JavaScript is disabled in your browser. Please enable JavaScript to view this website.
AB300422

Anti-F4/80 antibody [EPR26545-166] (BSA and Azide free)

  • BOND RX™ Validated
  • RabMAb
  • Recombinant
  • Advanced Validation
  • What is this?

Be the first to review this product! Submit a review

|

(3 Publications)

Rabbit Recombinant Monoclonal F4/80 antibody. Carrier free. Suitable for ICC/IF, IHC-Fr, IHC-P, WB, mIHC and reacts with Mouse, Rat samples. Cited in 3 publications.

View Alternative Names

Emr1, Gpf480, Adgre1, Adhesion G protein-coupled receptor E1, Cell surface glycoprotein F4/80, EGF-like module receptor 1, EGF-like module-containing mucin-like hormone receptor-like 1, EMR1 hormone receptor

18 Images
Multiplex immunohistochemistry - Anti-F4/80 antibody [EPR26545-166] (BSA and Azide free) (AB300422)
  • mIHC

Lab

Multiplex immunohistochemistry - Anti-F4/80 antibody [EPR26545-166] (BSA and Azide free) (AB300422)

This data was developed using the same antibody clone in a different buffer formulation ( ab300421).

Multiplex immunohistochemistry analysis of formalin/PFA-fixed paraffin-embedded Mouse thymus tissue staining Neutrophil Elastase with ab310335 at a 1/500 ( 1.076 µg/ml) dilution, F4/80 with ab300421 at a 1/5000 ( 0.106 µg/ml) dilution and NCR1 with ab233558 at a 1/500 ( 1.114 µg/ml) dilution followed by a ready to use secondary antibody Opal Polymer HRP Ms + Rb.

Panel A : merged staining of anti-Neutrophil Elastase (magenta; Opal™690), anti-CD19 (green; Opal™520) and anti-CD3 (gray; Opal™690) on mouse spleen.Panel B : anti-Neutrophil Elastase staining neutrophils in mouse spleen.
Panel C : anti-CD19 staining B lymphocytes in mouse spleen.
Panel D : anti-CD3 staining T lymphocytes in mouse spleen.
Nuclear DNA was labeled with DAPI (shown in blue).

The section was incubated in three rounds of staining : in the order of ab310335, ab245235 and ab237721 for 30 mins at room temperature. Each round was followed by a separate fluorescent tyramide signal amplification system.

The immunostaining was performed on a Leica Biosystems BOND® RX instrument with an Opal™ 4-color kit. Image acquisition was performed with Leica SP8 confocal microscope.

Heat mediated antigen retrieval with Tris-EDTA buffer (pH 9.0, epitope retrieval solution2) for 20 mins

Immunohistochemistry (Formalin/PFA-fixed paraffin-embedded sections) - Anti-F4/80 antibody [EPR26545-166] (BSA and Azide free) (AB300422)
  • IHC-P

Supplier Data

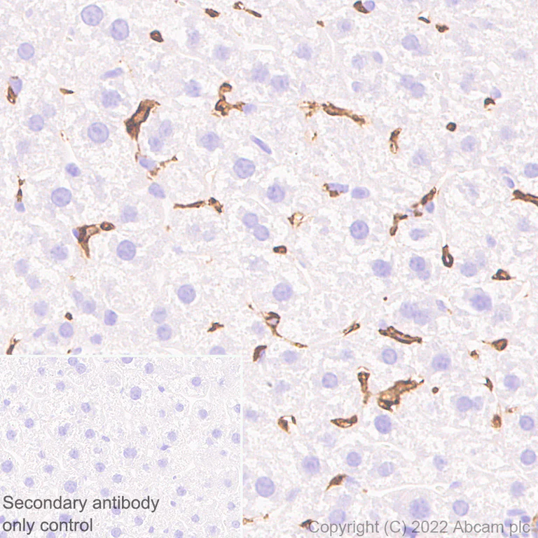
Immunohistochemistry (Formalin/PFA-fixed paraffin-embedded sections) - Anti-F4/80 antibody [EPR26545-166] (BSA and Azide free) (AB300422)

This data was developed using ab300421, the same antibody clone in a different buffer formulation.

Immunohistochemical analysis of paraffin-embedded Rat liver tissue labeling F4/80 with ab300421 at 1/5000 (0.1 ug/ml) followed by a ready to use LeicaDS9800 (Bond™ Polymer Refine Detection) was used. Positive staining on the Kupffer cells of rat liver. The section was incubated with ab300421 for 30 mins at room temperature. The immunostaining was performed on a Leica Biosystems BOND® RX instrument Counterstained with Hematoxylin.

Secondary antibody only control : Secondary antibody is a ready to use LeicaDS9800 (Bond™ Polymer Refine Detection) was used. Heat mediated antigen retrieval with Tris-EDTA buffer (pH 9.0, epitope retrieval solution2) for 20 mins.

