stress-evoked tumor progression by enhancing FcγR-mediated macrophage phagocytosis.

Applications

Unspecified application

Species

Unspecified reactive species

Dong-Dong Li,Zi-Xuan Li,Yang-Fan Zhou,Ling Jin,Wan-Li Liang,Wen-Dong Xu,Xiang Luo,Guan-Di Xiao,Qi-Jun Chen,Ting Xie,Hui Xu,Yang Liu,Hong-Fei Cai,Yun-Feng Cao,Wan-Yang Sun,Yi-Fang Li,Lei Liang,Ju-Yan Liu,Yan-Ping Wu,Rong-Rong He

Communications biology 8:1040 PubMed40640354

2025

Fortilin deficiency induces anti-atherosclerotic phenotypes in macrophages and protects hypercholesterolemic mice against atherosclerosis.

Applications

Unspecified application

Species

Unspecified reactive species

Nattaporn Wanachottrakul,Decha Pinkaew,Sandipan Mukherjee,Preedakorn Chunhacha,Mari Nakashima,Asa A Brockman,Uttariya Pal,Hasseri B Halim,Yuhong Wei,Lena Tanaka,Hanna Huynh,Kota Ramana,Shiyou Chen,Rebecca A Ihrie,Ken Fujise

Cells 14: PubMed40643523

2025

Growth Hormone Secretagogue Receptor (GHSR) Is Elevated in Myocardial Tissues of DMD Mice, and Correlates Strongly with Inflammatory Markers, and Negatively with Cardiac Function.

Applications

Unspecified application

Species

Unspecified reactive species

Maedeh Naghibosadat,Andrew McClennan,Margarita Egiian,Reema Flynn-Rizk,Tyler Lalonde,Carlie Charron,Anish Chhabra,Leonard G Luyt,Savita Dhanvantari,Lisa M Hoffman

Cardiovascular diabetology 24:223 PubMed40399937

2025

Perivascular adipose tissue dysfunction contributes to thoracic aortic aneurysm development.

Applications

Unspecified application

Species

Unspecified reactive species

Zhenguo Wang,Wenjuan Mu,Ruiyan Xu,Juan Zhong,Wenhao Xiong,Xiangjie Zhao,Xiubin Liang,Yanhong Guo,Jifeng Zhang,Zhi-Sheng Jiang,Bo Yang,Y Eugene Chen,Lin Chang

Nutrients 17: PubMed40292571

2025

Protocatechuic Acid Attenuates Inflammation in Macrophage-like Vascular Smooth Muscle Cells in ApoE Mice.

Applications

Unspecified application

Species

Unspecified reactive species

Shuangshuang Li,Yushi Du,Guanyu Chen,Yihui Mao,Wenyu Zhang,Mengxi Kang,Shasha Zhu,Dongliang Wang

International journal of oral science 17:28 PubMed40164575

2025

Macrophage ATF6 accelerates corticotomy-assisted orthodontic tooth movement through promoting Tnfα transcription.

Applications

Unspecified application

Species

Unspecified reactive species

Zhichun Jin,Hao Xu,Weiye Zhao,Kejia Zhang,Shengnan Wu,Chuanjun Shu,Linlin Zhu,Yan Wang,Lin Wang,Hanwen Zhang,Bin Yan

Experimental dermatology 34:e70090 PubMed40129056

2025

Hyperuricemia Exacerbates Psoriatic Inflammation by Inducing M1 Macrophage Activation and Th1 Cell Differentiation.

Applications

Unspecified application

Species

Unspecified reactive species

Shu-Yi Wei,Shuang He,Xiao-Yan Wu,Yan Zhang,Ying-Ping Xu,Bin Yang,Yu-Zhe Sun

Cell & bioscience 15:24 PubMed39972392

2025

KAT8 catalyzes the acetylation of SEPP1 at lysine 247/249 and modulates the activity of CD8 T cells via LRP8 to promote anti-tumor immunity in pancreatic cancer.

Applications

Unspecified application

Species

Unspecified reactive species

Zhongfei Zhu,Gang Nie,Xiaobo Peng,Xianbao Zhan,Dan Ding

Materials today. Bio 30:101406 PubMed39816666

2025

Macrophage-mimicking nanotherapy for attenuation of acute pancreatitis.

Applications

Unspecified application

Species

Unspecified reactive species

Fengyu Shi,Akmal Ergashev,Zhenyan Pan,Hongwei Sun,Lingming Kong,Yuepeng Jin,Tan Zhang,Zhu Liu,Haonan Xie,Jinhui Wang,Huiping Li,Yi Wang,Lifei Zheng,Jianliang Shen,Andreas Herrmann,Gang Chen,Hongru Kong
View all publications

Product promise

We are committed to supporting your work with high-quality reagents, and we're here for you every step of the way. In the unlikely event that one of our products does not perform as expected, you're protected by our Product Promise.
For full details, please see our Terms & Conditions

Please note: All products are 'FOR RESEARCH USE ONLY. NOT FOR USE IN DIAGNOSTIC OR THERAPEUTIC PROCEDURES'.

For licensing inquiries, please contact partnerships@abcam.com