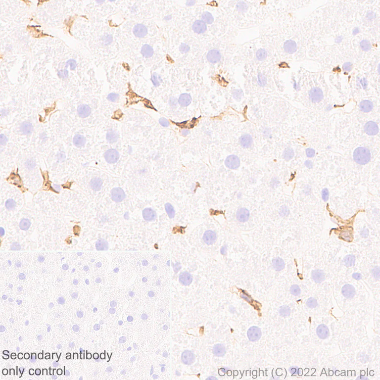
Immunohistochemistry (Formalin/PFA-fixed paraffin-embedded sections) - Anti-F4/80 antibody [EPR26545-166] (BSA and Azide free) (AB300422)
  • IHC-P

Supplier Data

Immunohistochemistry (Formalin/PFA-fixed paraffin-embedded sections) - Anti-F4/80 antibody [EPR26545-166] (BSA and Azide free) (AB300422)

This data was developed using ab300421, the same antibody clone in a different buffer formulation.

Immunohistochemical analysis of paraffin-embedded Mouse spleen tissue labeling F4/80 with ab300421 at 1/5000 (0.1 ug/ml) followed by a ready to use LeicaDS9800 (Bond™ Polymer Refine Detection) was used. Positive staining on the macrophages of mouse spleen (PMID : 19820169). The section was incubated with ab300421 for 30 mins at room temperature. The immunostaining was performed on a Leica Biosystems BOND® RX instrument Counterstained with Hematoxylin.

Secondary antibody only control : Secondary antibody is a ready to use LeicaDS9800 (Bond™ Polymer Refine Detection) was used. Heat mediated antigen retrieval with Tris-EDTA buffer (pH 9.0, epitope retrieval solution2) for 20 mins.

Immunohistochemistry (Formalin/PFA-fixed paraffin-embedded sections) - Anti-F4/80 antibody [EPR26545-166] (BSA and Azide free) (AB300422)
  • IHC-P

Supplier Data

Immunohistochemistry (Formalin/PFA-fixed paraffin-embedded sections) - Anti-F4/80 antibody [EPR26545-166] (BSA and Azide free) (AB300422)

This data was developed using ab300421, the same antibody clone in a different buffer formulation.

Immunohistochemical analysis of paraffin-embedded Mouse liver tissue labeling F4/80 with ab300421 at 1/5000 (0.1 ug/ml) followed by a ready to use LeicaDS9800 (Bond™ Polymer Refine Detection) was used. Positive staining on the Kupffer cells of mouse liver (PMID : 26473015). The section was incubated with ab300421 for 30 mins at room temperature.The immunostaining was performed on a Leica Biosystems BOND® RX instrument Counterstained with Hematoxylin.

Secondary antibody only control : Secondary antibody is a ready to use LeicaDS9800 (Bond™ Polymer Refine Detection) was used. Heat mediated antigen retrieval with Tris-EDTA buffer (pH 9.0, epitope retrieval solution2) for 20 mins.

Immunocytochemistry/ Immunofluorescence - Anti-F4/80 antibody [EPR26545-166] (BSA and Azide free) (AB300422)
  • ICC/IF

Supplier Data

Immunocytochemistry/ Immunofluorescence - Anti-F4/80 antibody [EPR26545-166] (BSA and Azide free) (AB300422)

This data was developed using ab300421, the same antibody clone in a different buffer formulation.Immunofluorescent analysis of 4% Paraformaldehyde-fixed, 0.1% TritonX-100 permeabilized RAW 264.7 (mouse abelson murine leukemia virus-induced tumor macrophage) cells labelling F4/80 with ab300421 at 1/50 dilution, followed by ab150081 Goat Anti-Rabbit IgG H&L (Alexa Fluor® 488) preadsorbed antibody at 1/1000 2ug/mL dilution (Green). Confocal image showing membranous and cytoplasmic staining in RAW264.7 cell lineNegative control : NIH/3T3 (PMID : 8550607) is observed. ab195889 Anti-alpha Tubulin mouse monoclonal antibody - Microtubule Marker (Alexa Fluor® 594) was used to counterstain tubulin at 1/200 2.5ug/ml dilution (Red). The Nuclear counterstain was DAPI (Blue). Secondary antibody only control : Secondary antibody is ab150081 Goat Anti-Rabbit IgG H&L (Alexa Fluor® 488) preadsorbed at 1/1000 2ug/mL dilution.

Immunohistochemistry (Frozen sections) - Anti-F4/80 antibody [EPR26545-166] (BSA and Azide free) (AB300422)
  • IHC-Fr

Supplier Data

Immunohistochemistry (Frozen sections) - Anti-F4/80 antibody [EPR26545-166] (BSA and Azide free) (AB300422)

This data was developed using ab300421, the same antibody clone in a different buffer formulation. Immunohistochemical analysis of 4% PFA-fixed, 0.2% Triton X-100 permeabilized frozen Mouse spleen (fresh) tissue labeling F4/80 with ab300421 at 1/500 dilution followed by ab150081 Goat Anti-Rabbit IgG H&L (Alexa Fluor® 488) preadsorbed at 1/1000 2 ug/mL dilution (Green). Positive staining on the macrophages of mouse spleen is observed. The nuclear counterstain was DAPI (Blue). Secondary antibody control : Secondary antibody is ab150081 Goat Anti-Rabbit IgG H&L (Alexa Fluor® 488) preadsorbed at 1/1000 2 ug/mL dilution.

Multiplex immunohistochemistry - Anti-F4/80 antibody [EPR26545-166] (BSA and Azide free) (AB300422)
  • mIHC

Lab

Multiplex immunohistochemistry - Anti-F4/80 antibody [EPR26545-166] (BSA and Azide free) (AB300422)

This data was developed using ab300421, the same antibody clone in a different buffer formulation.

Multiplex immunohistochemistry analysis of formalin/PFA-fixed paraffin-embedded Mouse spleen staining of F4/80 with ab300421 at a 1/5000 (0.1 µg/ml) dilution, CD19 with ab245235 at 1/1000 (0.444 µg/ml) dilution and CD3 with ab237721 at 1/2000 ( 0.264 µg/ml) dilution.

Panel A : merged staining of anti-F4/80 (magenta; Opal™690), anti-CD19 (green; Opal™520) and anti-CD3 (gray; Opal™570) on mouse spleen.
Panel B : anti-F4/80 staining macrophages in mouse spleen.
Panel C : anti-CD19 staining B lymphocytes in mouse spleen.
Panel D : anti-CD3 staining T lymphocytes in mouse spleen.
Nuclear DNA was labelled with DAPI (shown in blue).

The section was incubated in three rounds of staining : in the order of ab300421, ab245235 and ab237721 for 30 mins at room temperature. Each round was followed by a separate fluorescent tyramide signal amplification system.

The immunostaining was performed on a Leica Biosystems BOND® RX instrument with an Opal™ 4-color kit. Image acquisition was performed with Leica SP8 confocal microscope.

Heat mediated antigen retrieval with Tris-EDTA buffer (pH 9.0 epitope retrieval solution2) for 20 mins.

Multiplex immunohistochemistry - Anti-F4/80 antibody [EPR26545-166] (BSA and Azide free) (AB300422)
  • mIHC

Lab

Multiplex immunohistochemistry - Anti-F4/80 antibody [EPR26545-166] (BSA and Azide free) (AB300422)

This data was developed using the same antibody clone in a different buffer formulation ( ab300421).

Multiplex immunohistochemistry analysis of formalin/PFA-fixed paraffin-embedded Mouse spleen tissue staining Neutrophil Elastase with ab310335 at a 1/500 ( 1.076 µg/ml) dilution, F4/80 with ab300421 at a 1/5000 ( 0.106 µg/ml) dilution and NCR1 with ab233558 at a 1/500 ( 1.114 µg/ml) dilution followed by a ready to use secondary antibody Opal Polymer HRP Ms + Rb.

Panel A : merged staining of anti-Neutrophil Elastase (magenta; Opal™690), anti-CD19 (green; Opal™520) and anti-CD3 (gray; Opal™690) on mouse spleen.Panel B : anti-Neutrophil Elastase staining neutrophils in mouse spleen.
Panel C : anti-CD19 staining B lymphocytes in mouse spleen.
Panel D : anti-CD3 staining T lymphocytes in mouse spleen.
Nuclear DNA was labeled with DAPI (shown in blue).

The section was incubated in three rounds of staining : in the order of ab310335, ab245235 and ab237721 for 30 mins at room temperature. Each round was followed by a separate fluorescent tyramide signal amplification system.

The immunostaining was performed on a Leica Biosystems BOND® RX instrument with an Opal™ 4-color kit. Image acquisition was performed with Leica SP8 confocal microscope.

Heat mediated antigen retrieval with Tris-EDTA buffer (pH 9.0, epitope retrieval solution2) for 20 mins

Immunohistochemistry (Formalin/PFA-fixed paraffin-embedded sections) - Anti-F4/80 antibody [EPR26545-166] (BSA and Azide free) (AB300422)
  • IHC-P

Supplier Data

Immunohistochemistry (Formalin/PFA-fixed paraffin-embedded sections) - Anti-F4/80 antibody [EPR26545-166] (BSA and Azide free) (AB300422)

This data was developed using ab300421, the same antibody clone in a different buffer formulation.

Immunohistochemical analysis of paraffin-embedded Rat spleen tissue labeling F4/80 with ab300421 at 1/5000 (0.1 ug/ml) followed by a ready to use LeicaDS9800 (Bond™ Polymer Refine Detection) was used. Positive staining on the macrophages of rat spleen. The section was incubated with ab300421 for 30 mins at room temperature. The immunostaining was performed on a Leica Biosystems BOND® RX instrument. Counterstained with Hematoxylin.

Secondary antibody only control : Secondary antibody is a ready to use LeicaDS9800 (Bond™ Polymer Refine Detection) was used. Heat mediated antigen retrieval with Tris-EDTA buffer (pH 9.0, epitope retrieval solution2) for 20 mins.

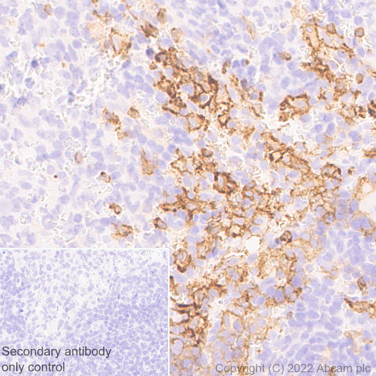
Multiplex immunohistochemistry - Anti-F4/80 antibody [EPR26545-166] (BSA and Azide free) (AB300422)
  • mIHC

Lab

Multiplex immunohistochemistry - Anti-F4/80 antibody [EPR26545-166] (BSA and Azide free) (AB300422)

This data was developed using ab300421, the same antibody clone in a different buffer formulation.

Multiplex immunohistochemistry analysis of formalin/PFA-fixed paraffin-embedded rat lung staining of Surfactant Protein A/PSAP with ab322404 at a 1/5000 (0.092 μg/ml) dilution, F4/80 with ab300421 at 1/5000 (0.070 μg/ml) dilution, and CD73 with ab314327 at 1/500 (0.98 μg/ml), followed by a ready to use secondary antibody Opal Polymer HRP Ms + Rb.

Panel A : merged staining of anti-Surfactant Protein A/PSAP (green; Opal™ 520), anti-F4/80 (grey; Opal™ 570) and anti-CD73 (magenta; Opal™ 690) on rat lung.
Panel B : anti-Surfactant Protein A/PSAP staining Clara cells and alveolar type II cells in rat lung.
Panel C : anti-F4/80 staining macrophages in rat lung.
Panel D : anti-CD73 staining epithelium in rat lung.
Nuclear DNA was labeled with DAPI (shown in blue).

The section was incubated in three rounds of staining : in the order of ab322404, ab300421 and ab314327 for 30 mins at room temperature. Each round was followed by a separate fluorescent tyramide signal amplification system..

Heat mediated antigen retrieval with Tris-EDTA buffer (pH 9.0, epitope retrieval solution2) for 20 mins.

The immunostaining was performed on a Leica Biosystems BOND® RX instrument with an Opal™ 4-color kit. Image acquisition was performed with Leica SP8 confocal microscope.

Multiplex immunohistochemistry - Anti-F4/80 antibody [EPR26545-166] (BSA and Azide free) (AB300422)
  • mIHC

Lab

Multiplex immunohistochemistry - Anti-F4/80 antibody [EPR26545-166] (BSA and Azide free) (AB300422)

This data was developed using ab300421, the same antibody clone in a different buffer formulation.

Multiplex immunohistochemistry analysis of formalin/PFA-fixed paraffin-embedded mouse lung staining of Surfactant Protein A/PSAP with ab322404 at a 1/5000 (0.092 μg/ml) dilution, F4/80 with ab300421 at 1/5000 (0.070 μg/ml) dilution, and CD73 with ab314327 at 1/500 (0.98 μg/ml), followed by a ready to use secondary antibody Opal Polymer HRP Ms + Rb.

Panel A : merged staining of anti-Surfactant Protein A/PSAP (green; Opal™ 520), anti-F4/80 (grey; Opal™ 570) and anti-CD73 (magenta; Opal™ 690) on mouse lung.
Panel B : anti-Surfactant Protein A/PSAP staining Clara cells and alveolar type II cells in mouse lung.
Panel C : anti-F4/80 staining macrophages in mouse lung.
Panel D : anti-CD73 staining epithelium in mouse lung.
Nuclear DNA was labeled with DAPI (shown in blue).

The section was incubated in three rounds of staining : in the order of ab322404, ab300421 and ab314327 for 30 mins at room temperature. Each round was followed by a separate fluorescent tyramide signal amplification system..

Heat mediated antigen retrieval with Tris-EDTA buffer (pH 9.0, epitope retrieval solution2) for 20 mins.

The immunostaining was performed on a Leica Biosystems BOND® RX instrument with an Opal™ 4-color kit. Image acquisition was performed with Leica SP8 confocal microscope.

Multiplex immunohistochemistry - Anti-F4/80 antibody [EPR26545-166] (BSA and Azide free) (AB300422)
  • mIHC

Lab

Multiplex immunohistochemistry - Anti-F4/80 antibody [EPR26545-166] (BSA and Azide free) (AB300422)

This data was developed using ab300421, the same antibody clone in a different buffer formulation.

Multiplex immunohistochemistry analysis of formalin/PFA-fixed paraffin-embedded Mouse bone marrow staining of F4/80 with ab300421 at a 1/5000 (0.1 µg/ml) dilution, CD19 with ab245235 at 1/1000 (0.444 µg/ml) dilution and CD3 with ab237721 at 1/2000 ( 0.264 µg/ml) dilution.

Panel A : merged staining of anti-F4/80 (magenta; Opal™690), anti-CD19 (green; Opal™520) and anti-CD3 (gray; Opal™570) on mouse bone marrow.
Panel B : anti-F4/80 staining macrophages in mouse bone marrow.
Panel C : anti-CD19 staining B lymphocytes in mouse bone marrow.
Panel D : anti-CD3 staining T lymphocytes in mouse bone marrow.
Nuclear DNA was labelled with DAPI (shown in blue).

The section was incubated in three rounds of staining : in the order of ab300421, ab245235 and ab237721 for 30 mins at room temperature. Each round was followed by a separate fluorescent tyramide signal amplification system.

The immunostaining was performed on a Leica Biosystems BOND® RX instrument with an Opal™ 4-color kit. Image acquisition was performed with Leica SP8 confocal microscope.

Heat mediated antigen retrieval with Tris-EDTA buffer (pH 9.0 epitope retrieval solution2) for 20 mins.

Multiplex immunohistochemistry - Anti-F4/80 antibody [EPR26545-166] (BSA and Azide free) (AB300422)
  • mIHC

Lab

Multiplex immunohistochemistry - Anti-F4/80 antibody [EPR26545-166] (BSA and Azide free) (AB300422)

This data was developed using ab300421, the same antibody clone in a different buffer formulation.

Multiplex immunohistochemistry analysis of formalin/PFA-fixed paraffin-embedded Mouse thymus staining of F4/80 with ab300421 at a 1/5000 (0.1 µg/ml) dilution, CD19 with ab245235 at 1/1000 (0.444 µg/ml) dilution and CD3 with ab237721 at 1/2000 ( 0.264 µg/ml) dilution.

Panel A : merged staining of anti-F4/80 (magenta; Opal™690), anti-CD19 (green; Opal™520) and anti-CD3 (gray; Opal™570) on mouse thymus.
Panel B : anti-F4/80 staining macrophages in mouse thymus.
Panel C : anti-CD19 staining B lymphocytes in mouse thymus.
Panel D : anti-CD3 staining T lymphocytes in mouse thymus.
Nuclear DNA was labelled with DAPI (shown in blue).

The section was incubated in three rounds of staining : in the order of ab300421, ab245235 and ab237721 for 30 mins at room temperature. Each round was followed by a separate fluorescent tyramide signal amplification system.

The immunostaining was performed on a Leica Biosystems BOND® RX instrument with an Opal™ 4-color kit. Image acquisition was performed with Leica SP8 confocal microscope.

Heat mediated antigen retrieval with Tris-EDTA buffer (pH 9.0 epitope retrieval solution2) for 20 mins.

Multiplex immunohistochemistry - Anti-F4/80 antibody [EPR26545-166] (BSA and Azide free) (AB300422)
  • mIHC

Lab

Multiplex immunohistochemistry - Anti-F4/80 antibody [EPR26545-166] (BSA and Azide free) (AB300422)

This data was developed using ab300421, the same antibody clone in a different buffer formulation.

Multiplex immunohistochemistry analysis of formalin/PFA-fixed paraffin-embedded Mouse lymph node staining of F4/80 with ab300421 at a 1/5000 (0.1 µg/ml) dilution, CD19 with ab245235 at 1/1000 (0.444 µg/ml) dilution and CD3 with ab237721 at 1/2000 ( 0.264 µg/ml) dilution.

Panel A : merged staining of anti-F4/80 (magenta; Opal™690), anti-CD19 (green; Opal™520) and anti-CD3 (gray; Opal™570) on mouse lymph node.
Panel B : anti-F4/80 staining macrophages in mouse lymph node.
Panel C : anti-CD19 staining B lymphocytes in mouse lymph node.
Panel D : anti-CD3 staining T lymphocytes in mouse lymph node.
Nuclear DNA was labelled with DAPI (shown in blue).

The section was incubated in three rounds of staining : in the order of ab300421, ab245235 and ab237721 for 30 mins at room temperature. Each round was followed by a separate fluorescent tyramide signal amplification system.

The immunostaining was performed on a Leica Biosystems BOND® RX instrument with an Opal™ 4-color kit. Image acquisition was performed with Leica SP8 confocal microscope.

Heat mediated antigen retrieval with Tris-EDTA buffer (pH 9.0 epitope retrieval solution2) for 20 mins.

Multiplex immunohistochemistry - Anti-F4/80 antibody [EPR26545-166] (BSA and Azide free) (AB300422)
  • mIHC

Lab

Multiplex immunohistochemistry - Anti-F4/80 antibody [EPR26545-166] (BSA and Azide free) (AB300422)

This data was developed using the same antibody clone in a different buffer formulation ( ab300421).

Multiplex immunohistochemistry analysis of formalin/PFA-fixed paraffin-embedded Mouse lymph node tissue staining Neutrophil Elastase with ab310335 at a 1/500 ( 1.076 µg/ml) dilution, F4/80 with ab300421 at a 1/5000 ( 0.106 µg/ml) dilution and NCR1 with ab233558 at a 1/500 ( 1.114 µg/ml) dilution followed by a ready to use secondary antibody Opal Polymer HRP Ms + Rb.

Panel A : merged staining of anti-Neutrophil Elastase (magenta; Opal™690), anti-CD19 (green; Opal™520) and anti-CD3 (gray; Opal™690) on mouse spleen.Panel B : anti-Neutrophil Elastase staining neutrophils in mouse spleen.
Panel C : anti-CD19 staining B lymphocytes in mouse spleen.
Panel D : anti-CD3 staining T lymphocytes in mouse spleen.
Nuclear DNA was labeled with DAPI (shown in blue).

The section was incubated in three rounds of staining : in the order of ab310335, ab245235 and ab237721 for 30 mins at room temperature. Each round was followed by a separate fluorescent tyramide signal amplification system.

The immunostaining was performed on a Leica Biosystems BOND® RX instrument with an Opal™ 4-color kit. Image acquisition was performed with Leica SP8 confocal microscope.

Heat mediated antigen retrieval with Tris-EDTA buffer (pH 9.0, epitope retrieval solution2) for 20 mins

Western blot - Anti-F4/80 antibody [EPR26545-166] (BSA and Azide free) (AB300422)
  • WB

Supplier Data

Western blot - Anti-F4/80 antibody [EPR26545-166] (BSA and Azide free) (AB300422)

This data was developed using ab300421, the same antibody clone in a different buffer formulation. Blocking Buffer and concentration : 5% NFDM/TBST

All lanes:

Western blot - Anti-F4/80 antibody [EPR26545-166] (<a href='/en-us/products/primary-antibodies/f4-80-antibody-epr26545-166-ab300421'>ab300421</a>) at 1/1000 dilution

All lanes:

Mouse spleen tissue lysate 20 µg

Secondary

All lanes:

Western blot - Goat Anti-Rabbit IgG H&L (HRP) (<a href='/en-us/products/secondary-antibodies/goat-rabbit-igg-h-l-hrp-ab97051'>ab97051</a>) at 1/20000 dilution

Observed band size: 160 kDa

false

Exposure time: 26s

Western blot - Anti-F4/80 antibody [EPR26545-166] (BSA and Azide free) (AB300422)
  • WB

Supplier Data

Western blot - Anti-F4/80 antibody [EPR26545-166] (BSA and Azide free) (AB300422)

This data was developed using ab300421, the same antibody clone in a different buffer formulation. Blocking Buffer and concentration : 5% NFDM/TBST

All lanes:

Western blot - Anti-F4/80 antibody [EPR26545-166] (<a href='/en-us/products/primary-antibodies/f4-80-antibody-epr26545-166-ab300421'>ab300421</a>) at 1/1000 dilution

Lane 1:

J774A.1 (mouse reticum cell sarcoma macrophage) whole cell lysate 20

Lane 2:

NIH/3T3 (mouse embryonic fibroblast) whole cell lysate

Secondary

All lanes:

Western blot - Goat Anti-Rabbit IgG H&L (HRP) (<a href='/en-us/products/secondary-antibodies/goat-rabbit-igg-h-l-hrp-ab97051'>ab97051</a>) at 1/20000 dilution

Observed band size: 90 kDa,160 kDa

false

Exposure time: 15s

Western blot - Anti-F4/80 antibody [EPR26545-166] (BSA and Azide free) (AB300422)
  • WB

Supplier Data

Western blot - Anti-F4/80 antibody [EPR26545-166] (BSA and Azide free) (AB300422)

This data was developed using ab300421, the same antibody clone in a different buffer formulation. Blocking Buffer and concentration : 5% NFDM/TBST

All lanes:

Western blot - Anti-F4/80 antibody [EPR26545-166] (<a href='/en-us/products/primary-antibodies/f4-80-antibody-epr26545-166-ab300421'>ab300421</a>) at 1/1000 dilution

Lane 1:

RAW 264.7 (mouse abelson murine leukemia virus-induced tumor macrophage) whole cell lysate

Lane 2:

L-929 ( mouse connective tissue fibroblast) whole cell lysate

Secondary

All lanes:

Western blot - Goat Anti-Rabbit IgG H&L (HRP) (<a href='/en-us/products/secondary-antibodies/goat-rabbit-igg-h-l-hrp-ab97051'>ab97051</a>) at 1/20000 dilution

Observed band size: 160 kDa

false

Exposure time: 15s

  • Unconjugated

    Anti-F4/80 antibody [EPR26545-166]

  • Carrier free

    Anti-F4/80 antibody [EPR26545-166] – Chicken IgY (Chimeric) – BSA and Azide Free

  • 665 Alexa Fluor® 647

    Alexa Fluor® 647 Anti-F4/80 antibody [EPR26545-166]

Key facts

Host species

Rabbit

Clonality

Monoclonal

Clone number

EPR26545-166

Isotype

IgG

Carrier free

Yes

Reacts with

Mouse, Rat

Applications

mIHC, WB, IHC-P, IHC-Fr, ICC/IF

applications

Immunogen

The exact immunogen used to generate this antibody is proprietary information.

Reactivity data

{ "title": "Reactivity Data", "filters": { "stats": ["", "Species", "Dilution Info", "Notes"], "tabs": { "all-applications": {"fullname" : "All Applications", "shortname": "All Applications"}, "FlowCyt" : {"fullname" : "Flow Cytometry", "shortname":"Flow Cyt"}, "ICCIF" : {"fullname" : "Immunocytochemistry/ Immunofluorescence", "shortname":"ICC/IF"}, "IHCFr" : {"fullname" : "Immunohistochemistry (Frozen sections)", "shortname":"IHC-Fr"}, "IHCP" : {"fullname" : "Immunohistochemistry (Formalin/PFA-fixed paraffin-embedded sections)", "shortname":"IHC-P"}, "WB" : {"fullname" : "Western blot", "shortname":"WB"}, "mIHC" : {"fullname" : "Multiplex immunohistochemistry", "shortname":"mIHC"} }, "product-promise": { "all": "all", "testedAndGuaranteed": "tested", "guaranteed": "expected", "predicted": "predicted", "notRecommended": "not-recommended" } }, "values": { "Mouse": { "FlowCyt-species-checked": "notRecommended", "FlowCyt-species-dilution-info": "", "FlowCyt-species-notes": "<p></p>", "ICCIF-species-checked": "testedAndGuaranteed", "ICCIF-species-dilution-info": "", "ICCIF-species-notes": "<p></p>", "IHCFr-species-checked": "testedAndGuaranteed", "IHCFr-species-dilution-info": "", "IHCFr-species-notes": "<p></p>", "IHCP-species-checked": "testedAndGuaranteed", "IHCP-species-dilution-info": "", "IHCP-species-notes": "<p></p>", "WB-species-checked": "testedAndGuaranteed", "WB-species-dilution-info": "", "WB-species-notes": "<p></p>", "mIHC-species-checked": "testedAndGuaranteed", "mIHC-species-dilution-info": "", "mIHC-species-notes": "<p></p>" }, "Rat": { "FlowCyt-species-checked": "notRecommended", "FlowCyt-species-dilution-info": "", "FlowCyt-species-notes": "", "ICCIF-species-checked": "guaranteed", "ICCIF-species-dilution-info": "", "ICCIF-species-notes": "", "IHCFr-species-checked": "guaranteed", "IHCFr-species-dilution-info": "", "IHCFr-species-notes": "", "IHCP-species-checked": "testedAndGuaranteed", "IHCP-species-dilution-info": "", "IHCP-species-notes": "<p></p>", "WB-species-checked": "testedAndGuaranteed", "WB-species-dilution-info": "", "WB-species-notes": "<p></p>", "mIHC-species-checked": "testedAndGuaranteed", "mIHC-species-dilution-info": "", "mIHC-species-notes": "<p></p>" } } }

Product details

ab300422 is a carrier free version of ab300421.

Patented technology
Our RabMAb® technology is a patented hybridoma-based technology for making rabbit monoclonal antibodies. For details on our patents, please refer to RabMAb® patents.

What are the advantages of a recombinant monoclonal antibody?
This product is a recombinant monoclonal antibody, which offers several advantages including:

  • - High batch-to-batch consistency and reproducibility
  • - Improved sensitivity and specificity
  • - Long-term security of supply
  • - Animal-free batch production

For more information, read more on recombinant antibodies.

Conjugation ready
Our carrier-free antibodies are typically supplied in a PBS-only formulation, purified and free of BSA, sodium azide and glycerol. This conjugation-ready format is designed for use with fluorochromes, metal isotopes, oligonucleotides, and enzymes, which makes them ideal for antibody labelling, functional and cell-based assays, flow-based assays (e.g. mass cytometry) and Multiplex Imaging applications.

Use our conjugation kits for antibody conjugates that are ready-to-use in as little as 20 minutes with 1 minute hands-on-time and 100% antibody recovery: available for fluorescent dyes, HRP, biotin and gold.

Compatibility
This product is compatible with the Maxpar® Antibody Labeling Kit from Fluidigm, without the need for antibody preparation. Maxpar® is a trademark of Fluidigm Canada Inc.

Properties and storage information

Form
Liquid
Purification technique
Affinity purification Protein A
Storage buffer
pH: 7.2 - 7.4 Constituents: PBS
Shipped at conditions
Blue Ice
Appropriate short-term storage conditions
+4°C
Appropriate long-term storage conditions
+4°C
Aliquoting information
Upon delivery aliquot
Storage information
Do Not Freeze

Supplementary information

This supplementary information is collated from multiple sources and compiled automatically.

F4/80 also known as Emr1 (Epidermal growth factor module-containing mucin-like hormone receptor 1) is a well-characterized surface protein with a mass of approximately 160 kDa. This protein is recognized as a marker for murine macrophages. F4/80 is heavily expressed on cells of the monocyte and macrophage lineage particularly in tissue-resident macrophages found in organs like the liver spleen and lung. Its expression is vital for identifying macrophages in various types of immunological studies including F4/80 staining and macrophage marker analysis.
Biological function summary

F4/80 plays a role in modulating the immune response by interacting with other cell surface molecules. While not part of a larger protein complex F4/80 influences macrophage functions such as phagocytosis and cytokine production. Its expression contributes to the regulation of tissue homeostasis and inflammation. The protein is critical in maintaining the macrophage population required for reliable immune surveillance and response to pathogens.

Pathways

F4/80 is an integral part of the immunological and inflammatory signaling pathways. It interacts with TLRs (Toll-like receptors) and other cell surface molecules that sense microbial components therefore helping in the initiation of innate immune responses. F4/80 is connected to proteins like cytokine receptors which play roles in mediating and resolving inflammatory signals important for maintaining balanced immune activity.

F4/80 is associated with conditions like chronic inflammation and autoimmune disorders. Its expression levels can often correlate with disease state impacting diseases such as rheumatoid arthritis and liver fibrosis. In these conditions F4/80 interacts with proteins like TNF-alpha and IL-1beta which are involved in inflammatory processes. Understanding F4/80's role can help uncover therapeutic targets aimed at modulating macrophage functions to treat these disorders effectively.

Product protocols

For this product, it's our understanding that no specific protocols are required. You can visit:

Target data

Orphan receptor involved in cell adhesion and probably in cell-cell interactions specifically involving cells of the immune system. May play a role in regulatory T-cells (Treg) development.
See full target information Adgre1

Publications (3)

Recent publications for all applications. Explore the full list and refine your search

Regenerative biomaterials 10:rbad080 PubMed37808957

2023

A construct of adipose-derived mesenchymal stem cells-laden collagen scaffold for fertility restoration by inhibiting fibrosis in a rat model of endometrial injury.

Applications

Unspecified application

Species

Unspecified reactive species

Yangyang Dai,Liaobing Xin,Sentao Hu,Shiqian Xu,Dong Huang,Xiaoying Jin,Jianmin Chen,Rachel Wah Shan Chan,Ernest Hung Yu Ng,William Shu Biu Yeung,Lie Ma,Songying Zhang

Advanced healthcare materials 12:e2300887 PubMed37317936

2023

Nanosized Silk-Magnesium Complexes for Tissue Regeneration.

Applications

Unspecified application

Species

Unspecified reactive species

Zhaozhao Ding,Weinan Cheng,Lutong Liu,Gang Xu,Qiang Lu,David L Kaplan

International journal of molecular sciences 24: PubMed37373472

2023

In Vitro Functional Characterization of Type-I Taste Bud Cells as Monocytes/Macrophages-like Which Secrete Proinflammatory Cytokines.

Applications

Unspecified application

Species

Unspecified reactive species

Aziz Hichami,Hamza Saidi,Amira Sayed Khan,Pernelle Degbeni,Naim Akhtar Khan
View all publications

Product promise

We are committed to supporting your work with high-quality reagents, and we're here for you every step of the way. In the unlikely event that one of our products does not perform as expected, you're protected by our Product Promise.
For full details, please see our Terms & Conditions

Please note: All products are 'FOR RESEARCH USE ONLY. NOT FOR USE IN DIAGNOSTIC OR THERAPEUTIC PROCEDURES'.

For licensing inquiries, please contact partnerships@abcam.com